JavaScript is disabled in your browser. Please enable JavaScript to view this website.
AB223794

Anti-MAGEC2 antibody [EPR19064] - BSA and Azide free

Be the first to review this product! Submit a review

|

(1 Publication)

Rabbit Recombinant Monoclonal MAGEC2 antibody. Carrier free. Suitable for IP, WB, ICC/IF, Flow Cyt (Intra), IHC-P and reacts with Human, Recombinant full length protein samples. Cited in 1 publication.

View Alternative Names

HCA587, MAGEE1, MAGEC2, Melanoma-associated antigen C2, Cancer/testis antigen 10, Hepatocellular carcinoma-associated antigen 587, MAGE-C2 antigen, MAGE-E1 antigen, CT10

7 Images
Immunocytochemistry/ Immunofluorescence - Anti-MAGEC2 antibody [EPR19064] - BSA and Azide free (AB223794)
  • ICC/IF

Supplier Data

Immunocytochemistry/ Immunofluorescence - Anti-MAGEC2 antibody [EPR19064] - BSA and Azide free (AB223794)

Immunofluorescent analysis of 4% paraformaldehyde-fixed, 0.1% Triton X-100 permeabilized A-375 (Human malignant melanoma cell line) and HeLa (Human epithelial cell line from cervix adenocarcinoma) cells labeling MAGEC2 with ab209667 at 1/500 dilution, followed by Goat anti-rabbit IgG (Alexa Fluor® 488) (ab150077) secondary antibody at 1/1000 dilution (green).

Confocal image showing nuclear and weakly cytoplasmic staining on A-375 cell line

Negative expression in HeLa cells.

The nuclear counter stain is DAPI (blue).

Tubulin is detected with ab7291 (anti-Tubulin mouse mAb) at 1/1000 dilution and ab150120 (AlexaFluor®594 Goat anti-Mouse secondary) at 1/1000 dilution (red).

The negative controls are as follows :
-ve control 1 : ab209667 at 1/500 dilution followed by ab150120 (AlexaFluor®594 Goat anti-Mouse secondary) at 1/1000 dilution.
-ve control 2 : ab7291 (anti-Tubulin mouse mAb) at 1/1000 dilution followed by ab150077 (Alexa Fluor®488 Goat Anti-Rabbit IgG H&L) at 1/1000 dilution.

This data was developed using the same antibody clone in a different buffer formulation containing PBS, BSA, glycerol, and sodium azide (ab209667).

Flow Cytometry (Intracellular) - Anti-MAGEC2 antibody [EPR19064] - BSA and Azide free (AB223794)
  • Flow Cyt (Intra)

Supplier Data

Flow Cytometry (Intracellular) - Anti-MAGEC2 antibody [EPR19064] - BSA and Azide free (AB223794)

Intracellular flow cytometric analysis of 4% paraformaldehyde-fixed A-375 (Human malignant melanoma cell line) cells labeling MAGEC2 with ab209667 at 1/150 dilution (red) compared with a rabbit monoclonal IgG isotype control (ab172730; black) and an unlabelled control (cells without incubation with primary antibody and secondary antibody; blue). Goat anti rabbit IgG (Alexa Fluor® 488) at 1/500 dilution was used as the secondary antibody.

This data was developed using the same antibody clone in a different buffer formulation containing PBS, BSA, glycerol, and sodium azide (ab209667).

Immunohistochemistry (Formalin/PFA-fixed paraffin-embedded sections) - Anti-MAGEC2 antibody [EPR19064] - BSA and Azide free (AB223794)
  • IHC-P

Supplier Data

Immunohistochemistry (Formalin/PFA-fixed paraffin-embedded sections) - Anti-MAGEC2 antibody [EPR19064] - BSA and Azide free (AB223794)

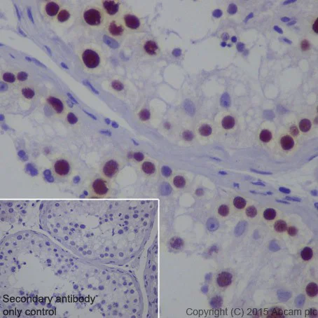
Immunohistochemical analysis of paraffin-embedded Human testis tissue labeling MAGEC2 with ab209667 at 1/1000 dilution, followed by Goat Anti-Rabbit IgG H&L (HRP) (ab97051) at 1/500 dilution. Nucleus staining on Human germ cells is observed. Counter stained with Hematoxylin.

Secondary antibody only control : Used PBS instead of primary antibody, secondary antibody is Goat Anti-Rabbit IgG H&L (HRP) (ab97051) at 1/500 dilution.

This data was developed using the same antibody clone in a different buffer formulation containing PBS, BSA, glycerol, and sodium azide (ab209667).

Perform heat mediated antigen retrieval with Tris/EDTA buffer pH 9.0 before commencing with IHC staining protocol.

Immunohistochemistry (Formalin/PFA-fixed paraffin-embedded sections) - Anti-MAGEC2 antibody [EPR19064] - BSA and Azide free (AB223794)
  • IHC-P

Supplier Data

Immunohistochemistry (Formalin/PFA-fixed paraffin-embedded sections) - Anti-MAGEC2 antibody [EPR19064] - BSA and Azide free (AB223794)

This IHC data was generated using the same anti-MAGEC2 antibody clone [EPR19064] in a different buffer formulation containing PBS, BSA, glycerol, and sodium azide (cat# ab209667).

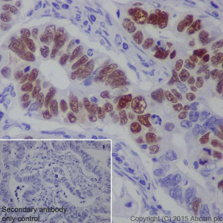
Immunohistochemical analysis of paraffin-embedded Human gastric cancer tissue labeling MAGEC2 with ab209667 at 1/1000 dilution, followed by Goat Anti-Rabbit IgG H&L (HRP) (ab97051) at 1/500 dilution. Nucleus staining on Human gastric cancer is observed. Counter stained with Hematoxylin.

Secondary antibody only control : Used PBS instead of primary antibody, secondary antibody is Goat Anti-Rabbit IgG H&L (HRP) (ab97051) at 1/500 dilution.

Perform heat mediated antigen retrieval with Tris/EDTA buffer pH 9.0 before commencing with IHC staining protocol.

Immunohistochemistry (Formalin/PFA-fixed paraffin-embedded sections) - Anti-MAGEC2 antibody [EPR19064] - BSA and Azide free (AB223794)
  • IHC-P

Supplier Data

Immunohistochemistry (Formalin/PFA-fixed paraffin-embedded sections) - Anti-MAGEC2 antibody [EPR19064] - BSA and Azide free (AB223794)

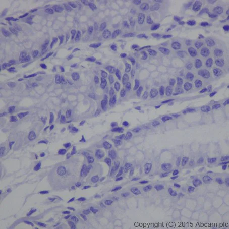
Immunohistochemical analysis of paraffin-embedded Human stomach tissue labeling MAGEC2 with ab209667 at 1/1000 dilution, followed by Goat Anti-Rabbit IgG H&L (HRP) (ab97051) at 1/500 dilution. Negative staining on Human stomach. Counter stained with Hematoxylin.

This data was developed using the same antibody clone in a different buffer formulation containing PBS, BSA, glycerol, and sodium azide (ab209667).

Perform heat mediated antigen retrieval with Tris/EDTA buffer pH 9.0 before commencing with IHC staining protocol.

Immunohistochemistry (Formalin/PFA-fixed paraffin-embedded sections) - Anti-MAGEC2 antibody [EPR19064] - BSA and Azide free (AB223794)
  • IHC-P

Supplier Data

Immunohistochemistry (Formalin/PFA-fixed paraffin-embedded sections) - Anti-MAGEC2 antibody [EPR19064] - BSA and Azide free (AB223794)

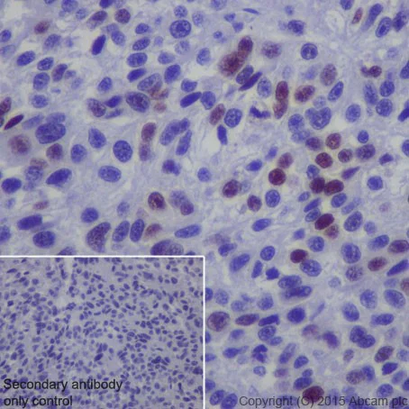
Immunohistochemical analysis of paraffin-embedded Human melanoma tissue labeling MAGEC2 with ab209667 at 1/1000 dilution, followed by Goat Anti-Rabbit IgG H&L (HRP) (ab97051) at 1/500 dilution. Nucleus staining on melanoma is observed. Counter stained with Hematoxylin.

Secondary antibody only control : Used PBS instead of primary antibody, secondary antibody is Goat Anti-Rabbit IgG H&L (HRP) (ab97051) at 1/500 dilution.

This data was developed using the same antibody clone in a different buffer formulation containing PBS, BSA, glycerol, and sodium azide (ab209667).

Perform heat mediated antigen retrieval with Tris/EDTA buffer pH 9.0 before commencing with IHC staining protocol.

Immunoprecipitation - Anti-MAGEC2 antibody [EPR19064] - BSA and Azide free (AB223794)
  • IP

Supplier Data

Immunoprecipitation - Anti-MAGEC2 antibody [EPR19064] - BSA and Azide free (AB223794)

MAGEC2 was immunoprecipitated from 1mg of A-375 (Human malignant melanoma cell line) whole cell lysate with ab209667 at 1/40 dilution. Western blot was performed from the immunoprecipitate using ab209667 at 1/1000 dilution. VeriBlot for IP Detection Reagent (HRP) (ab131366), was used for detection at 1/10000 dilution.

Lane 1 : A-375 whole cell lysate 10μg (Input).

Lane 2 : ab209667 IP in A-375 whole cell lysate.

Lane 3 : Rabbit monoclonal IgG (ab172730) instead of ab209667 in A-375 whole cell lysate.

Blocking and dilution buffer and concentration : 5% NFDM/TBST.

Exposure time : 1 second.

This data was developed using the same antibody clone in a different buffer formulation containing PBS, BSA, glycerol, and sodium azide (ab209667).

All lanes:

Immunoprecipitation - Anti-MAGEC2 antibody [EPR19064] (<a href='/en-us/products/primary-antibodies/magec2-antibody-epr19064-ab209667'>ab209667</a>)

Predicted band size: 41 kDa

false

Key facts

Host species

Rabbit

Clonality

Monoclonal

Clone number

EPR19064

Isotype

IgG

Carrier free

Yes

Reacts with

Human

Applications

IP, ICC/IF, Flow Cyt (Intra), IHC-P, WB

applications

Immunogen

The exact immunogen used to generate this antibody is proprietary information.

Reactivity data

{ "title": "Reactivity Data", "filters": { "stats": ["", "Species", "Dilution Info", "Notes"], "tabs": { "all-applications": {"fullname" : "All Applications", "shortname": "All Applications"}, "IP" : {"fullname" : "Immunoprecipitation", "shortname":"IP"}, "WB" : {"fullname" : "Western blot", "shortname":"WB"}, "ICCIF" : {"fullname" : "Immunocytochemistry/ Immunofluorescence", "shortname":"ICC/IF"}, "FlowCytIntra" : {"fullname" : "Flow Cytometry (Intracellular)", "shortname":"Flow Cyt (Intra)"}, "IHCP" : {"fullname" : "Immunohistochemistry (Formalin/PFA-fixed paraffin-embedded sections)", "shortname":"IHC-P"} }, "product-promise": { "all": "all", "testedAndGuaranteed": "tested", "guaranteed": "expected", "predicted": "predicted", "notRecommended": "not-recommended" } }, "values": { "Human": { "IP-species-checked": "testedAndGuaranteed", "IP-species-dilution-info": "", "IP-species-notes": "<p></p>", "WB-species-checked": "testedAndGuaranteed", "WB-species-dilution-info": "", "WB-species-notes": "<p></p>", "ICCIF-species-checked": "testedAndGuaranteed", "ICCIF-species-dilution-info": "", "ICCIF-species-notes": "<p></p>", "FlowCytIntra-species-checked": "testedAndGuaranteed", "FlowCytIntra-species-dilution-info": "", "FlowCytIntra-species-notes": "<p><a href='/en-us/products/primary-antibodies/rabbit-igg-monoclonal-epr25a-isotype-control-low-endotoxin-azide-free-ab199376'>ab199376</a> - Rabbit monoclonal IgG, is suitable for use as an isotype control with this antibody.</p>", "IHCP-species-checked": "testedAndGuaranteed", "IHCP-species-dilution-info": "", "IHCP-species-notes": "<p></p> Perform heat-mediated antigen retrieval with Tris/EDTA buffer pH 9.0 before commencing with IHC staining protocol." }, "Recombinant full length protein": { "IP-species-checked": "notRecommended", "IP-species-dilution-info": "", "IP-species-notes": "", "WB-species-checked": "testedAndGuaranteed", "WB-species-dilution-info": "", "WB-species-notes": "<p></p>", "ICCIF-species-checked": "notRecommended", "ICCIF-species-dilution-info": "", "ICCIF-species-notes": "", "FlowCytIntra-species-checked": "notRecommended", "FlowCytIntra-species-dilution-info": "", "FlowCytIntra-species-notes": "", "IHCP-species-checked": "notRecommended", "IHCP-species-dilution-info": "", "IHCP-species-notes": "" } } }

Product details

ab223794 is the carrier-free version of ab209667.

Patented technology
Our RabMAb® technology is a patented hybridoma-based technology for making rabbit monoclonal antibodies. For details on our patents, please refer to RabMAb® patents.

What are the advantages of a recombinant monoclonal antibody?
This product is a recombinant monoclonal antibody, which offers several advantages including:

  • - High batch-to-batch consistency and reproducibility
  • - Improved sensitivity and specificity
  • - Long-term security of supply
  • - Animal-free batch production

For more information, read more on recombinant antibodies.

Conjugation ready
Our carrier-free antibodies are typically supplied in a PBS-only formulation, purified and free of BSA, sodium azide and glycerol. This conjugation-ready format is designed for use with fluorochromes, metal isotopes, oligonucleotides, and enzymes, which makes them ideal for antibody labelling, functional and cell-based assays, flow-based assays (e.g. mass cytometry) and Multiplex Imaging applications.

Use our conjugation kits for antibody conjugates that are ready-to-use in as little as 20 minutes with 1 minute hands-on-time and 100% antibody recovery: available for fluorescent dyes, HRP, biotin and gold.

Compatibility
This product is compatible with the Maxpar® Antibody Labeling Kit from Fluidigm, without the need for antibody preparation. Maxpar® is a trademark of Fluidigm Canada Inc.

Properties and storage information

Form
Liquid
Purification technique
Affinity purification Protein A
Storage buffer
pH: 7.2 - 7.4 Constituents: PBS
Shipped at conditions
Blue Ice
Appropriate short-term storage conditions
+4°C
Appropriate long-term storage conditions
+4°C
Storage information
Do Not Freeze

Supplementary information

This supplementary information is collated from multiple sources and compiled automatically.

MAGEC2 also known as melanoma-associated antigen C2 or CT10 is a protein with a molecular mass of approximately 60 kDa. Researchers have found it expressed mostly in human cancerous tissues particularly in melanoma but not in normal tissues except for the testis. This restricted expression pattern has made MAGEC2 an interesting target for cancer immunotherapy and diagnosis. Its presence varies between different cancer types influencing its potential as a biomarker or therapeutic target.
Biological function summary

MAGEC2 interacts with cellular mechanisms related to cell growth and proliferation. The protein plays a role in processes linked to cancer progression by modulating transcriptional activities through its interaction with other proteins. MAGEC2 is not known to be part of a specific protein complex but its function associates with the ubiquitination process and modulation of p53 a well-known tumor suppressor protein. These interactions suggest critical roles in tumor maintenance and survival.

Pathways

MAGEC2's influence extends to oncogenic pathways involving cell cycle regulation and DNA damage response. It plays a part in the p53 signaling pathway where it impacts p53 stability and activity emphasizing its importance in cancer biology. Additionally connections with the E2F transcription factor highlight its potential role in regulating a series of genes important for cell cycle progression suggesting a strong interplay with cellular division processes.

The aberrant expression of MAGEC2 relates most closely to melanomas and carcinomas which demonstrate increased levels of this protein. The association with these cancers emphasizes its potential as a target for cancer immunotherapy. In melanomas MAGEC2 often implicates with the dysregulation of the p53 protein contributing to unchecked cell division and tumor growth. Other cancer types may show similar associations highlighting the universality of MAGEC2's role in tumorigenic processes.

Product protocols

For this product, it's our understanding that no specific protocols are required. You can visit:

Target data

Proposed to enhance ubiquitin ligase activity of RING-type zinc finger-containing E3 ubiquitin-protein ligases. In vitro enhances ubiquitin ligase activity of TRIM28 and stimulates p53/TP53 ubiquitination in presence of Ubl-conjugating enzyme UBE2H leading to p53/TP53 degradation. Proposed to act through recruitment and/or stabilization of the Ubl-conjugating enzymes (E2) at the E3 : substrate complex.
See full target information MAGEC2

Publications (1)

Recent publications for all applications. Explore the full list and refine your search

Oncology letters 13:1609-1618 PubMed28454298

2017

Expression and prognostic relevance of MAGE-A3 and MAGE-C2 in non-small cell lung cancer.

Applications

IHC-P

Species

Human

Xinfeng Chen,Liping Wang,Jinyan Liu,Lan Huang,Li Yang,Qun Gao,Xiaojuan Shi,Jieyao Li,Feng Li,Zhen Zhang,Song Zhao,Bin Zhang,Pierre Van der Bruggen,Yi Zhang
View all publications

Product promise

We are committed to supporting your work with high-quality reagents, and we're here for you every step of the way. In the unlikely event that one of our products does not perform as expected, you're protected by our Product Promise.
For full details, please see our Terms & Conditions

Please note: All products are 'FOR RESEARCH USE ONLY. NOT FOR USE IN DIAGNOSTIC OR THERAPEUTIC PROCEDURES'.

For licensing inquiries, please contact partnerships@abcam.com