JavaScript is disabled in your browser. Please enable JavaScript to view this website.
AB150359

Anti-Mammaglobin A antibody [EPR9092]

Be the first to review this product! Submit a review

|

(2 Publications)

Rabbit Recombinant Monoclonal Mammaglobin A antibody. Suitable for IHC-P, WB and reacts with Human samples. Cited in 2 publications.

View Alternative Names

MGB1, UGB2, SCGB2A2, Mammaglobin-A, Mammaglobin-1, Secretoglobin family 2A member 2

3 Images
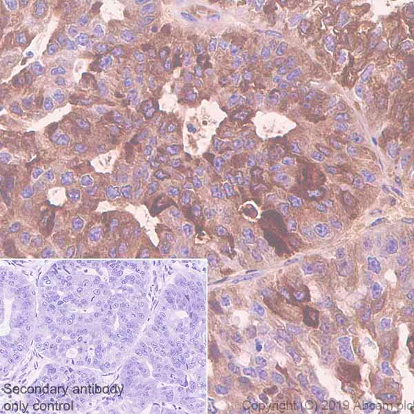
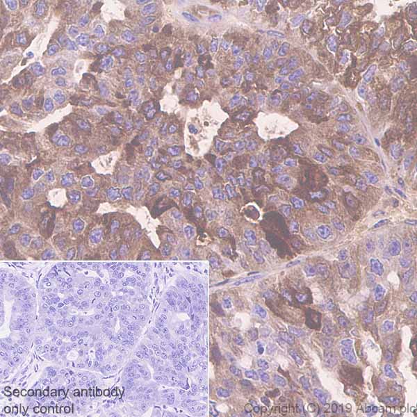
Immunohistochemistry (Formalin/PFA-fixed paraffin-embedded sections) - Anti-Mammaglobin A antibody [EPR9092] (AB150359)
  • IHC-P

Lab

Immunohistochemistry (Formalin/PFA-fixed paraffin-embedded sections) - Anti-Mammaglobin A antibody [EPR9092] (AB150359)

Immunohistochemistry (Formalin/PFA-fixed paraffin-embedded sections) analysis of human ovarian carcinoma tissue sections labelling Mammaglobin A with purified ab150359 at 1/1200 dilution (0.54 μg/ml). Heat mediated antigen retrieval was performed using Perform heat mediated antigen retrieval using ab93684 (Tris/EDTA buffer, pH 9.0). Tissue was counterstained with Hematoxylin. ImmunoHistoProbe one step HRP Polymer (ready to use) secondary antibody was used at 1/0 dilution. PBS instead of the primary antibody was used as the negative control.

Western blot - Anti-Mammaglobin A antibody [EPR9092] (AB150359)
  • WB

Lab

Western blot - Anti-Mammaglobin A antibody [EPR9092] (AB150359)

The molecular weight observed is consistent with what has been described in the literature (PMID : 16166429). Bands at 14-21.

All lanes:

Western blot - Anti-Mammaglobin A antibody [EPR9092] (ab150359) at 1/1000 dilution

All lanes:

SK-BR-3 (Human breast adenocarcinoma epithelial cell) whole cell lysate at 15 µg

Secondary

All lanes:

Western blot - Goat Anti-Rabbit IgG H&L (HRP) (<a href='/en-us/products/secondary-antibodies/goat-rabbit-igg-h-l-hrp-ab97051'>ab97051</a>) at 1/20000 dilution

Predicted band size: 10 kDa

Observed band size: 14-21 kDa

false

Western blot - Anti-Mammaglobin A antibody [EPR9092] (AB150359)
  • WB

Lab

Western blot - Anti-Mammaglobin A antibody [EPR9092] (AB150359)

The molecular weight observed is consistent with what has been described in the literature (PMID : 16166429). Bands at 14-21.

All lanes:

Western blot - Anti-Mammaglobin A antibody [EPR9092] (ab150359) at 1/20000 dilution

All lanes:

Human breast cancer lysate at 15 µg

Secondary

All lanes:

Goat Anti-Rabbit IgG (HRP) with minimal cross-reactivity with human IgG at 1/2000 dilution

Predicted band size: 10 kDa

Observed band size: 14-21 kDa

false

  • Carrier free

    Anti-Mammaglobin A antibody [EPR9092] - BSA and Azide free

Key facts

Host species

Rabbit

Clonality

Monoclonal

Clone number

EPR9092

Isotype

IgG

Carrier free

No

Reacts with

Human

Applications

IHC-P, WB

applications

Immunogen

The exact immunogen used to generate this antibody is proprietary information.

Reactivity data

{ "title": "Reactivity Data", "filters": { "stats": ["", "Species", "Dilution Info", "Notes"], "tabs": { "all-applications": {"fullname" : "All Applications", "shortname": "All Applications"}, "IHCP" : {"fullname" : "Immunohistochemistry (Formalin/PFA-fixed paraffin-embedded sections)", "shortname":"IHC-P"}, "WB" : {"fullname" : "Western blot", "shortname":"WB"} }, "product-promise": { "all": "all", "testedAndGuaranteed": "tested", "guaranteed": "expected", "predicted": "predicted", "notRecommended": "not-recommended" } }, "values": { "Human": { "IHCP-species-checked": "testedAndGuaranteed", "IHCP-species-dilution-info": "1/1200", "IHCP-species-notes": "<p>For unpurified use between 1/250-1/500.</p>", "WB-species-checked": "testedAndGuaranteed", "WB-species-dilution-info": "1/1000 - 1/10000", "WB-species-notes": "<p></p>" } } }

Product details

Species reactivity
Mouse: We have preliminary internal testing data to indicate this antibody may not react with this species.
Please contact us for more information.

Patented technology
Our RabMAb® technology is a patented hybridoma-based technology for making rabbit monoclonal antibodies. For details on our patents, please refer to RabMAb® patents.

What are the advantages of a recombinant monoclonal antibody?
This product is a recombinant monoclonal antibody, which offers several advantages including:

  • - High batch-to-batch consistency and reproducibility
  • - Improved sensitivity and specificity
  • - Long-term security of supply
  • - Animal-free batch production

For more information, read more on recombinant antibodies.

Properties and storage information

Form
Liquid
Purification technique
Affinity purification Protein A
Storage buffer
pH: 7.2 - 7.4 Preservative: 0.01% Sodium azide Constituents: PBS, 40% Glycerol (glycerin, glycerine), 0.05% BSA
Shipped at conditions
Blue Ice
Appropriate short-term storage conditions
+4°C
Appropriate long-term storage conditions
-20°C
Aliquoting information
Upon delivery aliquot
Storage information
Avoid freeze / thaw cycle

Supplementary information

This supplementary information is collated from multiple sources and compiled automatically.

Mammaglobin A also known as MGB1 is a breast-specific protein of approximately 93 amino acids with a molecular mass of about 15 kDa. It has a high expression in mammary tissue and limited expression in other tissues like the sweat glands. Researchers use immunohistochemistry (IHC) to detect Mammaglobin in tissue samples because of its tissue-specific expression making it a useful marker for breast epithelium.
Biological function summary

Mammaglobin A functions as a glycoprotein. Its precise biological role remains unclear but scientists propose it plays a role in secretory processes due to its presence in epithelial cells of the mammary glands. This protein itself is not known to participate in a larger complex. The significance of Mammaglobin A as a marker rather than an active enzyme or receptor suggests its potential involvement in processes specific to breast tissue.

Pathways

Mammaglobin A interacts within pathways involving sex steroid hormone signaling reflecting its expression in mammary tissue. This protein's expression is possibly regulated by hormonal pathways like the estrogen pathway which plays a significant role in breast tissue development and differentiation. It does not actively participate with related proteins but might be an indicator of pathway activities associated with specific tissues or conditions.

Mammaglobin A is prominently associated with breast cancer. Its specific expression in breast tissue makes it a valuable marker for detecting disseminated breast tumor cells. Although it does not directly interact with proteins involved in cancer progression like HER2 or ER (estrogen receptor) its expression levels serve as an important biomarker for diagnosis and monitoring treatment response. Researchers continue to explore its potential utility in understanding breast cancer biology and improving clinical outcomes.

Product protocols

For this product, it's our understanding that no specific protocols are required. You can visit:

Publications (2)

Recent publications for all applications. Explore the full list and refine your search

Communications medicine 4:259 PubMed39639166

2024

Transplantation of decellularized porcine kidney grafts repopulated with primary human cells demonstrates filtration function in pigs.

Applications

Unspecified application

Species

Unspecified reactive species

David Y Lo,Boyukkhanim Ahmadzada,MacKenna A Stachel,Melia Schaefer,Usman Ashraf,John I Wagner,Ethan J Vanderslice,Madie Tornquist,Kendra Mariakis,Peggy Halsten,Christopher D Lindsay,Emily C Beck,Scott L Nyberg,Jeffrey J Ross

FEBS open bio 12:1797-1813 PubMed35945910

2022

Mammaglobin 1 mediates progression of trastuzumab-resistant breast cancer cells through regulation of cyclins and NF-κB.

Applications

Unspecified application

Species

Unspecified reactive species

Ratih Kusumastuti,Yuji Kumagai,Seiichiro Ishihara,Atsushi Enomoto,Takashi Murakami,Motoaki Yasuda,Hisashi Haga
View all publications

Product promise

We are committed to supporting your work with high-quality reagents, and we're here for you every step of the way. In the unlikely event that one of our products does not perform as expected, you're protected by our Product Promise.
For full details, please see our Terms & Conditions

Please note: All products are 'FOR RESEARCH USE ONLY. NOT FOR USE IN DIAGNOSTIC OR THERAPEUTIC PROCEDURES'.

For licensing inquiries, please contact partnerships@abcam.com