JavaScript is disabled in your browser. Please enable JavaScript to view this website.
AB323811

Anti-MAGEA4 antibody [EPR26098-164] - BSA and Azide free

  • Advanced Validation
  • BOND RX™ Validated
  • RabMAb
  • Recombinant
  • What is this?

Be the first to review this product! Submit a review

|

(0 Publication)

Rabbit Recombinant Monoclonal MAGEA4 antibody. Carrier free. Suitable for IHC-P, WB, mIHC and reacts with Human samples.

View Alternative Names

MAGE4, MAGEA4, Melanoma-associated antigen 4, Cancer/testis antigen 1.4, MAGE-4 antigen, MAGE-41 antigen, MAGE-X2 antigen, CT1.4

8 Images
Multiplex immunohistochemistry - Anti-MAGEA4 antibody [EPR26098-164] - BSA and Azide free (AB323811)
  • mIHC

Lab

Multiplex immunohistochemistry - Anti-MAGEA4 antibody [EPR26098-164] - BSA and Azide free (AB323811)

This data was developed using ab323802, the same antibody clone in a different buffer formulation.

Multiplex immunohistochemistry analysis of formalin/PFA-fixed paraffin-embedded human testis tissue staining GPC2 with ab324378 at a 1/200 dilution, ab323317 anti-Oligodendrocyte Specific Protein used at 1/500 dilution and ab323802 anti-MAGEA4 used at a 1/1000 dilution.

Panel A : anti-GPC2 (green; Opal™520), anti-Oligodendrocyte Specific Protein (magenta; Opal™690) and anti-MAGEA4 (gray; Opal™570) on human testis.

Panel B : anti-GPC2 staining early spermatids in human testis.

Panel C : anti-Oligodendrocyte Specific Protein staining apical Sertoli cell crypts in human testis.

Panel D : anti-MAGEA4 staining spermatogonia in human testis.

Nuclear DNA was labeled with DAPI (shown in blue).

The section was incubated in three rounds of staining : in the order of ab324378, ab323317 and ab323802 for 30 mins at room temperature. Each round was followed by a separate fluorescent tyramide signal amplification system.

The immunostaining was performed on a Leica Biosystems BOND® RX instrument with an Opal™ 4-color kit. Image acquisition was performed with Leica SP8 confocal microscope.

Heat mediated antigen retrieval was performed with Tris-EDTA buffer (pH 9.0, Epitope Retrieval Solution2) for 20 mins.

Immunohistochemistry (Formalin/PFA-fixed paraffin-embedded sections) - Anti-MAGEA4 antibody [EPR26098-164] - BSA and Azide free (AB323811)
  • IHC-P

Supplier Data

Immunohistochemistry (Formalin/PFA-fixed paraffin-embedded sections) - Anti-MAGEA4 antibody [EPR26098-164] - BSA and Azide free (AB323811)

This data was developed using ab323802, the same antibody clone in a different buffer formulation.

Immunohistochemical analysis of paraffin-embedded Human pancreas tissue labeling MAGEA4 with ab323802 at 1/1000 (0.489 ug/ml) dilution, followed by a ready to use LeicaDS9800 (Bond™ Polymer Refine Detection).

Negative control : no staining on human pancreas. The primary antibody was incubated for 30 mins at room temperature.
The immunostaining was performed on a Leica Biosystems BOND® RX instrument

Counterstained with Hematoxylin.

Secondary antibody only control : Secondary antibody is a ready to use LeicaDS9800 (Bond™ Polymer Refine Detection).

Heat mediated antigen retrieval was performed with Tris-EDTA buffer (pH 9.0, Epitope Retrieval Solution2) for 20 mins

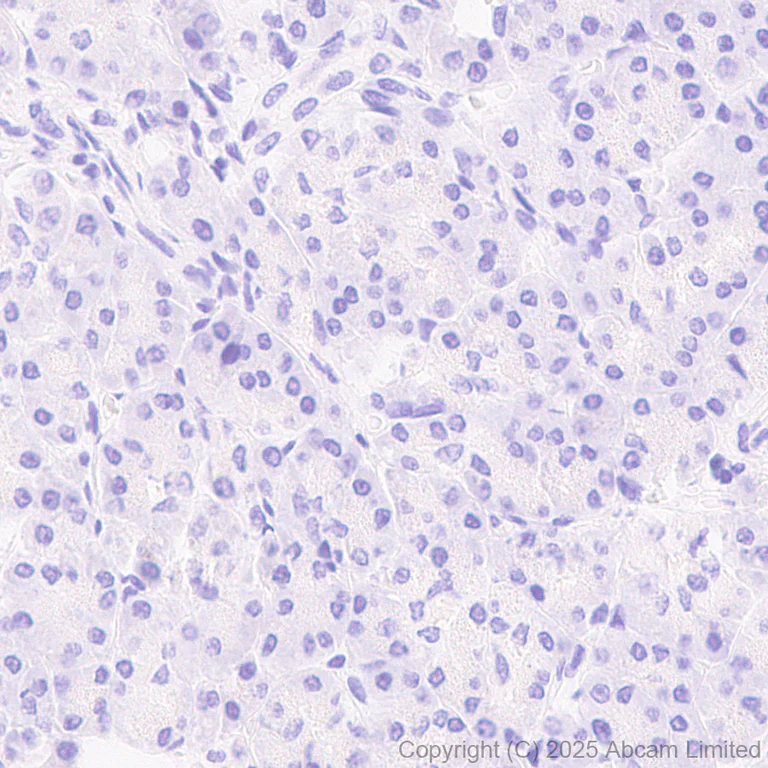
Immunohistochemistry (Formalin/PFA-fixed paraffin-embedded sections) - Anti-MAGEA4 antibody [EPR26098-164] - BSA and Azide free (AB323811)
  • IHC-P

Supplier Data

Immunohistochemistry (Formalin/PFA-fixed paraffin-embedded sections) - Anti-MAGEA4 antibody [EPR26098-164] - BSA and Azide free (AB323811)

This data was developed using ab323802, the same antibody clone in a different buffer formulation.

Immunohistochemical analysis of paraffin-embedded Human testis tissue labeling MAGEA4 with ab323802 at 1/1000 (0.489 ug/ml) dilution, followed by a ready to use LeicaDS9800 (Bond™ Polymer Refine Detection).

Positive staining on human testis (PMID : 28105158). The primary antibody was incubated for 30 mins at room temperature.
The immunostaining was performed on a Leica Biosystems BOND® RX instrument

Counterstained with Hematoxylin.

Secondary antibody only control : Secondary antibody is a ready to use LeicaDS9800 (Bond™ Polymer Refine Detection).

Heat mediated antigen retrieval was performed with Tris-EDTA buffer (pH 9.0, Epitope Retrieval Solution2) for 20 mins

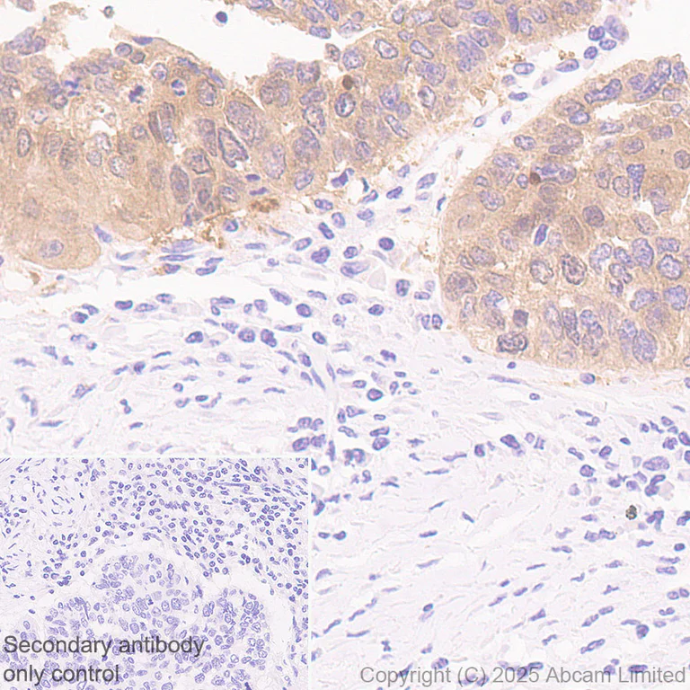
Immunohistochemistry (Formalin/PFA-fixed paraffin-embedded sections) - Anti-MAGEA4 antibody [EPR26098-164] - BSA and Azide free (AB323811)
  • IHC-P

Supplier Data

Immunohistochemistry (Formalin/PFA-fixed paraffin-embedded sections) - Anti-MAGEA4 antibody [EPR26098-164] - BSA and Azide free (AB323811)

This data was developed using ab323802, the same antibody clone in a different buffer formulation.

Immunohistochemical analysis of paraffin-embedded Human lung carcinoma tissue labeling MAGEA4 with ab323802 at 1/1000 (0.489 ug/ml) dilution, followed by a ready to use LeicaDS9800 (Bond™ Polymer Refine Detection).

Positive staining on human lung carcinoma (PMID : 29901069). The primary antibody was incubated for 30 mins at room temperature.
The immunostaining was performed on a Leica Biosystems BOND® RX instrument

Counterstained with Hematoxylin.

Secondary antibody only control : Secondary antibody is a ready to use LeicaDS9800 (Bond™ Polymer Refine Detection).

Heat mediated antigen retrieval was performed with Tris-EDTA buffer (pH 9.0, Epitope Retrieval Solution2) for 20 mins

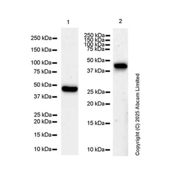
Western blot - Anti-MAGEA4 antibody [EPR26098-164] - BSA and Azide free (AB323811)
  • WB

Supplier Data

Western blot - Anti-MAGEA4 antibody [EPR26098-164] - BSA and Azide free (AB323811)

This data was developed using ab323802, the same antibody clone in a different buffer formulation.

Blocking and diluting buffer and concentration : 5% NFDM/TBST.

To minimize protein degradation, cells were lysed immediately after harvest and then applied to a gel and transfer membrane for Western blotting as soon as possible.

Exposure time : Lane 1 : 15 seconds; Lane 2 : 125 seconds.

All lanes:

Western blot - Anti-MAGEA4 antibody [EPR26098-164] (<a href='/en-us/products/primary-antibodies/magea4-antibody-epr26098-164-ab323802'>ab323802</a>) at 1/1000 dilution

Lane 1:

NCI-H1299 (human lung carcinoma epithelial cell) whole cell lysate at 20 µg

Lane 2:

A431 (human epidermoid carcinoma epithelial cell) whole cell lysate at 20 µg

Secondary

All lanes:

Western blot - Goat Anti-Rabbit IgG H&L (HRP) (<a href='/en-us/products/secondary-antibodies/goat-rabbit-igg-h-l-hrp-ab97051'>ab97051</a>) at 1/20000 dilution

Observed band size: 39 kDa

false

Western blot - Anti-MAGEA4 antibody [EPR26098-164] - BSA and Azide free (AB323811)
  • WB

Supplier Data

Western blot - Anti-MAGEA4 antibody [EPR26098-164] - BSA and Azide free (AB323811)

This data was developed using ab323802, the same antibody clone in a different buffer formulation.

Blocking and diluting buffer and concentration : 5% NFDM/TBST.

Negative control : pancreas.

In lanes 1-2 and 4, the lysates were stored at -80degC prior to Western Blotting. The bands beneath the target band (39 kDa) are likely to be degradation products. In lane 3, to minimize protein degradation, cells were lysed immediately after harvest and then applied to a gel and transfer membrane for Western blotting as soon as possible.

Lanes 1-2 are applied with Goat Anti-Rabbit IgG (HRP) with minimal cross-reactivity with human IgG at 1/2000 and lanes 3-4 are applied with Goat Anti-Rabbit IgG, (H+L), Peroxidase conjugated (ab97051) at 1/20000.

In Western blot, Anti-GAPDH antibody [EPR16891] - Loading Control (ab181602) staining at 1/200000 dilution.

Exposure time : Lanes 1-2 : 180 seconds; Lanes 3-4 : 26 seconds.

All lanes:

Western blot - Anti-MAGEA4 antibody [EPR26098-164] (<a href='/en-us/products/primary-antibodies/magea4-antibody-epr26098-164-ab323802'>ab323802</a>) at 1/1000 dilution

Lane 1:

Human testis tissue lysate (frozen) at 20 µg

Lane 2:

Human pancreas tissue lysate (frozen) at 20 µg

Lane 3:

NCI-H1299 (human lung carcinoma epithelial cell) whole cell lysate (fresh) at 20 µg

Lane 4:

NCI-H1299 (human lung carcinoma epithelial cell) whole cell lysate (frozen) at 20 µg

Secondary

Lanes 1 - 2:

Goat Anti-Rabbit IgG (HRP) with minimal cross-reactivity with human IgG at 1/2000 dilution

Lanes 3 - 4:

Western blot - Goat Anti-Rabbit IgG H&L (HRP) (<a href='/en-us/products/secondary-antibodies/goat-rabbit-igg-h-l-hrp-ab97051'>ab97051</a>) at 1/20000 dilution

Observed band size: 39 kDa,36 kDa

false

Western blot - Anti-MAGEA4 antibody [EPR26098-164] - BSA and Azide free (AB323811)
  • WB

Supplier Data

Western blot - Anti-MAGEA4 antibody [EPR26098-164] - BSA and Azide free (AB323811)

This data was developed using ab323802, the same antibody clone in a different buffer formulation.

Blocking and diluting buffer and concentration : 5% NFDM/TBST.

Negative control : MCF7, Daudi.

To minimize protein degradation, cells were lysed immediately after harvest and then applied to a gel and transfer membrane for Western blotting as soon as possible.

In Western blot, Anti-GAPDH antibody [EPR16891] - Loading Control (ab181602) staining at 1/200000 dilution.

All lanes:

Western blot - Anti-MAGEA4 antibody [EPR26098-164] (<a href='/en-us/products/primary-antibodies/magea4-antibody-epr26098-164-ab323802'>ab323802</a>) at 1/1000 dilution

Lane 1:

U-2 OS (human bone osteosarcoma epithelial cell) whole cell lysate at 20 µg

Lane 2:

MCF7 (human breast adenocarcinoma epithelial cell) whole cell lysate at 20 µg

Lane 3:

Daudi (human burkitt's lymphoma lymphoblast) whole cell lysate at 20 µg

Secondary

All lanes:

Western blot - Goat Anti-Rabbit IgG H&L (HRP) (<a href='/en-us/products/secondary-antibodies/goat-rabbit-igg-h-l-hrp-ab97051'>ab97051</a>) at 1/20000 dilution

Observed band size: 39 kDa,36 kDa

false

Exposure time: 180s

Western blot - Anti-MAGEA4 antibody [EPR26098-164] - BSA and Azide free (AB323811)
  • WB

Supplier Data

Western blot - Anti-MAGEA4 antibody [EPR26098-164] - BSA and Azide free (AB323811)

This data was developed using ab323802, the same antibody clone in a different buffer formulation.

Blocking and diluting buffer and concentration : 5% NFDM/TBST.

This antibody does not cross-react with recombinant human MAGEA1, MAGEA3, MAGEA8, MAGEA6, MAGEA12 or MAGEA2 by western blot.

In Western blot, Anti-6X His tag® antibody [EPR20547] - ChIP Grade (ab213204) staining at 1/5000 dilution.

All lanes:

Western blot - Anti-MAGEA4 antibody [EPR26098-164] (<a href='/en-us/products/primary-antibodies/magea4-antibody-epr26098-164-ab323802'>ab323802</a>) at 1/1000 dilution

Lane 1:

His-tagged human MAGEA4 recombinant protein at 10 ng

Lane 2:

His-tagged human MAGEA1 recombinant protein at 10 ng

Lane 3:

His-tagged human MAGEA3 recombinant protein at 10 ng

Lane 4:

His-tagged human MAGEA8 recombinant protein at 10 ng

Lane 5:

His-tagged human MAGEA6 recombinant protein at 10 ng

Lane 6:

His-tagged human MAGEA12 recombinant protein at 10 ng

Lane 7:

His-tagged human MAGEA2 recombinant protein at 10 ng

Secondary

All lanes:

Western blot - Goat Anti-Rabbit IgG H&L (HRP) (<a href='/en-us/products/secondary-antibodies/goat-rabbit-igg-h-l-hrp-ab97051'>ab97051</a>) at 1/20000 dilution

Observed band size: 50 kDa,48 kDa,49 kDa,75 kDa

false

Exposure time: 37s

Key facts

Host species

Rabbit

Clonality

Monoclonal

Clone number

EPR26098-164

Isotype

IgG

Carrier free

Yes

Reacts with

Human

Applications

IHC-P, mIHC, WB

applications

Immunogen

The exact immunogen used to generate this antibody is proprietary information.

Reactivity data

{ "title": "Reactivity Data", "filters": { "stats": ["", "Species", "Dilution Info", "Notes"], "tabs": { "all-applications": {"fullname" : "All Applications", "shortname": "All Applications"}, "IHCP" : {"fullname" : "Immunohistochemistry (Formalin/PFA-fixed paraffin-embedded sections)", "shortname":"IHC-P"}, "WB" : {"fullname" : "Western blot", "shortname":"WB"}, "mIHC" : {"fullname" : "Multiplex immunohistochemistry", "shortname":"mIHC"} }, "product-promise": { "all": "all", "testedAndGuaranteed": "tested", "guaranteed": "expected", "predicted": "predicted", "notRecommended": "not-recommended" } }, "values": { "Human": { "IHCP-species-checked": "testedAndGuaranteed", "IHCP-species-dilution-info": "", "IHCP-species-notes": "<p></p>", "WB-species-checked": "testedAndGuaranteed", "WB-species-dilution-info": "", "WB-species-notes": "<p></p>", "mIHC-species-checked": "testedAndGuaranteed", "mIHC-species-dilution-info": "", "mIHC-species-notes": "<p></p> Perform heat-mediated antigen retrieval with Tris/EDTA buffer pH 9.0 before commencing with IHC staining protocol." } } }

Product details

ab323811 is the carrier free version of ab323802.

Patented technology
Our RabMAb® technology is a patented hybridoma-based technology for making rabbit monoclonal antibodies. For details on our patents, please refer to RabMAb® patents.

What are the advantages of a recombinant monoclonal antibody?
This product is a recombinant monoclonal antibody, which offers several advantages including:

  • - High batch-to-batch consistency and reproducibility
  • - Improved sensitivity and specificity
  • - Long-term security of supply
  • - Animal-free batch production

For more information, read more on recombinant antibodies.

Conjugation ready
Our carrier-free antibodies are typically supplied in a PBS-only formulation, purified and free of BSA, sodium azide and glycerol. This conjugation-ready format is designed for use with fluorochromes, metal isotopes, oligonucleotides, and enzymes, which makes them ideal for antibody labelling, functional and cell-based assays, flow-based assays (e.g. mass cytometry) and Multiplex Imaging applications.

Use our conjugation kits for antibody conjugates that are ready-to-use in as little as 20 minutes with 1 minute hands-on-time and 100% antibody recovery: available for fluorescent dyes, HRP, biotin and gold.

Compatibility
This product is compatible with the Maxpar® Antibody Labeling Kit from Fluidigm, without the need for antibody preparation. Maxpar® is a trademark of Fluidigm Canada Inc.

Properties and storage information

Form
Liquid
Purification technique
Affinity purification Protein A
Storage buffer
pH: 7.2 - 7.4 Constituents: PBS
Shipped at conditions
Blue Ice
Appropriate short-term storage conditions
+4°C
Appropriate long-term storage conditions
+4°C

Product protocols

For this product, it's our understanding that no specific protocols are required. You can visit:

Target data

Regulates cell proliferation through the inhibition of cell cycle arrest at the G1 phase (PubMed : 22842486). Also negatively regulates p53-mediated apoptosis (PubMed : 22842486).
See full target information MAGEA4

Product promise

We are committed to supporting your work with high-quality reagents, and we're here for you every step of the way. In the unlikely event that one of our products does not perform as expected, you're protected by our Product Promise.
For full details, please see our Terms & Conditions

Please note: All products are 'FOR RESEARCH USE ONLY. NOT FOR USE IN DIAGNOSTIC OR THERAPEUTIC PROCEDURES'.

For licensing inquiries, please contact partnerships@abcam.com