JavaScript is disabled in your browser. Please enable JavaScript to view this website.
AB207304

Anti-MAGEC1 antibody [EPR18067]

Be the first to review this product! Submit a review

|

(1 Publication)

Rabbit Recombinant Monoclonal MAGEC1 antibody. Suitable for WB, IHC-P and reacts with Human samples. Cited in 1 publication.

View Alternative Names

Melanoma-associated antigen C1, Cancer/testis antigen 7.1, MAGE-C1 antigen, CT7.1, MAGEC1

3 Images
Western blot - Anti-MAGEC1 antibody [EPR18067] (AB207304)
  • WB

Supplier Data

Western blot - Anti-MAGEC1 antibody [EPR18067] (AB207304)

Blocking/Dilution buffer : 5% NFDM/TBST.

All lanes:

Western blot - Anti-MAGEC1 antibody [EPR18067] (ab207304) at 1/5000 dilution

All lanes:

Human testis lysate at 10 µg

Secondary

All lanes:

Goat Anti-Rabbit IgG Peroxidase Conjugate, specific to the non-reduced form of IgG at 1/10000 dilution

Predicted band size: 124 kDa

Observed band size: 124 kDa,180 kDa

false

Exposure time: 15s

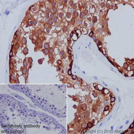
Immunohistochemistry (Formalin/PFA-fixed paraffin-embedded sections) - Anti-MAGEC1 antibody [EPR18067] (AB207304)
  • IHC-P

Supplier Data

Immunohistochemistry (Formalin/PFA-fixed paraffin-embedded sections) - Anti-MAGEC1 antibody [EPR18067] (AB207304)

Immunohistochemical analysis of paraffin-embedded human testis tissue labeling MAGEC1 with ab207304 at 1/100 dilution followed by Goat Anti-Rabbit IgG H&L (HRP) (ab97051) at 1/500 dilution. Cytoplasmic staining on human testis is observed. Counter stained with Hematoxylin.

Secondary antibody only control : Used PBS instead of primary antibody secondary antibody is Goat Anti-Rabbit IgG H&L (HRP) (ab97051) at 1/500 dilution.

Perform heat mediated antigen retrieval with Tris/EDTA buffer pH 9.0 before commencing with IHC staining protocol.

Western blot - Anti-MAGEC1 antibody [EPR18067] (AB207304)
  • WB

Supplier Data

Western blot - Anti-MAGEC1 antibody [EPR18067] (AB207304)

5% NFDM/TBST : Blocking and dilution buffer.

All lanes:

Western blot - Anti-MAGEC1 antibody [EPR18067] (ab207304) at 1/5000 dilution

Lane 1:

SH-SY5Y (Human neuroblastoma from bone marrow cells) whole cell lysate at 10 µg

Lane 2:

U-87 MG (Human glioblastoma-astrocytoma epithelial cell line) whole cell lysate at 10 µg

Secondary

All lanes:

Western blot - Goat Anti-Rabbit IgG H&L (HRP) (<a href='/en-us/products/secondary-antibodies/goat-rabbit-igg-h-l-hrp-ab97051'>ab97051</a>) at 1/100000 dilution

Predicted band size: 124 kDa

Observed band size: 124 kDa,180 kDa

false

Exposure time: 1min

Key facts

Host species

Rabbit

Clonality

Monoclonal

Clone number

EPR18067

Isotype

IgG

Carrier free

No

Reacts with

Human

Applications

IHC-P, WB

applications

Immunogen

The exact immunogen used to generate this antibody is proprietary information.

Reactivity data

{ "title": "Reactivity Data", "filters": { "stats": ["", "Species", "Dilution Info", "Notes"], "tabs": { "all-applications": {"fullname" : "All Applications", "shortname": "All Applications"}, "WB" : {"fullname" : "Western blot", "shortname":"WB"}, "IHCP" : {"fullname" : "Immunohistochemistry (Formalin/PFA-fixed paraffin-embedded sections)", "shortname":"IHC-P"} }, "product-promise": { "all": "all", "testedAndGuaranteed": "tested", "guaranteed": "expected", "predicted": "predicted", "notRecommended": "not-recommended" } }, "values": { "Human": { "WB-species-checked": "testedAndGuaranteed", "WB-species-dilution-info": "1/5000", "WB-species-notes": "<p></p>", "IHCP-species-checked": "testedAndGuaranteed", "IHCP-species-dilution-info": "1/100", "IHCP-species-notes": "<p></p>" } } }

Product details

Patented technology
Our RabMAb® technology is a patented hybridoma-based technology for making rabbit monoclonal antibodies. For details on our patents, please refer to RabMAb® patents.

What are the advantages of a recombinant monoclonal antibody?
This product is a recombinant monoclonal antibody, which offers several advantages including:

  • - High batch-to-batch consistency and reproducibility
  • - Improved sensitivity and specificity
  • - Long-term security of supply
  • - Animal-free batch production

For more information, read more on recombinant antibodies.

Properties and storage information

Form
Liquid
Purification technique
Affinity purification Protein A
Storage buffer
pH: 7.2 - 7.4 Preservative: 0.01% Sodium azide Constituents: PBS, 40% Glycerol (glycerin, glycerine), 0.05% BSA
Shipped at conditions
Blue Ice
Appropriate short-term storage duration
1-2 weeks
Appropriate short-term storage conditions
+4°C
Appropriate long-term storage conditions
-20°C
Aliquoting information
Upon delivery aliquot
Storage information
Avoid freeze / thaw cycle

Supplementary information

This supplementary information is collated from multiple sources and compiled automatically.

MAGEC1 also known as Melanoma Antigen Family C1 is a protein with a molecular weight of approximately 127 kDa. Researchers have identified MAGEC1 in various tissues; however its expression strongly associates with certain types of cancer cells notably multiple myeloma. The protein belongs to the MAGE (Melanoma Antigen Genes) family which shows similarities in structure and function across its members.
Biological function summary

Many studies focus on the role of MAGEC1 in the regulation of cell survival and proliferation. MAGEC1 tends to enhance tumor growth by inhibiting apoptotic pathways therefore favoring cancer cell survival. This regulation occurs through interaction with other proteins such as members of the p53 family and histone deacetylases (HDACs). MAGEC1 lacks the ability to function independently and often forms complexes with these proteins to modulate gene expression and cellular pathways.

Pathways

Investigations reveal that MAGEC1 plays a significant role in oncogenic pathways especially through the p53 signaling pathway. This protein directly interacts with tumor suppressor p53 inhibiting its function and altering the normal apoptosis mechanism. MAGEC1 also connects with HDACs to influence epigenetic modifications further impacting cell cycle regulation and accounting for the resistant phenotype observed in cancer cells.

MAGEC1 bears significant relevance to multiple myeloma and breast cancer. Elevated MAGEC1 levels are linked to poor prognosis in multiple myeloma potentially through interaction with proteins such as HSP70 which assists in its stability and function. Additionally MAGEC1 presence in breast cancer highlights its role in tumor progression and potential as a target for therapeutic interventions posing it as a candidate for cancer immunotherapy research.

Product protocols

For this product, it's our understanding that no specific protocols are required. You can visit:

Publications (1)

Recent publications for all applications. Explore the full list and refine your search

Communications medicine 5:382 PubMed40890430

2025

Proteomics-based monitoring of heatstroke recovery identifies molecular signatures of organ stress.

Applications

Unspecified application

Species

Unspecified reactive species

Jiayi Jin,Sing Ying Wong,Kenta Kondo,Toshiaki Iba,Nobuhiro Hayashi
View all publications

Product promise

We are committed to supporting your work with high-quality reagents, and we're here for you every step of the way. In the unlikely event that one of our products does not perform as expected, you're protected by our Product Promise.
For full details, please see our Terms & Conditions

Please note: All products are 'FOR RESEARCH USE ONLY. NOT FOR USE IN DIAGNOSTIC OR THERAPEUTIC PROCEDURES'.

For licensing inquiries, please contact partnerships@abcam.com