JavaScript is disabled in your browser. Please enable JavaScript to view this website.
AB64693

Anti-CD206 antibody

5

(42 Reviews)

|

(1151 Publications)

Anti-CD206 antibody (ab64693) is a rabbit polyclonal antibody detecting CD206 in Western Blot, IHC-P, ICC/IF. Suitable for Human, Mouse, Rat.

- Over 750 publications
- Trusted since 2009

View Alternative Names

CD206, CLEC13D, CLEC13DL, MRC1L1, MRC1, Macrophage mannose receptor 1, MMR, C-type lectin domain family 13 member D, C-type lectin domain family 13 member D-like, Human mannose receptor, Macrophage mannose receptor 1-like protein 1, hMR

12 Images
Western blot - Anti-CD206 antibody (AB64693)
  • WB

Lab

Western blot - Anti-CD206 antibody (AB64693)

All lanes:

Western blot - Anti-CD206 antibody (ab64693) at 1 µg/mL

Lane 1:

Rat liver tissue lysate at 10 µg

Lane 2:

Human lung tissue lysate at 10 µg

Lane 3:

Rat lung tissue lysate at 10 µg

Lane 4:

Western blot - Mouse lung normal tissue lysate - total protein (<a href='/en-us/products/tissue-lysates/mouse-lung-normal-tissue-lysate-total-protein-ab29297'>ab29297</a>) at 10 µg

Secondary

All lanes:

Peroxidase AffiniPure Goat Anti-Rabbit IgG (H+L) at 1/5000 dilution

Predicted band size: 166 kDa

Observed band size: 190 kDa

true

Exposure time: 4min

Immunohistochemistry (Formalin/PFA-fixed paraffin-embedded sections) - Anti-CD206 antibody (AB64693)
  • IHC-P

Lab

Immunohistochemistry (Formalin/PFA-fixed paraffin-embedded sections) - Anti-CD206 antibody (AB64693)

Immunohistochemical analysis of formalin fixed paraffin embedded human lung labelling CD206 with ab64693 at 0.1 µg/ml. The immunostaining was performed on a Ventana DISCOVERY ULTRA (Roche Tissue Diagnostics) instrument with an OptiView DAB IHC Detection Kit. Heat mediated antigen retrieval was conducted for 32min with ULTRA cell conditioning solution (CC1 pH8.5). ab64693 anti CD206 antibody was incubated at 37°C for 16min. Sections were counterstained is with Hematoxylin II. Image inset shows absence of staining in secondary antibody only control.

Immunocytochemistry/ Immunofluorescence - Anti-CD206 antibody (AB64693)
  • ICC/IF

Lab

Immunocytochemistry/ Immunofluorescence - Anti-CD206 antibody (AB64693)

ab64693 staining CD206 in MOLT4 cells. The cells were fixed with 4% Formaldehyde (10 min) permeabilized with 0.1% PBS-Tween for 5 minutes and then blocked with 1% BSA/10% normal goat serum/0.3M glycine in 0.1%PBS-Tween for 1h. The cells were then incubated overnight at 4°C with ab64693 at 1μg/ml and ab7291 Mouse monoclonal [DM1A] to alpha Tubulin - Loading Control. Cells were then incubated with ab150081 Goat polyclonal Secondary Antibody to Rabbit IgG - H&L (Alexa Fluor® 488) pre-adsorbed at 1/1000 dilution (shown in green) and ab150120 Goat polyclonal Secondary Antibody to Mouse IgG - H&L (Alexa Fluor® 594) pre-adsorbed at 1/1000 dilution (shown in pseudocolour red). Nuclear DNA was labelled with DAPI (shown in blue).

Image was acquired with a confocal microscope (Leica-Microsystems TCS SP8) and a single confocal section is shown.

Immunohistochemistry (Formalin/PFA-fixed paraffin-embedded sections) - Anti-CD206 antibody (AB64693)
  • IHC-P

Lab

Immunohistochemistry (Formalin/PFA-fixed paraffin-embedded sections) - Anti-CD206 antibody (AB64693)

IHC image of ab64693 staining in human lung formalin fixed paraffin embedded tissue section*, performed on a Leica BondTM system using the standard protocol F. The section was pre-treated using heat mediated antigen retrieval with sodium citrate buffer (pH6, epitope retrieval solution 1) for 20 mins. The section was then incubated with ab64693, 0.1μg/ml, for 15 mins at room temperature and detected using an HRP conjugated compact polymer system. DAB was used as the chromogen. The section was then counterstained with haematoxylin and mounted with DPX.

For other IHC staining systems (automated and non-automated) customers should optimize variable parameters such as antigen retrieval conditions, primary antibody concentration and antibody incubation times.

*Tissue obtained from the Human Research Tissue Bank, supported by the NIHR Cambridge Biomedical Research Centre

Immunohistochemistry (Formalin/PFA-fixed paraffin-embedded sections) - Anti-CD206 antibody (AB64693)
  • IHC-P

Unknown

Immunohistochemistry (Formalin/PFA-fixed paraffin-embedded sections) - Anti-CD206 antibody (AB64693)

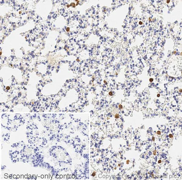
IHC image of CD206 staining in a section of formalin-fixed paraffin-embedded normal rat lung performed on a Leica BONDTM system using the standard protocol. The section was pre-treated using heat mediated antigen retrieval with sodium citrate buffer (pH6 epitope retrieval solution 1) for 20mins. The section was then incubated with ab64693 0.01ug/ml for 15 mins at room temperature and detected using an HRP conjugated compact polymer system. DAB was used as the chromogen. The section was then counterstained with haematoxylin and mounted with DPX. The inset secondary-only control image is taken from an identical assay without primary antibody.

For other IHC staining systems (automated and non-automated) customers should optimize variable parameters such as antigen retrieval conditions primary antibody concentration and antibody incubation times.

Immunohistochemistry (Formalin/PFA-fixed paraffin-embedded sections) - Anti-CD206 antibody (AB64693)
  • IHC-P

Lab

Immunohistochemistry (Formalin/PFA-fixed paraffin-embedded sections) - Anti-CD206 antibody (AB64693)

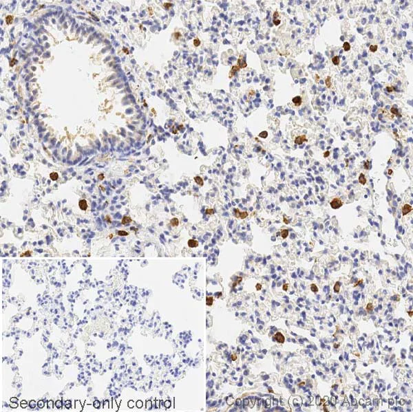
IHC image of CD206 staining in a section of formalin-fixed paraffin-embedded normal mouse lung performed on a Leica BONDTM system using the standard protocol. The section was pre-treated using heat mediated antigen retrieval with sodium citrate buffer (pH6 epitope retrieval solution 1) for 20mins. The section was then incubated with ab64693 0.01ug/ml for 15 mins at room temperature and detected using an HRP conjugated compact polymer system. DAB was used as the chromogen. The section was then counterstained with haematoxylin and mounted with DPX. The inset secondary-only control image is taken from an identical assay without primary antibody.

For other IHC staining systems (automated and non-automated) customers should optimize variable parameters such as antigen retrieval conditions primary antibody concentration and antibody incubation times.

Immunohistochemistry (Formalin/PFA-fixed paraffin-embedded sections) - Anti-CD206 antibody (AB64693)
  • IHC-P

AbReview66363****

Immunohistochemistry (Formalin/PFA-fixed paraffin-embedded sections) - Anti-CD206 antibody (AB64693)

Paraffin embedded formalin-fixed mouse lung tissue labelling the CD206 with ab64693 at 1/500 in immunohistochemical analysis. An Alexa Fluor® 647 Goat anti-rabbit IgG was used as the secondary antibody this was artificially colored green by software to enhance stain visibility. Heat mediated antigen retrieval was performed using Tris/EDTA buffer pH 9. 15% serum was used as blocking agent for 1 hour at room temperature.

This image is courtesy of an anonymous Abreview

Immunocytochemistry/ Immunofluorescence - Anti-CD206 antibody (AB64693)
  • ICC/IF

CiteAb

Immunocytochemistry/ Immunofluorescence - Anti-CD206 antibody (AB64693)

Immunocytochemistry/ Immunofluorescence using Anti-Mannose Receptor antibody, ab64693. Publication image from Zhao, S. J. et al., 2020, Theranostics, 31903103. Legend direct from paper.

Depletion of MSR1 in BMDMs reduced M2-like macrophages and mitochondrial OXPHOS in the co-culture system. (A) IF staining results of MSR1 WT and KO macrophages in the co-culture system for an M1-like marker (iNOS) and M2-like marker (CD206). Bar = 50 µm. (B) mRNA expression levels of M2-like marker genes (CD206 and CD163) in MSR1 WT and KO macrophages with or without co-culture by qPCR. Values are mean ± SD, *p < 0.05, ns indicates no significance. (C) Flow cytometry analysis of MSR1 WT or KO macrophages after co-culturing with BMSCs. Dot plots represent F4/80 and iNOS staining (left panel) and F4/80 and CD206 staining of macrophages (right panel). (D) Percentages of F4/80+ iNOS+ and F4/80+ CD206+ macrophages with or without co-culture were determined. Values are mean ± SD, ***p < 0.001, ns indicates no significance. (E) OCR of BMDMs in MSR1 WT or KO group after co-culture was detected using a Seahorse Bioscience XFp analyzer. O : Oligomycin, F : FCCP, A&R : antimycin A/rotenone. (F) Mitochondrial activities such as basal respiration, ATP production, respiratory capacity, and respiratory reserve were determined in indicated groups. Values are mean ± SD, *p < 0.05, **p < 0.01, ***p < 0.001, ns indicates no significance.

Immunocytochemistry/ Immunofluorescence - Anti-CD206 antibody (AB64693)
  • ICC/IF

CiteAb

Immunocytochemistry/ Immunofluorescence - Anti-CD206 antibody (AB64693)

Immunocytochemistry/ Immunofluorescenceusing Anti-Mannose Receptor antibody, ab64693. Publication image from Zhao, S. J. et al., 2020, Theranostics, 31903103. Legend direct from paper.

MSR1-depletion reduced the fraction of M2-like macrophages on day 7 post-surgery in the tibial monocortical defect model. (A) Immunofluorescence (IF) staining of the total macrophage biomarker, F4/80 (green), and M1-like macrophage biomarker, iNOS (purple) and M2-like macrophage biomarker, CD206 (red), in facture tissues on day 3 post-surgery in the tibial monocortical defect model. Nuclei were counterstained with DAPI (blue). Bar = 200 µm. (B and C) The infiltration of F4/80+ macrophages (B) and the fraction of iNOS+ F4/80+ and CD206+ F4/80+ macrophages (C) were determined on day 3 post-surgery in the tibial monocortical defect model from MSR1 WT and KO mice (Values are expressed as mean ± SD, ns indicates no significance). iNOS group indicates the samples stained with anti-F4/80 and anti-iNOS; the slides stained with anti-F4/80, and anti-CD206 denote the CD206 group. (D) Representative IF images of total macrophages (F4/80+), M1-like macrophages (iNOS+ F4/80+), and M2-like macrophages (CD206+ F4/80+) in facture tissues on day 7 post-surgery of the tibial monocortical defect model. Nuclei were counterstained with DAPI (blue). Bar = 200 µm. (E) The iNOS+ and CD206+ macrophage fractions were determined by the percentages of iNOS+ and CD206+ macrophages within F4/80+ macrophage populations in the MSR1 WT or KO fracture tissues on day 7 post-surgery in the tibial monocortical defect model (Values are expressed as mean ± SD, *p < 0.05, **p < 0.01). (F) mRNA expression levels of macrophage marker genes (M1-like : iNOS and IL-1b, M2-like : CD206 and CD163) in the fracture tissues from MSR1 WT or MSR1 KO mice on day 7 in the tibial monocortical defect model (L) (*p < 0.05, **p < 0.01, ***p < 0.001).

Immunocytochemistry/ Immunofluorescence - Anti-CD206 antibody (AB64693)
  • ICC/IF

CiteAb

Immunocytochemistry/ Immunofluorescence - Anti-CD206 antibody (AB64693)

Immunocytochemistry/ Immunofluorescence using Anti-Mannose Receptor antibody, ab64693. Publication image from Zhao, S. J. et al., 2020, Theranostics, 31903103. Legend direct from paper.

Overexpression of MSR1 in RAW264.7 cells promotes mitochondrial OXPHOS and M2-like polarization in the co-culture system. (A) OCR of blank (BL), vector (Vec), and MSR1-overexpressed (OE) RAW264.7 cells after co-culture were evaluated using a Seahorse Bioscience XFp analyzer. (B) Basal respiration, ATP production, respiratory capacity, and respiratory reserve were determined in BL, Vec, and MSR1 OE RAW264.7 cells with or without co-culture. Values are expressed as mean ± SD, **p < 0.01, ***p < 0.001, ns indicates no significance. (C) IF staining of BL, Vec, and OE RAW264.7 cells after co-culture for the M1-like biomarker (iNOS) and M2-like biomarker (CD206). Bar = 50 µm. (D) mRNA expression levels of M2-like macrophage marker genes (CD206 and CD163) in indicated groups were analyzed by qPCR. Values are expressed as mean ± SD, *p < 0.05, **p < 0.01, ***p < 0.001, ns indicates no significance. (E and G) Flow cytometry analysis of RAW264.7 cells from different groups after co-culture with BMSCs. Dot plots represent F4/80 and iNOS staining of (E) and F4/80 and CD206 staining of RAW264.7 cells (G). (F and H) percentages of F4/80+ iNOS+ (F) and F4/80+ CD206+ (H) in RAW264.7 cells in different groups were calculated. Values are expressed as mean ± SD, *p < 0.05, **p < 0.01, ***p < 0.001, ns indicates no significance.

Immunocytochemistry/ Immunofluorescence - Anti-CD206 antibody (AB64693)
  • ICC/IF

CiteAb

Immunocytochemistry/ Immunofluorescence - Anti-CD206 antibody (AB64693)

Immunocytochemistry/ Immunofluorescenceusing Anti-Mannose Receptor antibody, ab64693. Publication image from Zhao, S. J. et al., 2020, Theranostics, 31903103. Legend direct from paper.

Substitution of MSR1 KO bone marrow with MSR1 WT bone marrow promotes intramembranous bone healing. (A) Schematic representation of the main steps of the bone marrow transplant. (B) Representation of 3D images of injured tibiae from different transplanted mice (KO to KO vs. WT to KO) by micro-CT on day 7 or 14 post-surgery. (C-F) Quantification of BV/TV (%) (C), Tb. Th (mm) (D), Tb. N (/mm) (E) and Tb. Sp (mm) (F) in the defect region on day 7 and 14 post-surgery for different transplanted mice (KO to KO vs. WT to KO) (Values are expressed as mean ± SD, *p < 0.05). (G) Representative IF images of total macrophages (F4/80+), M1-like macrophages (iNOS+ F4/80+) and M2-like macrophages (CD206+ F4/80+) in facture tissues from the bone marrow of transplanted mice (transplanted MSR1 KO bone marrow to host KO mice and transplanted MSR1 WT bone marrow to host KO mice) on day 7 post-surgery in the tibial monocortical defect model. Nuclei were counterstained with DAPI (blue). Bar = 100 µm. (H) The iNOS+ and CD206+ macrophage fractions were determined from different transplanted mice (KO to KO vs. WT to KO) on day 7 post-surgery of the tibial monocortical defect model (Values are expressed as mean ± SD, *p < 0.05, **p < 0.01). (I) mRNA expression levels of macrophage marker genes (M1-like : iNOS and IL-1b, M2-like : CD206 and CD163) in fracture tissues from different transplanted mice on day 7 in the tibial monocortical defect model (K) (*p < 0.05, **p < 0.01, ***p < 0.001).

Immunocytochemistry/ Immunofluorescence - Anti-CD206 antibody (AB64693)
  • ICC/IF

CiteAb

Immunocytochemistry/ Immunofluorescence - Anti-CD206 antibody (AB64693)

Immunocytochemistry/ Immunofluorescence using Anti-Mannose Receptor antibody, ab64693. Publication image from Zhao, S. J. et al., 2020, Theranostics, 31903103. Legend direct from paper.

MSR1-depletion reduced the fraction of M2-like macrophages on day 7 post-surgery in the tibial monocortical defect model. (A) Immunofluorescence (IF) staining of the total macrophage biomarker, F4/80 (green), and M1-like macrophage biomarker, iNOS (purple) and M2-like macrophage biomarker, CD206 (red), in facture tissues on day 3 post-surgery in the tibial monocortical defect model. Nuclei were counterstained with DAPI (blue). Bar = 200 µm. (B and C) The infiltration of F4/80+ macrophages (B) and the fraction of iNOS+ F4/80+ and CD206+ F4/80+ macrophages (C) were determined on day 3 post-surgery in the tibial monocortical defect model from MSR1 WT and KO mice (Values are expressed as mean ± SD, ns indicates no significance). iNOS group indicates the samples stained with anti-F4/80 and anti-iNOS; the slides stained with anti-F4/80, and anti-CD206 denote the CD206 group. (D) Representative IF images of total macrophages (F4/80+), M1-like macrophages (iNOS+ F4/80+), and M2-like macrophages (CD206+ F4/80+) in facture tissues on day 7 post-surgery of the tibial monocortical defect model. Nuclei were counterstained with DAPI (blue). Bar = 200 µm. (E) The iNOS+ and CD206+ macrophage fractions were determined by the percentages of iNOS+ and CD206+ macrophages within F4/80+ macrophage populations in the MSR1 WT or KO fracture tissues on day 7 post-surgery in the tibial monocortical defect model (Values are expressed as mean ± SD, *p < 0.05, **p < 0.01). (F) mRNA expression levels of macrophage marker genes (M1-like : iNOS and IL-1b, M2-like : CD206 and CD163) in the fracture tissues from MSR1 WT or MSR1 KO mice on day 7 in the tibial monocortical defect model (L) (*p < 0.05, **p < 0.01, ***p < 0.001).

Key facts

Host species

Rabbit

Clonality

Polyclonal

Isotype

IgG

Carrier free

No

Reacts with

Mouse, Rat, Human

Applications

ICC/IF, IHC-P, WB

applications

Immunogen

The exact immunogen used to generate this antibody is proprietary information.

Specificity

From Jan 2024, QC testing of replenishment batches of this polyclonal changed. All tested and expected application and reactive species combinations are still covered by our Abcam product promise. However, we no longer test all applications. For more information on a specific batch, please contact our Scientific Support who will be happy to help.

Reactivity data

{ "title": "Reactivity Data", "filters": { "stats": ["", "Species", "Dilution Info", "Notes"], "tabs": { "all-applications": {"fullname" : "All Applications", "shortname": "All Applications"}, "IHCP" : {"fullname" : "Immunohistochemistry (Formalin/PFA-fixed paraffin-embedded sections)", "shortname":"IHC-P"}, "ICCIF" : {"fullname" : "Immunocytochemistry/ Immunofluorescence", "shortname":"ICC/IF"}, "WB" : {"fullname" : "Western blot", "shortname":"WB"} }, "product-promise": { "all": "all", "testedAndGuaranteed": "tested", "guaranteed": "expected", "predicted": "predicted", "notRecommended": "not-recommended" } }, "values": { "Human": { "IHCP-species-checked": "testedAndGuaranteed", "IHCP-species-dilution-info": "0.05-0.1 µg/mL", "IHCP-species-notes": "<p>We do not recommend methanol fixation with this antibody</p> Perform heat-mediated antigen retrieval before commencing with IHC staining protocol.", "ICCIF-species-checked": "guaranteed", "ICCIF-species-dilution-info": "1 µg/mL", "ICCIF-species-notes": "<p>Permeabilise with Tween (0.1%)</p>", "WB-species-checked": "guaranteed", "WB-species-dilution-info": "0.05-0.1 µg/mL", "WB-species-notes": "<p></p>" }, "Mouse": { "IHCP-species-checked": "testedAndGuaranteed", "IHCP-species-dilution-info": "0.05-0.1 µg/mL", "IHCP-species-notes": "<p>We do not recommend methanol fixation with this antibody</p> Perform heat-mediated antigen retrieval before commencing with IHC staining protocol.", "ICCIF-species-checked": "guaranteed", "ICCIF-species-dilution-info": "1 µg/mL", "ICCIF-species-notes": "<p>Permeabilise with Tween (0.1%)</p>", "WB-species-checked": "guaranteed", "WB-species-dilution-info": "0.05-0.1 µg/mL", "WB-species-notes": "<p></p>" }, "Rat": { "IHCP-species-checked": "testedAndGuaranteed", "IHCP-species-dilution-info": "0.05-0.1 µg/mL", "IHCP-species-notes": "<p>We do not recommend methanol fixation with this antibody</p> Perform heat-mediated antigen retrieval before commencing with IHC staining protocol.", "ICCIF-species-checked": "guaranteed", "ICCIF-species-dilution-info": "1 µg/mL", "ICCIF-species-notes": "<p>Permeabilise with Tween (0.1%)</p>", "WB-species-checked": "guaranteed", "WB-species-dilution-info": "1 µg/mL", "WB-species-notes": "<p></p>" }, "Chimpanzee": { "IHCP-species-checked": "predicted", "IHCP-species-dilution-info": "", "IHCP-species-notes": "", "ICCIF-species-checked": "predicted", "ICCIF-species-dilution-info": "", "ICCIF-species-notes": "", "WB-species-checked": "predicted", "WB-species-dilution-info": "", "WB-species-notes": "" }, "Rhesus monkey": { "IHCP-species-checked": "predicted", "IHCP-species-dilution-info": "", "IHCP-species-notes": "", "ICCIF-species-checked": "predicted", "ICCIF-species-dilution-info": "", "ICCIF-species-notes": "", "WB-species-checked": "predicted", "WB-species-dilution-info": "", "WB-species-notes": "" } } }

Product details

Anti-CD206 antibody (ab64693) is a rabbit polyclonal antibody and is validated for use in ICC/IF, IHC-P and WB.

Anti-CD206 antibody (ab64693) was first used in a scientific publication in 2010 and has been cited over 750 times in peer reviewed journals. It's performance in Western blot and IHC in human, mouse and rat samples is trusted by the scientific community.

Abcam's high quality validation processes ensure Anti-CD206 antibody (ab64693) has high sensitivity and specificity.

Anti-CD206 antibody (ab64693) has 38 independent reviews from customers.

Anti-CD206 antibody (ab64693) specifically detects CD206 (UniProt ID: P22897; Molecular weight: 165kDa) and is sold in 100 ug selling sizes.

Mannose receptor (CD206) is associated with conditions like rheumatoid arthritis and atherosclerosis, where it helps regulate inflammation

Properties and storage information

Form
Liquid
Purification technique
Affinity purification Immunogen
Storage buffer
pH: 7.4 Preservative: 0.02% Sodium azide Constituents: PBS, 1% BSA
Shipped at conditions
Blue Ice
Appropriate short-term storage duration
1-2 weeks
Appropriate short-term storage conditions
+4°C
Appropriate long-term storage conditions
-20°C
Aliquoting information
Upon delivery aliquot
Storage information
Avoid freeze / thaw cycle

Supplementary information

This supplementary information is collated from multiple sources and compiled automatically.

The CD206 or MRC1 is a transmembrane protein that plays a role in the endocytic pathway. With a molecular weight of approximately 175 kDa it is expressed primarily in macrophages and dendritic cells. This receptor binds to mannose fucose and N-acetylglucosamine residues present on glycoproteins and microorganisms. It functions as an image receptor that facilitates uptake and removal of external particles.
Biological function summary

CD206 performs essential functions in immune response modulation. It is not part of any known protein complex but can interact with other proteins on the cell surface. Expressed widely on macrophages it helps in the clearance of glycosylated antigens and pathogens that have been tagged for degradation. Anti-CD206 antibodies are commonly used in the study of macrophage biology helping to identify and isolate cells expressing the CD206 marker.

Pathways

CD206 plays a significant role in the immune system's pathogen recognition and clearance pathways. It is involved in phagocytosis and antigen processing connecting with lysosomal enzymes following endocytosis of pathogens. This receptor’s function can interface with components of the toll-like receptor (TLR) pathways where it may work alongside proteins such as CD14 in recognizing pathogen-associated molecular patterns.

CD206 is implicated in infectious diseases and inflammatory conditions. It is involved in the body's response to bacterial infections aiding in the phagocytosis and clearance of these pathogens. Its role in inflammation connects it with disorders such as atherosclerosis where dysfunctional macrophage activation can be observed. The CD206 interacts with other proteins related to these conditions including CD209 which also participates in pathogen recognition and immune response functionalities.

Product protocols

For this product, it's our understanding that no specific protocols are required. You can visit:

Target data

Mediates the endocytosis of glycoproteins by macrophages. Binds both sulfated and non-sulfated polysaccharide chains.. (Microbial infection) Acts as a phagocytic receptor for bacteria, fungi and other pathogens.. (Microbial infection) Acts as a receptor for Dengue virus envelope protein E.. (Microbial infection) Interacts with Hepatitis B virus envelope protein.
See full target information MRC1

Publications (1151)

Recent publications for all applications. Explore the full list and refine your search

Regenerative biomaterials 12:rbaf089 PubMed41048976

2025

ROS scavenging MnO nanozyme regulated immune microenvironment and affects intercellular interaction to promote wound healing in diabetes.

Applications

Unspecified application

Species

Unspecified reactive species

Zhuoyuan Li,Ao Zheng,Chen Liang,Zhiyuan Mao,Tanjun Deng,Lingyan Cao,Chen Wang

Regenerative biomaterials 12:rbaf092 PubMed41048975

2025

L-arginine-loaded microneedle patch enhances diabetic wound healing by regulating macrophage polarisation and mitochondrial homeostasis.

Applications

Unspecified application

Species

Unspecified reactive species

Hong Wang,Shun Yao,Qingyun Mo,Mingyue Chen,Danfeng He,Lingfeng Yan,Chang Wang,Tao Zou,Gaoxing Luo,Jun Deng

Cell division 20:22 PubMed41039618

2025

FGF4 drives tumor progression in triple-negative breast cancer via IL6/STAT3-mediated macrophage M2 polarization and immune suppression.

Applications

Unspecified application

Species

Unspecified reactive species

Xuanhe Zhang,Shushan Zhang,Yuanyuan Han

International journal of molecular sciences 26: PubMed41009700

2025

An Expendable Player in Positive Vascular Remodeling? ADAMTS13 Deficiency Does Not Affect Arteriogenesis or Angiogenesis.

Applications

Unspecified application

Species

Unspecified reactive species

Carolin Baur,Amanda Geml,Kira-Sofie Wimmer,Franziska Heim,Anja Holschbach,Katharina Elbs,Michael R Rohrmoser,Dominic van den Heuvel,Alexander T Bauer,Stefan W Schneider,Daphne Merkus,Elisabeth Deindl

Frontiers in bioengineering and biotechnology 13:1624106 PubMed40994673

2025

Multifunctional PEEK implants via mussel adhesion-mediated assembly for osteoimmune regulation and antibacterial properties.

Applications

Unspecified application

Species

Unspecified reactive species

Lei Wang,Qiang Wang,Fan Wang,Shouliang Xiong,Xin Yang,Jie Zhao,Xiao Lu,Yinchang Zhang,Pingbo Chen,Surong Qian,Guohai Lu,Chengyong Gu

Physiological reports 13:e70558 PubMed40970288

2025

MK2 deficiency decreases mortality in male mice during the inflammatory phase after myocardial infarction.

Applications

Unspecified application

Species

Unspecified reactive species

Joëlle Trépanier,Sherin A Nawaito,Pramod Sahadevan,Fatiha Sahmi,Natacha Duquette,Danielle Gélinas,Marc-Antoine Gillis,Yanfen Shi,Cynthia Torok,Marie-Élaine Clavet-Lanthier,Matthias Gaestel,Martin G Sirois,Jean-Claude Tardif,Bruce G Allen

Frontiers in immunology 16:1634442 PubMed40959060

2025

Mechanisms underlying the mitigating action of Maxing Shigan Decoction in acute lung injury caused by influenza virus based on UPLC-HRMS analysis and network pharmacology.

Applications

Unspecified application

Species

Unspecified reactive species

Jue Hu,Xiangming Ma,Yufeng Xiao,Chunjing Chen,Chang Liu,Jun Lu,Xiaoqi Wang,Fangguo Lu

Laboratory animal research 41:21 PubMed40958130

2025

Anti-allergic and anti-inflammatory effects of Gastrodia elata Blume extract in ovalbumin-induced asthma rat model.

Applications

Unspecified application

Species

Unspecified reactive species

Jeong Su Park,Yeon Su Lee,Da Eun Jung,Ji Won Seo,Hyeon Jeong Na,Jin Woo Hong,Jae-Ho Shin

Journal of clinical and translational hepatology 13:555-567 PubMed40937080

2025

CCNE1 Promotes the Progression of Hepatic Precancerous Lesion and the Malignant Phenotype of Hepatocellular Carcinoma.

Applications

Unspecified application

Species

Unspecified reactive species

Kai Zhang,Xue Hu,Lichao Yao,Wenzhi Guo

Science advances 11:eadu5245 PubMed40901944

2025

Microenvironment-driven transformable self-assembly nanoplatform enables spatiotemporal remodeling for rheumatoid arthritis therapy.

Applications

Unspecified application

Species

Unspecified reactive species

Chuan Hu,Jiaqi Ma,Xi Chen,Yaxin Chen,Yujun Song,Qingsong Tang,Xinling He,Yitao Wang,Huile Gao,Jinming Zhang
View all publications

Product promise

We are committed to supporting your work with high-quality reagents, and we're here for you every step of the way. In the unlikely event that one of our products does not perform as expected, you're protected by our Product Promise.
For full details, please see our Terms & Conditions

Please note: All products are 'FOR RESEARCH USE ONLY. NOT FOR USE IN DIAGNOSTIC OR THERAPEUTIC PROCEDURES'.

For licensing inquiries, please contact partnerships@abcam.com