JavaScript is disabled in your browser. Please enable JavaScript to view this website.
AB139297

Anti-MAGEA4 antibody [OTI1F9]

Be the first to review this product! Submit a review

|

(8 Publications)

Knockout Tested Mouse Monoclonal MAGEA4 antibody. Suitable for WB, IHC-P and reacts with Human samples. Cited in 8 publications. Immunogen corresponding to Recombinant Full Length Protein corresponding to Human MAGEA4.

View Alternative Names

MAGE4, MAGEA4, Melanoma-associated antigen 4, Cancer/testis antigen 1.4, MAGE-4 antigen, MAGE-41 antigen, MAGE-X2 antigen, CT1.4

3 Images
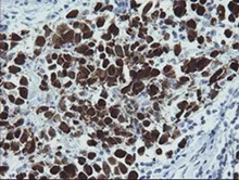
Immunohistochemistry (Formalin/PFA-fixed paraffin-embedded sections) - Anti-MAGEA4 antibody [OTI1F9] (AB139297)
  • IHC-P

Unknown

Immunohistochemistry (Formalin/PFA-fixed paraffin-embedded sections) - Anti-MAGEA4 antibody [OTI1F9] (AB139297)

Paraffin-embedded human bladder carcinoma tissue stained for MAGEA4 using ab139297 at 1/150 dilution in immunohistochemical analysis.

Western blot - Anti-MAGEA4 antibody [OTI1F9] (AB139297)
  • WB

Lab

Western blot - Anti-MAGEA4 antibody [OTI1F9] (AB139297)

False colour image of Western blot : Anti-MAGEA4 antibody [OTI1F9] staining at 1/4000 dilution, shown in green; Rabbit anti-alpha Tubulin antibody [EP1332Y] (ab52866) loading control staining at 1/20000 dilution, shown in red. In Western blot, ab139297 was shown to bind specifically to MAGEA4. A band was observed at 40 kDa in wild-type A431 cell lysates with no signal observed at this size in MAGEA4 knockout cell line ab273857 (knockout cell lysate ab273811). To generate this image, wild-type and MAGEA4 knockout A431 cell lysates were analysed. First, samples were run on an SDS-PAGE gel then transferred onto a nitrocellulose membrane. Membranes were blocked in 5 % milk in TBS-0.1 % Tween® 20 (TBS-T) before incubation with primary antibodies overnight at 4 °C. Blots were washed four times in TBS-T, incubated with secondary antibodies for 1 h at room temperature, washed again four times then imaged. Secondary antibodies used were Goat anti-Mouse IgG H&L 800CW and Goat anti-Rabbit IgG H&L 680RD at 1/20000 dilution.

All lanes:

Western blot - Anti-MAGEA4 antibody [OTI1F9] (ab139297) at 1/4000 dilution

Lane 1:

Wild-type A431 cell lysate at 20 µg

Lane 2:

Western blot - Human MAGEA4 knockout A-431 cell lysate (ab273811) at 20 µg

Lane 3:

U-2 OS cell lysate at 20 µg

Lane 4:

SH-SY5Y cell lysate at 20 µg

Secondary

All lanes:

Goat anti-Mouse IgG H&L 800CW and Goat anti-Rabbit IgG H&L 680RD at 1/20000 dilution

Predicted band size: 35 kDa

Observed band size: 40 kDa

false

Western blot - Anti-MAGEA4 antibody [OTI1F9] (AB139297)
  • WB

Unknown

Western blot - Anti-MAGEA4 antibody [OTI1F9] (AB139297)

All lanes:

Western blot - Anti-MAGEA4 antibody [OTI1F9] (ab139297) at 1/4000 dilution

Lane 1:

HEK-293T (human epithelial cell line from embryonic kidney transformed with large T antigen) cell lysate transfected with pCMV6-ENTRY control at 5 µg

Lane 2:

HEK-293T cell lysate transfected with pCMV6-ENTRY MAGEA4 cDNA at 5 µg

Predicted band size: 35 kDa

false

Key facts

Host species

Mouse

Clonality

Monoclonal

Clone number

OTI1F9

Isotype

IgG2a

Carrier free

No

Reacts with

Human

Applications

WB, IHC-P

applications

Immunogen

Recombinant Full Length Protein corresponding to Human MAGEA4.

P43358

Reactivity data

{ "title": "Reactivity Data", "filters": { "stats": ["", "Species", "Dilution Info", "Notes"], "tabs": { "all-applications": {"fullname" : "All Applications", "shortname": "All Applications"}, "WB" : {"fullname" : "Western blot", "shortname":"WB"}, "IHCP" : {"fullname" : "Immunohistochemistry (Formalin/PFA-fixed paraffin-embedded sections)", "shortname":"IHC-P"} }, "product-promise": { "all": "all", "testedAndGuaranteed": "tested", "guaranteed": "expected", "predicted": "predicted", "notRecommended": "not-recommended" } }, "values": { "Human": { "WB-species-checked": "testedAndGuaranteed", "WB-species-dilution-info": "1/4000", "WB-species-notes": "<p></p>", "IHCP-species-checked": "testedAndGuaranteed", "IHCP-species-dilution-info": "1/150", "IHCP-species-notes": "<p></p>" } } }

Product details

Clone OTI1F9 (formerly 1F9).

Properties and storage information

Form
Liquid
Purification technique
Affinity purification Protein A/G
Storage buffer
pH: 7.3 Preservative: 0.02% Sodium azide Constituents: PBS, 50% Glycerol (glycerin, glycerine), 1% BSA
Shipped at conditions
Blue Ice
Appropriate short-term storage duration
1-2 weeks
Appropriate short-term storage conditions
+4°C
Appropriate long-term storage conditions
-20°C
Aliquoting information
Upon delivery aliquot
Storage information
Avoid freeze / thaw cycle

Supplementary information

This supplementary information is collated from multiple sources and compiled automatically.

MAGEA4 also known as MAGE-A4 is part of the melanoma-associated antigen family. This protein is encoded by the MAGEA4 gene and is characterized by a molecular mass of approximately 42 kDa. Its expression is limited to certain tissues including the testis and is often silent in normal somatic tissues. However MAGEA4 is frequently found in various types of tumors making it a target of interest for cancer research and therapy.
Biological function summary

MAGEA4 participates in cellular processes related to cancer progression. Although not part of a multi-protein complex its presence in tumorous tissues suggests a role in modulating cellular mechanisms that favor tumor survival and proliferation. MAGEA4 does not directly interact with other proteins but might affect cellular pathways indirectly contributing to oncogenesis.

Pathways

MAGEA4 influences several cellular mechanisms that are related to cancer development. While it is not a central player in major biological pathways its function relates to processes affecting cell cycle regulation and apoptosis. This connection was observed in studies showing interactions with other cancer-related proteins like p53 suggesting that MAGEA4 can modify responses to apoptotic signals and may interact with or affect the TP53 pathway.

MAGEA4 is prominently linked to various cancers including melanomas and carcinomas such as lung cancer. Its frequent expression in tumor cells but not in normal tissues makes MAGEA4 a target for cancer immunotherapy. Additionally studies have shown that MAGEA4 may interfere with the immune system's ability to detect and destroy cancerous cells partly due to interactions with proteins like CTLA-4 further emphasizing its potential as a therapeutic target in oncology.

Product protocols

For this product, it's our understanding that no specific protocols are required. You can visit:

Target data

Regulates cell proliferation through the inhibition of cell cycle arrest at the G1 phase (PubMed : 22842486). Also negatively regulates p53-mediated apoptosis (PubMed : 22842486).
See full target information MAGEA4

Publications (8)

Recent publications for all applications. Explore the full list and refine your search

Discover oncology 16:88 PubMed39864021

2025

A panel of cancer testis antigens in squamous cell carcinoma of the lung, head and neck, and esophagus: implication for biomarkers and therapeutic targets.

Applications

Unspecified application

Species

Unspecified reactive species

Lin Li,Xin Zhang,Jiayao Yan,Jingyi Guo,Fangcen Liu,Xiao Wei,Qin Liu,Kongcheng Wang,Baorui Liu

Journal of cancer research and clinical oncology 149:15003-15011 PubMed37610673

2023

Expression of four cancer-testis antigens in TNBC indicating potential universal immunotherapeutic targets.

Applications

Unspecified application

Species

Unspecified reactive species

Jie Xiao,Fengli Huang,Lin Li,Lianru Zhang,Li Xie,Baorui Liu

International journal of molecular sciences 24: PubMed36768616

2023

Target Selection for T-Cell Therapy in Epithelial Ovarian Cancer: Systematic Prioritization of Self-Antigens.

Applications

Unspecified application

Species

Unspecified reactive species

Paul Schossig,Ebru Coskun,Ruza Arsenic,David Horst,Jalid Sehouli,Eva Bergmann,Nadine Andresen,Christian Sigler,Antonia Busse,Ulrich Keller,Sebastian Ochsenreither

Fertility and sterility 116:713-720 PubMed33975728

2021

Z-scores for comparative analyses of spermatogonial numbers throughout human development.

Applications

Unspecified application

Species

Unspecified reactive species

Miriam Funke,Yifan Yang,Atte Lahtinen,Klara Benninghoven-Frey,Sabine Kliesch,Nina Neuhaus,Jan-Bernd Stukenborg,Kirsi Jahnukainen

International journal of molecular sciences 22: PubMed33802611

2021

Characterization of Estrogenic Activity and Site-Specific Accumulation of Bisphenol-A in Epididymal Fat Pad: Interfering Effects on the Endocannabinoid System and Temporal Progression of Germ Cells.

Applications

Unspecified application

Species

Unspecified reactive species

Teresa Chioccarelli,Marina Migliaccio,Antonio Suglia,Francesco Manfrevola,Veronica Porreca,Nadia Diano,Sonia Errico,Silvia Fasano,Gilda Cobellis

Oncology letters 19:3982-3992 PubMed32382343

2020

Myeloid-derived suppressor cells infiltration in non-small-cell lung cancer tumor and MAGE-A4 and NY-ESO-1 expression.

Applications

Unspecified application

Species

Unspecified reactive species

Zhenbo Hou,Xiao Liang,Xinmei Wang,Ziqiang Zhou,Guilan Shi

Human pathology 76:91-99 PubMed29555572

2018

Spectrum of findings in orchiectomy specimens of persons undergoing gender confirmation surgery.

Applications

IHC

Species

Human

Andres Matoso,Binny Khandakar,Songyang Yuan,Tony Wu,Li J Wang,Kara A Lombardo,Shamlal Mangray,Abul Ala Syed Rifat Mannan,Evgeny Yakirevich

Molecular carcinogenesis 56:877-885 PubMed27533647

2016

TWIST1 upregulates the MAGEA4 oncogene.

Applications

Unspecified application

Species

Unspecified reactive species

Mohammad Mahdi Forghanifard,Abolfazl Rad,Moein Farshchian,Maryam Khaleghizadeh,Mehran Gholamin,Meysam Moghbeli,Mohammad Reza Abbaszadegan
View all publications

Product promise

We are committed to supporting your work with high-quality reagents, and we're here for you every step of the way. In the unlikely event that one of our products does not perform as expected, you're protected by our Product Promise.
For full details, please see our Terms & Conditions

Please note: All products are 'FOR RESEARCH USE ONLY. NOT FOR USE IN DIAGNOSTIC OR THERAPEUTIC PROCEDURES'.

For licensing inquiries, please contact partnerships@abcam.com