JavaScript is disabled in your browser. Please enable JavaScript to view this website.
AB240981

Anti-Mammaglobin A antibody [SP319] - BSA and Azide free

Be the first to review this product! Submit a review

|

(1 Publication)

Rabbit Recombinant Monoclonal Mammaglobin A antibody. Carrier free. Suitable for IHC-P, Flow Cyt (Intra) and reacts with Human samples. Cited in 1 publication.

View Alternative Names

MGB1, UGB2, SCGB2A2, Mammaglobin-A, Mammaglobin-1, Secretoglobin family 2A member 2

3 Images
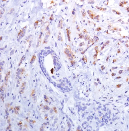
Immunohistochemistry (Formalin/PFA-fixed paraffin-embedded sections) - Anti-Mammaglobin A antibody [SP319] - BSA and Azide free (AB240981)
  • IHC-P

Unknown

Immunohistochemistry (Formalin/PFA-fixed paraffin-embedded sections) - Anti-Mammaglobin A antibody [SP319] - BSA and Azide free (AB240981)

Immunohistochemistry (Formalin/PFA-fixed paraffin-embedded sections) analysis of Human breast carcinoma tissue sections labeling Mammaglobin A with ab223504 at 1/100 dilution (1.08 μg/ml). Heat mediated antigen retrieval with Tris-EDTA buffer (pH 9.0, epitope retrieval solution 2) for 10mins. Goat Anti-Rabbit & Mouse IgG (HRP) was used as the secondary antibody. Hematoxylin was used as a counterstain. Cytoplasmic staining on the human breast carcinoma, performed on a Leica Biosystems BOND™ RX instrument.
The section was incubated with ab223504 for 10 mins at room temperature.

This image was generated using ab223504, the same clone, but with a different buffer formulation.

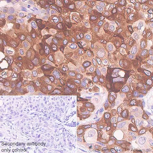
Immunohistochemistry (Formalin/PFA-fixed paraffin-embedded sections) - Anti-Mammaglobin A antibody [SP319] - BSA and Azide free (AB240981)
  • IHC-P

Supplier Data

Immunohistochemistry (Formalin/PFA-fixed paraffin-embedded sections) - Anti-Mammaglobin A antibody [SP319] - BSA and Azide free (AB240981)

Formalin-fixed, paraffin-embedded human breast ductal carcinoma tissue stained for Mammaglobin A with ab223504 at 1/100 dilution in immunohistochemical analysis.

This data was developed using the same antibody clone in a different buffer formulation containing PBS, BSA and sodium azide (ab223504).

Flow Cytometry (Intracellular) - Anti-Mammaglobin A antibody [SP319] - BSA and Azide free (AB240981)
  • Flow Cyt (Intra)

Supplier Data

Flow Cytometry (Intracellular) - Anti-Mammaglobin A antibody [SP319] - BSA and Azide free (AB240981)

Intracellular flow cytometric analysis of MCF7 (human breast adenocarcinoma cell line) cells stained for Mammaglobin A using ab223504 (green) at 1/100 dilution compared to negative control of rabbit IgG (blue).

This data was developed using the same antibody clone in a different buffer formulation containing PBS, BSA and sodium azide (ab223504).

Key facts

Host species

Rabbit

Clonality

Monoclonal

Clone number

SP319

Isotype

IgG

Carrier free

Yes

Reacts with

Human

Applications

IHC-P, Flow Cyt (Intra)

applications

Immunogen

The exact immunogen used to generate this antibody is proprietary information.

Reactivity data

{ "title": "Reactivity Data", "filters": { "stats": ["", "Species", "Dilution Info", "Notes"], "tabs": { "all-applications": {"fullname" : "All Applications", "shortname": "All Applications"}, "IHCP" : {"fullname" : "Immunohistochemistry (Formalin/PFA-fixed paraffin-embedded sections)", "shortname":"IHC-P"}, "FlowCytIntra" : {"fullname" : "Flow Cytometry (Intracellular)", "shortname":"Flow Cyt (Intra)"} }, "product-promise": { "all": "all", "testedAndGuaranteed": "tested", "guaranteed": "expected", "predicted": "predicted", "notRecommended": "not-recommended" } }, "values": { "Human": { "IHCP-species-checked": "testedAndGuaranteed", "IHCP-species-dilution-info": "", "IHCP-species-notes": "<p>Antigen Retrieval: Boil tissue section in EDTA buffer, pH 8.0 for 10 minutes followed by cooling at room temperature for 20 minutes. Primary Antibody Incubation: 10 minutes at room temperature.</p>", "FlowCytIntra-species-checked": "testedAndGuaranteed", "FlowCytIntra-species-dilution-info": "", "FlowCytIntra-species-notes": "<p>Primary antibody incubation for 30 minutes at 4°C.</p>" } } }

Product details

ab240981 is the carrier-free version of ab223504.

What are the advantages of a recombinant monoclonal antibody?
This product is a recombinant monoclonal antibody, which offers several advantages including:

  • - High batch-to-batch consistency and reproducibility
  • - Improved sensitivity and specificity
  • - Long-term security of supply
  • - Animal-free batch production

For more information, read more on recombinant antibodies.

Conjugation ready
Our carrier-free antibodies are typically supplied in a PBS-only formulation, purified and free of BSA, sodium azide and glycerol. This conjugation-ready format is designed for use with fluorochromes, metal isotopes, oligonucleotides, and enzymes, which makes them ideal for antibody labelling, functional and cell-based assays, flow-based assays (e.g. mass cytometry) and Multiplex Imaging applications.

Use our conjugation kits for antibody conjugates that are ready-to-use in as little as 20 minutes with 1 minute hands-on-time and 100% antibody recovery: available for fluorescent dyes, HRP, biotin and gold.

Compatibility
This product is compatible with the Maxpar® Antibody Labeling Kit from Fluidigm, without the need for antibody preparation. Maxpar® is a trademark of Fluidigm Canada Inc.

Properties and storage information

Form
Liquid
Purification technique
Affinity purification Protein A/G
Storage buffer
pH: 7.2 - 7.4 Constituents: PBS
Shipped at conditions
Blue Ice
Appropriate short-term storage conditions
+4°C
Appropriate long-term storage conditions
+4°C
Storage information
Do Not Freeze

Supplementary information

This supplementary information is collated from multiple sources and compiled automatically.

Mammaglobin A also known as MGB1 is a breast-specific protein of approximately 93 amino acids with a molecular mass of about 15 kDa. It has a high expression in mammary tissue and limited expression in other tissues like the sweat glands. Researchers use immunohistochemistry (IHC) to detect Mammaglobin in tissue samples because of its tissue-specific expression making it a useful marker for breast epithelium.
Biological function summary

Mammaglobin A functions as a glycoprotein. Its precise biological role remains unclear but scientists propose it plays a role in secretory processes due to its presence in epithelial cells of the mammary glands. This protein itself is not known to participate in a larger complex. The significance of Mammaglobin A as a marker rather than an active enzyme or receptor suggests its potential involvement in processes specific to breast tissue.

Pathways

Mammaglobin A interacts within pathways involving sex steroid hormone signaling reflecting its expression in mammary tissue. This protein's expression is possibly regulated by hormonal pathways like the estrogen pathway which plays a significant role in breast tissue development and differentiation. It does not actively participate with related proteins but might be an indicator of pathway activities associated with specific tissues or conditions.

Mammaglobin A is prominently associated with breast cancer. Its specific expression in breast tissue makes it a valuable marker for detecting disseminated breast tumor cells. Although it does not directly interact with proteins involved in cancer progression like HER2 or ER (estrogen receptor) its expression levels serve as an important biomarker for diagnosis and monitoring treatment response. Researchers continue to explore its potential utility in understanding breast cancer biology and improving clinical outcomes.

Product protocols

For this product, it's our understanding that no specific protocols are required. You can visit:

Publications (1)

Recent publications for all applications. Explore the full list and refine your search

Molecular cancer 20:123 PubMed34579723

2021

p113 isoform encoded by CUX1 circular RNA drives tumor progression via facilitating ZRF1/BRD4 transactivation.

Applications

Unspecified application

Species

Unspecified reactive species

Feng Yang,Anpei Hu,Yanhua Guo,Jianqun Wang,Dan Li,Xiaojing Wang,Shikai Jin,Boling Yuan,Shuang Cai,Yi Zhou,Qilan Li,Guo Chen,Haiyang Gao,Liduan Zheng,Qiangsong Tong
View all publications

Product promise

We are committed to supporting your work with high-quality reagents, and we're here for you every step of the way. In the unlikely event that one of our products does not perform as expected, you're protected by our Product Promise.
For full details, please see our Terms & Conditions

Please note: All products are 'FOR RESEARCH USE ONLY. NOT FOR USE IN DIAGNOSTIC OR THERAPEUTIC PROCEDURES'.

For licensing inquiries, please contact partnerships@abcam.com