JavaScript is disabled in your browser. Please enable JavaScript to view this website.
AB250207

Anti-MAGOH+MAGOHB antibody [EPR14037] - BSA and Azide free

Be the first to review this product! Submit a review

|

(0 Publication)

Rabbit Recombinant Monoclonal MAGOH antibody. Carrier free. Suitable for WB, IHC-P, Dot and reacts with Human, Recombinant fragment - Human samples.

View Alternative Names

MAGOHA, MAGOH, Protein mago nashi homolog

3 Images
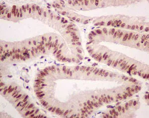
Immunohistochemistry (Formalin/PFA-fixed paraffin-embedded sections) - Anti-MAGOH+MAGOHB antibody [EPR14037] - BSA and Azide free (AB250207)
  • IHC-P

Supplier Data

Immunohistochemistry (Formalin/PFA-fixed paraffin-embedded sections) - Anti-MAGOH+MAGOHB antibody [EPR14037] - BSA and Azide free (AB250207)

This data was developed using ab180505, the same antibody clone in a different buffer formulation.

Immunohistochemical analysis of paraffin-embedded Human endometrial adenocarcinoma tissue labeling Mago nashi homolog 2 with ab180505 at 1/250 dilution. Secondary ab : HRP Polymer for Rabbit IgG. Counter stain : Hematoxylin

Perform heat mediated antigen retrieval with EDTA buffer pH 9 before commencing with IHC staining protocol.

Western blot - Anti-MAGOH+MAGOHB antibody [EPR14037] - BSA and Azide free (AB250207)
  • WB

Supplier Data

Western blot - Anti-MAGOH+MAGOHB antibody [EPR14037] - BSA and Azide free (AB250207)

This data was developed using ab180505, the same antibody clone in a different buffer formulation.

Blocking and dilution buffer : 5% NFDM/TBST.

All lanes:

Western blot - Anti-MAGOH+MAGOHB antibody [EPR14037] (<a href='/en-us/products/primary-antibodies/magohmagohb-antibody-epr14037-ab180505'>ab180505</a>) at 1/2000 dilution

Lane 1:

HeLa cell lysate at 20 µg

Lane 2:

Raji cell lysate at 20 µg

Lane 3:

Jurkat cell lysate at 20 µg

Lane 4:

HL60 cell lysate at 20 µg

Secondary

All lanes:

Goat Anti-Rabbit IgG, (H+L), Peroxidase conjugated at 1/1000 dilution

Predicted band size: 17 kDa

Observed band size: 17 kDa

false

Dot Blot - Anti-MAGOH+MAGOHB antibody [EPR14037] - BSA and Azide free (AB250207)
  • Dot

Lab

Dot Blot - Anti-MAGOH+MAGOHB antibody [EPR14037] - BSA and Azide free (AB250207)

This data was developed using ab180505, the same antibody clone in a different buffer formulation.

Dot blot analysis of MAGOH+MAGOHB using ab180505 followed by a Goat Anti-Rabbit IgG, (H+L), Peroxidase conjugated (ab97051) at 1 : 100,000 dilution.

Blocking and diluting buffer and concentration : 5% NFDM/TBST.

This antibody cross-react with human MAGOH.

All lanes:

Dot Blot - Anti-MAGOH+MAGOHB antibody [EPR14037] (<a href='/en-us/products/primary-antibodies/magohmagohb-antibody-epr14037-ab180505'>ab180505</a>)

Lane 1:

Human MAGOHB protein

Lane 2:

Human MAGOH protein

Secondary

All lanes:

Dot Blot - Goat Anti-Rabbit IgG H&L (HRP) (<a href='/en-us/products/secondary-antibodies/goat-rabbit-igg-h-l-hrp-ab97051'>ab97051</a>) at 1/100000 dilution

false

Exposure time: 180s

Key facts

Host species

Rabbit

Clonality

Monoclonal

Clone number

EPR14037

Isotype

IgG

Carrier free

Yes

Reacts with

Human

Applications

Dot, WB, IHC-P

applications

Immunogen

The exact immunogen used to generate this antibody is proprietary information.

Specificity

This antibody detects both Mago nashi homolog and Mago nashi homolog 2.

Reactivity data

{ "title": "Reactivity Data", "filters": { "stats": ["", "Species", "Dilution Info", "Notes"], "tabs": { "all-applications": {"fullname" : "All Applications", "shortname": "All Applications"}, "WB" : {"fullname" : "Western blot", "shortname":"WB"}, "IHCP" : {"fullname" : "Immunohistochemistry (Formalin/PFA-fixed paraffin-embedded sections)", "shortname":"IHC-P"}, "Dot" : {"fullname" : "Dot Blot", "shortname":"Dot"} }, "product-promise": { "all": "all", "testedAndGuaranteed": "tested", "guaranteed": "expected", "predicted": "predicted", "notRecommended": "not-recommended" } }, "values": { "Human": { "WB-species-checked": "testedAndGuaranteed", "WB-species-dilution-info": "", "WB-species-notes": "<p></p>", "IHCP-species-checked": "testedAndGuaranteed", "IHCP-species-dilution-info": "", "IHCP-species-notes": "<p></p> Perform heat-mediated antigen retrieval with Tris/EDTA buffer pH 9.0 before commencing with IHC staining protocol.", "Dot-species-checked": "guaranteed", "Dot-species-dilution-info": "", "Dot-species-notes": "" }, "Mouse": { "WB-species-checked": "predicted", "WB-species-dilution-info": "", "WB-species-notes": "", "IHCP-species-checked": "predicted", "IHCP-species-dilution-info": "", "IHCP-species-notes": "", "Dot-species-checked": "predicted", "Dot-species-dilution-info": "", "Dot-species-notes": "" }, "Rat": { "WB-species-checked": "predicted", "WB-species-dilution-info": "", "WB-species-notes": "", "IHCP-species-checked": "predicted", "IHCP-species-dilution-info": "", "IHCP-species-notes": "", "Dot-species-checked": "predicted", "Dot-species-dilution-info": "", "Dot-species-notes": "" }, "Recombinant fragment - Human": { "WB-species-checked": "notRecommended", "WB-species-dilution-info": "", "WB-species-notes": "", "IHCP-species-checked": "notRecommended", "IHCP-species-dilution-info": "", "IHCP-species-notes": "", "Dot-species-checked": "testedAndGuaranteed", "Dot-species-dilution-info": "", "Dot-species-notes": "<p></p>" } } }

Product details

ab250207 is the carrier-free version of ab180505.

Patented technology
Our RabMAb® technology is a patented hybridoma-based technology for making rabbit monoclonal antibodies. For details on our patents, please refer to RabMAb® patents.

What are the advantages of a recombinant monoclonal antibody?
This product is a recombinant monoclonal antibody, which offers several advantages including:

  • - High batch-to-batch consistency and reproducibility
  • - Improved sensitivity and specificity
  • - Long-term security of supply
  • - Animal-free batch production

For more information, read more on recombinant antibodies.

Conjugation ready
Our carrier-free antibodies are typically supplied in a PBS-only formulation, purified and free of BSA, sodium azide and glycerol. This conjugation-ready format is designed for use with fluorochromes, metal isotopes, oligonucleotides, and enzymes, which makes them ideal for antibody labelling, functional and cell-based assays, flow-based assays (e.g. mass cytometry) and Multiplex Imaging applications.

Use our conjugation kits for antibody conjugates that are ready-to-use in as little as 20 minutes with 1 minute hands-on-time and 100% antibody recovery: available for fluorescent dyes, HRP, biotin and gold.

Compatibility
This product is compatible with the Maxpar® Antibody Labeling Kit from Fluidigm, without the need for antibody preparation. Maxpar® is a trademark of Fluidigm Canada Inc.

Properties and storage information

Form
Liquid
Purification technique
Affinity purification Protein A
Storage buffer
pH: 7.2 - 7.4 Constituents: PBS
Shipped at conditions
Blue Ice
Appropriate short-term storage conditions
+4°C
Appropriate long-term storage conditions
+4°C
Storage information
Do Not Freeze

Product protocols

For this product, it's our understanding that no specific protocols are required. You can visit:

Target data

Required for pre-mRNA splicing as component of the spliceosome (PubMed : 11991638). Plays a redundant role with MAGOHB as core component of the exon junction complex (EJC) and in the nonsense-mediated decay (NMD) pathway (PubMed : 23917022). The EJC is a dynamic structure consisting of core proteins and several peripheral nuclear and cytoplasmic associated factors that join the complex only transiently either during EJC assembly or during subsequent mRNA metabolism. The EJC marks the position of the exon-exon junction in the mature mRNA for the gene expression machinery and the core components remain bound to spliced mRNAs throughout all stages of mRNA metabolism thereby influencing downstream processes including nuclear mRNA export, subcellular mRNA localization, translation efficiency and nonsense-mediated mRNA decay (NMD). The MAGOH-RBM8A heterodimer inhibits the ATPase activity of EIF4A3, thereby trapping the ATP-bound EJC core onto spliced mRNA in a stable conformation. The MAGOH-RBM8A heterodimer interacts with the EJC key regulator PYM1 leading to EJC disassembly in the cytoplasm and translation enhancement of EJC-bearing spliced mRNAs by recruiting them to the ribosomal 48S pre-initiation complex. Involved in the splicing modulation of BCL2L1/Bcl-X (and probably other apoptotic genes); specifically inhibits formation of proapoptotic isoforms such as Bcl-X(S); the function is different from the established EJC assembly.
See full target information MAGOH

Additional targets

MAGOHB

Product promise

We are committed to supporting your work with high-quality reagents, and we're here for you every step of the way. In the unlikely event that one of our products does not perform as expected, you're protected by our Product Promise.
For full details, please see our Terms & Conditions

Please note: All products are 'FOR RESEARCH USE ONLY. NOT FOR USE IN DIAGNOSTIC OR THERAPEUTIC PROCEDURES'.

For licensing inquiries, please contact partnerships@abcam.com