JavaScript is disabled in your browser. Please enable JavaScript to view this website.
AB171737

Anti-MAGP2 antibody [EPCSUR1]

Be the first to review this product! Submit a review

|

(1 Publication)

Rabbit Recombinant Monoclonal MAGP2 antibody. Suitable for IHC-P, WB and reacts with Human samples. Cited in 1 publication.

View Alternative Names

MAGP2, MFAP5, Microfibrillar-associated protein 5, MFAP-5, MP25, Microfibril-associated glycoprotein 2, MAGP-2

3 Images
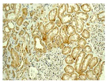
Immunohistochemistry (Formalin/PFA-fixed paraffin-embedded sections) - Anti-MAGP2 antibody [EPCSUR1] (AB171737)
  • IHC-P

Supplier Data

Immunohistochemistry (Formalin/PFA-fixed paraffin-embedded sections) - Anti-MAGP2 antibody [EPCSUR1] (AB171737)

Immunohistochemistry of paraffin-embedded Human kidney tissue labeling MAGP2 using ab171737 at 1/50 dilution.

Perform heat mediated antigen retrieval with citrate buffer pH 6 before commencing with IHC staining protocol.

Immunohistochemistry (Formalin/PFA-fixed paraffin-embedded sections) - Anti-MAGP2 antibody [EPCSUR1] (AB171737)
  • IHC-P

Supplier Data

Immunohistochemistry (Formalin/PFA-fixed paraffin-embedded sections) - Anti-MAGP2 antibody [EPCSUR1] (AB171737)

Immunohistochemistry of paraffin-embedded Human colon tissue labeling MAGP2 using ab171737 at 1/50 dilution.

Perform heat mediated antigen retrieval with citrate buffer pH 6 before commencing with IHC staining protocol.

Western blot - Anti-MAGP2 antibody [EPCSUR1] (AB171737)
  • WB

Supplier Data

Western blot - Anti-MAGP2 antibody [EPCSUR1] (AB171737)

All lanes:

Western blot - Anti-MAGP2 antibody [EPCSUR1] (ab171737) at 1/1000 dilution

Lane 1:

Non transfected 293T cell lysate at 10 µg

Lane 2:

MAGP2 transfected 293T cell lysate at 10 µg

Predicted band size: 20 kDa

false

  • Carrier free

    Anti-MAGP2 antibody [EPCSUR1] - BSA and Azide free

Key facts

Host species

Rabbit

Clonality

Monoclonal

Clone number

EPCSUR1

Isotype

IgG

Carrier free

No

Reacts with

Human

Applications

IHC-P, WB

applications

Immunogen

The exact immunogen used to generate this antibody is proprietary information.

Reactivity data

{ "title": "Reactivity Data", "filters": { "stats": ["", "Species", "Dilution Info", "Notes"], "tabs": { "all-applications": {"fullname" : "All Applications", "shortname": "All Applications"}, "IHCP" : {"fullname" : "Immunohistochemistry (Formalin/PFA-fixed paraffin-embedded sections)", "shortname":"IHC-P"}, "WB" : {"fullname" : "Western blot", "shortname":"WB"} }, "product-promise": { "all": "all", "testedAndGuaranteed": "tested", "guaranteed": "expected", "predicted": "predicted", "notRecommended": "not-recommended" } }, "values": { "Human": { "IHCP-species-checked": "testedAndGuaranteed", "IHCP-species-dilution-info": "1/50 - 1/100", "IHCP-species-notes": "<p></p>", "WB-species-checked": "testedAndGuaranteed", "WB-species-dilution-info": "1/1000 - 1/5000", "WB-species-notes": "<p></p>" }, "Mouse": { "IHCP-species-checked": "notRecommended", "IHCP-species-dilution-info": "1/50 - 1/100", "IHCP-species-notes": "<p></p>", "WB-species-checked": "notRecommended", "WB-species-dilution-info": "1/1002 - 1/5000", "WB-species-notes": "<p></p>" }, "Rat": { "IHCP-species-checked": "notRecommended", "IHCP-species-dilution-info": "1/50 - 1/100", "IHCP-species-notes": "<p></p>", "WB-species-checked": "notRecommended", "WB-species-dilution-info": "1/1000 - 1/5000", "WB-species-notes": "<p></p>" } } }

You may be interested in:

AB309410

Human MAGP2 ELISA Kit

0

0 Reviews

View product

We recommend this product because it’s often used in the same experiment or related research.

We advise that you always check the datasheet to ensure it fits your experiments, or contact ourtechnical teamfor help.

Product details

This antibody was developed as part of a collaboration between the National Institutes of Health and the lab of Alison Miyomoto at California State University, Fullerton.

Patented technology
Our RabMAb® technology is a patented hybridoma-based technology for making rabbit monoclonal antibodies. For details on our patents, please refer to RabMAb® patents.

What are the advantages of a recombinant monoclonal antibody?
This product is a recombinant monoclonal antibody, which offers several advantages including:

  • - High batch-to-batch consistency and reproducibility
  • - Improved sensitivity and specificity
  • - Long-term security of supply
  • - Animal-free batch production

For more information, read more on recombinant antibodies.

Properties and storage information

Form
Liquid
Purification technique
Affinity purification Protein A
Storage buffer
pH: 7.2 - 7.4 Preservative: 0.01% Sodium azide Constituents: 50% Tissue culture supernatant, 40% Glycerol (glycerin, glycerine), 9% PBS, 0.05% BSA
Shipped at conditions
Blue Ice
Appropriate short-term storage duration
1-2 weeks
Appropriate short-term storage conditions
+4°C
Appropriate long-term storage conditions
-20°C
Aliquoting information
Upon delivery aliquot
Storage information
Avoid freeze / thaw cycle

Product protocols

For this product, it's our understanding that no specific protocols are required. You can visit:

Target data

May play a role in hematopoiesis. In the cardiovascular system, could regulate growth factors or participate in cell signaling in maintaining large vessel integrity (By similarity). Component of the elastin-associated microfibrils (PubMed : 8557636).
See full target information MFAP5

Publications (1)

Recent publications for all applications. Explore the full list and refine your search

Technology in cancer research & treatment 18:1533033819870777 PubMed31426719

2019

MAGP2, a Component of Extracellular Matrix, Is Upregulated in Colorectal Cancer and Negatively Modulated by miR-200b-3p.

Applications

Unspecified application

Species

Unspecified reactive species

Wei Feifei,Guo Hui,Zhao Ruiqiang,Jiang Qunxiang,Xie Yu'an
View all publications

Product promise

We are committed to supporting your work with high-quality reagents, and we're here for you every step of the way. In the unlikely event that one of our products does not perform as expected, you're protected by our Product Promise.
For full details, please see our Terms & Conditions

Associated Products

Select an associated product type
Alternative Product
Primary Antibodies

AB232846

Anti-MAGP2 antibody

primary-antibodies

magp2-antibody-ab232846

0

(0 reviews)

Alternative Product
Primary Antibodies

AB240367

Anti-MAGP2 antibody [EPR17581] - BSA and Azide free

primary-antibodies

magp2-antibody-epr17581-bsa-and-azide-free-ab240367

0

(0 reviews)

Alternative Product
Primary Antibodies

AB47826

Anti-MAGP2 antibody

primary-antibodies

magp2-antibody-ab47826

0

(0 reviews)

Alternative Product
Primary Antibodies

AB203828

Anti-MAGP2 antibody [EPR17581]

primary-antibodies

magp2-antibody-epr17581-ab203828

0

(0 reviews)

Please note: All products are 'FOR RESEARCH USE ONLY. NOT FOR USE IN DIAGNOSTIC OR THERAPEUTIC PROCEDURES'.

For licensing inquiries, please contact partnerships@abcam.com