JavaScript is disabled in your browser. Please enable JavaScript to view this website.
AB307287

Anti-MAP1B antibody [EPR27225-25] - BSA and Azide free

Be the first to review this product! Submit a review

|

(0 Publication)

Rabbit Recombinant Monoclonal MAP1B antibody. Carrier free. Suitable for IP, Flow Cyt (Intra), ICC/IF, IHC-Fr, IHC-P, WB and reacts with Human, Mouse, Rat samples.

View Alternative Names

Microtubule-associated protein 1B, MAP-1B, MAP1B

17 Images
Immunohistochemistry - Anti-MAP1B antibody [EPR27225-25] - BSA and Azide free (AB307287)
  • IHC

Supplier Data

Immunohistochemistry - Anti-MAP1B antibody [EPR27225-25] - BSA and Azide free (AB307287)

This data was developed using ab307286, the same antibody clone in a different buffer formulation. Immunohistochemical analysis of paraffin-embedded human cerebrum tissue labeling MAP1B with ab307286 at 1/1000 (0.496 ug/ml) followed by ready to use Rabbit specific IHC polymer detection kit HRP/DAB (ab209101). Positive staining on neuron of human cerebrum (PMID : 25429138; PMID : 24614691). The section was incubated with ab307286 for 30 mins at room temperature. The immunostaining was performed on a Leica Biosystems BOND® RX instrument. Counterstained with Hematoxylin. Secondary antibody only control : Secondary antibody is ready to use Rabbit specific IHC polymer detection kit HRP/DAB (ab209101). Heat mediated antigen retrieval was performed with Tris-EDTA buffer (pH 9.0, Epitope Retrieval Solution2) for 20 mins.

Immunohistochemistry - Anti-MAP1B antibody [EPR27225-25] - BSA and Azide free (AB307287)
  • IHC

Supplier Data

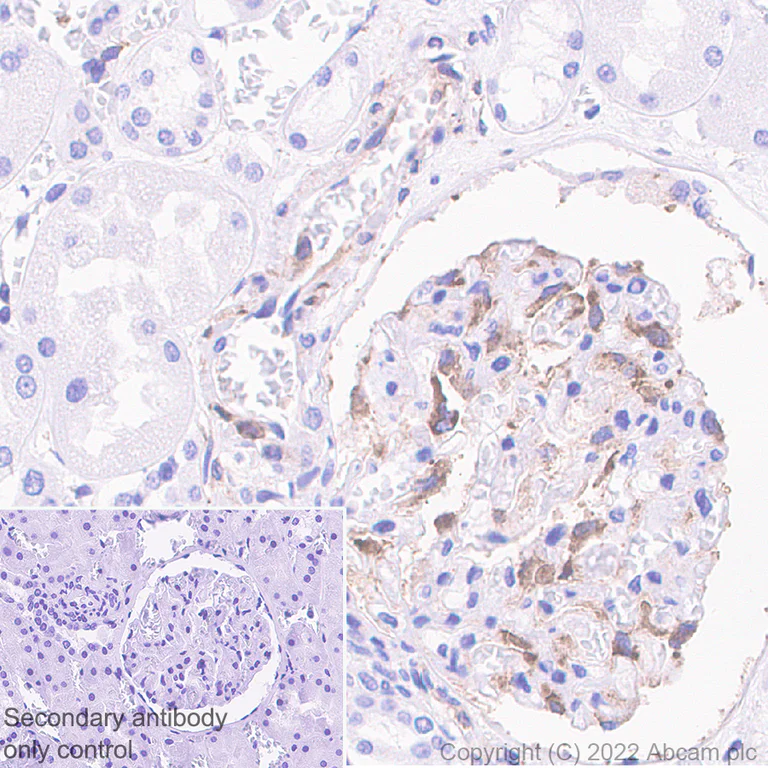
Immunohistochemistry - Anti-MAP1B antibody [EPR27225-25] - BSA and Azide free (AB307287)

This data was developed using ab307286, the same antibody clone in a different buffer formulation. Immunohistochemical analysis of paraffin-embedded human kidney tissue labeling MAP1B with ab307286 at 1/1000 (0.496 ug/ml) followed by ready to use Rabbit specific IHC polymer detection kit HRP/DAB (ab209101). Positive staining on human glomeruli (PMID : 26448484). The section was incubated with ab307286 for 30 mins at room temperature. The immunostaining was performed on a Leica Biosystems BOND® RX instrument. Counterstained with Hematoxylin. Secondary antibody only control : Secondary antibody is ready to use Rabbit specific IHC polymer detection kit HRP/DAB (ab209101). Heat mediated antigen retrieval was performed with Tris-EDTA buffer (pH 9.0, Epitope Retrieval Solution2) for 20 mins.

Immunohistochemistry - Anti-MAP1B antibody [EPR27225-25] - BSA and Azide free (AB307287)
  • IHC

Supplier Data

Immunohistochemistry - Anti-MAP1B antibody [EPR27225-25] - BSA and Azide free (AB307287)

This data was developed using ab307286, the same antibody clone in a different buffer formulation. Immunohistochemical analysis of paraffin-embedded human skeletal muscle tissue labeling MAP1B with ab307286 at 1/1000 (0.496 ug/ml) followed by ready to use Rabbit specific IHC polymer detection kit HRP/DAB (ab209101). Negative control : no staining on human skeletal muscle. The section was incubated with ab307286 for 30 mins at room temperature. The immunostaining was performed on a Leica Biosystems BOND® RX instrument. Counterstained with Hematoxylin. Secondary antibody only control : Secondary antibody is ready to use Rabbit specific IHC polymer detection kit HRP/DAB (ab209101). Heat mediated antigen retrieval was performed with Tris-EDTA buffer (pH 9.0, Epitope Retrieval Solution2) for 20 mins.

Immunoprecipitation - Anti-MAP1B antibody [EPR27225-25] - BSA and Azide free (AB307287)
  • IP

Supplier Data

Immunoprecipitation - Anti-MAP1B antibody [EPR27225-25] - BSA and Azide free (AB307287)

This data was developed using ab307286, the same antibody clone in a different buffer formulation. MAP1B was immunoprecipitated from 0.35 mg human cerebellum tissue lysate 10 ug with ab307286 at 1/30 dilution (2ug in 0.35mg lysates). Western blot was performed on the immunoprecipitate using ab307286 at 1/1000 dilution. VeriBlot for IP secondary antibody(HRP)(ab131366) was used at 1/5000 dilution. Lane 1 : Human cerebellum tissue lysate 10 ug Lane 2 : ab307286 IP in human cerebellum tissue lysate Lane 3 : Rabbit monoclonal IgG (ab172730) instead of ab307286 in human cerebellum tissue lysate Blocking and dilution buffer and concentration : 5% NFDM/TBST. Exposure time : 10 seconds.

All lanes:

Immunoprecipitation - Anti-MAP1B antibody [EPR27225-25] (<a href='/en-us/products/primary-antibodies/map1b-antibody-epr27225-25-ab307286'>ab307286</a>) at 1/1000 dilution

Lane 1:

Human cerebellum tissue lysate 10 μg

Lane 2:

Human cerebellum tissue lysate

Secondary

All lanes:

Immunoprecipitation - VeriBlot for IP Detection Reagent (HRP) (<a href='/en-us/products/reagents/veriblot-for-ip-detection-reagent-hrp-ab131366'>ab131366</a>) at 1/5000 dilution

Observed band size: 26 kDa,32 kDa

false

Exposure time: 10s

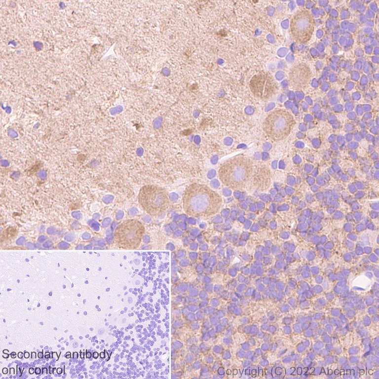
Immunohistochemistry - Anti-MAP1B antibody [EPR27225-25] - BSA and Azide free (AB307287)
  • IHC

Supplier Data

Immunohistochemistry - Anti-MAP1B antibody [EPR27225-25] - BSA and Azide free (AB307287)

This data was developed using ab307286, the same antibody clone in a different buffer formulation. Immunohistochemical analysis of paraffin-embedded mouse cerebellum tissue labeling MAP1B with ab307286 at 1/1000 (0.496 ug/ml) followed by ready to use Rabbit specific IHC polymer detection kit HRP/DAB (ab209101). Positive staining on mouse cerebellum (PMID : 25788676). The section was incubated with ab307286 for 30 mins at room temperature. The immunostaining was performed on a Leica Biosystems BOND® RX instrument. Counterstained with Hematoxylin. Secondary antibody only control : Secondary antibody is ready to use Rabbit specific IHC polymer detection kit HRP/DAB (ab209101). Heat mediated antigen retrieval was performed with Tris-EDTA buffer (pH 9.0, Epitope Retrieval Solution2) for 20 mins.

Immunohistochemistry - Anti-MAP1B antibody [EPR27225-25] - BSA and Azide free (AB307287)
  • IHC

Supplier Data

Immunohistochemistry - Anti-MAP1B antibody [EPR27225-25] - BSA and Azide free (AB307287)

This data was developed using ab307286, the same antibody clone in a different buffer formulation. Immunohistochemical analysis of paraffin-embedded rat skeletal muscle tissue labeling MAP1B with ab307286 at 1/1000 (0.496 ug/ml) followed by ready to use Rabbit specific IHC polymer detection kit HRP/DAB (ab209101). Negative control : no staining on rat skeletal muscle. The section was incubated with ab307286 for 30 mins at room temperature. The immunostaining was performed on a Leica Biosystems BOND® RX instrument. Counterstained with Hematoxylin. Secondary antibody only control : Secondary antibody is ready to use Rabbit specific IHC polymer detection kit HRP/DAB (ab209101). Heat mediated antigen retrieval was performed with Tris-EDTA buffer (pH 9.0, Epitope Retrieval Solution2) for 20 mins.

Flow Cytometry (Intracellular) - Anti-MAP1B antibody [EPR27225-25] - BSA and Azide free (AB307287)
  • Flow Cyt (Intra)

Supplier Data

Flow Cytometry (Intracellular) - Anti-MAP1B antibody [EPR27225-25] - BSA and Azide free (AB307287)

This data was developed using ab307286, the same antibody clone in a different buffer formulation. Flow cytometric analysis of 4% paraformaldehyde fixed 90% methanol permeabilized mouse primary neuron cells labeling MAP1B with ab307286 at 1/500 dilution (0.1ug)/ Right compared with a Rabbit monoclonal IgG (ab172730) / Left isotype control. A Goat Anti-Rabbit IgG (Alexa Fluor® 488, ab150081) at 1/2000 dilution was used as the secondary antibody.

Immunohistochemistry (Frozen sections) - Anti-MAP1B antibody [EPR27225-25] - BSA and Azide free (AB307287)
  • IHC-Fr

Supplier Data

Immunohistochemistry (Frozen sections) - Anti-MAP1B antibody [EPR27225-25] - BSA and Azide free (AB307287)

This data was developed using ab307286, the same antibody clone in a different buffer formulation. Immunohistochemical analysis of 4% PFA-fixed, 0.2% Triton X-100 permeabilized frozen rat cerebellum (fresh) tissue labeling MAP1B with ab307286 at 1/100 (4.96 ug/ml) dilution followed by ab150081 Goat Anti-Rabbit IgG H&L (Alexa Fluor® 488) preadsorbed at 1/1000 (2 ug/mL) dilution (Green). Confocal image showing positive staining on rat cerebellum. The section was incubated with ab307286 for 60 mins at room temperature. The section was then mounted using Fluoromount®. The immunostaining was performed on a Leica Biosystems BOND® RX instrument. Image was taken with a confocal microscope (Leica-Microsystems, TCS SP8). The nuclear counterstain was DAPI (Blue). Secondary antibody control : Secondary antibody is ab150081 Goat Anti-Rabbit IgG H&L (Alexa Fluor® 488) preadsorbed at 1/1000 (2 ug/mL) dilution.

Immunocytochemistry/ Immunofluorescence - Anti-MAP1B antibody [EPR27225-25] - BSA and Azide free (AB307287)
  • ICC/IF

Supplier Data

Immunocytochemistry/ Immunofluorescence - Anti-MAP1B antibody [EPR27225-25] - BSA and Azide free (AB307287)

This data was developed using ab307286, the same antibody clone in a different buffer formulation. Immunofluorescent analysis of 4% Paraformaldehyde-fixed, 0.1% Triton X-100 permeabilized mouse primary neuron cells labeling MAP1B with ab307286 at 1/100 (4.96 ug/ml) dilution, followed by ab150081 Goat Anti-Rabbit IgG H&L (Alexa Fluor® 488) preadsorbed antibody at 1/1000 (2 ug/ml) dilution (Green). Confocal image showing cytoplasmic staining in mouse primary neuron. Confocal scanning Z step was set as 0.3 um followed by image processing with maximum Z projection. Image was taken with a confocal microscope(Leica-Microsystems, TCS SP8). ab11267 Anti-MAP2 mouse monoclonal antibody was used to counterstain tubulin at 1/500 dilution (4ug/ml) dilution, followed by ab150120 Goat Anti-Mouse IgG H&L (Alexa Fluor® 594) at a 1/1000 dilution (2ug/ml) (Red). The nuclear counterstain was DAPI (Blue). -ve control 1 : ab307286 at 1/100 dilution followed by ab150120 at a 1/1000 dilution. -ve control 2 : ab11267 at 1/500 dilution followed by ab150081 at a 1/1000 dilution.

Immunohistochemistry (Frozen sections) - Anti-MAP1B antibody [EPR27225-25] - BSA and Azide free (AB307287)
  • IHC-Fr

Supplier Data

Immunohistochemistry (Frozen sections) - Anti-MAP1B antibody [EPR27225-25] - BSA and Azide free (AB307287)

This data was developed using ab307286, the same antibody clone in a different buffer formulation. Immunohistochemical analysis of 4% PFA-fixed, 0.2% Triton X-100 permeabilized frozen mouse cerebellum (fresh) tissue labeling MAP1B with ab307286 at 1/100 (4.96 ug/ml) dilution followed by ab150081 Goat Anti-Rabbit IgG H&L (Alexa Fluor® 488) preadsorbed at 1/1000 (2 ug/mL) dilution (Green). Confocal image showing positive staining on mouse cerebellum. The section was incubated with ab307286 for 60 mins at room temperature. The section was then mounted using Fluoromount®. The immunostaining was performed on a Leica Biosystems BOND® RX instrument. Image was taken with a confocal microscope (Leica-Microsystems, TCS SP8). The nuclear counterstain was DAPI (Blue). Secondary antibody control : Secondary antibody is ab150081 Goat Anti-Rabbit IgG H&L (Alexa Fluor® 488) preadsorbed at 1/1000 (2 ug/mL) dilution.

Immunohistochemistry - Anti-MAP1B antibody [EPR27225-25] - BSA and Azide free (AB307287)
  • IHC

Supplier Data

Immunohistochemistry - Anti-MAP1B antibody [EPR27225-25] - BSA and Azide free (AB307287)

This data was developed using ab307286, the same antibody clone in a different buffer formulation. Immunohistochemical analysis of paraffin-embedded rat cerebellum tissue labeling MAP1B with ab307286 at 1/1000 (0.496 ug/ml) followed by ready to use Rabbit specific IHC polymer detection kit HRP/DAB (ab209101). Positive staining on rat cerebellum (PMID : 25788676). The section was incubated with ab307286 for 30 mins at room temperature. The immunostaining was performed on a Leica Biosystems BOND® RX instrument. Counterstained with Hematoxylin. Secondary antibody only control : Secondary antibody is ready to use Rabbit specific IHC polymer detection kit HRP/DAB (ab209101). Heat mediated antigen retrieval was performed with Tris-EDTA buffer (pH 9.0, Epitope Retrieval Solution2) for 20 mins.

Immunohistochemistry - Anti-MAP1B antibody [EPR27225-25] - BSA and Azide free (AB307287)
  • IHC

Supplier Data

Immunohistochemistry - Anti-MAP1B antibody [EPR27225-25] - BSA and Azide free (AB307287)

This data was developed using ab307286, the same antibody clone in a different buffer formulation. Immunohistochemical analysis of paraffin-embedded mouse skeletal muscle tissue labeling MAP1B with ab307286 at 1/1000 (0.496 ug/ml) followed by ready to use Rabbit specific IHC polymer detection kit HRP/DAB (ab209101). Negative control : no staining on mouse skeletal muscle. The section was incubated with ab307286 for 30 mins at room temperature. The immunostaining was performed on a Leica Biosystems BOND® RX instrument. Counterstained with Hematoxylin. Secondary antibody only control : Secondary antibody is ready to use Rabbit specific IHC polymer detection kit HRP/DAB (ab209101). Heat mediated antigen retrieval was performed with Tris-EDTA buffer (pH 9.0, Epitope Retrieval Solution2) for 20 mins.

Immunohistochemistry (Frozen sections) - Anti-MAP1B antibody [EPR27225-25] - BSA and Azide free (AB307287)
  • IHC-Fr

Supplier Data

Immunohistochemistry (Frozen sections) - Anti-MAP1B antibody [EPR27225-25] - BSA and Azide free (AB307287)

This data was developed using ab307286, the same antibody clone in a different buffer formulation. Immunohistochemical analysis of 4% PFA-fixed, 0.2% Triton X-100 permeabilized frozen mouse skeletal muscle (fresh) tissue labeling MAP1B with ab307286 at 1/100 (4.96 ug/ml) dilution followed by ab150081 Goat Anti-Rabbit IgG H&L (Alexa Fluor® 488) preadsorbed at 1/1000 (2 ug/mL) dilution (Green). Negative control : confocal image showing no staining on mouse skeletal muscle. The section was incubated with ab307286 for 60 mins at room temperature. The section was then mounted using Fluoromount®. The immunostaining was performed on a Leica Biosystems BOND® RX instrument. Image was taken with a confocal microscope (Leica-Microsystems, TCS SP8). The nuclear counterstain was DAPI (Blue). Secondary antibody control : Secondary antibody is ab150081 Goat Anti-Rabbit IgG H&L (Alexa Fluor® 488) preadsorbed at 1/1000 (2 ug/mL) dilution.

Immunohistochemistry (Frozen sections) - Anti-MAP1B antibody [EPR27225-25] - BSA and Azide free (AB307287)
  • IHC-Fr

Supplier Data

Immunohistochemistry (Frozen sections) - Anti-MAP1B antibody [EPR27225-25] - BSA and Azide free (AB307287)

This data was developed using ab307286, the same antibody clone in a different buffer formulation. Immunohistochemical analysis of 4% PFA-fixed, 0.2% Triton X-100 permeabilized frozen rat skeletal muscle (fresh) tissue labeling MAP1B with ab307286 at 1/100 (4.96 ug/ml) dilution followed by ab150081 Goat Anti-Rabbit IgG H&L (Alexa Fluor® 488) preadsorbed at 1/1000 (2 ug/mL) dilution (Green). Negative control : confocal image showing no staining on rat skeletal muscle. The section was incubated with ab307286 for 60 mins at room temperature. The section was then mounted using Fluoromount®. The immunostaining was performed on a Leica Biosystems BOND® RX instrument. Image was taken with a confocal microscope (Leica-Microsystems, TCS SP8). The nuclear counterstain was DAPI (Blue). Secondary antibody control : Secondary antibody is ab150081 Goat Anti-Rabbit IgG H&L (Alexa Fluor® 488) preadsorbed at 1/1000 (2 ug/mL) dilution.

Immunoprecipitation - Anti-MAP1B antibody [EPR27225-25] - BSA and Azide free (AB307287)
  • IP

Supplier Data

Immunoprecipitation - Anti-MAP1B antibody [EPR27225-25] - BSA and Azide free (AB307287)

This data was developed using ab307286, the same antibody clone in a different buffer formulation. MAP1B was immunoprecipitated from 0.35 mg mouse cerebellum tissue lysate 10 ug with ab307286 at 1/30 dilution (2ug in 0.35mg lysates). Western blot was performed on the immunoprecipitate using ab307286 at 1/1000 dilution. VeriBlot for IP secondary antibody(HRP)(ab131366) was used at 1/5000 dilution. Lane 1 : Mouse cerebellum tissue lysate 10 ug Lane 2 : ab307286 IP in mouse cerebellum tissue lysate Lane 3 : Rabbit monoclonal IgG (ab172730) instead of ab307286 in mouse cerebellum tissue lysate Blocking and dilution buffer and concentration : 5% NFDM/TBST. Exposure time : 10 seconds.

All lanes:

Immunoprecipitation - Anti-MAP1B antibody [EPR27225-25] (<a href='/en-us/products/primary-antibodies/map1b-antibody-epr27225-25-ab307286'>ab307286</a>) at 1/1000 dilution

Lane 1:

Mouse cerebellum tissue lysate 10 μg

Lane 2:

Mouse cerebellum tissue lysate

Secondary

All lanes:

Immunoprecipitation - VeriBlot for IP Detection Reagent (HRP) (<a href='/en-us/products/reagents/veriblot-for-ip-detection-reagent-hrp-ab131366'>ab131366</a>) at 1/5000 dilution

Observed band size: 26 kDa,32 kDa

false

Exposure time: 10s

Western blot - Anti-MAP1B antibody [EPR27225-25] - BSA and Azide free (AB307287)
  • WB

Supplier Data

Western blot - Anti-MAP1B antibody [EPR27225-25] - BSA and Azide free (AB307287)

This data was developed using ab307286, the same antibody clone in a different buffer formulation. Blocking/dilution buffer : 5% NFDM/TBST. The expression profile/ molecular weight observed is consistent with what has been described in the literature (PMID : 18656471; PMID : 16938900). Negative control : skeletal muscle tissue (PMID : 12684070). Exposure time : 180 seconds.

All lanes:

Western blot - Anti-MAP1B antibody [EPR27225-25] (<a href='/en-us/products/primary-antibodies/map1b-antibody-epr27225-25-ab307286'>ab307286</a>) at 1/1000 dilution

Lane 1:

Human cerebellum tissue lysate 20 μg

Lane 2:

Human skeletal muscle tissue lysate 20 μg

Secondary

All lanes:

Western blot - Goat Anti-Rabbit IgG H&L (HRP) (<a href='/en-us/products/secondary-antibodies/goat-rabbit-igg-h-l-hrp-ab97051'>ab97051</a>) at 1/20000 dilution

Observed band size: 26 kDa,32 kDa

false

Exposure time: 180s

Western blot - Anti-MAP1B antibody [EPR27225-25] - BSA and Azide free (AB307287)
  • WB

Supplier Data

Western blot - Anti-MAP1B antibody [EPR27225-25] - BSA and Azide free (AB307287)

This data was developed using ab307286, the same antibody clone in a different buffer formulation. Blocking/dilution buffer : 5% NFDM/TBST. The expression profile/ molecular weight observed is consistent with what has been described in the literature (PMID : 18656471; PMID : 16938900). Negative control : skeletal muscle tissue (PMID : 12684070). Exposure time : 15 seconds.

All lanes:

Western blot - Anti-MAP1B antibody [EPR27225-25] (<a href='/en-us/products/primary-antibodies/map1b-antibody-epr27225-25-ab307286'>ab307286</a>) at 1/1000 dilution

Lane 1:

Mouse cerebellum tissue lysate 20 μg

Lane 2:

Mouse skeletal muscle tissue lysate 20 μg

Lane 3:

Rat cerebellum tissue lysate 20 μg

Lane 4:

Rat skeletal muscle tissue lysate 20 μg

Secondary

All lanes:

Western blot - Goat Anti-Rabbit IgG H&L (HRP) (<a href='/en-us/products/secondary-antibodies/goat-rabbit-igg-h-l-hrp-ab97051'>ab97051</a>) at 1/20000 dilution

Observed band size: 26 kDa,32 kDa

false

Exposure time: 15s

Key facts

Host species

Rabbit

Clonality

Monoclonal

Clone number

EPR27225-25

Isotype

IgG

Carrier free

Yes

Reacts with

Human, Mouse, Rat

Applications

IP, IHC-P, WB, Flow Cyt (Intra), IHC-Fr, ICC/IF

applications

Immunogen

The exact immunogen used to generate this antibody is proprietary information.

Reactivity data

{ "title": "Reactivity Data", "filters": { "stats": ["", "Species", "Dilution Info", "Notes"], "tabs": { "all-applications": {"fullname" : "All Applications", "shortname": "All Applications"}, "IP" : {"fullname" : "Immunoprecipitation", "shortname":"IP"}, "FlowCytIntra" : {"fullname" : "Flow Cytometry (Intracellular)", "shortname":"Flow Cyt (Intra)"}, "ICCIF" : {"fullname" : "Immunocytochemistry/ Immunofluorescence", "shortname":"ICC/IF"}, "IHCFr" : {"fullname" : "Immunohistochemistry (Frozen sections)", "shortname":"IHC-Fr"}, "IHCP" : {"fullname" : "Immunohistochemistry (Formalin/PFA-fixed paraffin-embedded sections)", "shortname":"IHC-P"}, "WB" : {"fullname" : "Western blot", "shortname":"WB"} }, "product-promise": { "all": "all", "testedAndGuaranteed": "tested", "guaranteed": "expected", "predicted": "predicted", "notRecommended": "not-recommended" } }, "values": { "Human": { "IP-species-checked": "testedAndGuaranteed", "IP-species-dilution-info": "", "IP-species-notes": "<p></p>", "FlowCytIntra-species-checked": "guaranteed", "FlowCytIntra-species-dilution-info": "", "FlowCytIntra-species-notes": "", "ICCIF-species-checked": "guaranteed", "ICCIF-species-dilution-info": "", "ICCIF-species-notes": "", "IHCFr-species-checked": "guaranteed", "IHCFr-species-dilution-info": "", "IHCFr-species-notes": "", "IHCP-species-checked": "testedAndGuaranteed", "IHCP-species-dilution-info": "", "IHCP-species-notes": "<p></p>", "WB-species-checked": "testedAndGuaranteed", "WB-species-dilution-info": "", "WB-species-notes": "<p></p>" }, "Mouse": { "IP-species-checked": "testedAndGuaranteed", "IP-species-dilution-info": "", "IP-species-notes": "<p></p>", "FlowCytIntra-species-checked": "testedAndGuaranteed", "FlowCytIntra-species-dilution-info": "", "FlowCytIntra-species-notes": "<p></p>", "ICCIF-species-checked": "testedAndGuaranteed", "ICCIF-species-dilution-info": "", "ICCIF-species-notes": "<p></p>", "IHCFr-species-checked": "testedAndGuaranteed", "IHCFr-species-dilution-info": "", "IHCFr-species-notes": "<p></p>", "IHCP-species-checked": "testedAndGuaranteed", "IHCP-species-dilution-info": "", "IHCP-species-notes": "<p></p>", "WB-species-checked": "testedAndGuaranteed", "WB-species-dilution-info": "", "WB-species-notes": "<p></p>" }, "Rat": { "IP-species-checked": "guaranteed", "IP-species-dilution-info": "", "IP-species-notes": "", "FlowCytIntra-species-checked": "guaranteed", "FlowCytIntra-species-dilution-info": "", "FlowCytIntra-species-notes": "", "ICCIF-species-checked": "guaranteed", "ICCIF-species-dilution-info": "", "ICCIF-species-notes": "", "IHCFr-species-checked": "testedAndGuaranteed", "IHCFr-species-dilution-info": "", "IHCFr-species-notes": "<p></p>", "IHCP-species-checked": "testedAndGuaranteed", "IHCP-species-dilution-info": "", "IHCP-species-notes": "<p></p>", "WB-species-checked": "testedAndGuaranteed", "WB-species-dilution-info": "", "WB-species-notes": "<p></p>" } } }

Product details

Patented technology
Our RabMAb® technology is a patented hybridoma-based technology for making rabbit monoclonal antibodies. For details on our patents, please refer to RabMAb® patents.

What are the advantages of a recombinant monoclonal antibody?
This product is a recombinant monoclonal antibody, which offers several advantages including:

  • - High batch-to-batch consistency and reproducibility
  • - Improved sensitivity and specificity
  • - Long-term security of supply
  • - Animal-free batch production

For more information, read more on recombinant antibodies.

Conjugation ready
Our carrier-free antibodies are typically supplied in a PBS-only formulation, purified and free of BSA, sodium azide and glycerol. This conjugation-ready format is designed for use with fluorochromes, metal isotopes, oligonucleotides, and enzymes, which makes them ideal for antibody labelling, functional and cell-based assays, flow-based assays (e.g. mass cytometry) and Multiplex Imaging applications.

Use our conjugation kits for antibody conjugates that are ready-to-use in as little as 20 minutes with 1 minute hands-on-time and 100% antibody recovery: available for fluorescent dyes, HRP, biotin and gold.

Compatibility
This product is compatible with the Maxpar® Antibody Labeling Kit from Fluidigm, without the need for antibody preparation. Maxpar® is a trademark of Fluidigm Canada Inc.

Properties and storage information

Form
Liquid
Purification technique
Affinity purification Protein A
Storage buffer
pH: 7.2 - 7.4 Constituents: PBS
Shipped at conditions
Blue Ice
Appropriate short-term storage conditions
+4°C
Appropriate long-term storage conditions
+4°C

Product protocols

For this product, it's our understanding that no specific protocols are required. You can visit:

Target data

Facilitates tyrosination of alpha-tubulin in neuronal microtubules (By similarity). Phosphorylated MAP1B is required for proper microtubule dynamics and plays a role in the cytoskeletal changes that accompany neuronal differentiation and neurite extension (PubMed : 33268592). Possibly MAP1B binds to at least two tubulin subunits in the polymer, and this bridging of subunits might be involved in nucleating microtubule polymerization and in stabilizing microtubules. Acts as a positive cofactor in DAPK1-mediated autophagic vesicle formation and membrane blebbing.
See full target information MAP1B

Product promise

We are committed to supporting your work with high-quality reagents, and we're here for you every step of the way. In the unlikely event that one of our products does not perform as expected, you're protected by our Product Promise.
For full details, please see our Terms & Conditions

Please note: All products are 'FOR RESEARCH USE ONLY. NOT FOR USE IN DIAGNOSTIC OR THERAPEUTIC PROCEDURES'.

For licensing inquiries, please contact partnerships@abcam.com