JavaScript is disabled in your browser. Please enable JavaScript to view this website.
AB300646

Anti-MAP2 antibody [EPR19691] - Mouse IgG2a (Chimeric) - BSA and Azide free

Be the first to review this product! Submit a review

|

(1 Publication)

Mouse Recombinant Monoclonal MAP2 antibody. Carrier free. Suitable for IHC-P, ICC/IF, IHC-Fr and reacts with Human, Mouse, Rat samples. Cited in 1 publication.

View Alternative Names

Microtubule-associated protein 2, MAP-2, MAP2

12 Images
Immunohistochemistry (Formalin/PFA-fixed paraffin-embedded sections) - Anti-MAP2 antibody [EPR19691] - Mouse IgG2a (Chimeric) - BSA and Azide free (AB300646)
  • IHC-P

Lab

Immunohistochemistry (Formalin/PFA-fixed paraffin-embedded sections) - Anti-MAP2 antibody [EPR19691] - Mouse IgG2a (Chimeric) - BSA and Azide free (AB300646)

Immunohistochemical analysis of paraffin-embedded Human cerebrum labeling MAP2 with ab300645 at 1/10000 dilution (0.086 µg/ml) followed by a ready to use Leica DS9800 (BOND™ Polymer Refine Detection) kit. Positive staining on Human cerebrum. The section was incubated with ab300645 for 30 mins at room temperature. The immunostaining was performed on a Leica Biosystems BOND® RX instrument. Counterstained with Hematoxylin. Secondary antibody only control : Secondary antibody is a ready to use LeicaDS9800 (BOND™ Polymer Refine Detection). Heat mediated antigen retrieval with Citrate buffer (pH 6.0, epitope retrieval solution 1) for 20 mins

Immunohistochemistry (Formalin/PFA-fixed paraffin-embedded sections) - Anti-MAP2 antibody [EPR19691] - Mouse IgG2a (Chimeric) - BSA and Azide free (AB300646)
  • IHC-P

Lab

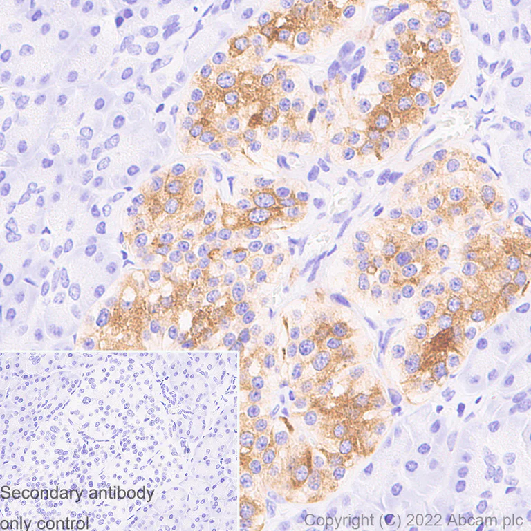
Immunohistochemistry (Formalin/PFA-fixed paraffin-embedded sections) - Anti-MAP2 antibody [EPR19691] - Mouse IgG2a (Chimeric) - BSA and Azide free (AB300646)

This data was developed using ab300645, the same antibody clone in a different buffer formulation.

Immunohistochemical analysis of paraffin-embedded Human pancreas labeling MAP2 with ab300645 at 1/10000 dilution (0.086 µg/ml) followed by a ready to use Leica DS9800 (BOND™ Polymer Refine Detection) kit. Positive staining on islet in the human pancreas. The section was incubated with ab300645 for 30 mins at room temperature. The immunostaining was performed on a Leica Biosystems BOND® RX instrument. Counterstained with Hematoxylin. Secondary antibody only control : Secondary antibody is a ready to use LeicaDS9800 (BOND™ Polymer Refine Detection). Heat mediated antigen retrieval with Citrate buffer (pH 6.0, epitope retrieval solution 1) for 20 mins

Immunohistochemistry (Formalin/PFA-fixed paraffin-embedded sections) - Anti-MAP2 antibody [EPR19691] - Mouse IgG2a (Chimeric) - BSA and Azide free (AB300646)
  • IHC-P

Lab

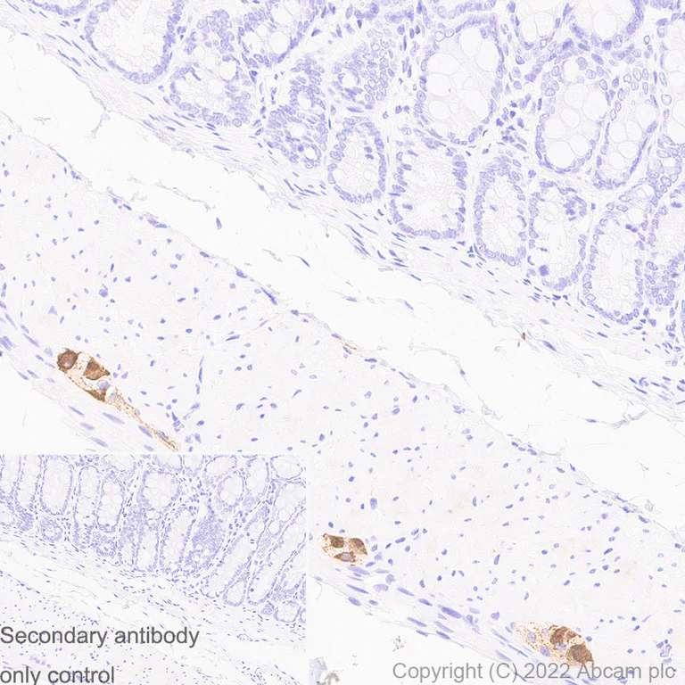
Immunohistochemistry (Formalin/PFA-fixed paraffin-embedded sections) - Anti-MAP2 antibody [EPR19691] - Mouse IgG2a (Chimeric) - BSA and Azide free (AB300646)

This data was developed using ab300645, the same antibody clone in a different buffer formulation.

Immunohistochemical analysis of paraffin-embedded Human colon labeling MAP2 with ab300645 at 1/10000 dilution (0.086 µg/ml) followed by a ready to use Leica DS9800 (BOND™ Polymer Refine Detection) kit. Positive staining on ganglion in the human colon. The section was incubated with ab300645 for 30 mins at room temperature. The immunostaining was performed on a Leica Biosystems BOND® RX instrument. Counterstained with Hematoxylin. Secondary antibody only control : Secondary antibody is a ready to use LeicaDS9800 (BOND™ Polymer Refine Detection). Heat mediated antigen retrieval with Citrate buffer (pH 6.0, epitope retrieval solution 1) for 20 mins

Immunohistochemistry (Formalin/PFA-fixed paraffin-embedded sections) - Anti-MAP2 antibody [EPR19691] - Mouse IgG2a (Chimeric) - BSA and Azide free (AB300646)
  • IHC-P

Lab

Immunohistochemistry (Formalin/PFA-fixed paraffin-embedded sections) - Anti-MAP2 antibody [EPR19691] - Mouse IgG2a (Chimeric) - BSA and Azide free (AB300646)

Composite multiplex immunofluorescence staining of Iba1, GFAP and MAP2 staining in a section of formalin-fixed paraffin-embedded human cerebral cortex*.

Performed on a Leica BOND. The section was pre-treated using heat mediated antigen retrieval with EDTA (Ph9.0) using retrieval settings of 100°C for 40 minutes. The section was then incubated at room temperature for 1 hour with ab323239 at 5µg/ml dilution (shown in green), ab300645 at 5µg/ml (shown in magenta), and ab178846 at 5µg/ml (shown in yellow). Then incubated for 1 hour with ab150119 Goat Anti-Mouse IgG H&L (Alexa Fluor® 647) preadsorbed 1/1000, ab150084 Goat Anti-Rabbit IgG H&L (Alexa Fluor® 594) preadsorbed 1/1000, and ab150173 Goat Anti-Chicken IgY H&L (Alexa Fluor® 488) preadsorbed 1/1000. Nuclear DNA was labelled with DAPI (shown in blue). The section was then mounted using Dako Fluorescence Mounting Medium ®.

Image was taken with a confocal microscope (Leica-Microsystems, TCS SP8).

For other IHC staining systems (automated and non-automated), customers should optimize variable parameters such as antigen retrieval conditions, antibody concentrations and incubation times.

*Tissue obtained from the Human Research Tissue Bank, supported by the NIHR Cambridge Biomedical Research Centre.

Immunohistochemistry (Formalin/PFA-fixed paraffin-embedded sections) - Anti-MAP2 antibody [EPR19691] - Mouse IgG2a (Chimeric) - BSA and Azide free (AB300646)
  • IHC-P

Lab

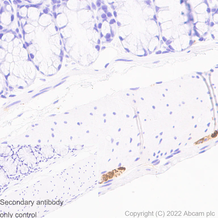
Immunohistochemistry (Formalin/PFA-fixed paraffin-embedded sections) - Anti-MAP2 antibody [EPR19691] - Mouse IgG2a (Chimeric) - BSA and Azide free (AB300646)

This data was developed using ab300645, the same antibody clone in a different buffer formulation.

Immunohistochemical analysis of paraffin-embedded Rat colon labeling MAP2 with ab300645 at 1/10000 dilution (0.086 µg/ml) followed by a ready to use Leica DS9800 (BOND™ Polymer Refine Detection) kit. Positive staining on ganglion in the rat colon. The section was incubated with ab300645 for 30 mins at room temperature. The immunostaining was performed on a Leica Biosystems BOND® RX instrument. Counterstained with Hematoxylin. Secondary antibody only control : Secondary antibody is a ready to use LeicaDS9800 (BOND™ Polymer Refine Detection). Heat mediated antigen retrieval with Citrate buffer (pH 6.0, epitope retrieval solution 1) for 20 mins

Immunohistochemistry (Frozen sections) - Anti-MAP2 antibody [EPR19691] - Mouse IgG2a (Chimeric) - BSA and Azide free (AB300646)
  • IHC-Fr

Lab

Immunohistochemistry (Frozen sections) - Anti-MAP2 antibody [EPR19691] - Mouse IgG2a (Chimeric) - BSA and Azide free (AB300646)

This data was developed using ab300645, the same antibody clone in a different buffer formulation.

Immunohistochemical analysis of 4% PFA-fixed, 0.2% Triton X-100 permeabilized frozen sectioned rat cerebellum tissue labeling MAP2 with ab300645 at 1/100 dilution, followed by ab150117 Goat Anti-Mouse IgG H&L (Alexa Fluor® 488) preadsorbed at 1/1000 dilution (green). Positive staining on rat cerebellum is observed. The nuclear counter stain is DAPI (blue). Secondary antibody only control : Used PBS instead of primary antibody, secondary antibody is ab150117 Goat Anti-Mouse IgG H&L (Alexa Fluor® 488) preadsorbed at 1/1000 dilution. No antigen retrieval was carried out.

Immunocytochemistry/ Immunofluorescence - Anti-MAP2 antibody [EPR19691] - Mouse IgG2a (Chimeric) - BSA and Azide free (AB300646)
  • ICC/IF

Lab

Immunocytochemistry/ Immunofluorescence - Anti-MAP2 antibody [EPR19691] - Mouse IgG2a (Chimeric) - BSA and Azide free (AB300646)

Immunofluorescent analysis of 4% paraformaldehyde-fixed, 0.1% Triton X-100 permeabilized rat primary neural/glia cells labeling MAP2 with ab300645 at 1/100 dilution followed by ab98736 Goat F(ab')2 Anti-Mouse IgG - Fc (DyLight® 488) pre-adsorbed at 1/1000 dilution (green). Counterstain was ab183830 Anti-MAP2 rabbit monoclonal antibody at 1/1000 dilution along with ab150080 Goat Anti-Rabbit IgG H&L (Alexa Fluor® 594) as the counterstain secondary used at 1/1000 dilution. Confocal image showing cytoplasmic staining in rat primary neuron. Confocal scanning Z step was set as 0.3 μm followed by image processing with maximum Z projection. The nuclear counter stain is DAPI (blue).  Negative control 1 : ab300645 at 1/100 dilution followed by ab150080 Goat Anti-Rabbit IgG H&L (Alexa Fluor® 594) at 1/1000 dilution. Negative control 2 : ab183830 at 1/1000 dilution followed by ab98736 Goat F(ab')2 Anti-Mouse IgG - Fc (DyLight® 488) pre-adsorbed at 1/1000 dilution.

Immunohistochemistry (Formalin/PFA-fixed paraffin-embedded sections) - Anti-MAP2 antibody [EPR19691] - Mouse IgG2a (Chimeric) - BSA and Azide free (AB300646)
  • IHC-P

Supplier Data

Immunohistochemistry (Formalin/PFA-fixed paraffin-embedded sections) - Anti-MAP2 antibody [EPR19691] - Mouse IgG2a (Chimeric) - BSA and Azide free (AB300646)

This data was developed using ab300645, the same antibody clone in a different buffer formulation.

Immunohistochemical analysis of paraffin-embedded Mouse colon labeling MAP2 with ab300645 at 1/10000 dilution (0.086 µg/ml) followed by a ready to use Leica DS9800 (BOND™ Polymer Refine Detection) kit. Positive staining on ganglion in the mouse colon. The section was incubated with ab300645 for 30 mins at room temperature. The immunostaining was performed on a Leica Biosystems BOND® RX instrument. Counterstained with Hematoxylin. Secondary antibody only control : Secondary antibody is a ready to use LeicaDS9800 (BOND™ Polymer Refine Detection). Heat mediated antigen retrieval with Citrate buffer (pH 6.0, epitope retrieval solution 1) for 20 mins

Immunocytochemistry/ Immunofluorescence - Anti-MAP2 antibody [EPR19691] - Mouse IgG2a (Chimeric) - BSA and Azide free (AB300646)
  • ICC/IF

Lab

Immunocytochemistry/ Immunofluorescence - Anti-MAP2 antibody [EPR19691] - Mouse IgG2a (Chimeric) - BSA and Azide free (AB300646)
Immunohistochemistry (Formalin/PFA-fixed paraffin-embedded sections) - Anti-MAP2 antibody [EPR19691] - Mouse IgG2a (Chimeric) - BSA and Azide free (AB300646)
  • IHC-P

Lab

Immunohistochemistry (Formalin/PFA-fixed paraffin-embedded sections) - Anti-MAP2 antibody [EPR19691] - Mouse IgG2a (Chimeric) - BSA and Azide free (AB300646)

Immunohistochemical analysis of 4% PFA-fixed, 0.2% Triton X-100 permeabilized frozen sectioned mouse cerebellum tissue labeling MAP2 with ab300645 at 1/100 dilution, followed by ab150117 Goat Anti-Mouse IgG H&L (Alexa Fluor® 488) preadsorbed at 1/1000 dilution (green). Positive staining on mouse cerebellum is observed. The nuclear counter stain is DAPI (blue). Secondary antibody only control : Used PBS instead of primary antibody, secondary antibody is ab150117 Goat Anti-Mouse IgG H&L (Alexa Fluor® 488) preadsorbed at 1/1000 dilution. No antigen retrieval was carried out.

Immunohistochemistry (Formalin/PFA-fixed paraffin-embedded sections) - Anti-MAP2 antibody [EPR19691] - Mouse IgG2a (Chimeric) - BSA and Azide free (AB300646)
  • IHC-P

Lab

Immunohistochemistry (Formalin/PFA-fixed paraffin-embedded sections) - Anti-MAP2 antibody [EPR19691] - Mouse IgG2a (Chimeric) - BSA and Azide free (AB300646)

This data was developed using ab300645, the same antibody clone in a different buffer formulation.

Immunohistochemical analysis of paraffin-embedded Rat cerebrum labeling MAP2 with ab300645 at 1/10000 dilution (0.086 µg/ml) followed by a ready to use Leica DS9800 (BOND™ Polymer Refine Detection) kit. Positive staining on Rat cerebrum. The section was incubated with ab300645 for 30 mins at room temperature. The immunostaining was performed on a Leica Biosystems BOND® RX instrument. Counterstained with Hematoxylin. Secondary antibody only control : Secondary antibody is a ready to use LeicaDS9800 (BOND™ Polymer Refine Detection). Heat mediated antigen retrieval with Citrate buffer (pH 6.0, epitope retrieval solution 1) for 20 mins

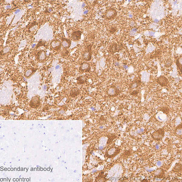
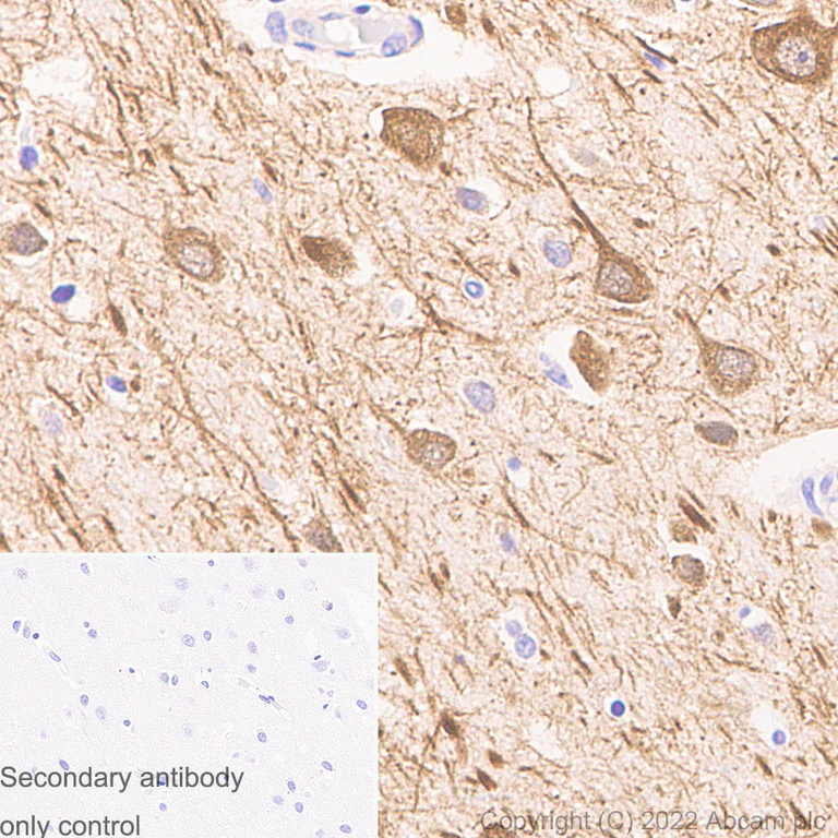
Immunohistochemistry (Formalin/PFA-fixed paraffin-embedded sections) - Anti-MAP2 antibody [EPR19691] - Mouse IgG2a (Chimeric) - BSA and Azide free (AB300646)
  • IHC-P

Lab

Immunohistochemistry (Formalin/PFA-fixed paraffin-embedded sections) - Anti-MAP2 antibody [EPR19691] - Mouse IgG2a (Chimeric) - BSA and Azide free (AB300646)

This data was developed using ab300645, the same antibody clone in a different buffer formulation.

Immunohistochemical analysis of paraffin-embedded Mouse cerebrum labeling MAP2 with ab300645 at 1/10000 dilution (0.086 µg/ml) followed by a ready to use Leica DS9800 (BOND™ Polymer Refine Detection) kit. Positive staining on Mouse cerebrum. The section was incubated with ab300645 for 30 mins at room temperature. The immunostaining was performed on a Leica Biosystems BOND® RX instrument. Counterstained with Hematoxylin. Secondary antibody only control : Secondary antibody is a ready to use LeicaDS9800 (BOND™ Polymer Refine Detection). Heat mediated antigen retrieval with Citrate buffer (pH 6.0, epitope retrieval solution 1) for 20 mins

  • Carrier free

    Anti-MAP2 antibody [EPR19691] – Chicken IgY (Chimeric) – BSA and Azide Free

  • Unconjugated

    Anti-MAP2 antibody [EPR19691] - Neuronal Marker - Mouse IgG2a (Chimeric)

Key facts

Host species

Mouse

Clonality

Monoclonal

Clone number

EPR19691

Isotype

IgG2a

Carrier free

Yes

Reacts with

Human, Mouse, Rat

Applications

IHC-P, ICC/IF, IHC-Fr

applications

Immunogen

The exact immunogen used to generate this antibody is proprietary information.

Reactivity data

{ "title": "Reactivity Data", "filters": { "stats": ["", "Species", "Dilution Info", "Notes"], "tabs": { "all-applications": {"fullname" : "All Applications", "shortname": "All Applications"}, "IHCP" : {"fullname" : "Immunohistochemistry (Formalin/PFA-fixed paraffin-embedded sections)", "shortname":"IHC-P"}, "ICCIF" : {"fullname" : "Immunocytochemistry/ Immunofluorescence", "shortname":"ICC/IF"}, "IHCFr" : {"fullname" : "Immunohistochemistry (Frozen sections)", "shortname":"IHC-Fr"} }, "product-promise": { "all": "all", "testedAndGuaranteed": "tested", "guaranteed": "expected", "predicted": "predicted", "notRecommended": "not-recommended" } }, "values": { "Human": { "IHCP-species-checked": "testedAndGuaranteed", "IHCP-species-dilution-info": "", "IHCP-species-notes": "<p></p> Perform heat-mediated antigen retrieval via the microwave method before commencing with IHC staining protocol. Boil slides seven times for five minutes each in pH 6 citrate buffer.", "ICCIF-species-checked": "guaranteed", "ICCIF-species-dilution-info": "", "ICCIF-species-notes": "", "IHCFr-species-checked": "guaranteed", "IHCFr-species-dilution-info": "", "IHCFr-species-notes": "" }, "Mouse": { "IHCP-species-checked": "testedAndGuaranteed", "IHCP-species-dilution-info": "", "IHCP-species-notes": "<p></p> Perform heat-mediated antigen retrieval via the microwave method before commencing with IHC staining protocol. Boil slides seven times for five minutes each in pH 6 citrate buffer.", "ICCIF-species-checked": "testedAndGuaranteed", "ICCIF-species-dilution-info": "", "ICCIF-species-notes": "<p>Not tested in Human</p>", "IHCFr-species-checked": "testedAndGuaranteed", "IHCFr-species-dilution-info": "", "IHCFr-species-notes": "<p>Not tested in Human</p>" }, "Rat": { "IHCP-species-checked": "testedAndGuaranteed", "IHCP-species-dilution-info": "", "IHCP-species-notes": "<p></p> Perform heat-mediated antigen retrieval via the microwave method before commencing with IHC staining protocol. Boil slides seven times for five minutes each in pH 6 citrate buffer.", "ICCIF-species-checked": "testedAndGuaranteed", "ICCIF-species-dilution-info": "", "ICCIF-species-notes": "<p>Not tested in Human</p>", "IHCFr-species-checked": "testedAndGuaranteed", "IHCFr-species-dilution-info": "", "IHCFr-species-notes": "<p>Not tested in Human</p>" } } }

Product details

ab300646 is the carrier-free version of ab300645.

This mouse monoclonal chimeric antibody has been engineered from a RabMAb parent antibody (ab183830). By necessity, some rabbit sequence is retained as part of the variable domain. When multiplexing with other rabbit-derived antibodies, using cross absorbed FC-reactive secondary antibodies are recommended.

What are the advantages of a recombinant monoclonal antibody?
This product is a recombinant monoclonal antibody, which offers several advantages including:

  • - High batch-to-batch consistency and reproducibility
  • - Improved sensitivity and specificity
  • - Long-term security of supply
  • - Animal-free batch production

For more information, read more on recombinant antibodies.

Conjugation ready
Our carrier-free antibodies are typically supplied in a PBS-only formulation, purified and free of BSA, sodium azide and glycerol. This conjugation-ready format is designed for use with fluorochromes, metal isotopes, oligonucleotides, and enzymes, which makes them ideal for antibody labelling, functional and cell-based assays, flow-based assays (e.g. mass cytometry) and Multiplex Imaging applications.

Use our conjugation kits for antibody conjugates that are ready-to-use in as little as 20 minutes with 1 minute hands-on-time and 100% antibody recovery: available for fluorescent dyes, HRP, biotin and gold.

Properties and storage information

Form
Liquid
Purification technique
Affinity purification Protein A
Storage buffer
pH: 7.2 - 7.4 Constituents: PBS
Shipped at conditions
Blue Ice
Appropriate short-term storage conditions
+4°C
Appropriate long-term storage conditions
+4°C
Storage information
Do Not Freeze

Product protocols

For this product, it's our understanding that no specific protocols are required. You can visit:

Target data

The exact function of MAP2 is unknown but MAPs may stabilize the microtubules against depolymerization. They also seem to have a stiffening effect on microtubules.
See full target information MAP2

Publications (1)

Recent publications for all applications. Explore the full list and refine your search

Neurochemical research 48:3129-3145 PubMed37338793

2023

Targeted Activation of HNF4α by AMPK Inhibits Apoptosis and Ameliorates Neurological Injury Caused by Cardiac Arrest in Rats.

Applications

Unspecified application

Species

Unspecified reactive species

Haohong Zhan,Qiang Zhang,Chenyu Zhang,Jingge Cheng,Yilin Yang,Cong Liu,Shuhao Li,Chuyue Wang,Junqin Yang,Hanmei Ge,Dawang Zhou,Bo Li,Hongyan Wei,Chunlin Hu
View all publications

Product promise

We are committed to supporting your work with high-quality reagents, and we're here for you every step of the way. In the unlikely event that one of our products does not perform as expected, you're protected by our Product Promise.
For full details, please see our Terms & Conditions

Please note: All products are 'FOR RESEARCH USE ONLY. NOT FOR USE IN DIAGNOSTIC OR THERAPEUTIC PROCEDURES'.

For licensing inquiries, please contact partnerships@abcam.com