JavaScript is disabled in your browser. Please enable JavaScript to view this website.
AB203828

Anti-MAGP2 antibody [EPR17581]

Be the first to review this product! Submit a review

|

(6 Publications)

Rabbit Recombinant Monoclonal MAGP2 antibody. Suitable for IP, WB, Flow Cyt (Intra), IHC-P and reacts with Human, Rat samples. Cited in 6 publications.

View Alternative Names

MAGP2, MFAP5, Microfibrillar-associated protein 5, MFAP-5, MP25, Microfibril-associated glycoprotein 2, MAGP-2

8 Images
Flow Cytometry (Intracellular) - Anti-MAGP2 antibody [EPR17581] (AB203828)
  • Flow Cyt (Intra)

Supplier Data

Flow Cytometry (Intracellular) - Anti-MAGP2 antibody [EPR17581] (AB203828)

Intracellular flow cytometric analysis of 4% paraformaldehyde-fixed HeLa (Human epithelial cells from cervix adenocarcinoma) cells labeling MAGP2 with ab203828 at 1/750 dilution (red) compared with a rabbit monoclonal IgG isotype control (ab172730; black) and an unlabelled control (cells without incubation with primary antibody and secondary antibody; blue). Goat anti rabbit IgG (FITC) at 1/500 dilution was used as the secondary antibody.

Immunohistochemistry (Formalin/PFA-fixed paraffin-embedded sections) - Anti-MAGP2 antibody [EPR17581] (AB203828)
  • IHC-P

Supplier Data

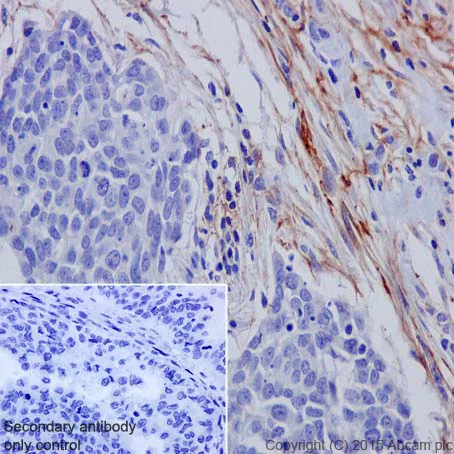
Immunohistochemistry (Formalin/PFA-fixed paraffin-embedded sections) - Anti-MAGP2 antibody [EPR17581] (AB203828)

Immunohistochemical analysis of paraffin-embedded Human breast carcinoma tissue labeling MAGP2 with ab203828 at 1/2000 dilution, followed by Goat Anti-Rabbit IgG H&L (HRP) (ab97051) at 1/500 dilution. Cytoplasmic staining on Human breast carcinoma tissue is observed. Counter stained with Hematoxylin.

Secondary antibody only control : Used PBS instead of primary antibody, secondary antibody is Goat Anti-Rabbit IgG H&L (HRP) (ab97051) at 1/500 dilution.

Perform heat mediated antigen retrieval with Tris/EDTA buffer pH 9.0 before commencing with IHC staining protocol.

Immunohistochemistry (Formalin/PFA-fixed paraffin-embedded sections) - Anti-MAGP2 antibody [EPR17581] (AB203828)
  • IHC-P

Supplier Data

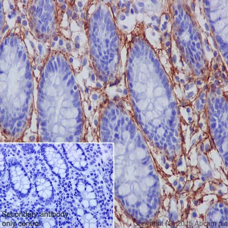
Immunohistochemistry (Formalin/PFA-fixed paraffin-embedded sections) - Anti-MAGP2 antibody [EPR17581] (AB203828)

Immunohistochemical analysis of paraffin-embedded Human colon tissue labeling MAGP2 with ab203828 at 1/2000 dilution, followed by Goat Anti-Rabbit IgG H&L (HRP) (ab97051) at 1/500 dilution. Cytoplasmic staining on Human colon tissue is observed. Counter stained with Hematoxylin.

Secondary antibody only control : Used PBS instead of primary antibody, secondary antibody is Goat Anti-Rabbit IgG H&L (HRP) (ab97051) at 1/500 dilution.

Perform heat mediated antigen retrieval with Tris/EDTA buffer pH 9.0 before commencing with IHC staining protocol.

Immunoprecipitation - Anti-MAGP2 antibody [EPR17581] (AB203828)
  • IP

Supplier Data

Immunoprecipitation - Anti-MAGP2 antibody [EPR17581] (AB203828)

MAGP2 was immunoprecipitated from 1mg of HeLa (Human epithelial cells from cervix adenocarcinoma) whole cell lysate with ab203828 at 1/200 dilution. Western blot was performed from the immunoprecipitate using ab203828 at 1/5000 dilution. Anti-Rabbit IgG (HRP), specific to the non-reduced form of IgG, was used as secondary antibody at 1/1500.

Lane 1 : HeLa whole cell lysate 10ug (Input). Lane 2 : ab203828 IP in HeLa whole cell lysate. Lane 3 : Rabbit monoclonal IgG (ab172730) instead of ab203828 in HeLa whole cell lysate.

Blocking and dilution buffer and concentration : 5% NFDM/TBST.

Exposure time : 3 seconds.

All lanes:

Immunoprecipitation - Anti-MAGP2 antibody [EPR17581] (ab203828)

Predicted band size: 20 kDa

false

Western blot - Anti-MAGP2 antibody [EPR17581] (AB203828)
  • WB

Supplier Data

Western blot - Anti-MAGP2 antibody [EPR17581] (AB203828)

Blocking/Dilution buffer : 5% NFDM/TBST.

All lanes:

Western blot - Anti-MAGP2 antibody [EPR17581] (ab203828) at 1/10000 dilution

All lanes:

Human bladder lysate at 20 µg

Secondary

All lanes:

Goat Anti-Rabbit IgG, (H+L), Peroxidase conjugated at 1/1000 dilution

Predicted band size: 20 kDa

Observed band size: 25 kDa

false

Exposure time: 15s

Western blot - Anti-MAGP2 antibody [EPR17581] (AB203828)
  • WB

Supplier Data

Western blot - Anti-MAGP2 antibody [EPR17581] (AB203828)

Blocking/Dilution buffer : 5% NFDM/TBST.

All lanes:

Western blot - Anti-MAGP2 antibody [EPR17581] (ab203828) at 1/5000 dilution

All lanes:

HeLa (Human epithelial cells from cervix adenocarcinoma) cell lysate at 10 µg

Secondary

All lanes:

Western blot - Goat Anti-Rabbit IgG H&L (HRP) (<a href='/en-us/products/secondary-antibodies/goat-rabbit-igg-h-l-hrp-ab97051'>ab97051</a>) at 1/50000 dilution

Predicted band size: 20 kDa

Observed band size: 25 kDa

false

Exposure time: 15s

Western blot - Anti-MAGP2 antibody [EPR17581] (AB203828)
  • WB

Supplier Data

Western blot - Anti-MAGP2 antibody [EPR17581] (AB203828)

Blocking/Dilution buffer : 5% NFDM/TBST.

All lanes:

Western blot - Anti-MAGP2 antibody [EPR17581] (ab203828) at 1/1000 dilution

Lane 1:

Rat kidney lysate at 10 µg

Lane 2:

Rat spleen lysate at 10 µg

Secondary

All lanes:

Goat Anti-Rabbit IgG, (H+L), Peroxidase conjugated at 1/1000 dilution

Predicted band size: 20 kDa

Observed band size: 25 kDa

false

Exposure time: 3min

Western blot - Anti-MAGP2 antibody [EPR17581] (AB203828)
  • WB

CiteAb

Western blot - Anti-MAGP2 antibody [EPR17581] (AB203828)

MAGP2 western blot using anti-MAGP2 antibody [EPR17581] ab203828. Publication image and figure legend from Li, J. H., Zhu, X. X., et al., 2019, J Exp Clin Cancer Res, PubMed 31775892.

ab203828 was used in this publication in western blot. This may not be the same as the application(s) guaranteed by Abcam. For a full list of applications guaranteed by Abcam for ab203828 please see the product overview.

MFAP5 positively regulated Notch1 pathway transcription. a Heat map showed results of RNA-seq of SSP-25 and RBE transformed sh-control, sh-MFAP5–1# and sh-MFAP5–2#. b, c GSEA results showed down-regulation of Notch pathway in cells transfected sh-MFAP5 compared with sh-Control. d, e RT-PCR results showed the mRNA level of genes in NOTCH1 pathway after transfected sh-MFAP5 in ICC cell lines. f, g Western blot analysis of Notch1 pathway target genes in sh-MFAP5 and sh-Control cells (f) and co-culture with recMFAP5 and control cells (G, each "+" represented 50μg/ml recMFAP5). h, i Co-IP results showed that MFAP5 could bind directly with NOTCH1. *p < 0.05,**p < 0.01,***p<0.001

false

  • Carrier free

    Anti-MAGP2 antibody [EPR17581] - BSA and Azide free

Key facts

Host species

Rabbit

Clonality

Monoclonal

Clone number

EPR17581

Isotype

IgG

Carrier free

No

Reacts with

Rat, Human

Applications

IP, IHC-P, Flow Cyt (Intra), WB

applications

Immunogen

The exact immunogen used to generate this antibody is proprietary information.

Reactivity data

{ "title": "Reactivity Data", "filters": { "stats": ["", "Species", "Dilution Info", "Notes"], "tabs": { "all-applications": {"fullname" : "All Applications", "shortname": "All Applications"}, "IP" : {"fullname" : "Immunoprecipitation", "shortname":"IP"}, "WB" : {"fullname" : "Western blot", "shortname":"WB"}, "ICCIF" : {"fullname" : "Immunocytochemistry/ Immunofluorescence", "shortname":"ICC/IF"}, "FlowCytIntra" : {"fullname" : "Flow Cytometry (Intracellular)", "shortname":"Flow Cyt (Intra)"}, "IHCP" : {"fullname" : "Immunohistochemistry (Formalin/PFA-fixed paraffin-embedded sections)", "shortname":"IHC-P"} }, "product-promise": { "all": "all", "testedAndGuaranteed": "tested", "guaranteed": "expected", "predicted": "predicted", "notRecommended": "not-recommended" } }, "values": { "Human": { "IP-species-checked": "testedAndGuaranteed", "IP-species-dilution-info": "1/200", "IP-species-notes": "<p></p>", "WB-species-checked": "testedAndGuaranteed", "WB-species-dilution-info": "1/1000", "WB-species-notes": "<p></p>", "ICCIF-species-checked": "notRecommended", "ICCIF-species-dilution-info": "", "ICCIF-species-notes": "<p></p>", "FlowCytIntra-species-checked": "testedAndGuaranteed", "FlowCytIntra-species-dilution-info": "1/750", "FlowCytIntra-species-notes": "<p></p>", "IHCP-species-checked": "testedAndGuaranteed", "IHCP-species-dilution-info": "1/2000", "IHCP-species-notes": "<p></p>" }, "Rat": { "IP-species-checked": "guaranteed", "IP-species-dilution-info": "", "IP-species-notes": "", "WB-species-checked": "testedAndGuaranteed", "WB-species-dilution-info": "1/1000", "WB-species-notes": "<p></p>", "ICCIF-species-checked": "notRecommended", "ICCIF-species-dilution-info": "", "ICCIF-species-notes": "<p></p>", "FlowCytIntra-species-checked": "guaranteed", "FlowCytIntra-species-dilution-info": "", "FlowCytIntra-species-notes": "", "IHCP-species-checked": "guaranteed", "IHCP-species-dilution-info": "", "IHCP-species-notes": "" } } }

Product details

Patented technology
Our RabMAb® technology is a patented hybridoma-based technology for making rabbit monoclonal antibodies. For details on our patents, please refer to RabMAb® patents.

What are the advantages of a recombinant monoclonal antibody?
This product is a recombinant monoclonal antibody, which offers several advantages including:

  • - High batch-to-batch consistency and reproducibility
  • - Improved sensitivity and specificity
  • - Long-term security of supply
  • - Animal-free batch production

For more information, read more on recombinant antibodies.

Properties and storage information

Form
Liquid
Purification technique
Affinity purification Protein A
Storage buffer
pH: 7.2 - 7.4 Preservative: 0.01% Sodium azide Constituents: PBS, 40% Glycerol (glycerin, glycerine), 0.05% BSA
Shipped at conditions
Blue Ice
Appropriate short-term storage duration
1-2 weeks
Appropriate short-term storage conditions
+4°C
Appropriate long-term storage conditions
-20°C
Aliquoting information
Upon delivery aliquot
Storage information
Avoid freeze / thaw cycle

Product protocols

For this product, it's our understanding that no specific protocols are required. You can visit:

Target data

May play a role in hematopoiesis. In the cardiovascular system, could regulate growth factors or participate in cell signaling in maintaining large vessel integrity (By similarity). Component of the elastin-associated microfibrils (PubMed : 8557636).
See full target information MFAP5

Publications (6)

Recent publications for all applications. Explore the full list and refine your search

Nature communications 16:6032 PubMed40595652

2025

EZH2 loss promotes gastric squamous cell carcinoma.

Applications

Unspecified application

Species

Unspecified reactive species

Mengsha Zhang,Ailing Zhong,Hongyu Liu,Lei Zhao,Yingjie Wang,Zhenghao Lu,Lanxin Zhang,Xiangyu Pan,Zuoyu Liang,Limin Gao,Xuelan Chen,Jian Wang,Siqi Dai,Xudong Wan,Manli Wang,Jingyao Chen,Jiajia Du,Shuang Chen,Tingfa Peng,Jingyang Cai,Liuxiang Chen,Yang Yang,Chaoxin Xiao,Menglin Yao,Jing Xu,Runkuan Qin,Chan Yang,Baohong Wu,Qi Zhang,Shengzhuo Liu,Chengjian Zhao,Hongxin Deng,Yuan Wang,Lu Chen,Jiankun Hu,Bing Hu,Shengyong Yang,Feifei Na,Linjie Guo,Yu Liu,Chong Chen

Scientific reports 13:8728 PubMed37253753

2023

Microfibril-associated protein 5 and the regulation of skin scar formation.

Applications

Unspecified application

Species

Unspecified reactive species

Chen Han,Trevor R Leonardo,Bruna Romana-Souza,Junhe Shi,Shalyn Keiser,Heidi Yuan,Mohamad Altakriti,Matthew J Ranzer,Sammy Ferri-Borgogno,Samuel C Mok,Timothy J Koh,Seok Jong Hong,Lin Chen,Luisa A DiPietro

Clinical and translational medicine 13:e1193 PubMed36738110

2023

Intestinal fibrosis in aganglionic segment of Hirschsprung's disease revealed by single-cell RNA sequencing.

Applications

Unspecified application

Species

Unspecified reactive species

Shiwei He,Junfeng Wang,Yanlei Huang,Fanyang Kong,Ran Yang,Yong Zhan,Zifeng Li,Chunjing Ye,Lingdu Meng,Yankang Ren,Ying Zhou,Gong Chen,Zhen Shen,Song Sun,Shan Zheng,Rui Dong

eLife 10: PubMed33480357

2021

Scleraxis-lineage cell depletion improves tendon healing and disrupts adult tendon homeostasis.

Applications

Unspecified application

Species

Unspecified reactive species

Katherine T Best,Antonion Korcari,Keshia E Mora,Anne Ec Nichols,Samantha N Muscat,Emma Knapp,Mark R Buckley,Alayna E Loiselle

Journal of Cancer 11:1596-1605 PubMed32047565

2020

Hypoxia-induced MFAP5 Promotes Tumor Migration and Invasion via AKT Pathway in Head and Neck Squamous Cell Carcinoma.

Applications

Unspecified application

Species

Unspecified reactive species

Qiaoshi Xu,Hanyue Chang,Xuerui Tian,Chao Lou,Hailong Ma,Xi Yang

Journal of experimental & clinical cancer research 38:476 PubMed31775892

2019

MFAP5 facilitates the aggressiveness of intrahepatic Cholangiocarcinoma by activating the Notch1 signaling pathway.

Applications

Unspecified application

Species

Unspecified reactive species

Jian-Hui Li,Xiao-Xu Zhu,Fu-Xi Li,Chen-Song Huang,Xi-Tai Huang,Jie-Qin Wang,Zhuo-Xing Gao,Shi-Jin Li,Qiong-Cong Xu,Wei Zhao,Xiao-Yu Yin
View all publications

Product promise

We are committed to supporting your work with high-quality reagents, and we're here for you every step of the way. In the unlikely event that one of our products does not perform as expected, you're protected by our Product Promise.
For full details, please see our Terms & Conditions

Please note: All products are 'FOR RESEARCH USE ONLY. NOT FOR USE IN DIAGNOSTIC OR THERAPEUTIC PROCEDURES'.

For licensing inquiries, please contact partnerships@abcam.com