JavaScript is disabled in your browser. Please enable JavaScript to view this website.
AB93661

Anti-MALT1/MLT antibody

Be the first to review this product! Submit a review

|

(1 Publication)

Rabbit Polyclonal MALT1/MLT antibody. Suitable for WB, IHC-P and reacts with Human samples. Cited in 1 publication.

View Alternative Names

MLT, MALT1, Mucosa-associated lymphoid tissue lymphoma translocation protein 1, MALT lymphoma-associated translocation, Paracaspase

2 Images
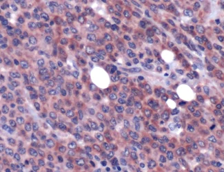
Immunohistochemistry (Formalin/PFA-fixed paraffin-embedded sections) - Anti-MALT1/MLT antibody (AB93661)
  • IHC-P

Unknown

Immunohistochemistry (Formalin/PFA-fixed paraffin-embedded sections) - Anti-MALT1/MLT antibody (AB93661)

ab93661, at a 1/100 dilution, staining MALT1/MLT in formalin fixed, paraffin embedded Human lymphoma tissue by Immunohistochemistry.

Western blot - Anti-MALT1/MLT antibody (AB93661)
  • WB

Unknown

Western blot - Anti-MALT1/MLT antibody (AB93661)

All lanes:

Western blot - Anti-MALT1/MLT antibody (ab93661) at 1/25 dilution

All lanes:

lysate prepared from HeLa cells

Predicted band size: 92 kDa

Observed band size: 90 kDa

false

Key facts

Host species

Rabbit

Clonality

Polyclonal

Isotype

IgG

Carrier free

No

Reacts with

Human

Applications

IHC-P, WB

applications

Immunogen

The exact immunogen used to generate this antibody is proprietary information.

Reactivity data

{ "title": "Reactivity Data", "filters": { "stats": ["", "Species", "Dilution Info", "Notes"], "tabs": { "all-applications": {"fullname" : "All Applications", "shortname": "All Applications"}, "WB" : {"fullname" : "Western blot", "shortname":"WB"}, "IHCP" : {"fullname" : "Immunohistochemistry (Formalin/PFA-fixed paraffin-embedded sections)", "shortname":"IHC-P"} }, "product-promise": { "all": "all", "testedAndGuaranteed": "tested", "guaranteed": "expected", "predicted": "predicted", "notRecommended": "not-recommended" } }, "values": { "Human": { "WB-species-checked": "testedAndGuaranteed", "WB-species-dilution-info": "", "WB-species-notes": "<p></p>", "IHCP-species-checked": "testedAndGuaranteed", "IHCP-species-dilution-info": "1/100", "IHCP-species-notes": "<p>Perform heat mediated antigen retrieval before commencing with IHC staining protocol. Boil tissue section in 10mM citrate buffer, pH 6.0 for 10 minutes followed by cooling at room temperature for 20 minutes.</p>" } } }

Properties and storage information

Form
Liquid
Purification technique
Affinity purification Immunogen
Purification notes
Immunogen affinity purified immunoglobulin from rabbit serum.
Storage buffer
pH: 7.6 Preservative: 0.1% Sodium azide Constituents: PBS, 1% BSA
Shipped at conditions
Blue Ice
Appropriate long-term storage conditions
+4°C

Product protocols

For this product, it's our understanding that no specific protocols are required. You can visit:

Target data

Protease that enhances BCL10-induced activation : acts via formation of CBM complexes that channel adaptive and innate immune signaling downstream of CARD domain-containing proteins (CARD9, CARD11 and CARD14) to activate NF-kappa-B and MAP kinase p38 pathways which stimulate expression of genes encoding pro-inflammatory cytokines and chemokines (PubMed : 11262391, PubMed : 18264101, PubMed : 24074955). Mediates BCL10 cleavage : MALT1-dependent BCL10 cleavage plays an important role in T-cell antigen receptor-induced integrin adhesion (PubMed : 11262391, PubMed : 18264101). Involved in the induction of T helper 17 cells (Th17) differentiation (PubMed : 11262391, PubMed : 18264101). Cleaves RC3H1 and ZC3H12A in response to T-cell receptor (TCR) stimulation which releases their cooperatively repressed targets to promote Th17 cell differentiation (By similarity). Also mediates cleavage of N4BP1 in T-cells following TCR-mediated activation, leading to N4BP1 inactivation (PubMed : 31133753). May also have ubiquitin ligase activity : binds to TRAF6, inducing TRAF6 oligomerization and activation of its ligase activity (PubMed : 14695475).
See full target information MALT1

Publications (1)

Recent publications for all applications. Explore the full list and refine your search

Oncotarget 9:13733-13747 PubMed29568390

2018

Characterization of brain tumor initiating cells isolated from an animal model of CNS primitive neuroectodermal tumors.

Applications

Unspecified application

Species

Unspecified reactive species

Sergey Malchenko,Simone T Sredni,Jerusha Boyineni,Yingtao Bi,Naira V Margaryan,Maheedhara R Guda,Yulia Kostenko,Tadanori Tomita,Ramana V Davuluri,Kiran Velpula,Mary J C Hendrix,Marcelo B Soares
View all publications

Product promise

We are committed to supporting your work with high-quality reagents, and we're here for you every step of the way. In the unlikely event that one of our products does not perform as expected, you're protected by our Product Promise.
For full details, please see our Terms & Conditions

Please note: All products are 'FOR RESEARCH USE ONLY. NOT FOR USE IN DIAGNOSTIC OR THERAPEUTIC PROCEDURES'.

For licensing inquiries, please contact partnerships@abcam.com