JavaScript is disabled in your browser. Please enable JavaScript to view this website.
AB251286

Anti-Map17 antibody [EPR16827] - BSA and Azide free

Be the first to review this product! Submit a review

|

(1 Publication)

Rabbit Recombinant Monoclonal Map17 antibody. Carrier free. Suitable for IP, WB and reacts with Human samples. Cited in 1 publication.

View Alternative Names

MAP17, PDZK1IP1, PDZK1-interacting protein 1, 17 kDa membrane-associated protein, Protein DD96

3 Images
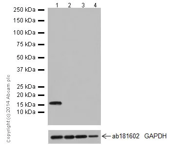
Western blot - Anti-Map17 antibody [EPR16827] - BSA and Azide free (AB251286)
  • WB

Unknown

Western blot - Anti-Map17 antibody [EPR16827] - BSA and Azide free (AB251286)

This data was developed using ab199540, the same antibody clone in a different buffer formulation.

Blocking and dilution buffer : 5% NFDM/TBST.

The observed MW is consistent with what has been described in the literature PMID : 10951271.

Human fetal brain, Human fetal heart, Human fetal spleen represent negative controls for Map17.

All lanes:

Western blot - Anti-Map17 antibody [EPR16827] (<a href='/en-us/products/primary-antibodies/map17-antibody-epr16827-ab199540'>ab199540</a>) at 1/10000 dilution

Lane 1:

Human fetal kidney tissue lysate at 10 µg

Lane 2:

Human fetal brain tissue lysate at 10 µg

Lane 3:

Human fetal heart lysate at 10 µg

Lane 4:

Human fetal spleen lysate at 10 µg

Secondary

All lanes:

Anti-Rabbit IgG (HRP), specific to the non-reduced form of IgG at 1/1000 dilution

Predicted band size: 12 kDa

Observed band size: 17 kDa

false

Exposure time: 5s

Immunoprecipitation - Anti-Map17 antibody [EPR16827] - BSA and Azide free (AB251286)
  • IP

Supplier Data

Immunoprecipitation - Anti-Map17 antibody [EPR16827] - BSA and Azide free (AB251286)

This data was developed using ab199540, the same antibody clone in a different buffer formulation.

Map17 was immunoprecipitated from 1mg of Human fetal kidney whole cell lysate with ab199540 at 1/300 dilution. Western blot was performed from the immunoprecipitate using anti-Map17 (ab156014) at 1/1000 dilution. Anti-Rabbit IgG (HRP), specific to the non-reduced form of IgG, was used as secondary antibody at 1/1500 dilution.

Lane 1 : Human fetal kidney whole cell lysate 10ug (Input). Lane 2 : ab199540 IP in Human fetal kidney whole cell lysate. Lane 3 : Rabbit monoclonal IgG (ab172730) instead of ab199540 in Human fetal kidney whole cell lysate.

Blocking and dilution buffer : 5% NFDM/TBST.

Exposure time : 30 seconds.

All lanes:

Immunoprecipitation - Anti-Map17 antibody [EPR16827] (<a href='/en-us/products/primary-antibodies/map17-antibody-epr16827-ab199540'>ab199540</a>)

Predicted band size: 12 kDa

Observed band size: 17 kDa

false

Immunoprecipitation - Anti-Map17 antibody [EPR16827] - BSA and Azide free (AB251286)
  • IP

Supplier Data

Immunoprecipitation - Anti-Map17 antibody [EPR16827] - BSA and Azide free (AB251286)

This data was developed using ab199540, the same antibody clone in a different buffer formulation.

Map17 was immunoprecipitated from 1mg of Human fetal kidney whole cell lysate with ab199540 at 1/120 dilution. Western blot was performed from the immunoprecipitate using ab199540 at 1/1000 dilution. Anti-Rabbit IgG (HRP), specific to the non-reduced form of IgG, was used as secondary antibody at 1/1500 dilution.

Lane 1 : Human fetal kidney whole cell lysate 10ug (Input). Lane 2 : ab199540 IP in Human fetal kidney whole cell lysate. Lane 3 : Rabbit monoclonal IgG (ab172730) instead of ab199540 in Human fetal kidney whole cell lysate.

Blocking and dilution buffer and concentration : 5% NFDM/TBST.

Exposure time : 10 seconds.

All lanes:

Immunoprecipitation - Anti-Map17 antibody [EPR16827] (<a href='/en-us/products/primary-antibodies/map17-antibody-epr16827-ab199540'>ab199540</a>)

Predicted band size: 12 kDa

false

Key facts

Host species

Rabbit

Clonality

Monoclonal

Clone number

EPR16827

Isotype

IgG

Carrier free

Yes

Reacts with

Human

Applications

IP, WB

applications

Immunogen

The exact immunogen used to generate this antibody is proprietary information.

Reactivity data

{ "title": "Reactivity Data", "filters": { "stats": ["", "Species", "Dilution Info", "Notes"], "tabs": { "all-applications": {"fullname" : "All Applications", "shortname": "All Applications"}, "IP" : {"fullname" : "Immunoprecipitation", "shortname":"IP"}, "WB" : {"fullname" : "Western blot", "shortname":"WB"} }, "product-promise": { "all": "all", "testedAndGuaranteed": "tested", "guaranteed": "expected", "predicted": "predicted", "notRecommended": "not-recommended" } }, "values": { "Human": { "IP-species-checked": "testedAndGuaranteed", "IP-species-dilution-info": "", "IP-species-notes": "<p></p>", "WB-species-checked": "testedAndGuaranteed", "WB-species-dilution-info": "", "WB-species-notes": "<p></p>" } } }

Product details

ab251286 is the carrier-free version of ab199540.

Patented technology
Our RabMAb® technology is a patented hybridoma-based technology for making rabbit monoclonal antibodies. For details on our patents, please refer to RabMAb® patents.

What are the advantages of a recombinant monoclonal antibody?
This product is a recombinant monoclonal antibody, which offers several advantages including:

  • - High batch-to-batch consistency and reproducibility
  • - Improved sensitivity and specificity
  • - Long-term security of supply
  • - Animal-free batch production

For more information, read more on recombinant antibodies.

Conjugation ready
Our carrier-free antibodies are typically supplied in a PBS-only formulation, purified and free of BSA, sodium azide and glycerol. This conjugation-ready format is designed for use with fluorochromes, metal isotopes, oligonucleotides, and enzymes, which makes them ideal for antibody labelling, functional and cell-based assays, flow-based assays (e.g. mass cytometry) and Multiplex Imaging applications.

Use our conjugation kits for antibody conjugates that are ready-to-use in as little as 20 minutes with 1 minute hands-on-time and 100% antibody recovery: available for fluorescent dyes, HRP, biotin and gold.

Compatibility
This product is compatible with the Maxpar® Antibody Labeling Kit from Fluidigm, without the need for antibody preparation. Maxpar® is a trademark of Fluidigm Canada Inc.

Properties and storage information

Form
Liquid
Purification technique
Affinity purification Protein A
Storage buffer
pH: 7.2 - 7.4 Constituents: PBS
Shipped at conditions
Blue Ice
Appropriate short-term storage conditions
+4°C
Appropriate long-term storage conditions
+4°C
Storage information
Do Not Freeze

Supplementary information

This supplementary information is collated from multiple sources and compiled automatically.

Map17 also known as PDZK1IP1 or MCFD2 functions as a membrane-associated protein with a mass of approximately 17 kDa. It localizes primarily in the plasma membrane but can also be found in other cellular compartments. This protein is expressed in various tissues with high levels observed in renal and gastrointestinal tract tissues. Its structural characteristic includes a PDZ-binding motif which suggests interactions with PDZ domain-containing proteins playing a role in facilitating membrane transport processes.
Biological function summary

The membrane-associated protein Map17 enhances ion conductivity across the cell membrane contributing to fluid transport and cellular homeostasis. It is not part of a documented protein complex but it interacts with scaffolding proteins influencing cellular architecture and function. Map17 also links with cellular redox states regulating the balance between cellular oxidants and antioxidants. Due to its role in ion transport and cellular balance Map17 impacts various physiological processes within the body.

Pathways

Research indicates Map17 involvement in oxidative stress and ion transport pathways. It plays a part in the sodium-potassium transport pathway through interaction with proteins like CFTR and sodium channels affecting fluid balance and kidney function. Furthermore its role in oxidative stress pathways implicates it in cellular responses to reactive oxygen species where Map17 influences proteins like Nrf2 an important regulator of antioxidant defenses. These pathways show how Map17 integrates into broader signaling networks that manage cellular environment and stress responses.

Map17 shows a connection with conditions such as cancer and chronic kidney disease. Research indicates its overexpression in various tumors where it may interact with the oncogene Ras to influence tumor growth and progression. In chronic kidney disease its role in ion transport could contribute to altered renal function with proteins like CFTR also involved in this disease context. Understanding Map17’s involvement in these diseases offers insights into potential therapeutic targets and novel treatment strategies.

Product protocols

For this product, it's our understanding that no specific protocols are required. You can visit:

Target data

Auxiliary protein of electrogenic Na(+)-coupled sugar symporter SLC5A2/SGLT2 and SLC5A1/SGLT1 (PubMed : 34880493, PubMed : 37217492, PubMed : 38057552). Essential for the transporter activity of SLC5A2/SGLT2 but not SLC5A1/SGLT1 (PubMed : 37217492).
See full target information PDZK1IP1

Publications (1)

Recent publications for all applications. Explore the full list and refine your search

Nutrients 16: PubMed38732558

2024

Differential Modulation by Eicosapentaenoic Acid (EPA) and Docosahexaenoic Acid (DHA) of Mesenteric Fat and Macrophages and T Cells in Adipose Tissue of Obese / Zucker Rats.

Applications

Unspecified application

Species

Unspecified reactive species

Lena Hong,Peter Zahradka,Carla G Taylor
View all publications

Product promise

We are committed to supporting your work with high-quality reagents, and we're here for you every step of the way. In the unlikely event that one of our products does not perform as expected, you're protected by our Product Promise.
For full details, please see our Terms & Conditions

Please note: All products are 'FOR RESEARCH USE ONLY. NOT FOR USE IN DIAGNOSTIC OR THERAPEUTIC PROCEDURES'.

For licensing inquiries, please contact partnerships@abcam.com