JavaScript is disabled in your browser. Please enable JavaScript to view this website.
AB300622

Anti-Mannose Receptor antibody [EPR25215-277] - BSA and Azide free

Be the first to review this product! Submit a review

|

(1 Publication)

Rabbit Recombinant Monoclonal Mannose Receptor antibody. Carrier free. Suitable for WB, IHC-P, IHC-Fr, ICC/IF and reacts with Mouse, Rat samples. Cited in 1 publication.

View Alternative Names

CD206, Macrophage mannose receptor 1, MMR, Mrc1

9 Images
Immunocytochemistry/ Immunofluorescence - Anti-Mannose Receptor antibody [EPR25215-277] - BSA and Azide free (AB300622)
  • ICC/IF

Supplier Data

Immunocytochemistry/ Immunofluorescence - Anti-Mannose Receptor antibody [EPR25215-277] - BSA and Azide free (AB300622)

This data was developed using ab300621, the same antibody clone in a different buffer formulation. Immunofluorescent analysis of 4% Paraformaldehyde-fixed, 0.1% TritonX-100 permeabilized RAW 264.7 (mouse abelson murine leukemia virus-induced tumor macrophage) cells labelling Mannose Receptor with ab300621 at 1/50 (9.96 ug/ml) dilution, followed by ab150081 Goat Anti-Rabbit IgG H&L (Alexa Fluor® 488) preadsorbed antibody at 1/1000 2ug/mL dilution (Green). Confocal image showing increased cytoplasmic staining in Raw 264.7 cells treated with IL-4 (40ng/ml) for 4 days, then IL-10 (40ng/ml) for another 4 days.Image was taken with a confocal microscope (Leica-Microsystems, TCS SP8). is observed. ab195889 Anti-alpha Tubulin mouse monoclonal antibody - Microtubule Marker (Alexa Fluor® 594) was used to counterstain tubulin at 1/200 2.5ug/ml dilution (Red). The Nuclear counterstain was DAPI (Blue). Secondary antibody only control : Secondary antibody is ab150081 Goat Anti-Rabbit IgG H&L (Alexa Fluor® 488) preadsorbed at 1/1000 2ug/mL dilution.

Immunohistochemistry (Formalin/PFA-fixed paraffin-embedded sections) - Anti-Mannose Receptor antibody [EPR25215-277] - BSA and Azide free (AB300622)
  • IHC-P

Supplier Data

Immunohistochemistry (Formalin/PFA-fixed paraffin-embedded sections) - Anti-Mannose Receptor antibody [EPR25215-277] - BSA and Azide free (AB300622)

This data was developed using ab300621, the same antibody clone in a different buffer formulation. Immunohistochemical analysis of paraffin-embedded Rat liver tissue labeling Mannose Receptor with ab300621 at 1/2000 (0.249 ug/ml) followed by a ready to use LeicaDS9800 (Bond™ Polymer Refine Detection) was used. Positive staining on macrophages and sinusoidal endothelial cells in rat liver (PMID : 25250030). The section was incubated with ab300621 for 30 mins at room temperature.The immunostaining was performed on a Leica Biosystems BOND® RX instrument Counterstained with Hematoxylin. Secondary antibody only control : Secondary antibody is a ready to use LeicaDS9800 (Bond™ Polymer Refine Detection) was used. Heat mediated antigen retrieval with Tris-EDTA buffer (pH 9.0, epitope retrieval solution2) for 20 mins

Immunohistochemistry (Formalin/PFA-fixed paraffin-embedded sections) - Anti-Mannose Receptor antibody [EPR25215-277] - BSA and Azide free (AB300622)
  • IHC-P

Supplier Data

Immunohistochemistry (Formalin/PFA-fixed paraffin-embedded sections) - Anti-Mannose Receptor antibody [EPR25215-277] - BSA and Azide free (AB300622)

This data was developed using ab300621, the same antibody clone in a different buffer formulation. Immunohistochemical analysis of paraffin-embedded Mouse liver tissue labeling Mannose Receptor with ab300621 at 1/2000 (0.249 ug/ml) followed by a ready to use LeicaDS9800 (Bond™ Polymer Refine Detection) was used. Positive staining on macrophages and sinusoidal endothelial cells in mouse liver (PMID : 25250030). The section was incubated with ab300621 for 30 mins at room temperature.The immunostaining was performed on a Leica Biosystems BOND® RX instrument Counterstained with Hematoxylin. Secondary antibody only control : Secondary antibody is a ready to use LeicaDS9800 (Bond™ Polymer Refine Detection) was used. Heat mediated antigen retrieval with Tris-EDTA buffer (pH 9.0, epitope retrieval solution2) for 20 mins

Immunohistochemistry (Frozen sections) - Anti-Mannose Receptor antibody [EPR25215-277] - BSA and Azide free (AB300622)
  • IHC-Fr

Supplier Data

Immunohistochemistry (Frozen sections) - Anti-Mannose Receptor antibody [EPR25215-277] - BSA and Azide free (AB300622)

This data was developed using ab300621, the same antibody clone in a different buffer formulation. Immunohistochemical analysis of 4% PFA-fixed, 0.2% Triton X-100 permeabilized frozen Rat spleen (fresh) tissue labeling Mannose Receptor with ab300621 at 1/500 (0.996 ug/ml) dilution followed by ab150081 Goat Anti-Rabbit IgG H&L (Alexa Fluor® 488) preadsorbed at 1/1000 2 ug/mL dilution (Green). Positive staining in the red pulp of rat spleen is observed. The nuclear counterstain was DAPI (Blue). Secondary antibody control : Secondary antibody is ab150081 Goat Anti-Rabbit IgG H&L (Alexa Fluor® 488) preadsorbedat 1/1000 2 ug/mL dilution. .

Immunohistochemistry (Formalin/PFA-fixed paraffin-embedded sections) - Anti-Mannose Receptor antibody [EPR25215-277] - BSA and Azide free (AB300622)
  • IHC-P

Supplier Data

Immunohistochemistry (Formalin/PFA-fixed paraffin-embedded sections) - Anti-Mannose Receptor antibody [EPR25215-277] - BSA and Azide free (AB300622)

This data was developed using ab300621, the same antibody clone in a different buffer formulation. Immunohistochemical analysis of paraffin-embedded Mouse lung cancer tissue labeling Mannose Receptor with ab300621 at 1/2000 (0.249 ug/ml) followed by a ready to use LeicaDS9800 (Bond™ Polymer Refine Detection) was used. Positive staining on stroma cells of mouse lung cancer. The section was incubated with ab300621 for 30 mins at room temperature.The immunostaining was performed on a Leica Biosystems BOND® RX instrument Counterstained with Hematoxylin. Secondary antibody only control : Secondary antibody is a ready to use LeicaDS9800 (Bond™ Polymer Refine Detection) was used. Heat mediated antigen retrieval with Tris-EDTA buffer (pH 9.0, epitope retrieval solution2) for 20 mins

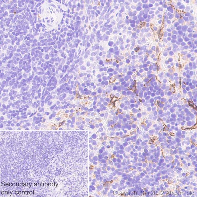
Immunohistochemistry (Formalin/PFA-fixed paraffin-embedded sections) - Anti-Mannose Receptor antibody [EPR25215-277] - BSA and Azide free (AB300622)
  • IHC-P

Supplier Data

Immunohistochemistry (Formalin/PFA-fixed paraffin-embedded sections) - Anti-Mannose Receptor antibody [EPR25215-277] - BSA and Azide free (AB300622)

This data was developed using ab300621, the same antibody clone in a different buffer formulation. Immunohistochemical analysis of paraffin-embedded Mouse spleen tissue labeling Mannose Receptor with ab300621 at 1/2000 (0.249 ug/ml) followed by a ready to use LeicaDS9800 (Bond™ Polymer Refine Detection) was used. Positive staining on mouse spleen (PMID : 28679964). The section was incubated with ab300621 for 30 mins at room temperature.The immunostaining was performed on a Leica Biosystems BOND® RX instrument Counterstained with Hematoxylin. Secondary antibody only control : Secondary antibody is a ready to use LeicaDS9800 (Bond™ Polymer Refine Detection) was used. Heat mediated antigen retrieval with Tris-EDTA buffer (pH 9.0, epitope retrieval solution2) for 20 mins

Immunohistochemistry (Frozen sections) - Anti-Mannose Receptor antibody [EPR25215-277] - BSA and Azide free (AB300622)
  • IHC-Fr

Supplier Data

Immunohistochemistry (Frozen sections) - Anti-Mannose Receptor antibody [EPR25215-277] - BSA and Azide free (AB300622)

This data was developed using ab300621, the same antibody clone in a different buffer formulation. Immunohistochemical analysis of 4% PFA-fixed, 0.2% Triton X-100 permeabilized frozen Mouse spleen (fresh) tissue labeling Mannose Receptor with ab300621 at 1/500 (0.996 ug/ml) dilution followed by ab150081 Goat Anti-Rabbit IgG H&L (Alexa Fluor® 488) preadsorbed at 1/1000 2 ug/mL dilution (Green). Positive staining in the red pulp of mouse spleen is observed. The nuclear counterstain was DAPI (Blue). Secondary antibody control : Secondary antibody is ab150081 Goat Anti-Rabbit IgG H&L (Alexa Fluor® 488) preadsorbedat 1/1000 2 ug/mL dilution. .

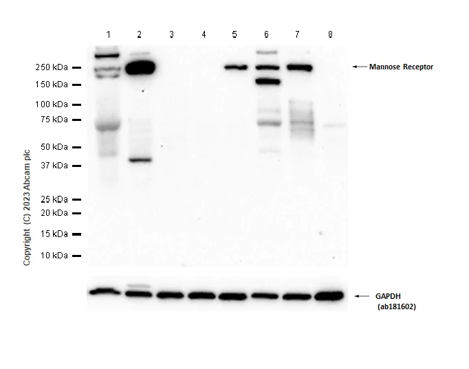
Western blot - Anti-Mannose Receptor antibody [EPR25215-277] - BSA and Azide free (AB300622)
  • WB

Lab

Western blot - Anti-Mannose Receptor antibody [EPR25215-277] - BSA and Azide free (AB300622)

This data was developed using ab300621, the same antibody clone in a different buffer formulation. Blocking and diluting buffer and concentration : 5% NFDM/TBST. ab181602 was used as a GAPDH loading control. Samples are non-boiled as boiling may cause protein aggregates. Normal whole brain lysate contains undetectable level of Mannose Receptor in western blot testing, which was also validated by ab125028. PMID : 11320646 reported Mannose Receptor expression in brain is at its highest in the first week of life and dramatically decreases thereafter, being maintained at a low level throughout adulthood.

All lanes:

Western blot - Anti-Mannose Receptor antibody [EPR25215-277] (<a href='/en-us/products/primary-antibodies/mannose-receptor-antibody-epr25215-277-ab300621'>ab300621</a>) at 1/1000 dilution

Lane 1:

Mouse lung tissue lysate at 20 µg

Lane 2:

Mouse liver tissue lysate at 20 µg

Lane 3:

Mouse brain tissue lysate at 20 µg

Lane 4:

Raw264.7 (Mouse Abelson murine leukemia virus-induced tumor macrophage) whole cell lysate at 20 µg

Lane 5:

Raw264.7 (Mouse Abelson murine leukemia virus-induced tumor macrophage) treated with 20ng/ml IL-4 and 10uM Dexamethasone for 18 hours whole cell lysate at 20 µg

Lane 6:

Rat lung tissue lysate at 20 µg

Lane 7:

Rat liver tissue lysate at 20 µg

Lane 8:

Rat brain tissue lysate at 20 µg

Secondary

All lanes:

Western blot - Goat Anti-Rabbit IgG H&L (HRP) (<a href='/en-us/products/secondary-antibodies/goat-rabbit-igg-h-l-hrp-ab97051'>ab97051</a>) at 1/20000 dilution

Predicted band size: 166 kDa

Observed band size: 200 kDa

false

Exposure time: 180s

Western blot - Anti-Mannose Receptor antibody [EPR25215-277] - BSA and Azide free (AB300622)
  • WB

Lab

Western blot - Anti-Mannose Receptor antibody [EPR25215-277] - BSA and Azide free (AB300622)

This data was developed using ab300621, the same antibody clone in a different buffer formulation.

In Western blot, Anti-GAPDH antibody [EPR16891] - Loading Control (ab181602) staining at 1/1000000 dilution.

All lanes:

Western blot - Anti-Mannose Receptor antibody [EPR25215-277] (<a href='/en-us/products/primary-antibodies/mannose-receptor-antibody-epr25215-277-ab300621'>ab300621</a>) at 1/1000 dilution

Lane 1:

Mouse liver tissue lysate at 10 µg

Lane 2:

Mouse lung tissue lysate at 10 µg

Lane 3:

Mouse spleen tissue at 10 µg

Secondary

All lanes:

Western blot - Goat Anti-Rabbit IgG H&L (HRP) (<a href='/en-us/products/secondary-antibodies/goat-rabbit-igg-h-l-hrp-ab97051'>ab97051</a>) at 1/20000 dilution

Observed band size: 165 kDa

false

Exposure time: 120s

  • Unconjugated

    Anti-Mannose Receptor antibody [EPR25215-277]

  • 665 Alexa Fluor® 647

    Alexa Fluor® 647 Anti-Mannose Receptor antibody [EPR25215-277]

  • 578 PE

    PE Anti-Mannose Receptor antibody [EPR25215-277]

  • 617 Alexa Fluor® 594

    Alexa Fluor® 594 Anti-Mannose Receptor antibody [EPR25215-277]

  • 565 Alexa Fluor® 555

    Alexa Fluor® 555 Anti-Mannose Receptor antibody [EPR25215-277]

  • 519 Alexa Fluor® 488

    Alexa Fluor® 488 Anti-Mannose Receptor antibody [EPR25215-277]

  • 660 APC

    APC Anti-Mannose Receptor antibody [EPR25215-277]

  • 775 Alexa Fluor® 750

    Alexa Fluor® 750 Anti-Mannose Receptor antibody [EPR25215-277]

Key facts

Host species

Rabbit

Clonality

Monoclonal

Clone number

EPR25215-277

Isotype

IgG

Carrier free

Yes

Reacts with

Mouse, Rat

Applications

WB, IHC-Fr, IHC-P, ICC/IF

applications

Immunogen

The exact immunogen used to generate this antibody is proprietary information.

Reactivity data

{ "title": "Reactivity Data", "filters": { "stats": ["", "Species", "Dilution Info", "Notes"], "tabs": { "all-applications": {"fullname" : "All Applications", "shortname": "All Applications"}, "WB" : {"fullname" : "Western blot", "shortname":"WB"}, "IHCP" : {"fullname" : "Immunohistochemistry (Formalin/PFA-fixed paraffin-embedded sections)", "shortname":"IHC-P"}, "IHCFr" : {"fullname" : "Immunohistochemistry (Frozen sections)", "shortname":"IHC-Fr"}, "ICCIF" : {"fullname" : "Immunocytochemistry/ Immunofluorescence", "shortname":"ICC/IF"}, "FlowCyt" : {"fullname" : "Flow Cytometry", "shortname":"Flow Cyt"}, "IP" : {"fullname" : "Immunoprecipitation", "shortname":"IP"} }, "product-promise": { "all": "all", "testedAndGuaranteed": "tested", "guaranteed": "expected", "predicted": "predicted", "notRecommended": "not-recommended" } }, "values": { "Human": { "WB-species-checked": "notRecommended", "WB-species-dilution-info": "", "WB-species-notes": "<p></p>", "IHCP-species-checked": "notRecommended", "IHCP-species-dilution-info": "", "IHCP-species-notes": "<p></p>", "IHCFr-species-checked": "notRecommended", "IHCFr-species-dilution-info": "", "IHCFr-species-notes": "", "ICCIF-species-checked": "notRecommended", "ICCIF-species-dilution-info": "", "ICCIF-species-notes": "<p></p>", "FlowCyt-species-checked": "notRecommended", "FlowCyt-species-dilution-info": "", "FlowCyt-species-notes": "<p></p>", "IP-species-checked": "notRecommended", "IP-species-dilution-info": "", "IP-species-notes": "<p></p>" }, "Mouse": { "WB-species-checked": "testedAndGuaranteed", "WB-species-dilution-info": "", "WB-species-notes": "<p></p>", "IHCP-species-checked": "testedAndGuaranteed", "IHCP-species-dilution-info": "", "IHCP-species-notes": "<p></p>", "IHCFr-species-checked": "testedAndGuaranteed", "IHCFr-species-dilution-info": "", "IHCFr-species-notes": "<p></p>", "ICCIF-species-checked": "testedAndGuaranteed", "ICCIF-species-dilution-info": "", "ICCIF-species-notes": "<p></p>", "FlowCyt-species-checked": "notRecommended", "FlowCyt-species-dilution-info": "", "FlowCyt-species-notes": "<p></p>", "IP-species-checked": "notRecommended", "IP-species-dilution-info": "", "IP-species-notes": "<p></p>" }, "Rat": { "WB-species-checked": "testedAndGuaranteed", "WB-species-dilution-info": "", "WB-species-notes": "<p></p>", "IHCP-species-checked": "testedAndGuaranteed", "IHCP-species-dilution-info": "", "IHCP-species-notes": "<p></p>", "IHCFr-species-checked": "testedAndGuaranteed", "IHCFr-species-dilution-info": "", "IHCFr-species-notes": "<p></p>", "ICCIF-species-checked": "guaranteed", "ICCIF-species-dilution-info": "", "ICCIF-species-notes": "", "FlowCyt-species-checked": "notRecommended", "FlowCyt-species-dilution-info": "", "FlowCyt-species-notes": "", "IP-species-checked": "notRecommended", "IP-species-dilution-info": "", "IP-species-notes": "" } } }

Product details

Patented technology
Our RabMAb® technology is a patented hybridoma-based technology for making rabbit monoclonal antibodies. For details on our patents, please refer to RabMAb® patents.

What are the advantages of a recombinant monoclonal antibody?
This product is a recombinant monoclonal antibody, which offers several advantages including:

  • - High batch-to-batch consistency and reproducibility
  • - Improved sensitivity and specificity
  • - Long-term security of supply
  • - Animal-free batch production

For more information, read more on recombinant antibodies.

Conjugation ready
Our carrier-free antibodies are typically supplied in a PBS-only formulation, purified and free of BSA, sodium azide and glycerol. This conjugation-ready format is designed for use with fluorochromes, metal isotopes, oligonucleotides, and enzymes, which makes them ideal for antibody labelling, functional and cell-based assays, flow-based assays (e.g. mass cytometry) and Multiplex Imaging applications.

Use our conjugation kits for antibody conjugates that are ready-to-use in as little as 20 minutes with 1 minute hands-on-time and 100% antibody recovery: available for fluorescent dyes, HRP, biotin and gold.

Compatibility
This product is compatible with the Maxpar® Antibody Labeling Kit from Fluidigm, without the need for antibody preparation. Maxpar® is a trademark of Fluidigm Canada Inc.

Properties and storage information

Form
Liquid
Purification technique
Affinity purification Protein A
Storage buffer
pH: 7.2 - 7.4 Constituents: PBS
Shipped at conditions
Blue Ice
Appropriate short-term storage conditions
+4°C
Appropriate long-term storage conditions
+4°C
Storage information
Do Not Freeze

Supplementary information

This supplementary information is collated from multiple sources and compiled automatically.

The Mannose Receptor also known as CD206 or MRC1 is a type of C-type lectin receptor with a molecular weight of 175 kDa. It is expressed on the surface of macrophages and dendritic cells. This receptor binds to complex carbohydrates like mannose and fucose found on pathogen surfaces playing an important role in their recognition. Mannose Receptors act as endocytic receptors aiding in the internalization and degradation of pathogens.
Biological function summary

The Mannose Receptor functions in pathogen recognition and clearance by binding to specific carbohydrates on the pathogen's surface. It is not part of a larger molecular complex but works independently to facilitate phagocytosis. The receptor is essential in immune responses allowing macrophages and dendritic cells to efficiently capture and process antigens for presentation to T cells. This enables the initiation of adaptive immune responses.

Pathways

Researchers know that the Mannose Receptor plays an important role in immune signaling pathways particularly in antigen processing and presentation. It interacts with proteins involved in these pathways including those necessary for the internalization and degradation of bound antigens. Moreover it works alongside scavenger receptors contributing to the regulation of immune and inflammatory responses.

The Mannose Receptor is often linked to pulmonary tuberculosis and certain types of cancer. When macrophages express this receptor it can modulate immune responses against Mycobacterium tuberculosis by aiding in its recognition. In cancer altered expression of CD206 can indicate tumor-associated macrophages which promote tumor growth by suppressing immune responses. These connections highlight the receptor's potential as a diagnostic marker and therapeutic target.

Product protocols

For this product, it's our understanding that no specific protocols are required. You can visit:

Target data

Mediates the endocytosis of glycoproteins by macrophages. Binds both sulfated and non-sulfated polysaccharide chains. Acts as phagocytic receptor for bacteria, fungi and other pathogens.
See full target information Mrc1

Publications (1)

Recent publications for all applications. Explore the full list and refine your search

Nature communications 16:1928 PubMed39994203

2025

Drop-shaped microgrooves guide unidirectional cell migration for enhanced endothelialization.

Applications

Unspecified application

Species

Unspecified reactive species

Xing-Wang Wang,Cheng-Qiang Ye,Qian Tang,Hong-Mei Yu,Jing Wang,Guo-Sheng Fu,Ke-Feng Ren,Lu Yu,Jian Ji
View all publications

Product promise

We are committed to supporting your work with high-quality reagents, and we're here for you every step of the way. In the unlikely event that one of our products does not perform as expected, you're protected by our Product Promise.
For full details, please see our Terms & Conditions

Please note: All products are 'FOR RESEARCH USE ONLY. NOT FOR USE IN DIAGNOSTIC OR THERAPEUTIC PROCEDURES'.

For licensing inquiries, please contact partnerships@abcam.com