JavaScript is disabled in your browser. Please enable JavaScript to view this website.
AB236550

Anti-Mannan Binding Lectin/MBL antibody [EPR18381-83] - BSA and Azide free

Be the first to review this product! Submit a review

|

(1 Publication)

Rabbit Recombinant Monoclonal Mannan Binding Lectin/MBL antibody. Carrier free. Suitable for IP, WB, IHC-P and reacts with Mouse samples. Cited in 1 publication.

View Alternative Names

Mannose-binding protein C, MBP-C, Mannan-binding protein, RA-reactive factor P28A subunit, RARF/P28A, Mbl2

2 Images
Immunohistochemistry (Formalin/PFA-fixed paraffin-embedded sections) - Anti-Mannan Binding Lectin/MBL antibody [EPR18381-83] - BSA and Azide free (AB236550)
  • IHC-P

Unknown

Immunohistochemistry (Formalin/PFA-fixed paraffin-embedded sections) - Anti-Mannan Binding Lectin/MBL antibody [EPR18381-83] - BSA and Azide free (AB236550)

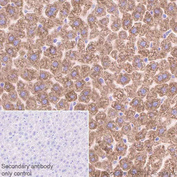
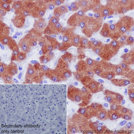
Immunohistochemical analysis of paraffin-embedded mouse liver tissue labeling Mannan Binding Lectin/MBL with ab212060 at 1/4000 dilution, followed by Goat Anti-Rabbit IgG H&L (HRP) Ready to use. Cytoplasmic staining in mouse liver (PMID : 12538708) is observed. Counter stained with hematoxylin.

Secondary antibody only control : Used PBS instead of primary antibody, secondary antibody is Goat Anti-Rabbit IgG H&L (HRP) Ready to use.

This data was developed using the same antibody clone in a different buffer formulation containing PBS, BSA, glycerol, and sodium azide (ab212060).

Heat mediated antigen retrieval was performed with Tris/EDTA buffer pH 9.0 before commencing with IHC staining protocol.

Immunoprecipitation - Anti-Mannan Binding Lectin/MBL antibody [EPR18381-83] - BSA and Azide free (AB236550)
  • IP

Unknown

Immunoprecipitation - Anti-Mannan Binding Lectin/MBL antibody [EPR18381-83] - BSA and Azide free (AB236550)

Mannan Binding Lectin/MBL was immunoprecipitated from 0.35 mg of mouse serum with ab212060 at 1/30 dilution. Western blot was performed from the immunoprecipitate using ab212060 at 1/1000 dilution. VeriBlot for IP Detection Reagent (HRP) (ab131366), was used for detection at 1/5000 dilution.

Lane 1 : Mouse serum 10 μg (Input).

Lane 2 : ab212060 IP in mouse serum.

Lane 3 : Rabbit monoclonal IgG (ab172730) instead of ab212060 in mouse serum.

Blocking and dilution buffer and concentration : 5% NFDM/TBST.

Exposure time : 30 seconds.

This data was developed using the same antibody clone in a different buffer formulation containing PBS, BSA, glycerol, and sodium azide (ab212060).

All lanes:

Immunoprecipitation - Anti-Mannan Binding Lectin/MBL antibody [EPR18381-83] (<a href='/en-us/products/primary-antibodies/mannan-binding-lectin-mbl-antibody-epr18381-83-ab212060'>ab212060</a>)

Predicted band size: 26 kDa

false

  • Unconjugated

    Anti-Mannan Binding Lectin/MBL antibody [EPR18381-83]

  • Carrier free

    Anti-Mannan Binding Lectin/MBL antibody [EPR18381-83] - BSA and Azide free (Detector)

Key facts

Host species

Rabbit

Clonality

Monoclonal

Clone number

EPR18381-83

Isotype

IgG

Carrier free

Yes

Reacts with

Mouse

Applications

IHC-P, WB, IP

applications

Immunogen

The exact immunogen used to generate this antibody is proprietary information.

Reactivity data

{ "title": "Reactivity Data", "filters": { "stats": ["", "Species", "Dilution Info", "Notes"], "tabs": { "all-applications": {"fullname" : "All Applications", "shortname": "All Applications"}, "IP" : {"fullname" : "Immunoprecipitation", "shortname":"IP"}, "WB" : {"fullname" : "Western blot", "shortname":"WB"}, "IHCP" : {"fullname" : "Immunohistochemistry (Formalin/PFA-fixed paraffin-embedded sections)", "shortname":"IHC-P"} }, "product-promise": { "all": "all", "testedAndGuaranteed": "tested", "guaranteed": "expected", "predicted": "predicted", "notRecommended": "not-recommended" } }, "values": { "Mouse": { "IP-species-checked": "testedAndGuaranteed", "IP-species-dilution-info": "", "IP-species-notes": "<p></p>", "WB-species-checked": "guaranteed", "WB-species-dilution-info": "", "WB-species-notes": "<p></p>", "IHCP-species-checked": "testedAndGuaranteed", "IHCP-species-dilution-info": "", "IHCP-species-notes": "<p></p>" } } }

Product details

ab236550 is the carrier-free version of ab212060.

Patented technology
Our RabMAb® technology is a patented hybridoma-based technology for making rabbit monoclonal antibodies. For details on our patents, please refer to RabMAb® patents.

What are the advantages of a recombinant monoclonal antibody?
This product is a recombinant monoclonal antibody, which offers several advantages including:

  • - High batch-to-batch consistency and reproducibility
  • - Improved sensitivity and specificity
  • - Long-term security of supply
  • - Animal-free batch production

For more information, read more on recombinant antibodies.

Conjugation ready
Our carrier-free antibodies are typically supplied in a PBS-only formulation, purified and free of BSA, sodium azide and glycerol. This conjugation-ready format is designed for use with fluorochromes, metal isotopes, oligonucleotides, and enzymes, which makes them ideal for antibody labelling, functional and cell-based assays, flow-based assays (e.g. mass cytometry) and Multiplex Imaging applications.

Use our conjugation kits for antibody conjugates that are ready-to-use in as little as 20 minutes with 1 minute hands-on-time and 100% antibody recovery: available for fluorescent dyes, HRP, biotin and gold.

Compatibility
This product is compatible with the Maxpar® Antibody Labeling Kit from Fluidigm, without the need for antibody preparation. Maxpar® is a trademark of Fluidigm Canada Inc.

Properties and storage information

Form
Liquid
Purification technique
Affinity purification Protein A
Storage buffer
pH: 7.2 - 7.4 Constituents: PBS
Shipped at conditions
Blue Ice
Appropriate short-term storage conditions
+4°C
Appropriate long-term storage conditions
+4°C
Storage information
Do Not Freeze

Supplementary information

This supplementary information is collated from multiple sources and compiled automatically.

Mannan Binding Lectin often referred to as MBL is an important player in the innate immune system. It is known alternatively as mannose-binding lectin or mannan-binding protein. The mass of MBL is approximately 32 to 34 kilodaltons and it is primarily produced in the liver. MBL circulates in the bloodstream where it can recognize patterns on the surface of pathogens such as bacteria and viruses through its lectin-binding domain. This recognition leads to the activation of other components that play roles in immune response.
Biological function summary

Mannan Binding Lectin serves a significant role in immune defense by binding to carbohydrate structures on pathogens. It is part of a complex known as the lectin pathway of the complement system one of three pathways that activate the complement system to enhance pathogen removal. MBL can activate through a series of proteases leading to opsonization cell lysis and inflammation which are vital responses to infection.

Pathways

Mannan recognition by MBL initiates the lectin pathway an essential component of the complement system. This pathway converges with the classical and alternative pathways to enhance the immune response. MBL works closely with MBL-associated serine proteases (MASPs) particularly MASP-1 and MASP-2 which cleave complement proteins resulting in pathogen opsonization and membrane attack complex formation. These actions are tightly regulated and ensure effective defense against invaders.

Deficiencies or polymorphisms in MBL can lead to increased susceptibility to infections and developmental complications of the immune system. Individuals with low MBL levels may experience recurrent respiratory infections or other bacterial infections due to inadequate complement activation. Moreover variations in the MBL protein have connections with autoimmune diseases such as systemic lupus erythematosus where MBL levels might influence disease severity. In these conditions altered interactions with other immune proteins like C4 and C3 may contribute to pathological responses.

Product protocols

For this product, it's our understanding that no specific protocols are required. You can visit:

Target data

Calcium-dependent lectin involved in innate immune defense. Binds mannose, fucose and N-acetylglucosamine on different microorganisms and activates the lectin complement pathway. Binds to late apoptotic cells, as well as to apoptotic blebs and to necrotic cells, but not to early apoptotic cells, facilitating their uptake by macrophages (By similarity).
See full target information Mbl2

Publications (1)

Recent publications for all applications. Explore the full list and refine your search

Nature communications 14:7136 PubMed37932296

2023

FNIP1 abrogation promotes functional revascularization of ischemic skeletal muscle by driving macrophage recruitment.

Applications

Unspecified application

Species

Unspecified reactive species

Zongchao Sun,Likun Yang,Abdukahar Kiram,Jing Yang,Zhuangzhuang Yang,Liwei Xiao,Yujing Yin,Jing Liu,Yan Mao,Danxia Zhou,Hao Yu,Zheng Zhou,Dengqiu Xu,Yuhuan Jia,Chenyun Ding,Qiqi Guo,Hongwei Wang,Yan Li,Li Wang,Tingting Fu,Shijun Hu,Zhenji Gan
View all publications

Product promise

We are committed to supporting your work with high-quality reagents, and we're here for you every step of the way. In the unlikely event that one of our products does not perform as expected, you're protected by our Product Promise.
For full details, please see our Terms & Conditions

Please note: All products are 'FOR RESEARCH USE ONLY. NOT FOR USE IN DIAGNOSTIC OR THERAPEUTIC PROCEDURES'.

For licensing inquiries, please contact partnerships@abcam.com