JavaScript is disabled in your browser. Please enable JavaScript to view this website.
AB254471

Anti-Mannose Receptor antibody [EPR22489-7] - BSA and Azide free

5

(2 Reviews)

|

(1 Publication)

Anti-Mannose Receptor antibody [EPR22489-7] - BSA and Azide free (ab254471) is a rabbit recombinant monoclonal antibody provided in a PBS only buffer for easy conjugation detecting Mannose Receptor in Western Blot, IHC-P. Suitable for Human.

- BSA, sodium azide, and glycerol-free for easy conjugation
- Biophysical QC for unrivalled batch-batch consistency

View Alternative Names

CD206, CLEC13D, CLEC13DL, MRC1L1, MRC1, Macrophage mannose receptor 1, MMR, C-type lectin domain family 13 member D, C-type lectin domain family 13 member D-like, Human mannose receptor, Macrophage mannose receptor 1-like protein 1, hMR

3 Images
Immunohistochemistry (Formalin/PFA-fixed paraffin-embedded sections) - Anti-Mannose Receptor antibody [EPR22489-7] - BSA and Azide free (AB254471)
  • IHC-P

Unknown

Immunohistochemistry (Formalin/PFA-fixed paraffin-embedded sections) - Anti-Mannose Receptor antibody [EPR22489-7] - BSA and Azide free (AB254471)

Immunohistochemical analysis of paraffin-embedded human colon tissue labeling Mannose Receptor with ab252921 at 1/4000 dilution, followed by Goat Anti-Rabbit IgG H&L (HRP) ready to use. Positive staining in macrophages of human colon (PMID : 9060831) is observed. Counterstained with hematoxylin. Secondary antibody only control : Used PBS instead of primary antibody, secondary antibody is Goat Anti-Rabbit IgG H&L (HRP) ready to use. Heat mediated antigen retrieval using ab93684 (Tris/EDTA buffer, pH 9.0).

This data was developed using the same antibody clone in a different buffer formulation containing PBS, BSA, glycerol, and sodium azide (ab252921).

Immunohistochemistry (Formalin/PFA-fixed paraffin-embedded sections) - Anti-Mannose Receptor antibody [EPR22489-7] - BSA and Azide free (AB254471)
  • IHC-P

Unknown

Immunohistochemistry (Formalin/PFA-fixed paraffin-embedded sections) - Anti-Mannose Receptor antibody [EPR22489-7] - BSA and Azide free (AB254471)

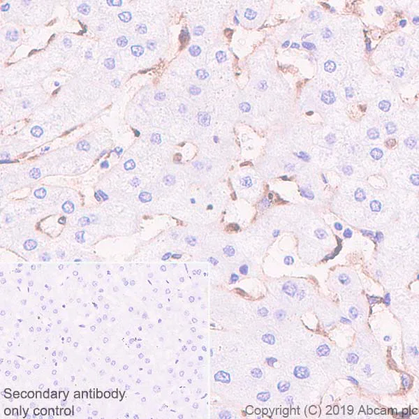
Immunohistochemical analysis of paraffin-embedded human liver tissue labeling Mannose Receptor with ab252921 at 1/4000 dilution, followed by Goat Anti-Rabbit IgG H&L (HRP) ready to use. Positive staining in macrophages (Kupffer cells) of human liver (PMID : 26938527) is observed. Counterstained with hematoxylin. Secondary antibody only control : Used PBS instead of primary antibody, secondary antibody is Goat Anti-Rabbit IgG H&L (HRP) ready to use. Heat mediated antigen retrieval using ab93684 (Tris/EDTA buffer, pH 9.0).

This data was developed using the same antibody clone in a different buffer formulation containing PBS, BSA, glycerol, and sodium azide (ab252921).

Immunohistochemistry (Formalin/PFA-fixed paraffin-embedded sections) - Anti-Mannose Receptor antibody [EPR22489-7] - BSA and Azide free (AB254471)
  • IHC-P

Unknown

Immunohistochemistry (Formalin/PFA-fixed paraffin-embedded sections) - Anti-Mannose Receptor antibody [EPR22489-7] - BSA and Azide free (AB254471)

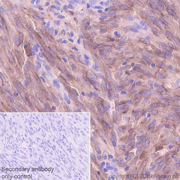
Immunohistochemical analysis of paraffin-embedded human Karposi's sarcoma tissue labeling Mannose Receptor with ab252921 at 1/4000 dilution, followed by Goat Anti-Rabbit IgG H&L (HRP) ready to use. Positive staining in tumor cells of human Kaposi's Sarcoma (PMID : 9060831) is observed. Counterstained with hematoxylin. Secondary antibody only control : Used PBS instead of primary antibody, secondary antibody is Goat Anti-Rabbit IgG H&L (HRP) ready to use. Heat mediated antigen retrieval using ab93684 (Tris/EDTA buffer, pH 9.0).

This data was developed using the same antibody clone in a different buffer formulation containing PBS, BSA, glycerol, and sodium azide (ab252921).

Key facts

Host species

Rabbit

Clonality

Monoclonal

Clone number

EPR22489-7

Isotype

IgG

Carrier free

Yes

Reacts with

Human

Applications

WB, IHC-P

applications

Immunogen

The exact immunogen used to generate this antibody is proprietary information.

Reactivity data

{ "title": "Reactivity Data", "filters": { "stats": ["", "Species", "Dilution Info", "Notes"], "tabs": { "all-applications": {"fullname" : "All Applications", "shortname": "All Applications"}, "IP" : {"fullname" : "Immunoprecipitation", "shortname":"IP"}, "FlowCyt" : {"fullname" : "Flow Cytometry", "shortname":"Flow Cyt"}, "WB" : {"fullname" : "Western blot", "shortname":"WB"}, "ICCIF" : {"fullname" : "Immunocytochemistry/ Immunofluorescence", "shortname":"ICC/IF"}, "IHCP" : {"fullname" : "Immunohistochemistry (Formalin/PFA-fixed paraffin-embedded sections)", "shortname":"IHC-P"} }, "product-promise": { "all": "all", "testedAndGuaranteed": "tested", "guaranteed": "expected", "predicted": "predicted", "notRecommended": "not-recommended" } }, "values": { "Human": { "IP-species-checked": "notRecommended", "IP-species-dilution-info": "", "IP-species-notes": "<p></p>", "FlowCyt-species-checked": "notRecommended", "FlowCyt-species-dilution-info": "", "FlowCyt-species-notes": "<p></p>", "WB-species-checked": "guaranteed", "WB-species-dilution-info": "", "WB-species-notes": "<p></p>", "ICCIF-species-checked": "notRecommended", "ICCIF-species-dilution-info": "", "ICCIF-species-notes": "<p></p>", "IHCP-species-checked": "testedAndGuaranteed", "IHCP-species-dilution-info": "", "IHCP-species-notes": "<p></p>" } } }

You may be interested in:

AB277420

Human Mannose Receptor ELISA kit

0

0 Reviews

View product

We recommend this product because it’s often used in the same experiment or related research.

We advise that you always check the datasheet to ensure it fits your experiments, or contact ourtechnical teamfor help.

Product details

What is this antibody validated in?
Anti-Mannose Receptor antibody [EPR22489-7] - BSA and Azide free (ab254471) is a rabbit recombinant monoclonal antibody and is validated for use in Western Blot (WB), Immunohistochemistry (IHC-P) in Human samples.

What is the molecular weight of Mannose Receptor?
Anti-Mannose Receptor [EPR22489-7] - BSA and Azide free (ab254471) specifically detects a band for Mannose Receptor (UniProt: P22897) at a molecular weight of 166kDa.

Other related products
We have a range of other formats of antibody clone [EPR22489-7] also available for your convenience: ab252921, Carrier free - ab254471, Alexa Fluor® 488 - ab313398, Alexa Fluor® 647 - ab313671, Alexa Fluor® 555 - ab313731

Patented technology
Our RabMAb® technology is a patented hybridoma-based technology for making rabbit monoclonal antibodies. For details on our patents, please refer to RabMAb® patents.

What are the advantages of a recombinant monoclonal antibody?
This product is a recombinant monoclonal antibody, which offers several advantages including:

  • - High batch-to-batch consistency and reproducibility
  • - Improved sensitivity and specificity
  • - Long-term security of supply
  • - Animal-free batch production

For more information, read more on recombinant antibodies.

Conjugation ready
Our carrier-free antibodies are typically supplied in a PBS-only formulation, purified and free of BSA, sodium azide and glycerol. This conjugation-ready format is designed for use with fluorochromes, metal isotopes, oligonucleotides, and enzymes, which makes them ideal for antibody labelling, functional and cell-based assays, flow-based assays (e.g. mass cytometry) and Multiplex Imaging applications.

Use our conjugation kits for antibody conjugates that are ready-to-use in as little as 20 minutes with 1 minute hands-on-time and 100% antibody recovery: available for fluorescent dyes, HRP, biotin and gold.

Compatibility
This product is compatible with the Maxpar® Antibody Labeling Kit from Fluidigm, without the need for antibody preparation. Maxpar® is a trademark of Fluidigm Canada Inc.

Properties and storage information

Form
Liquid
Purification technique
Affinity purification Protein A
Storage buffer
pH: 7.2 - 7.4 Constituents: 100% PBS
Shipped at conditions
Blue Ice
Appropriate short-term storage conditions
+4°C
Appropriate long-term storage conditions
+4°C
Storage information
Do Not Freeze

Supplementary information

This supplementary information is collated from multiple sources and compiled automatically.

The Mannose Receptor also known as CD206 or MRC1 is a type of C-type lectin receptor with a molecular weight of 175 kDa. It is expressed on the surface of macrophages and dendritic cells. This receptor binds to complex carbohydrates like mannose and fucose found on pathogen surfaces playing an important role in their recognition. Mannose Receptors act as endocytic receptors aiding in the internalization and degradation of pathogens.
Biological function summary

The Mannose Receptor functions in pathogen recognition and clearance by binding to specific carbohydrates on the pathogen's surface. It is not part of a larger molecular complex but works independently to facilitate phagocytosis. The receptor is essential in immune responses allowing macrophages and dendritic cells to efficiently capture and process antigens for presentation to T cells. This enables the initiation of adaptive immune responses.

Pathways

Researchers know that the Mannose Receptor plays an important role in immune signaling pathways particularly in antigen processing and presentation. It interacts with proteins involved in these pathways including those necessary for the internalization and degradation of bound antigens. Moreover it works alongside scavenger receptors contributing to the regulation of immune and inflammatory responses.

The Mannose Receptor is often linked to pulmonary tuberculosis and certain types of cancer. When macrophages express this receptor it can modulate immune responses against Mycobacterium tuberculosis by aiding in its recognition. In cancer altered expression of CD206 can indicate tumor-associated macrophages which promote tumor growth by suppressing immune responses. These connections highlight the receptor's potential as a diagnostic marker and therapeutic target.

Product protocols

For this product, it's our understanding that no specific protocols are required. You can visit:

Target data

Mediates the endocytosis of glycoproteins by macrophages. Binds both sulfated and non-sulfated polysaccharide chains.. (Microbial infection) Acts as a phagocytic receptor for bacteria, fungi and other pathogens.. (Microbial infection) Acts as a receptor for Dengue virus envelope protein E.. (Microbial infection) Interacts with Hepatitis B virus envelope protein.
See full target information MRC1

Publications (1)

Recent publications for all applications. Explore the full list and refine your search

Frontiers in bioengineering and biotechnology 10:816513 PubMed35402413

2022

Photooxidation and Pentagalloyl Glucose Cross-Linking Improves the Performance of Decellularized Small-Diameter Vascular Xenograft .

Applications

Unspecified application

Species

Unspecified reactive species

Yuhong Liu,Chunyang Chen,Xinlong Xie,Haoyong Yuan,Zhenjie Tang,Tao Qian,Yalin Liu,Mingzhe Song,Sixi Liu,Ting Lu,Zhongshi Wu
View all publications

Product promise

We are committed to supporting your work with high-quality reagents, and we're here for you every step of the way. In the unlikely event that one of our products does not perform as expected, you're protected by our Product Promise.
For full details, please see our Terms & Conditions

Associated Products

Select an associated product type
Alternative Product
Primary Antibodies

AB125028

Anti-Mannose Receptor antibody [EPR6828(B)]

primary-antibodies

mannose-receptor-antibody-epr6828b-ab125028

4

(4 reviews)

Alternative Product
Primary Antibodies

AB209327

Anti-Mannose Receptor antibody [EPR6828(B)] - Low endotoxin, Azide free

primary-antibodies

mannose-receptor-antibody-epr6828b-low-endotoxin-azide-free-ab209327

0

(0 reviews)

Alternative Version
Primary Antibodies

AB313671

Alexa Fluor® 647 Anti-Mannose Receptor antibody [EPR22489-7]

primary-antibodies

alexa-fluor-647-mannose-receptor-antibody-epr22489-7-ab313671

0

(0 reviews)

Alternative Version
Primary Antibodies

AB313731

Alexa Fluor® 555 Anti-Mannose Receptor antibody [EPR22489-7]

primary-antibodies

alexa-fluor-555-mannose-receptor-antibody-epr22489-7-ab313731

5

(1 reviews)

Alternative Version
Primary Antibodies

AB313398

Alexa Fluor® 488 Anti-Mannose Receptor antibody [EPR22489-7]

primary-antibodies

alexa-fluor-488-mannose-receptor-antibody-epr22489-7-ab313398

4

(1 reviews)

Please note: All products are 'FOR RESEARCH USE ONLY. NOT FOR USE IN DIAGNOSTIC OR THERAPEUTIC PROCEDURES'.

For licensing inquiries, please contact partnerships@abcam.com