JavaScript is disabled in your browser. Please enable JavaScript to view this website.
AB252921

Anti-Mannose Receptor antibody [EPR22489-7]

Be the first to review this product! Submit a review

|

(9 Publications)

Rabbit Recombinant Monoclonal Mannose Receptor antibody. Suitable for WB, IHC-P and reacts with Human samples. Cited in 9 publications.

View Alternative Names

CD206, CLEC13D, CLEC13DL, MRC1L1, MRC1, Macrophage mannose receptor 1, MMR, C-type lectin domain family 13 member D, C-type lectin domain family 13 member D-like, Human mannose receptor, Macrophage mannose receptor 1-like protein 1, hMR

5 Images
Western blot - Anti-Mannose Receptor antibody [EPR22489-7] (AB252921)
  • WB

Unknown

Western blot - Anti-Mannose Receptor antibody [EPR22489-7] (AB252921)

Blocking/Dilution buffer : 5% NFDM/TBST.

Exposure times : Lane 1 : 3 mins. Lanes 2 & 3 : 26 secs. Lane 4 : 10 secs.

The molecular weight observed is consistent with what has been described in the literature (PMID : 26202986; 23752129).

All lanes:

Western blot - Anti-Mannose Receptor antibody [EPR22489-7] (ab252921) at 1/1000 dilution

Lane 1:

Human liver lysate at 20 µg

Lane 2:

Human lung lysate at 20 µg

Lane 3:

Human lymph node lysate at 20 µg

Lane 4:

Human placenta lysate at 20 µg

Secondary

All lanes:

Western blot - VeriBlot for IP Detection Reagent (HRP) (<a href='/en-us/products/reagents/veriblot-for-ip-detection-reagent-hrp-ab131366'>ab131366</a>) at 1/1000 dilution

Predicted band size: 166 kDa

Observed band size: 175 kDa

false

Western blot - Anti-Mannose Receptor antibody [EPR22489-7] (AB252921)
  • WB

Unknown

Western blot - Anti-Mannose Receptor antibody [EPR22489-7] (AB252921)

Blocking/Dilution buffer : 5% NFDM/TBST.

The molecular weight of 175 kDa in lane 2 observed is consistent with what has been described in the literature (PMID : 26202986; 23752129). This antibody also reacts with an unidentifiable protein around 40 kDa.

All lanes:

Western blot - Anti-Mannose Receptor antibody [EPR22489-7] (ab252921) at 1/1000 dilution

Lane 1:

Untreated THP-1 (human monocytic leukemia cell line) whole cell lysate at 20 µg

Lane 2:

THP-1 treated with 20 ng/ml PMA for 24 hours, then treated with 20ng/ml IL-4 for 48 hours, whole cell lysate at 20 µg

Secondary

All lanes:

Western blot - Goat Anti-Rabbit IgG H&L (HRP) (<a href='/en-us/products/secondary-antibodies/goat-rabbit-igg-h-l-hrp-ab97051'>ab97051</a>) at 1/100000 dilution

Predicted band size: 166 kDa

Observed band size: 175 kDa

false

Exposure time: 3min

Immunohistochemistry (Formalin/PFA-fixed paraffin-embedded sections) - Anti-Mannose Receptor antibody [EPR22489-7] (AB252921)
  • IHC-P

Unknown

Immunohistochemistry (Formalin/PFA-fixed paraffin-embedded sections) - Anti-Mannose Receptor antibody [EPR22489-7] (AB252921)

Immunohistochemical analysis of paraffin-embedded human colon tissue labeling Mannose Receptor with ab252921 at 1/4000 dilution, followed by Goat Anti-Rabbit IgG H&L (HRP) ready to use. Positive staining in macrophages of human colon (PMID : 9060831) is observed. Counterstained with hematoxylin.

Secondary antibody only control : Used PBS instead of primary antibody, secondary antibody is Goat Anti-Rabbit IgG H&L (HRP) ready to use.

Heat mediated antigen retrieval using ab93684 (Tris/EDTA buffer, pH 9.0).

Immunohistochemistry (Formalin/PFA-fixed paraffin-embedded sections) - Anti-Mannose Receptor antibody [EPR22489-7] (AB252921)
  • IHC-P

Unknown

Immunohistochemistry (Formalin/PFA-fixed paraffin-embedded sections) - Anti-Mannose Receptor antibody [EPR22489-7] (AB252921)

Immunohistochemical analysis of paraffin-embedded human liver tissue labeling Mannose Receptor with ab252921 at 1/4000 dilution, followed by Goat Anti-Rabbit IgG H&L (HRP) ready to use. Positive staining in macrophages (Kupffer cells) of human liver (PMID : 26938527) is observed. Counterstained with hematoxylin.

Secondary antibody only control : Used PBS instead of primary antibody, secondary antibody is Goat Anti-Rabbit IgG H&L (HRP) ready to use.

Heat mediated antigen retrieval using ab93684 (Tris/EDTA buffer, pH 9.0).

Immunohistochemistry (Formalin/PFA-fixed paraffin-embedded sections) - Anti-Mannose Receptor antibody [EPR22489-7] (AB252921)
  • IHC-P

Unknown

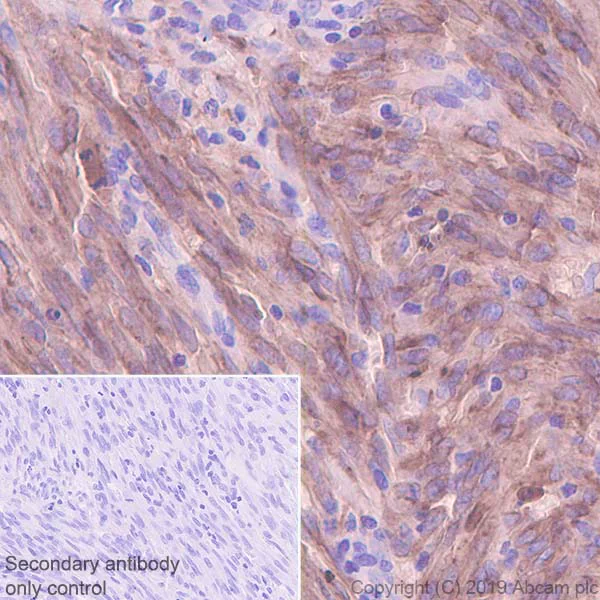
Immunohistochemistry (Formalin/PFA-fixed paraffin-embedded sections) - Anti-Mannose Receptor antibody [EPR22489-7] (AB252921)

Immunohistochemical analysis of paraffin-embedded human Karposi's sarcoma tissue labeling Mannose Receptor with ab252921 at 1/4000 dilution, followed by Goat Anti-Rabbit IgG H&L (HRP) ready to use. Positive staining in tumor cells of human Kaposi's Sarcoma (PMID : 9060831) is observed. Counterstained with hematoxylin.

Secondary antibody only control : Used PBS instead of primary antibody, secondary antibody is Goat Anti-Rabbit IgG H&L (HRP) ready to use. Heat mediated antigen retrieval using ab93684 (Tris/EDTA buffer, pH 9.0).

  • Carrier free

    Anti-Mannose Receptor antibody [EPR22489-7] - BSA and Azide free

  • 665 Alexa Fluor® 647

    Alexa Fluor® 647 Anti-Mannose Receptor antibody [EPR22489-7]

  • 565 Alexa Fluor® 555

    Alexa Fluor® 555 Anti-Mannose Receptor antibody [EPR22489-7]

  • 519 Alexa Fluor® 488

    Alexa Fluor® 488 Anti-Mannose Receptor antibody [EPR22489-7]

Key facts

Host species

Rabbit

Clonality

Monoclonal

Clone number

EPR22489-7

Isotype

IgG1

Carrier free

No

Reacts with

Human

Applications

IHC-P, WB

applications

Immunogen

The exact immunogen used to generate this antibody is proprietary information.

Reactivity data

{ "title": "Reactivity Data", "filters": { "stats": ["", "Species", "Dilution Info", "Notes"], "tabs": { "all-applications": {"fullname" : "All Applications", "shortname": "All Applications"}, "IP" : {"fullname" : "Immunoprecipitation", "shortname":"IP"}, "FlowCyt" : {"fullname" : "Flow Cytometry", "shortname":"Flow Cyt"}, "WB" : {"fullname" : "Western blot", "shortname":"WB"}, "ICCIF" : {"fullname" : "Immunocytochemistry/ Immunofluorescence", "shortname":"ICC/IF"}, "IHCP" : {"fullname" : "Immunohistochemistry (Formalin/PFA-fixed paraffin-embedded sections)", "shortname":"IHC-P"} }, "product-promise": { "all": "all", "testedAndGuaranteed": "tested", "guaranteed": "expected", "predicted": "predicted", "notRecommended": "not-recommended" } }, "values": { "Human": { "IP-species-checked": "notRecommended", "IP-species-dilution-info": "", "IP-species-notes": "<p></p>", "FlowCyt-species-checked": "notRecommended", "FlowCyt-species-dilution-info": "", "FlowCyt-species-notes": "<p></p>", "WB-species-checked": "testedAndGuaranteed", "WB-species-dilution-info": "1/1000", "WB-species-notes": "<p></p>", "ICCIF-species-checked": "notRecommended", "ICCIF-species-dilution-info": "", "ICCIF-species-notes": "<p></p>", "IHCP-species-checked": "testedAndGuaranteed", "IHCP-species-dilution-info": "1/4000", "IHCP-species-notes": "<p></p>" } } }

You may be interested in:

AB277420

Human Mannose Receptor ELISA kit

0

0 Reviews

View product

We recommend this product because it’s often used in the same experiment or related research.

We advise that you always check the datasheet to ensure it fits your experiments, or contact ourtechnical teamfor help.

Product details

Properties and storage information

Form
Liquid
Purification technique
Affinity purification Protein A
Storage buffer
pH: 7.2 - 7.4 Preservative: 0.01% Sodium azide Constituents: PBS, 40% Glycerol (glycerin, glycerine), 0.05% BSA
Shipped at conditions
Blue Ice
Appropriate short-term storage duration
1-2 weeks
Appropriate short-term storage conditions
+4°C
Appropriate long-term storage conditions
-20°C
Aliquoting information
Upon delivery aliquot
Storage information
Avoid freeze / thaw cycle

Supplementary information

This supplementary information is collated from multiple sources and compiled automatically.

The Mannose Receptor also known as CD206 or MRC1 is a type of C-type lectin receptor with a molecular weight of 175 kDa. It is expressed on the surface of macrophages and dendritic cells. This receptor binds to complex carbohydrates like mannose and fucose found on pathogen surfaces playing an important role in their recognition. Mannose Receptors act as endocytic receptors aiding in the internalization and degradation of pathogens.
Biological function summary

The Mannose Receptor functions in pathogen recognition and clearance by binding to specific carbohydrates on the pathogen's surface. It is not part of a larger molecular complex but works independently to facilitate phagocytosis. The receptor is essential in immune responses allowing macrophages and dendritic cells to efficiently capture and process antigens for presentation to T cells. This enables the initiation of adaptive immune responses.

Pathways

Researchers know that the Mannose Receptor plays an important role in immune signaling pathways particularly in antigen processing and presentation. It interacts with proteins involved in these pathways including those necessary for the internalization and degradation of bound antigens. Moreover it works alongside scavenger receptors contributing to the regulation of immune and inflammatory responses.

The Mannose Receptor is often linked to pulmonary tuberculosis and certain types of cancer. When macrophages express this receptor it can modulate immune responses against Mycobacterium tuberculosis by aiding in its recognition. In cancer altered expression of CD206 can indicate tumor-associated macrophages which promote tumor growth by suppressing immune responses. These connections highlight the receptor's potential as a diagnostic marker and therapeutic target.

Product protocols

For this product, it's our understanding that no specific protocols are required. You can visit:

Target data

Mediates the endocytosis of glycoproteins by macrophages. Binds both sulfated and non-sulfated polysaccharide chains.. (Microbial infection) Acts as a phagocytic receptor for bacteria, fungi and other pathogens.. (Microbial infection) Acts as a receptor for Dengue virus envelope protein E.. (Microbial infection) Interacts with Hepatitis B virus envelope protein.
See full target information MRC1

Publications (9)

Recent publications for all applications. Explore the full list and refine your search

Biomolecules 13: PubMed36671447

2022

The Cancer-Associated Fibroblasts-Related Gene COMP Is a Novel Predictor for Prognosis and Immunotherapy Efficacy and Is Correlated with M2 Macrophage Infiltration in Colon Cancer.

Applications

Unspecified application

Species

Unspecified reactive species

He Ma,Qingqing Qiu,Dan Tan,Qiaofeng Chen,Yaping Liu,Bing Chen,Mingliang Wang

Cell death & disease 13:891 PubMed36270983

2022

NLRP6 is required for cancer-derived exosome-modified macrophage M2 polarization and promotes metastasis in small cell lung cancer.

Applications

Unspecified application

Species

Unspecified reactive species

Xinrui Rao,Xiaoshu Zhou,Geng Wang,Xiaohua Jie,Biyuan Xing,Yingzhuo Xu,Yunshang Chen,Jun Li,Kuikui Zhu,Zilong Wu,Gang Wu,Chuangyan Wu,Rui Zhou

Frontiers in immunology 13:869365 PubMed35967407

2022

ILC2s expanded by exogenous IL-33 regulate CD45+CD11b+F4/80high macrophage polarization to alleviate hepatic ischemia-reperfusion injury.

Applications

Unspecified application

Species

Unspecified reactive species

Hai-Ming Zhang,Xiao-Jie Chen,Shi-Peng Li,Jin-Ming Zhang,Jie Sun,Liu-Xin Zhou,Guang-Peng Zhou,Bin Cui,Li-Ying Sun,Zhi-Jun Zhu

Frontiers in immunology 13:877314 PubMed35757768

2022

Immune Deviation in the Decidua During Term and Preterm Labor.

Applications

Unspecified application

Species

Unspecified reactive species

Ying Zha,Haiyi Liu,Xingguang Lin,Long Yu,Peng Gao,Yuqi Li,Min Wu,Xun Gong,Xinyi Bian,Qi Kang,Pan Zhi,Xiaohe Dang,Jingyu Wang,Ling Feng,Fuyuan Qiao,Yafei Huang,Wanjiang Zeng

Frontiers in cell and developmental biology 9:684842 PubMed35127692

2022

LncRNA TCONS_00145741 Knockdown Prevents Thrombin-Induced M1 Differentiation of Microglia in Intracerebral Hemorrhage by Enhancing the Interaction Between DUSP6 and JNK.

Applications

Unspecified application

Species

Unspecified reactive species

Lanxiang Wu,Qingqing Zhan,Pan Liu,Heqing Zheng,Mingxu Liu,Jun Min,Liang Xie,Wei Wu

Frontiers in oncology 11:683951 PubMed34150647

2021

The Epithelial to Mesenchymal Transition Related Gene Calumenin Is an Adverse Prognostic Factor of Bladder Cancer Correlated With Tumor Microenvironment Remodeling, Gene Mutation, and Ferroptosis.

Applications

Unspecified application

Species

Unspecified reactive species

YiHeng Du,WenHao Miao,Xiang Jiang,Jin Cao,Bo Wang,Yi Wang,Jiang Yu,XiZhi Wang,HaiTao Liu

Cancer cell international 21:283 PubMed34051818

2021

The cancer-associated fibroblasts related gene CALD1 is a prognostic biomarker and correlated with immune infiltration in bladder cancer.

Applications

Unspecified application

Species

Unspecified reactive species

YiHeng Du,Xiang Jiang,Bo Wang,Jin Cao,Yi Wang,Jiang Yu,XiZhi Wang,HaiTao Liu

Frontiers in oncology 11:620674 PubMed33747932

2021

Identification and Validation of a Stromal EMT Related LncRNA Signature as a Potential Marker to Predict Bladder Cancer Outcome.

Applications

Unspecified application

Species

Unspecified reactive species

YiHeng Du,Bo Wang,Xiang Jiang,Jin Cao,Jiang Yu,Yi Wang,XiZhi Wang,HaiTao Liu

Oncology reports 44:91-102 PubMed32377744

2020

Ciprofloxacin promotes polarization of CD86+CD206‑ macrophages to suppress liver cancer.

Applications

Unspecified application

Species

Unspecified reactive species

Mengtian Fan,Sicheng Chen,Yaguang Weng,Xian Li,Yingjiu Jiang,Xiaowen Wang,Mengjun Bie,Liqin An,Menghao Zhang,Bin Chen,Gaigai Huang,Jinghong Wu,Mengying Zhu,Qiong Shi
View all publications

Product promise

We are committed to supporting your work with high-quality reagents, and we're here for you every step of the way. In the unlikely event that one of our products does not perform as expected, you're protected by our Product Promise.
For full details, please see our Terms & Conditions

Associated Products

Select an associated product type
Alternative Product
Primary Antibodies

AB125028

Anti-Mannose Receptor antibody [EPR6828(B)]

primary-antibodies

mannose-receptor-antibody-epr6828b-ab125028

4

(4 reviews)

Alternative Product
Primary Antibodies

AB209327

Anti-Mannose Receptor antibody [EPR6828(B)] - Low endotoxin, Azide free

primary-antibodies

mannose-receptor-antibody-epr6828b-low-endotoxin-azide-free-ab209327

0

(0 reviews)

Please note: All products are 'FOR RESEARCH USE ONLY. NOT FOR USE IN DIAGNOSTIC OR THERAPEUTIC PROCEDURES'.

For licensing inquiries, please contact partnerships@abcam.com