JavaScript is disabled in your browser. Please enable JavaScript to view this website.
AB209332

Anti-Mannose Receptor antibody [EPR6828(B)] - BSA and Azide free

Be the first to review this product! Submit a review

|

(1 Publication)

Rabbit Recombinant Monoclonal Mannose Receptor antibody. Carrier free. Suitable for WB and reacts with Human samples. Cited in 1 publication.

View Alternative Names

CD206, CLEC13D, CLEC13DL, MRC1L1, MRC1, Macrophage mannose receptor 1, MMR, C-type lectin domain family 13 member D, C-type lectin domain family 13 member D-like, Human mannose receptor, Macrophage mannose receptor 1-like protein 1, hMR

1 Images
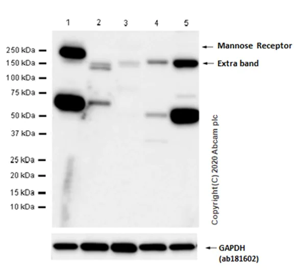
Western blot - Anti-Mannose Receptor antibody [EPR6828(B)] - BSA and Azide free (AB209332)
  • WB

Lab

Western blot - Anti-Mannose Receptor antibody [EPR6828(B)] - BSA and Azide free (AB209332)

Blocking/Diluting buffer and concentration : 5% NFDM/TBST.

The expression profile observed in U-937 and THP-1 is consistent with the literature (PMID : 20801507 and PMID : 30591689). Rabbit monoclonal [EPR16891] to GAPDH (ab181602) used as loading control.

This data was developed using the same antibody clone in a different buffer formulation containing PBS, BSA, glycerol, and sodium azide (ab125028).

All lanes:

Western blot - Anti-Mannose Receptor antibody [EPR6828(B)] (<a href='/en-us/products/primary-antibodies/mannose-receptor-antibody-epr6828b-ab125028'>ab125028</a>) at 1/1000 dilution

Lane 1:

Human lung tissue lysate at 20 µg

Lane 2:

Human brain tissue lysate at 20 µg

Lane 3:

Mouse brain tissue lysate at 20 µg

Lane 4:

U-937 (Human histiocytic lymphoma monocyte) whole cell lysate at 20 µg

Lane 5:

THP-1 (Human monocytic leukemia monocyte) whole cell lysate at 20 µg

Secondary

All lanes:

Western blot - Goat Anti-Rabbit IgG H&L (HRP) (<a href='/en-us/products/secondary-antibodies/goat-rabbit-igg-h-l-hrp-ab97051'>ab97051</a>) at 1/20000 dilution

Predicted band size: 166 kDa

Observed band size: 160 kDa,200 kDa,65 kDa

false

Exposure time: 20s

  • Unconjugated

    Anti-Mannose Receptor antibody [EPR6828(B)]

  • HRP

    HRP Anti-Mannose Receptor antibody [EPR6828(B)]

  • Carrier free

    Anti-Mannose Receptor antibody [EPR6828(B)] - Low endotoxin, Azide free

Key facts

Host species

Rabbit

Clonality

Monoclonal

Clone number

EPR6828(B)

Isotype

IgG

Carrier free

Yes

Reacts with

Human

Applications

WB

applications

Immunogen

The exact immunogen used to generate this antibody is proprietary information.

Reactivity data

{ "title": "Reactivity Data", "filters": { "stats": ["", "Species", "Dilution Info", "Notes"], "tabs": { "all-applications": {"fullname" : "All Applications", "shortname": "All Applications"}, "IHCP" : {"fullname" : "Immunohistochemistry (Formalin/PFA-fixed paraffin-embedded sections)", "shortname":"IHC-P"}, "ICCIF" : {"fullname" : "Immunocytochemistry/ Immunofluorescence", "shortname":"ICC/IF"}, "IP" : {"fullname" : "Immunoprecipitation", "shortname":"IP"}, "FlowCyt" : {"fullname" : "Flow Cytometry", "shortname":"Flow Cyt"}, "WB" : {"fullname" : "Western blot", "shortname":"WB"} }, "product-promise": { "all": "all", "testedAndGuaranteed": "tested", "guaranteed": "expected", "predicted": "predicted", "notRecommended": "not-recommended" } }, "values": { "Human": { "IHCP-species-checked": "notRecommended", "IHCP-species-dilution-info": "", "IHCP-species-notes": "<p></p>", "ICCIF-species-checked": "notRecommended", "ICCIF-species-dilution-info": "1/250 - 1/500", "ICCIF-species-notes": "<p></p>", "IP-species-checked": "notRecommended", "IP-species-dilution-info": "", "IP-species-notes": "<p></p>", "FlowCyt-species-checked": "notRecommended", "FlowCyt-species-dilution-info": "", "FlowCyt-species-notes": "<p></p>", "WB-species-checked": "testedAndGuaranteed", "WB-species-dilution-info": "1/1000 - 1/10000", "WB-species-notes": "<p></p>" } } }

Product details

ab209332 is the carrier-free version of ab125028.

Patented technology
Our RabMAb® technology is a patented hybridoma-based technology for making rabbit monoclonal antibodies. For details on our patents, please refer to RabMAb® patents.

What are the advantages of a recombinant monoclonal antibody?
This product is a recombinant monoclonal antibody, which offers several advantages including:

  • - High batch-to-batch consistency and reproducibility
  • - Improved sensitivity and specificity
  • - Long-term security of supply
  • - Animal-free batch production

For more information, read more on recombinant antibodies.

Conjugation ready
Our carrier-free antibodies are typically supplied in a PBS-only formulation, purified and free of BSA, sodium azide and glycerol. This conjugation-ready format is designed for use with fluorochromes, metal isotopes, oligonucleotides, and enzymes, which makes them ideal for antibody labelling, functional and cell-based assays, flow-based assays (e.g. mass cytometry) and Multiplex Imaging applications.

Use our conjugation kits for antibody conjugates that are ready-to-use in as little as 20 minutes with 1 minute hands-on-time and 100% antibody recovery: available for fluorescent dyes, HRP, biotin and gold.

Compatibility
This product is compatible with the Maxpar® Antibody Labeling Kit from Fluidigm, without the need for antibody preparation. Maxpar® is a trademark of Fluidigm Canada Inc.

Properties and storage information

Form
Liquid
Purification technique
Affinity purification Protein A
Storage buffer
pH: 7.2 - 7.4 Constituents: PBS
Shipped at conditions
Blue Ice
Appropriate short-term storage conditions
+4°C
Appropriate long-term storage conditions
+4°C
Storage information
Do Not Freeze

Supplementary information

This supplementary information is collated from multiple sources and compiled automatically.

The Mannose Receptor also known as CD206 or MRC1 is a type of C-type lectin receptor with a molecular weight of 175 kDa. It is expressed on the surface of macrophages and dendritic cells. This receptor binds to complex carbohydrates like mannose and fucose found on pathogen surfaces playing an important role in their recognition. Mannose Receptors act as endocytic receptors aiding in the internalization and degradation of pathogens.
Biological function summary

The Mannose Receptor functions in pathogen recognition and clearance by binding to specific carbohydrates on the pathogen's surface. It is not part of a larger molecular complex but works independently to facilitate phagocytosis. The receptor is essential in immune responses allowing macrophages and dendritic cells to efficiently capture and process antigens for presentation to T cells. This enables the initiation of adaptive immune responses.

Pathways

Researchers know that the Mannose Receptor plays an important role in immune signaling pathways particularly in antigen processing and presentation. It interacts with proteins involved in these pathways including those necessary for the internalization and degradation of bound antigens. Moreover it works alongside scavenger receptors contributing to the regulation of immune and inflammatory responses.

The Mannose Receptor is often linked to pulmonary tuberculosis and certain types of cancer. When macrophages express this receptor it can modulate immune responses against Mycobacterium tuberculosis by aiding in its recognition. In cancer altered expression of CD206 can indicate tumor-associated macrophages which promote tumor growth by suppressing immune responses. These connections highlight the receptor's potential as a diagnostic marker and therapeutic target.

Product protocols

For this product, it's our understanding that no specific protocols are required. You can visit:

Target data

Mediates the endocytosis of glycoproteins by macrophages. Binds both sulfated and non-sulfated polysaccharide chains.. (Microbial infection) Acts as a phagocytic receptor for bacteria, fungi and other pathogens.. (Microbial infection) Acts as a receptor for Dengue virus envelope protein E.. (Microbial infection) Interacts with Hepatitis B virus envelope protein.
See full target information MRC1

Publications (1)

Recent publications for all applications. Explore the full list and refine your search

Frontiers in immunology 4:287 PubMed24065967

2013

Th1/M1 conversion to th2/m2 responses in models of inflammation lacking cell death stimulates maturation of monocyte precursors to fibroblasts.

Applications

ICC/IF

Species

Human

Joann Trial,Katarzyna A Cieslik,Sandra B Haudek,Clemens Duerrschmid,Mark L Entman
View all publications

Product promise

We are committed to supporting your work with high-quality reagents, and we're here for you every step of the way. In the unlikely event that one of our products does not perform as expected, you're protected by our Product Promise.
For full details, please see our Terms & Conditions

Please note: All products are 'FOR RESEARCH USE ONLY. NOT FOR USE IN DIAGNOSTIC OR THERAPEUTIC PROCEDURES'.

For licensing inquiries, please contact partnerships@abcam.com