JavaScript is disabled in your browser. Please enable JavaScript to view this website.
AB254144

Anti-MAP2 antibody [AA6] - Neuronal Marker

Be the first to review this product! Submit a review

|

(2 Publications)

Mouse Recombinant Monoclonal MAP2 antibody. Suitable for ICC/IF, IHC-P and reacts with Mouse, Rat, Human samples. Cited in 2 publications.

View Alternative Names

Microtubule-associated protein 2, MAP-2, MAP2

5 Images
Immunohistochemistry (Formalin/PFA-fixed paraffin-embedded sections) - Anti-MAP2 antibody [AA6] - Neuronal Marker (AB254144)
  • IHC-P

Lab

Immunohistochemistry (Formalin/PFA-fixed paraffin-embedded sections) - Anti-MAP2 antibody [AA6] - Neuronal Marker (AB254144)

Immunohistochemical analysis of paraffin-embedded human astrocytoma tissue labeling MAP2 with ab254144 at 1/10000 (0.111 μg/ml) dilution followed by a ready to use Goat Anti-Mouse IgG H&L (HRP polymer) (ab214879). Cytoplasmic staining on human astrocytoma. The section was incubated with ab254144 for 10 mins at room temperature.The immunostaining was performed on a Leica Biosystems BOND® RX instrument. Counterstained with Hematoxylin.

Secondary antibody only control : Secondary antibody is a ready to use Goat Anti-Mouse IgG H&L (HRP polymer) (ab214879).

Heat mediated antigen retrieval with Citrate buffer (pH 6.0, epitope retrieval solution 1) for 20 mins.

Immunohistochemistry (Formalin/PFA-fixed paraffin-embedded sections) - Anti-MAP2 antibody [AA6] - Neuronal Marker (AB254144)
  • IHC-P

Lab

Immunohistochemistry (Formalin/PFA-fixed paraffin-embedded sections) - Anti-MAP2 antibody [AA6] - Neuronal Marker (AB254144)

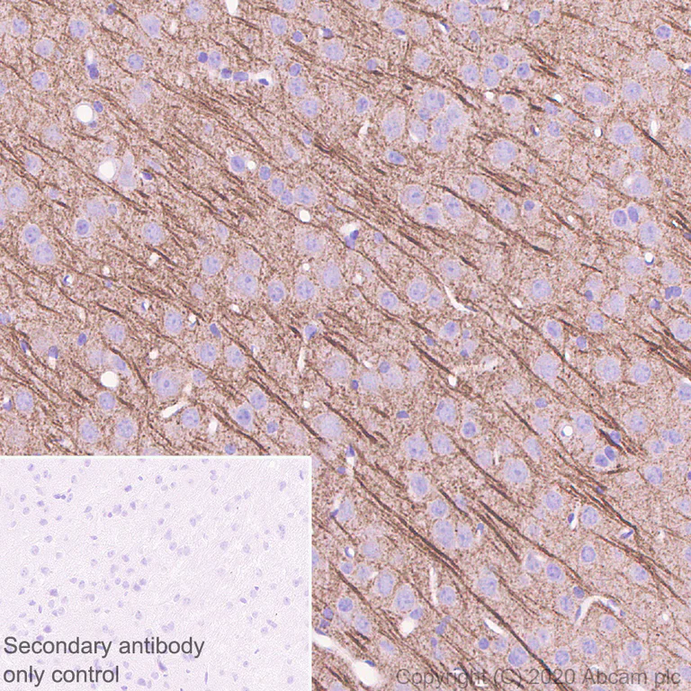
Immunohistochemical analysis of paraffin-embedded rat cerebrum tissue labeling MAP2 with ab254144 at 1/10000 (0.111 μg/ml) dilution followed by a ready to use Goat Anti-Mouse IgG H&L (HRP polymer) (ab214879). Cytoplasmic staining on rat cerebrum. The section was incubated with ab254144 for 10 mins at room temperature. The immunostaining was performed on a Leica Biosystems BOND® RX instrument. Counterstained with Hematoxylin.

Secondary antibody only control : Secondary antibody is a ready to use Goat Anti-Mouse IgG H&L (HRP polymer) (ab214879).

Heat mediated antigen retrieval with Citrate buffer (pH 6.0, epitope retrieval solution 1) for 20 mins.

Immunocytochemistry/ Immunofluorescence - Anti-MAP2 antibody [AA6] - Neuronal Marker (AB254144)
  • ICC/IF

Lab

Immunocytochemistry/ Immunofluorescence - Anti-MAP2 antibody [AA6] - Neuronal Marker (AB254144)

Immunofluorescent analysis of 4% Paraformaldehyde-fixed, 0.1% TritonX-100 permeabilized mouse primary neuron cells labelling MAP2 with ab254144 at 1/50 (22.18 μg/ml) dilution, followed by ab150113 Goat Anti-Mouse IgG H&L (Alexa Fluor® 488) antibody at 1/1000 dilution (Green). Confocal image showing cytoplasmic staining in mouse primary neuron cells. Confocal scanning Z step was set as 0.3 μm followed by image processing with maximum Z projection. ab183830 Anti-MAP2 rabbit monoclonal antibody was used to counterstain tubulin at 1/1000 dilution, followed by ab150080 Goat Anti-Rabbit IgG H&L (Alexa Fluor® 594) at a 1/500 dilution (Red). The nuclear counterstain was DAPI (Blue).

Secondary antibody only control : Secondary antibody is ab150113 Goat Anti-Mouse IgG H&L (Alexa Fluor® 488) at 1/1000 dilution.

Negative control 1 : ab254143 at a 1/50 dilution followed by ab150080 at a 1/500 dilution.

Negative control 2 : ab183830 at a 1/1000 dilution followed by ab150113 at a 1/1000 dilution.

Immunocytochemistry/ Immunofluorescence - Anti-MAP2 antibody [AA6] - Neuronal Marker (AB254144)
  • ICC/IF

Lab

Immunocytochemistry/ Immunofluorescence - Anti-MAP2 antibody [AA6] - Neuronal Marker (AB254144)

Immunofluorescent analysis of 4% Paraformaldehyde-fixed, 0.1% TritonX-100 permeabilized rat primary neuron cells labelling MAP2 with ab254144 at 1/50 (22.18 μg/ml) dilution, followed by ab150113 Goat Anti-Mouse IgG H&L (Alexa Fluor® 488) antibody at 1/1000 dilution (Green). Confocal image showing cytoplasmic staining in rat primary neuron cells. Confocal scanning Z step was set as 0.3 μm followed by image processing with maximum Z projection. ab183830 Anti-MAP2 rabbit monoclonal antibody was used to counterstain tubulin at 1/1000 dilution, followed by ab150080 Goat Anti-Rabbit IgG H&L (Alexa Fluor® 594) at a 1/500 dilution (Red). The nuclear counterstain was DAPI (Blue).

Secondary antibody only control : Secondary antibody is ab150113 Goat Anti-Mouse IgG H&L (Alexa Fluor® 488) at 1/1000 dilution.

Negative control 1 : ab254143 at a 1/50 dilution followed by ab150080 at a 1/500 dilution.

Negative control 2 : ab183830 at a 1/1000 dilution followed by ab150113 at a 1/1000 dilution.

Immunohistochemistry (Formalin/PFA-fixed paraffin-embedded sections) - Anti-MAP2 antibody [AA6] - Neuronal Marker (AB254144)
  • IHC-P

Lab

Immunohistochemistry (Formalin/PFA-fixed paraffin-embedded sections) - Anti-MAP2 antibody [AA6] - Neuronal Marker (AB254144)

Immunohistochemical analysis of paraffin-embedded mouse cerebrum tissue labeling MAP2 with ab254144 at 1/10000 (0.111 μg/ml) dilution followed by a ready to use Goat Anti-Mouse IgG H&L (HRP polymer) (ab214879). Cytoplasmic staining on mouse cerebrum. The section was incubated with ab254144 for 10 mins at room temperature. The immunostaining was performed on a Leica Biosystems BOND® RX instrument. Counterstained with Hematoxylin.

Secondary antibody only control : Secondary antibody is a ready to use Goat Anti-Mouse IgG H&L (HRP polymer) (ab214879).

Heat mediated antigen retrieval with Citrate buffer (pH 6.0, epitope retrieval solution 1) for 20 mins.

  • Carrier free

    Anti-MAP2 antibody [AA6] - BSA and Azide free

Key facts

Host species

Mouse

Clonality

Monoclonal

Clone number

AA6

Isotype

IgG1

Carrier free

No

Reacts with

Mouse, Rat, Human

Applications

IHC-P, ICC/IF

applications

Reactivity data

{ "title": "Reactivity Data", "filters": { "stats": ["", "Species", "Dilution Info", "Notes"], "tabs": { "all-applications": {"fullname" : "All Applications", "shortname": "All Applications"}, "ICCIF" : {"fullname" : "Immunocytochemistry/ Immunofluorescence", "shortname":"ICC/IF"}, "FlowCyt" : {"fullname" : "Flow Cytometry", "shortname":"Flow Cyt"}, "WB" : {"fullname" : "Western blot", "shortname":"WB"}, "IHCP" : {"fullname" : "Immunohistochemistry (Formalin/PFA-fixed paraffin-embedded sections)", "shortname":"IHC-P"}, "IHCFr" : {"fullname" : "Immunohistochemistry (Frozen sections)", "shortname":"IHC-Fr"} }, "product-promise": { "all": "all", "testedAndGuaranteed": "tested", "guaranteed": "expected", "predicted": "predicted", "notRecommended": "not-recommended" } }, "values": { "Human": { "ICCIF-species-checked": "guaranteed", "ICCIF-species-dilution-info": "", "ICCIF-species-notes": "", "FlowCyt-species-checked": "notRecommended", "FlowCyt-species-dilution-info": "", "FlowCyt-species-notes": "<p></p>", "WB-species-checked": "notRecommended", "WB-species-dilution-info": "", "WB-species-notes": "<p></p>", "IHCP-species-checked": "testedAndGuaranteed", "IHCP-species-dilution-info": "1/10000", "IHCP-species-notes": "<p></p>", "IHCFr-species-checked": "notRecommended", "IHCFr-species-dilution-info": "", "IHCFr-species-notes": "<p></p>" }, "Mouse": { "ICCIF-species-checked": "testedAndGuaranteed", "ICCIF-species-dilution-info": "1/50", "ICCIF-species-notes": "<p></p>", "FlowCyt-species-checked": "notRecommended", "FlowCyt-species-dilution-info": "", "FlowCyt-species-notes": "<p></p>", "WB-species-checked": "notRecommended", "WB-species-dilution-info": "", "WB-species-notes": "<p></p>", "IHCP-species-checked": "testedAndGuaranteed", "IHCP-species-dilution-info": "1/10000", "IHCP-species-notes": "<p></p>", "IHCFr-species-checked": "notRecommended", "IHCFr-species-dilution-info": "", "IHCFr-species-notes": "<p></p>" }, "Rat": { "ICCIF-species-checked": "testedAndGuaranteed", "ICCIF-species-dilution-info": "1/50", "ICCIF-species-notes": "<p></p>", "FlowCyt-species-checked": "notRecommended", "FlowCyt-species-dilution-info": "", "FlowCyt-species-notes": "<p></p>", "WB-species-checked": "notRecommended", "WB-species-dilution-info": "", "WB-species-notes": "<p></p>", "IHCP-species-checked": "testedAndGuaranteed", "IHCP-species-dilution-info": "1/10000", "IHCP-species-notes": "<p></p>", "IHCFr-species-checked": "notRecommended", "IHCFr-species-dilution-info": "", "IHCFr-species-notes": "<p></p>" } } }

Product details

What are the advantages of a recombinant monoclonal antibody?
This product is a recombinant monoclonal antibody, which offers several advantages including:

  • - High batch-to-batch consistency and reproducibility
  • - Improved sensitivity and specificity
  • - Long-term security of supply
  • - Animal-free batch production

For more information, read more on recombinant antibodies.

Want a custom formulation?
This antibody clone is manufactured by Abcam. If you require a custom buffer formulation or conjugation for your experiments, please contact orders@abcam.com

Properties and storage information

Form
Liquid
Purification technique
Affinity purification Protein A
Storage buffer
Preservative: 0.01% Sodium azide Constituents: PBS, 40% Glycerol (glycerin, glycerine), 0.05% BSA
Shipped at conditions
Blue Ice
Appropriate short-term storage duration
1-2 weeks
Appropriate short-term storage conditions
+4°C
Appropriate long-term storage conditions
-20°C
Aliquoting information
Upon delivery aliquot
Storage information
Avoid freeze / thaw cycle

Product protocols

For this product, it's our understanding that no specific protocols are required. You can visit:

Target data

The exact function of MAP2 is unknown but MAPs may stabilize the microtubules against depolymerization. They also seem to have a stiffening effect on microtubules.
See full target information MAP2

Publications (2)

Recent publications for all applications. Explore the full list and refine your search

Science advances 11:eado4927 PubMed39813330

2025

A nanoparticle-based wireless deep brain stimulation system that reverses Parkinson's disease.

Applications

Unspecified application

Species

Unspecified reactive species

Junguang Wu,Xuejing Cui,Lin Bao,Guanyu Liu,Xiaoyu Wang,Chunying Chen

Nutrients 16: PubMed38474863

2024

GFRAL Is Widely Distributed in the Brain and Peripheral Tissues of Mice.

Applications

Unspecified application

Species

Unspecified reactive species

Karoline Fichtner,Hermann Kalwa,Miao-Miao Lin,Yuanyuan Gong,Anne Müglitz,Michael Kluge,Ute Krügel
View all publications

Product promise

We are committed to supporting your work with high-quality reagents, and we're here for you every step of the way. In the unlikely event that one of our products does not perform as expected, you're protected by our Product Promise.
For full details, please see our Terms & Conditions

Please note: All products are 'FOR RESEARCH USE ONLY. NOT FOR USE IN DIAGNOSTIC OR THERAPEUTIC PROCEDURES'.

For licensing inquiries, please contact partnerships@abcam.com