JavaScript is disabled in your browser. Please enable JavaScript to view this website.
AB106046

Anti-Mannan Binding Lectin/MBL antibody [14D12]

Be the first to review this product! Submit a review

|

(7 Publications)

Rat Monoclonal Mannan Binding Lectin/MBL antibody. Suitable for IHC-Fr and reacts with Mouse samples. Cited in 7 publications. Immunogen corresponding to Native Full Length Protein corresponding to Mouse Mbl2.

View Alternative Names

Mannose-binding protein C, MBP-C, Mannan-binding protein, RA-reactive factor P28A subunit, RARF/P28A, Mbl2

1 Images
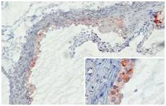
Immunohistochemistry (Frozen sections) - Anti-Mannan Binding Lectin/MBL antibody [14D12] (AB106046)
  • IHC-Fr

Unknown

Immunohistochemistry (Frozen sections) - Anti-Mannan Binding Lectin/MBL antibody [14D12] (AB106046)

ab106046 detecting Mannan Binding Lectin/MBL deposition in developing murine atherosclerotic lesions following 10 weeks of high fat feeding. Mannan Binding Lectin/MBL was detected in and around invading macrophages invading the intima (insert). Mannan Binding Lectin/MBL bound at sites of necrosis (upper right corner). No Mannan Binding Lectin/MBL binding was shown in the media or on fibrous caps covering the thickened intima.

Key facts

Host species

Rat

Clonality

Monoclonal

Clone number

14D12

Isotype

IgG2a

Carrier free

No

Reacts with

Mouse

Applications

IHC-Fr

applications

Immunogen

Native Full Length Protein corresponding to Mouse Mbl2.

P41317

Specificity

The immunogen for this antibody is from Mouse MBL-2 (MBL-C).

Reactivity data

{ "title": "Reactivity Data", "filters": { "stats": ["", "Species", "Dilution Info", "Notes"], "tabs": { "all-applications": {"fullname" : "All Applications", "shortname": "All Applications"}, "IHCFr" : {"fullname" : "Immunohistochemistry (Frozen sections)", "shortname":"IHC-Fr"} }, "product-promise": { "all": "all", "testedAndGuaranteed": "tested", "guaranteed": "expected", "predicted": "predicted", "notRecommended": "not-recommended" } }, "values": { "Mouse": { "IHCFr-species-checked": "testedAndGuaranteed", "IHCFr-species-dilution-info": "1/10", "IHCFr-species-notes": "<p>Cryostat sections (7μm) of mouse tissue were acetone fixed and stained o/n at 4C in TBS/2% goat serum</p>" } } }

Product details

It is recommended that solutions with a calcium concentration of 1 mM are used as ab106046 is a calcium-dependent antibody.

Properties and storage information

Form
Liquid
Purification technique
Affinity purification Protein G
Purification notes
0.2 µm filtered antibody solution
Storage buffer
Preservative: 0.02% Sodium azide Constituents: PBS, 0.1% BSA
Shipped at conditions
Blue Ice
Appropriate short-term storage conditions
+4°C
Appropriate long-term storage conditions
-20°C
Aliquoting information
Upon delivery aliquot
Storage information
Avoid freeze / thaw cycle

Supplementary information

This supplementary information is collated from multiple sources and compiled automatically.

Mannan Binding Lectin often referred to as MBL is an important player in the innate immune system. It is known alternatively as mannose-binding lectin or mannan-binding protein. The mass of MBL is approximately 32 to 34 kilodaltons and it is primarily produced in the liver. MBL circulates in the bloodstream where it can recognize patterns on the surface of pathogens such as bacteria and viruses through its lectin-binding domain. This recognition leads to the activation of other components that play roles in immune response.
Biological function summary

Mannan Binding Lectin serves a significant role in immune defense by binding to carbohydrate structures on pathogens. It is part of a complex known as the lectin pathway of the complement system one of three pathways that activate the complement system to enhance pathogen removal. MBL can activate through a series of proteases leading to opsonization cell lysis and inflammation which are vital responses to infection.

Pathways

Mannan recognition by MBL initiates the lectin pathway an essential component of the complement system. This pathway converges with the classical and alternative pathways to enhance the immune response. MBL works closely with MBL-associated serine proteases (MASPs) particularly MASP-1 and MASP-2 which cleave complement proteins resulting in pathogen opsonization and membrane attack complex formation. These actions are tightly regulated and ensure effective defense against invaders.

Deficiencies or polymorphisms in MBL can lead to increased susceptibility to infections and developmental complications of the immune system. Individuals with low MBL levels may experience recurrent respiratory infections or other bacterial infections due to inadequate complement activation. Moreover variations in the MBL protein have connections with autoimmune diseases such as systemic lupus erythematosus where MBL levels might influence disease severity. In these conditions altered interactions with other immune proteins like C4 and C3 may contribute to pathological responses.

Product protocols

For this product, it's our understanding that no specific protocols are required. You can visit:

Target data

Calcium-dependent lectin involved in innate immune defense. Binds mannose, fucose and N-acetylglucosamine on different microorganisms and activates the lectin complement pathway. Binds to late apoptotic cells, as well as to apoptotic blebs and to necrotic cells, but not to early apoptotic cells, facilitating their uptake by macrophages (By similarity).
See full target information Mbl2

Publications (7)

Recent publications for all applications. Explore the full list and refine your search

Cell host & microbe 30:1382-1400.e8 PubMed36099922

2022

A dissemination-prone morphotype enhances extrapulmonary organ entry by Cryptococcus neoformans.

Applications

Unspecified application

Species

Unspecified reactive species

Steven T Denham,Brianna Brammer,Krystal Y Chung,Morgan A Wambaugh,Joseph M Bednarek,Li Guo,Christian T Moreau,Jessica C S Brown

eLife 9: PubMed31934864

2020

TTBK2 and primary cilia are essential for the connectivity and survival of cerebellar Purkinje neurons.

Applications

Unspecified application

Species

Unspecified reactive species

Emily Bowie,Sarah C Goetz

Human molecular genetics 23:52-68 PubMed23943789

2013

Mouse genetics and proteomic analyses demonstrate a critical role for complement in a model of DHRD/ML, an inherited macular degeneration.

Applications

Unspecified application

Species

Unspecified reactive species

Donita L Garland,Rosario Fernandez-Godino,Inderjeet Kaur,Kaye D Speicher,James M Harnly,John D Lambris,David W Speicher,Eric A Pierce

Circulation 119:2188-95 PubMed19380618

2009

Macrophage-specific expression of mannose-binding lectin controls atherosclerosis in low-density lipoprotein receptor-deficient mice.

Applications

Unspecified application

Species

Unspecified reactive species

Robert A Matthijsen,Menno P J de Winther,Dian Kuipers,Ingeborg van der Made,Christian Weber,M Veronica Herias,Marion J J Gijbels,Wim A Buurman

Molecular immunology 45:3934-41 PubMed18672286

2008

Increased susceptibility of complement factor B/C2 double knockout mice and mannan-binding lectin knockout mice to systemic infection with Candida albicans.

Applications

Unspecified application

Species

Unspecified reactive species

Kathrin Held,Steffen Thiel,Michael Loos,Franz Petry

Veterinary immunology and immunopathology 118:129-33 PubMed17493687

2007

Binding of mouse mannan-binding lectins to different bacterial pathogens of mice.

Applications

Unspecified application

Species

Unspecified reactive species

Lise R Phaneuf,Brandon N Lillie,M Anthony Hayes,Patricia V Turner

Scandinavian journal of immunology 53:489-97 PubMed11309157

2001

Characterization and quantification of mouse mannan-binding lectins (MBL-A and MBL-C) and study of acute phase responses.

Applications

Unspecified application

Species

Unspecified reactive species

H Liu,L Jensen,S Hansen,S V Petersen,K Takahashi,A B Ezekowitz,F D Hansen,J C Jensenius,S Thiel
View all publications

Product promise

We are committed to supporting your work with high-quality reagents, and we're here for you every step of the way. In the unlikely event that one of our products does not perform as expected, you're protected by our Product Promise.
For full details, please see our Terms & Conditions

Please note: All products are 'FOR RESEARCH USE ONLY. NOT FOR USE IN DIAGNOSTIC OR THERAPEUTIC PROCEDURES'.

For licensing inquiries, please contact partnerships@abcam.com