JavaScript is disabled in your browser. Please enable JavaScript to view this website.
AB223504

Anti-Mammaglobin A antibody [SP319] - C-terminal

Be the first to review this product! Submit a review

|

(1 Publication)

Rabbit Monoclonal Mammaglobin A antibody. C-terminal. Suitable for Flow Cyt (Intra), IHC-P and reacts with Human samples. Cited in 1 publication.

View Alternative Names

MGB1, UGB2, SCGB2A2, Mammaglobin-A, Mammaglobin-1, Secretoglobin family 2A member 2

3 Images
Immunohistochemistry (Formalin/PFA-fixed paraffin-embedded sections) - Anti-Mammaglobin A antibody [SP319] - C-terminal (AB223504)
  • IHC-P

Unknown

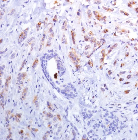
Immunohistochemistry (Formalin/PFA-fixed paraffin-embedded sections) - Anti-Mammaglobin A antibody [SP319] - C-terminal (AB223504)

Immunohistochemistry (Formalin/PFA-fixed paraffin-embedded sections) analysis of Human breast carcinoma tissue sections labeling Mammaglobin A with ab223504 at 1/100 dilution (1.08 μg/ml). Heat mediated antigen retrieval with Tris-EDTA buffer (pH 9.0, epitope retrieval solution 2) for 10mins. Goat Anti-Rabbit & Mouse IgG (HRP) was used as the secondary antibody. Hematoxylin was used as a counterstain. Cytoplasmic staining on the human breast carcinoma, performed on a Leica Biosystems BOND™ RX instrument.
The section was incubated with ab223504 for 10 mins at room temperature.

Immunohistochemistry (Formalin/PFA-fixed paraffin-embedded sections) - Anti-Mammaglobin A antibody [SP319] - C-terminal (AB223504)
  • IHC-P

Supplier Data

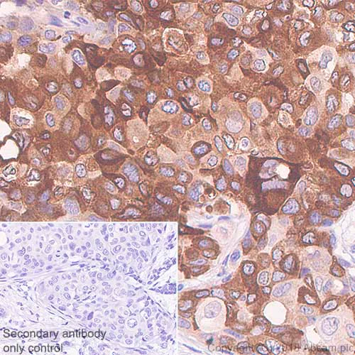
Immunohistochemistry (Formalin/PFA-fixed paraffin-embedded sections) - Anti-Mammaglobin A antibody [SP319] - C-terminal (AB223504)

Formalin-fixed, paraffin-embedded human breast ductal carcinoma tissue stained for Mammaglobin A with ab223504 at 1/100 dilution in immunohistochemical analysis.

Flow Cytometry (Intracellular) - Anti-Mammaglobin A antibody [SP319] - C-terminal (AB223504)
  • Flow Cyt (Intra)

Supplier Data

Flow Cytometry (Intracellular) - Anti-Mammaglobin A antibody [SP319] - C-terminal (AB223504)

Flow cytometric analysis of MCF7 (human breast adenocarcinoma cell line) cells stained for Mammaglobin A using ab223504 (green) at 1/100 dilution compared to negative control of rabbit IgG (blue).

  • Carrier free

    Anti-Mammaglobin A antibody [SP319] - BSA and Azide free

Key facts

Host species

Rabbit

Clonality

Monoclonal

Clone number

SP319

Isotype

IgG

Carrier free

No

Reacts with

Human

Applications

Flow Cyt (Intra), IHC-P

applications

Immunogen

The exact immunogen used to generate this antibody is proprietary information.

Reactivity data

{ "title": "Reactivity Data", "filters": { "stats": ["", "Species", "Dilution Info", "Notes"], "tabs": { "all-applications": {"fullname" : "All Applications", "shortname": "All Applications"}, "FlowCytIntra" : {"fullname" : "Flow Cytometry (Intracellular)", "shortname":"Flow Cyt (Intra)"}, "IHCP" : {"fullname" : "Immunohistochemistry (Formalin/PFA-fixed paraffin-embedded sections)", "shortname":"IHC-P"} }, "product-promise": { "all": "all", "testedAndGuaranteed": "tested", "guaranteed": "expected", "predicted": "predicted", "notRecommended": "not-recommended" } }, "values": { "Human": { "FlowCytIntra-species-checked": "testedAndGuaranteed", "FlowCytIntra-species-dilution-info": "1/100", "FlowCytIntra-species-notes": "<p>Primary Antibody Incubation: 30 minutes at 4°C.</p>", "IHCP-species-checked": "testedAndGuaranteed", "IHCP-species-dilution-info": "1/100", "IHCP-species-notes": "<p>Antigen Retrieval: Boil tissue section in EDTA buffer, pH 8.0 for 10 minutes followed by cooling at room temperature for 20 minutes.</p><p>Primary Antibody Incubation: 10 minutes at room temperature.</p>" } } }

Properties and storage information

Form
Liquid
Purification technique
Affinity purification Protein A/G
Storage buffer
pH: 7.6 Preservative: 0.1% Sodium azide Constituents: PBS, 1% BSA
Shipped at conditions
Blue Ice
Appropriate short-term storage duration
1-2 weeks
Appropriate short-term storage conditions
+4°C
Appropriate long-term storage conditions
-20°C
Aliquoting information
Upon delivery aliquot
Storage information
Avoid freeze / thaw cycle

Supplementary information

This supplementary information is collated from multiple sources and compiled automatically.

Mammaglobin A also known as MGB1 is a breast-specific protein of approximately 93 amino acids with a molecular mass of about 15 kDa. It has a high expression in mammary tissue and limited expression in other tissues like the sweat glands. Researchers use immunohistochemistry (IHC) to detect Mammaglobin in tissue samples because of its tissue-specific expression making it a useful marker for breast epithelium.
Biological function summary

Mammaglobin A functions as a glycoprotein. Its precise biological role remains unclear but scientists propose it plays a role in secretory processes due to its presence in epithelial cells of the mammary glands. This protein itself is not known to participate in a larger complex. The significance of Mammaglobin A as a marker rather than an active enzyme or receptor suggests its potential involvement in processes specific to breast tissue.

Pathways

Mammaglobin A interacts within pathways involving sex steroid hormone signaling reflecting its expression in mammary tissue. This protein's expression is possibly regulated by hormonal pathways like the estrogen pathway which plays a significant role in breast tissue development and differentiation. It does not actively participate with related proteins but might be an indicator of pathway activities associated with specific tissues or conditions.

Mammaglobin A is prominently associated with breast cancer. Its specific expression in breast tissue makes it a valuable marker for detecting disseminated breast tumor cells. Although it does not directly interact with proteins involved in cancer progression like HER2 or ER (estrogen receptor) its expression levels serve as an important biomarker for diagnosis and monitoring treatment response. Researchers continue to explore its potential utility in understanding breast cancer biology and improving clinical outcomes.

Product protocols

For this product, it's our understanding that no specific protocols are required. You can visit:

Publications (1)

Recent publications for all applications. Explore the full list and refine your search

PloS one 20:e0315922 PubMed39813259

2025

3D fluorescence staining and confocal imaging of low amount of intestinal organoids (enteroids): Protocol accessible to all.

Applications

Unspecified application

Species

Unspecified reactive species

Ami Gloria Toulehohoun,Caroline Bouzin,Aurélie Daumerie,Luca Maccioni,Peter Stärkel
View all publications

Product promise

We are committed to supporting your work with high-quality reagents, and we're here for you every step of the way. In the unlikely event that one of our products does not perform as expected, you're protected by our Product Promise.
For full details, please see our Terms & Conditions

Please note: All products are 'FOR RESEARCH USE ONLY. NOT FOR USE IN DIAGNOSTIC OR THERAPEUTIC PROCEDURES'.

For licensing inquiries, please contact partnerships@abcam.com