JavaScript is disabled in your browser. Please enable JavaScript to view this website.
AB184349

Anti-MAP1A antibody [EPR18993]

4

(1 Review)

|

(3 Publications)

Rabbit Recombinant Monoclonal MAP1A antibody. Suitable for IP, IHC-Fr, IHC-P and reacts with Mouse, Rat, Human samples. Cited in 3 publications.

View Alternative Names

MAP1L, MAP1A, Microtubule-associated protein 1A, MAP-1A, Proliferation-related protein p80

10 Images
Immunohistochemistry (Formalin/PFA-fixed paraffin-embedded sections) - Anti-MAP1A antibody [EPR18993] (AB184349)
  • IHC-P

Supplier Data

Immunohistochemistry (Formalin/PFA-fixed paraffin-embedded sections) - Anti-MAP1A antibody [EPR18993] (AB184349)

Immunohistochemical analysis of paraffin-embedded Human breast carcinoma tissue labeling MAP1A with ab184349 at 1/1000 dilution followed by Goat Anti-Rabbit IgG H&L (HRP) (ab97051) at 1/500 dilution. Negative staining on Human breast carcinoma. Counter stained with Hematoxylin.

Secondary antibody only control : Used PBS instead of primary antibody secondary antibody is ab97051 at 1/500 dilution.

Perform heat mediated antigen retrieval with Tris/EDTA buffer pH 9.0 before commencing with IHC staining protocol.

Immunohistochemistry (Formalin/PFA-fixed paraffin-embedded sections) - Anti-MAP1A antibody [EPR18993] (AB184349)
  • IHC-P

Supplier Data

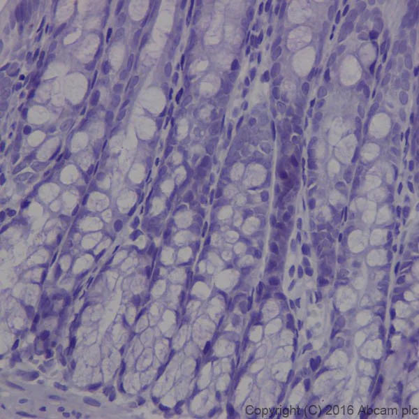
Immunohistochemistry (Formalin/PFA-fixed paraffin-embedded sections) - Anti-MAP1A antibody [EPR18993] (AB184349)

Immunohistochemical analysis of paraffin-embedded Human colon tissue labeling MAP1A with ab184349 at 1/1000 dilution followed by Goat Anti-Rabbit IgG H&L (HRP) (ab97051) at 1/500 dilution. Negative staining on normal Human colon. Counter stained with Hematoxylin.

Secondary antibody only control : Used PBS instead of primary antibody secondary antibody is ab97051 at 1/500 dilution.

Perform heat mediated antigen retrieval with Tris/EDTA buffer pH 9.0 before commencing with IHC staining protocol.

Immunohistochemistry (Formalin/PFA-fixed paraffin-embedded sections) - Anti-MAP1A antibody [EPR18993] (AB184349)
  • IHC-P

Supplier Data

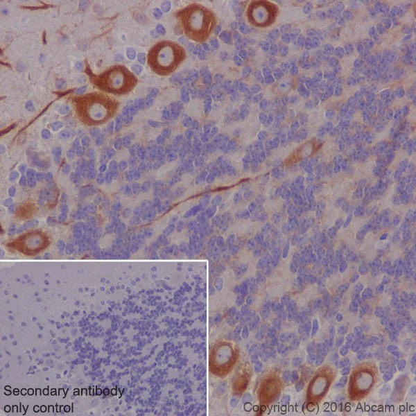
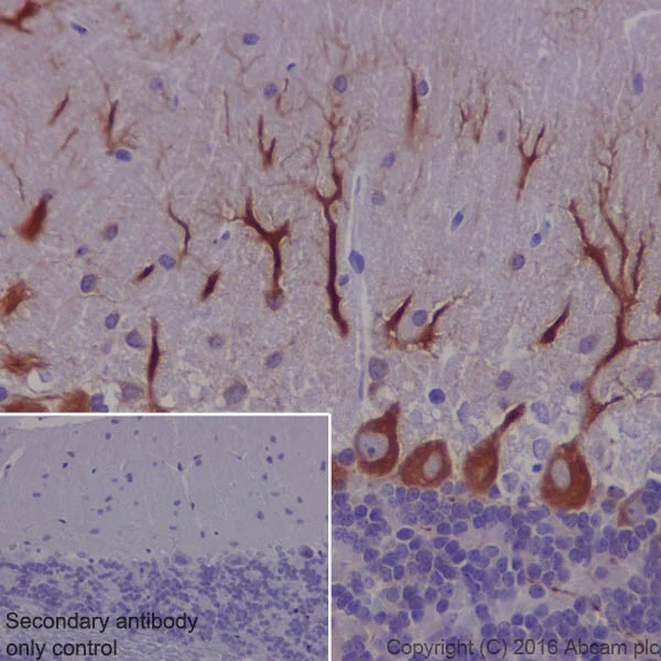
Immunohistochemistry (Formalin/PFA-fixed paraffin-embedded sections) - Anti-MAP1A antibody [EPR18993] (AB184349)

Immunohistochemical analysis of paraffin-embedded Human cerebrum tissue labeling MAP1A with ab184349 at 1/1000 dilution followed by Goat Anti-Rabbit IgG H&L (HRP) (ab97051) at 1/500 dilution. Cytoplasm staining on neurons of the normal Human cerebrum is observed. Counter stained with Hematoxylin.

Secondary antibody only control : Used PBS instead of primary antibody secondary antibody is ab97051 at 1/500 dilution.

Perform heat mediated antigen retrieval with Tris/EDTA buffer pH 9.0 before commencing with IHC staining protocol.

Immunohistochemistry (Frozen sections) - Anti-MAP1A antibody [EPR18993] (AB184349)
  • IHC-Fr

Supplier Data

Immunohistochemistry (Frozen sections) - Anti-MAP1A antibody [EPR18993] (AB184349)

Immunohistochemical analysis of 4% paraformaldehyde-fixed 0.2% Triton X-100 permeabilized frozen Mouse cerebellum tissue labeling MAP1A with ab184349 at 1/500 dilution followed by Goat Anti-Rabbit IgG (Alexa Fluor® 488) (ab150077) secondary antibody at 1/1000 dilution (green). The result showed cytoplasm staining on purkinje cells of the mouse cerebellum. The nuclear counterstain is DAPI (blue).

Secondary antibody only control : Used PBS instead of primary antibody secondary antibody is ab150077 at 1/1000 dilution.

Immunohistochemistry (Formalin/PFA-fixed paraffin-embedded sections) - Anti-MAP1A antibody [EPR18993] (AB184349)
  • IHC-P

Supplier Data

Immunohistochemistry (Formalin/PFA-fixed paraffin-embedded sections) - Anti-MAP1A antibody [EPR18993] (AB184349)

Immunohistochemical analysis of paraffin-embedded Rat cerebellum tissue labeling MAP1A with ab184349 at 1/1000 dilution followed by Goat Anti-Rabbit IgG H&L (HRP) (ab97051) at 1/500 dilution. Cytoplasm staining on purkinje cells of the rat cerebellum is observed. Counter stained with Hematoxylin.

Secondary antibody only control : Used PBS instead of primary antibody secondary antibody is ab97051 at 1/500 dilution.

Perform heat mediated antigen retrieval with Tris/EDTA buffer pH 9.0 before commencing with IHC staining protocol.

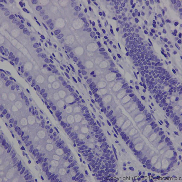
Immunohistochemistry (Formalin/PFA-fixed paraffin-embedded sections) - Anti-MAP1A antibody [EPR18993] (AB184349)
  • IHC-P

Supplier Data

Immunohistochemistry (Formalin/PFA-fixed paraffin-embedded sections) - Anti-MAP1A antibody [EPR18993] (AB184349)

Immunohistochemical analysis of paraffin-embedded Rat colon tissue labeling MAP1A with ab184349 at 1/1000 dilution followed by Goat Anti-Rabbit IgG H&L (HRP) (ab97051) at 1/500 dilution. Negative staining on rat colon. Counter stained with Hematoxylin.

Secondary antibody only control : Used PBS instead of primary antibody secondary antibody is ab97051 at 1/500 dilution.

Perform heat mediated antigen retrieval with Tris/EDTA buffer pH 9.0 before commencing with IHC staining protocol.

Immunohistochemistry (Formalin/PFA-fixed paraffin-embedded sections) - Anti-MAP1A antibody [EPR18993] (AB184349)
  • IHC-P

Supplier Data

Immunohistochemistry (Formalin/PFA-fixed paraffin-embedded sections) - Anti-MAP1A antibody [EPR18993] (AB184349)

Immunohistochemical analysis of paraffin-embedded Mouse cerebellum tissue labeling MAP1A with ab184349 at 1/1000 dilution followed by Goat Anti-Rabbit IgG H&L (HRP) (ab97051) at 1/500 dilution. Cytoplasm staining on purkinje cells of the mouse cerebellum is observed. Counter stained with Hematoxylin.

Secondary antibody only control : Used PBS instead of primary antibody secondary antibody is ab97051 at 1/500 dilution.

Perform heat mediated antigen retrieval with Tris/EDTA buffer pH 9.0 before commencing with IHC staining protocol.

Immunohistochemistry (Formalin/PFA-fixed paraffin-embedded sections) - Anti-MAP1A antibody [EPR18993] (AB184349)
  • IHC-P

Supplier Data

Immunohistochemistry (Formalin/PFA-fixed paraffin-embedded sections) - Anti-MAP1A antibody [EPR18993] (AB184349)

Immunohistochemical analysis of paraffin-embedded Mouse kidney tissue labeling MAP1A with ab184349 at 1/1000 dilution followed by Goat Anti-Rabbit IgG H&L (HRP) (ab97051) at 1/500 dilution. Negative staining on mouse kidney. Counter stained with Hematoxylin.

Secondary antibody only control : Used PBS instead of primary antibody secondary antibody is ab97051 at 1/500 dilution.

Perform heat mediated antigen retrieval with Tris/EDTA buffer pH 9.0 before commencing with IHC staining protocol.

Immunohistochemistry (Frozen sections) - Anti-MAP1A antibody [EPR18993] (AB184349)
  • IHC-Fr

Supplier Data

Immunohistochemistry (Frozen sections) - Anti-MAP1A antibody [EPR18993] (AB184349)

Immunohistochemical analysis of 4% paraformaldehyde-fixed 0.2% Triton X-100 permeabilized frozen Mouse kidney tissue labeling MAP1A with ab184349 at 1/500 dilution followed by Goat Anti-Rabbit IgG (Alexa Fluor® 488) (ab150077) secondary antibody at 1/1000 dilution (green). The result showed negative staining on mouse kidney. The nuclear counterstain is DAPI (blue).

Secondary antibody only control : Used PBS instead of primary antibody secondary antibody is ab150077 at 1/1000 dilution.

Immunoprecipitation - Anti-MAP1A antibody [EPR18993] (AB184349)
  • IP

Supplier Data

Immunoprecipitation - Anti-MAP1A antibody [EPR18993] (AB184349)

MAP1A was immunoprecipitated from 1mg of Mouse brain whole cell lysate with ab184349 at 1/50 dilution. Western blot was performed from the immunoprecipitate using ab184349 at 1/1000 dilution. VeriBlot for IP Detection Reagent (HRP) (ab131366), was used for detection at 1/10000 dilution.

Lane 1 : Mouse brain whole cell lysate, 10μg (Input).

Lane 2 : ab184349 IP in Mouse brain whole cell lysate.

Lane 3 : Rabbit IgG,monoclonal [EPR25A] - Isotype Control (ab172730) instead of ab184349 in Mouse brain whole cell lysate.

Blocking and dilution buffer and concentration : 5% NFDM/TBST.

Exposure time : 10 seconds.

All lanes:

Immunoprecipitation - Anti-MAP1A antibody [EPR18993] (ab184349)

Predicted band size: 305 kDa

false

Key facts

Host species

Rabbit

Clonality

Monoclonal

Clone number

EPR18993

Isotype

IgG

Carrier free

No

Reacts with

Mouse, Rat, Human

Applications

IHC-Fr, IHC-P, IP

applications

Immunogen

The exact immunogen used to generate this antibody is proprietary information.

Reactivity data

{ "title": "Reactivity Data", "filters": { "stats": ["", "Species", "Dilution Info", "Notes"], "tabs": { "all-applications": {"fullname" : "All Applications", "shortname": "All Applications"}, "IP" : {"fullname" : "Immunoprecipitation", "shortname":"IP"}, "IHCFr" : {"fullname" : "Immunohistochemistry (Frozen sections)", "shortname":"IHC-Fr"}, "IHCP" : {"fullname" : "Immunohistochemistry (Formalin/PFA-fixed paraffin-embedded sections)", "shortname":"IHC-P"} }, "product-promise": { "all": "all", "testedAndGuaranteed": "tested", "guaranteed": "expected", "predicted": "predicted", "notRecommended": "not-recommended" } }, "values": { "Human": { "IP-species-checked": "guaranteed", "IP-species-dilution-info": "", "IP-species-notes": "", "IHCFr-species-checked": "guaranteed", "IHCFr-species-dilution-info": "", "IHCFr-species-notes": "", "IHCP-species-checked": "testedAndGuaranteed", "IHCP-species-dilution-info": "1/1000", "IHCP-species-notes": "<p></p>" }, "Mouse": { "IP-species-checked": "testedAndGuaranteed", "IP-species-dilution-info": "1/50", "IP-species-notes": "<p></p>", "IHCFr-species-checked": "testedAndGuaranteed", "IHCFr-species-dilution-info": "1/500", "IHCFr-species-notes": "<p></p>", "IHCP-species-checked": "testedAndGuaranteed", "IHCP-species-dilution-info": "1/1000", "IHCP-species-notes": "<p></p>" }, "Rat": { "IP-species-checked": "guaranteed", "IP-species-dilution-info": "", "IP-species-notes": "", "IHCFr-species-checked": "guaranteed", "IHCFr-species-dilution-info": "", "IHCFr-species-notes": "", "IHCP-species-checked": "testedAndGuaranteed", "IHCP-species-dilution-info": "1/1000", "IHCP-species-notes": "<p></p>" } } }

Product details

Patented technology
Our RabMAb® technology is a patented hybridoma-based technology for making rabbit monoclonal antibodies. For details on our patents, please refer to RabMAb® patents.

What are the advantages of a recombinant monoclonal antibody?
This product is a recombinant monoclonal antibody, which offers several advantages including:

  • - High batch-to-batch consistency and reproducibility
  • - Improved sensitivity and specificity
  • - Long-term security of supply
  • - Animal-free batch production

For more information, read more on recombinant antibodies.

Properties and storage information

Form
Liquid
Purification technique
Affinity purification Protein A
Storage buffer
pH: 7.2 Preservative: 0.01% Sodium azide Constituents: PBS, 40% Glycerol (glycerin, glycerine), 0.05% BSA
Shipped at conditions
Blue Ice
Appropriate short-term storage duration
1-2 weeks
Appropriate short-term storage conditions
+4°C
Appropriate long-term storage conditions
-20°C
Aliquoting information
Upon delivery aliquot
Storage information
Avoid freeze / thaw cycle

Product protocols

For this product, it's our understanding that no specific protocols are required. You can visit:

Target data

Structural protein involved in the filamentous cross-bridging between microtubules and other skeletal elements.
See full target information MAP1A

Publications (3)

Recent publications for all applications. Explore the full list and refine your search

Genes & development 39:1338-1354 PubMed40774817

2025

Mouse cortical cellular diversification through lineage progression of radial glia.

Applications

Unspecified application

Species

Unspecified reactive species

Lin Yang,Ziwu Wang,Yanjing Gao,Zhenmeiyu Li,Guoping Liu,Zhejun Xu,Zhuangzhi Zhang,Yan You,Zhengang Yang,Xiaosu Li

Neuropathology and applied neurobiology 49:e12934 PubMed37705167

2023

Phosphorylation of MAP 1A regulates hyperphosphorylation of Tau in Alzheimer's disease model.

Applications

Unspecified application

Species

Unspecified reactive species

Biao Cai,Nan Shao,Ting Ye,Peng Zhou,Wenwen Si,Hang Song,Guangyun Wang,Junping Kou

The Journal of neuroscience : the official journal of the Society for Neuroscience 42:9473-9487 PubMed36414406

2022

Intracellular Accumulation of α-Synuclein Aggregates Promotes S-Nitrosylation of MAP1A Leading to Decreased NMDAR-Evoked Calcium Influx and Loss of Mature Synaptic Spines.

Applications

Unspecified application

Species

Unspecified reactive species

Ryan D Hallam,Brodie Buchner-Duby,Morgan G Stykel,Carla L Coackley,Scott D Ryan
View all publications

Product promise

We are committed to supporting your work with high-quality reagents, and we're here for you every step of the way. In the unlikely event that one of our products does not perform as expected, you're protected by our Product Promise.
For full details, please see our Terms & Conditions

Please note: All products are 'FOR RESEARCH USE ONLY. NOT FOR USE IN DIAGNOSTIC OR THERAPEUTIC PROCEDURES'.

For licensing inquiries, please contact partnerships@abcam.com