JavaScript is disabled in your browser. Please enable JavaScript to view this website.
AB318993

Anti-MAP2 antibody [EPR19691] - Neuronal Marker - Chicken IgY (Chimeric)

  • BOND RX™ Validated
  • Recombinant
  • KO Validated
  • Lab Essentials
  • 20ul selling size
  • What is this?

Be the first to review this product! Submit a review

|

(0 Publication)

Chicken Recombinant Monoclonal MAP2 antibody. Suitable for Flow Cyt (Intra), IHC-Fr, ICC/IF, IHC-P and reacts with Human, Mouse, Rat samples.

View Alternative Names

Mtap2, Map2, Microtubule-associated protein 2, MAP-2

16 Images
Immunohistochemistry (Formalin/PFA-fixed paraffin-embedded sections) - Anti-MAP2 antibody [EPR19691] - Neuronal Marker - Chicken IgY (Chimeric) (AB318993)
  • IHC-P

Supplier Data

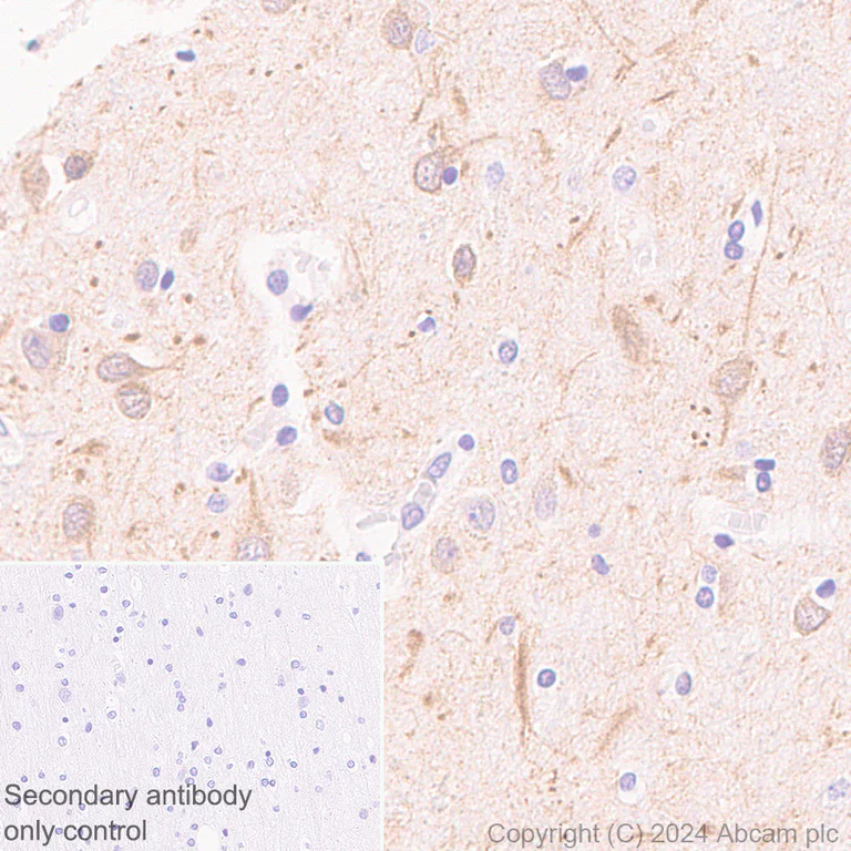
Immunohistochemistry (Formalin/PFA-fixed paraffin-embedded sections) - Anti-MAP2 antibody [EPR19691] - Neuronal Marker - Chicken IgY (Chimeric) (AB318993)

Immunohistochemical analysis of paraffin-embedded Human cerebrum tissue labeling MAP2 with ab318993 at 1/50000 (0.019 ug/ml) dilution, followed by a ready to use LeicaDS9800 (Bond™ Polymer Refine Detection).

Positive staining on human cerebrum.
The section was incubated with ab318993 for 10 mins at room temperature and followed by anti-Chicken IgY antibody (ab97136) for 8 mins during the LeicaDS9800 kit staining procedure.
The immunostaining was performed on a Leica Biosystems BOND® RX instrument

Counterstained with Hematoxylin.

Secondary antibody only control : Secondary antibody is a ready to use LeicaDS9800 (Bond™ Polymer Refine Detection).

Heat mediated antigen retrieval was performed with Citrate buffer (pH 6.0, Epitope Retrieval Solution 1) for 10 mins

Immunocytochemistry/ Immunofluorescence - Anti-MAP2 antibody [EPR19691] - Neuronal Marker - Chicken IgY (Chimeric) (AB318993)
  • ICC/IF

Supplier Data

Immunocytochemistry/ Immunofluorescence - Anti-MAP2 antibody [EPR19691] - Neuronal Marker - Chicken IgY (Chimeric) (AB318993)

Immunofluorescent analysis of 4% Paraformaldehyde-fixed, 0.1% TritonX-100 permeabilized SH-SY5Y (human neuroblastoma epithelial cell) cells labelling MAP2 with ab318993 at 1/100 (9.72 ug/ml) dilution, followed by ab150173 Goat Anti-Chicken IgY H&L (Alexa Fluor® 488) preadsorbed antibody at 1/1000 2 ug/ml dilution (Green).

Confocal image showing cytoplasmic staining in SH-SY5Y cell line (shown in green). The counterstain was observed in magenta. Nuclear DNA was labeled with DAPI (shown in blue).
Negative control : HEK-293
Image was taken with a confocal microscope (Leica-Microsystems, TCS SP8).

ab195889 Anti-alpha Tubulin mouse monoclonal antibody - Microtubule Marker (Alexa Fluor® 594) was used to counterstain tubulin at 1/200 2.5ug/ml dilution (Magenta). The Nuclear counterstain was DAPI (Blue).

Secondary antibody only control : Secondary antibody is ab150173 Goat Anti-Chicken IgY H&L (Alexa Fluor® 488) preadsorbed at 1/1000 2 ug/ml dilution.

Flow Cytometry (Intracellular) - Anti-MAP2 antibody [EPR19691] - Neuronal Marker - Chicken IgY (Chimeric) (AB318993)
  • Flow Cyt (Intra)

Supplier Data

Flow Cytometry (Intracellular) - Anti-MAP2 antibody [EPR19691] - Neuronal Marker - Chicken IgY (Chimeric) (AB318993)

Flow cytometric analysis of 4% paraformaldehyde fixed 90% methanol permeabilized SH-SY5Y (human neuroblastoma epithelial cell) cells labelling MAP2 with ab318993 at 1/1000 dilution (0.1 ug)(Red) compared with an unlabelled control (cells without incubation with primary antibody and secondary antibody) (Blue).

Goat anti-Chicken IgY H&L (Alexa Fluor® 488, ab150173) at 1/5000 dilution was used as the secondary antibody.

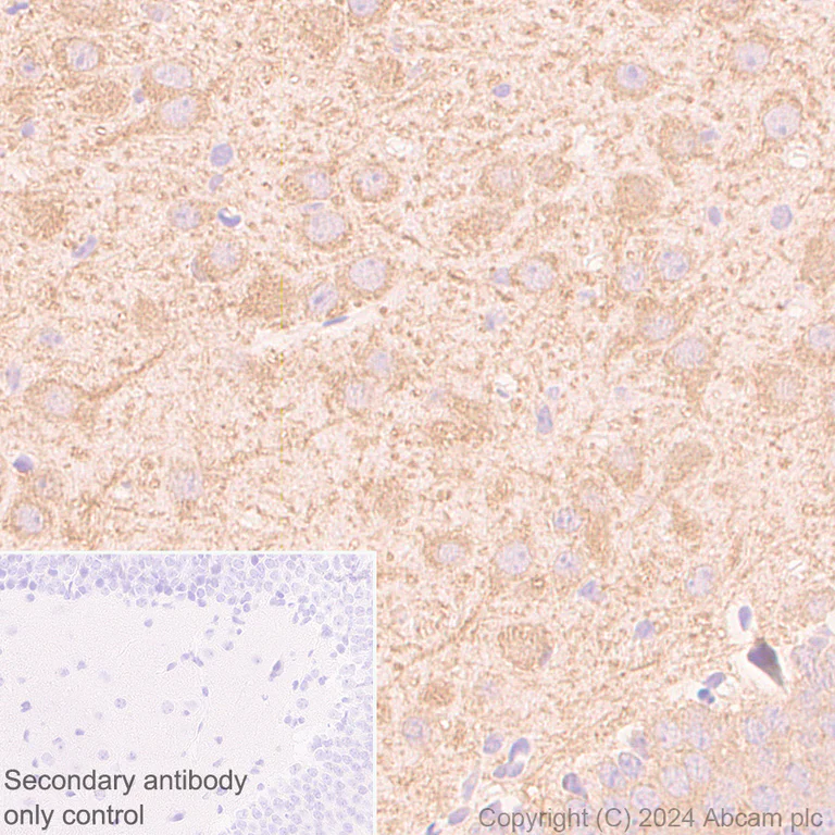
Immunohistochemistry (Formalin/PFA-fixed paraffin-embedded sections) - Anti-MAP2 antibody [EPR19691] - Neuronal Marker - Chicken IgY (Chimeric) (AB318993)
  • IHC-P

Supplier Data

Immunohistochemistry (Formalin/PFA-fixed paraffin-embedded sections) - Anti-MAP2 antibody [EPR19691] - Neuronal Marker - Chicken IgY (Chimeric) (AB318993)

Immunohistochemical analysis of paraffin-embedded Rat cerebrum tissue labeling MAP2 with ab318993 at 1/50000 (0.019 ug/ml) dilution, followed by a ready to use LeicaDS9800 (Bond™ Polymer Refine Detection).

Positive staining on rat cerebrum.
The section was incubated with ab318993 for 10 mins at room temperature and followed by anti-Chicken IgY antibody (ab97136) for 8 mins during the LeicaDS9800 kit staining procedure.
The immunostaining was performed on a Leica Biosystems BOND® RX instrument

Counterstained with Hematoxylin.

Secondary antibody only control : Secondary antibody is a ready to use LeicaDS9800 (Bond™ Polymer Refine Detection).

Heat mediated antigen retrieval was performed with Citrate buffer (pH 6.0, Epitope Retrieval Solution 1) for 10 mins

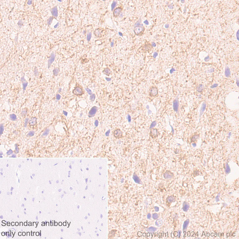
Immunohistochemistry (Formalin/PFA-fixed paraffin-embedded sections) - Anti-MAP2 antibody [EPR19691] - Neuronal Marker - Chicken IgY (Chimeric) (AB318993)
  • IHC-P

Supplier Data

Immunohistochemistry (Formalin/PFA-fixed paraffin-embedded sections) - Anti-MAP2 antibody [EPR19691] - Neuronal Marker - Chicken IgY (Chimeric) (AB318993)

Immunohistochemical analysis of paraffin-embedded Mouse cerebrum tissue labeling MAP2 with ab318993 at 1/50000 (0.019 ug/ml) dilution, followed by a ready to use LeicaDS9800 (Bond™ Polymer Refine Detection).

Positive staining on mouse cerebrum.
The section was incubated with ab318993 for 10 mins at room temperature and followed by anti-Chicken IgY antibody (ab97136) for 8 mins during the LeicaDS9800 kit staining procedure.
The immunostaining was performed on a Leica Biosystems BOND® RX instrument

Counterstained with Hematoxylin.

Secondary antibody only control : Secondary antibody is a ready to use LeicaDS9800 (Bond™ Polymer Refine Detection).

Heat mediated antigen retrieval was performed with Citrate buffer (pH 6.0, Epitope Retrieval Solution 1) for 10 mins

Flow Cytometry (Intracellular) - Anti-MAP2 antibody [EPR19691] - Neuronal Marker - Chicken IgY (Chimeric) (AB318993)
  • Flow Cyt (Intra)

Supplier Data

Flow Cytometry (Intracellular) - Anti-MAP2 antibody [EPR19691] - Neuronal Marker - Chicken IgY (Chimeric) (AB318993)

Flow cytometric analysis of 4% paraformaldehyde fixed 90% methanol permeabilized Neuro-2a (mouse neuroblastoma neuroblast) cells labelling MAP2 with ab318993 at 1/1000 dilution (0.1 ug)(Red) compared with an unlabelled control (cells without incubation with primary antibody and secondary antibody) (Blue).

Goat anti-Chicken IgY H&L (Alexa Fluor® 488, ab150173) at 1/5000 dilution was used as the secondary antibody.

Immunocytochemistry/ Immunofluorescence - Anti-MAP2 antibody [EPR19691] - Neuronal Marker - Chicken IgY (Chimeric) (AB318993)
  • ICC/IF

Supplier Data

Immunocytochemistry/ Immunofluorescence - Anti-MAP2 antibody [EPR19691] - Neuronal Marker - Chicken IgY (Chimeric) (AB318993)

Immunofluorescent analysis of 4% Paraformaldehyde-fixed, 0.1% TritonX-100 permeabilized Mouse primary neuron cells labelling MAP2 with ab318993 at 1/100 (9.72 ug/ml) dilution, followed by ab150173 Goat Anti-Chicken IgY H&L (Alexa Fluor® 488) preadsorbed antibody at 1/1000 2 ug/ml dilution (Green).

Confocal image showing cytoplasmic staining in mouse primary neurons (shown in green). The counterstain was observed in magenta. Nuclear DNA was labeled with DAPI (shown in blue).
Confocal scanning Z step was set as 0.3 μm followed by image processing with maximum Z projection.
Image was taken with a confocal microscope (Leica-Microsystems, TCS SP8).

ab11267 Anti-MAP2 mouse monoclonal antibody was used to counterstain tubulin at 1/500 4ug/ml dilution (Magenta). The Nuclear counterstain was DAPI (Blue).

Secondary antibody only control : Secondary antibody is ab150173 Goat Anti-Chicken IgY H&L (Alexa Fluor® 488) preadsorbed at 1/1000 2 ug/ml dilution.

Immunohistochemistry (Frozen sections) - Anti-MAP2 antibody [EPR19691] - Neuronal Marker - Chicken IgY (Chimeric) (AB318993)
  • IHC-Fr

Supplier Data

Immunohistochemistry (Frozen sections) - Anti-MAP2 antibody [EPR19691] - Neuronal Marker - Chicken IgY (Chimeric) (AB318993)

Immunohistochemical analysis of 4% PFA-fixed, 0.2% Triton X-100 permeabilized frozen Mouse hippocampus (fresh frozen) tissue labeling MAP2 with ab318993 at 1/2000 (0.486 ug/ml) dilution followed by ab150169 Goat Anti-Chicken IgY H&L (Alexa Fluor® 488) at 1/1000 2 ug/mL dilution (Green).

Panel A : merged staining of anti-MAP2 (ab318993, green), anti-NeuN (ab177487, red) and anti-GFAP (ab313596, grey) on mouse hippocampus.
Panel B : anti-MAP2 stained on mouse hippocampus.
Panel C : anti-NeuN stained in neuron of mouse hippocampus.
Panel D : anti-GFAP stained in astrocytes of mouse hippocampus.
The nuclear counterstain was DAPI (Blue). The section was incubated with ab318993, ab177487 and ab313596 for 60 mins at room temperature. The section was then mounted using Fluoromount®.The immunostaining was performed on a Leica Biosystems BOND® RX instrument. Image was taken with a confocal microscope (Leica-Microsystems, TCS SP8).

Secondary antibody control : Secondary antibody is ab150169 Goat Anti-Chicken IgY H&L (Alexa Fluor® 488)at 1/1000 2 ug/mL dilution.

Immunocytochemistry/ Immunofluorescence - Anti-MAP2 antibody [EPR19691] - Neuronal Marker - Chicken IgY (Chimeric) (AB318993)
  • ICC/IF

Supplier Data

Immunocytochemistry/ Immunofluorescence - Anti-MAP2 antibody [EPR19691] - Neuronal Marker - Chicken IgY (Chimeric) (AB318993)

Immunofluorescent analysis of 4% Paraformaldehyde-fixed, 0.1% TritonX-100 permeabilized rat primary neuron cells labelling MAP2 with ab318993 at 1/100 (9.72 ug/ml) dilution, followed by ab150173 Goat Anti-Chicken IgY H&L (Alexa Fluor® 488) preadsorbed antibody at 1/1000 2 ug/ml dilution (Green).

Confocal image showing cytoplasmic staining in rat primary neurons (shown in green). The counterstain was observed in magenta. Nuclear DNA was labeled with DAPI (shown in blue).
Confocal scanning Z step was set as 0.3 μm followed by image processing with maximum Z projection.
Image was taken with a confocal microscope (Leica-Microsystems, TCS SP8).

ab11267 Anti-MAP2 mouse monoclonal antibody was used to counterstain tubulin at 1/500 4ug/ml dilution (Magenta). The Nuclear counterstain was DAPI (Blue).

Secondary antibody only control : Secondary antibody is ab150173 Goat Anti-Chicken IgY H&L (Alexa Fluor® 488) preadsorbed at 1/1000 2 ug/ml dilution.

Flow Cytometry (Intracellular) - Anti-MAP2 antibody [EPR19691] - Neuronal Marker - Chicken IgY (Chimeric) (AB318993)
  • Flow Cyt (Intra)

Supplier Data

Flow Cytometry (Intracellular) - Anti-MAP2 antibody [EPR19691] - Neuronal Marker - Chicken IgY (Chimeric) (AB318993)

Flow cytometric analysis of 4% paraformaldehyde fixed 90% methanol permeabilized PC-12 (rat adrenal gland pheochromocytoma cell) cells labelling MAP2 with ab318993 at 1/1000 dilution (0.1 ug)(Red) compared with an unlabeled control (cells without incubation with primary antibody and secondary antibody) (Blue).

Goat anti-Chicken IgY H&L (Alexa Fluor® 488, ab150173) at 1/5000 dilution was used as the secondary antibody.

Immunohistochemistry (Frozen sections) - Anti-MAP2 antibody [EPR19691] - Neuronal Marker - Chicken IgY (Chimeric) (AB318993)
  • IHC-Fr

Supplier Data

Immunohistochemistry (Frozen sections) - Anti-MAP2 antibody [EPR19691] - Neuronal Marker - Chicken IgY (Chimeric) (AB318993)

Immunohistochemical analysis of 4% PFA-fixed, 0.2% Triton X-100 permeabilized frozen Rat hippocampus (fresh frozen) tissue labeling MAP2 with ab318993 at 1/2000 (0.486 ug/ml) dilution followed by ab150169 Goat Anti-Chicken IgY H&L (Alexa Fluor® 488) at 1/1000 2 ug/mL dilution (Green).

Panel A : merged staining of anti-MAP2 (ab318993, green), anti-NeuN (ab177487, red) and anti-GFAP (ab313596, grey) on rat hippocampus.
Panel B : anti-MAP2 stained on rat hippocampus.
Panel C : anti-NeuN stained in neuron of rat hippocampus.
Panel D : anti-GFAP stained in astrocytes of rat hippocampus.
The nuclear counterstain was DAPI (Blue). The section was incubated with ab318993, ab177487 and ab313596 for 60 mins at room temperature. The section was then mounted using Fluoromount®.The immunostaining was performed on a Leica Biosystems BOND® RX instrument. Image was taken with a confocal microscope (Leica-Microsystems, TCS SP8).

Secondary antibody control : Secondary antibody is ab150169 Goat Anti-Chicken IgY H&L (Alexa Fluor® 488)at 1/1000 2 ug/mL dilution.

Immunohistochemistry (Frozen sections) - Anti-MAP2 antibody [EPR19691] - Neuronal Marker - Chicken IgY (Chimeric) (AB318993)
  • IHC-Fr

Supplier Data

Immunohistochemistry (Frozen sections) - Anti-MAP2 antibody [EPR19691] - Neuronal Marker - Chicken IgY (Chimeric) (AB318993)

Immunohistochemical analysis of 4% PFA-fixed, 0.2% Triton X-100 permeabilized frozen Rat skeletal muscle (fresh frozen) tissue labeling MAP2 with ab318993 at 1/2000 (0.486 ug/ml) dilution followed by ab150169 Goat Anti-Chicken IgY H&L (Alexa Fluor® 488) at 1/1000 2 ug/mL dilution (Green).

Negative control : confocal image showing no staining on rat skeletal muscle. The nuclear counterstain was DAPI (Blue). The section was incubated with ab318993 for 60 mins at room temperature. The section was then mounted using Fluoromount®.The immunostaining was performed on a Leica Biosystems BOND® RX instrument. Image was taken with a confocal microscope (Leica-Microsystems, TCS SP8).

Secondary antibody control : Secondary antibody is ab150169 Goat Anti-Chicken IgY H&L (Alexa Fluor® 488)at 1/1000 2 ug/mL dilution.

Immunohistochemistry (Frozen sections) - Anti-MAP2 antibody [EPR19691] - Neuronal Marker - Chicken IgY (Chimeric) (AB318993)
  • IHC-Fr

Supplier Data

Immunohistochemistry (Frozen sections) - Anti-MAP2 antibody [EPR19691] - Neuronal Marker - Chicken IgY (Chimeric) (AB318993)

Immunohistochemical analysis of 4% PFA-fixed, 0.2% Triton X-100 permeabilized frozen Mouse skeletal muscle (fresh frozen) tissue labeling MAP2 with ab318993 at 1/2000 (0.486 ug/ml) dilution followed by ab150169 Goat Anti-Chicken IgY H&L (Alexa Fluor® 488) at 1/1000 2 ug/mL dilution (Green).

Negative control : confocal image showing no staining on mouse skeletal muscle. The nuclear counterstain was DAPI (Blue). The section was incubated with ab318993 for 60 mins at room temperature. The section was then mounted using Fluoromount®.The immunostaining was performed on a Leica Biosystems BOND® RX instrument. Image was taken with a confocal microscope (Leica-Microsystems, TCS SP8).

Secondary antibody control : Secondary antibody is ab150169 Goat Anti-Chicken IgY H&L (Alexa Fluor® 488)at 1/1000 2 ug/mL dilution.

Immunohistochemistry (Formalin/PFA-fixed paraffin-embedded sections) - Anti-MAP2 antibody [EPR19691] - Neuronal Marker - Chicken IgY (Chimeric) (AB318993)
  • IHC-P

Supplier Data

Immunohistochemistry (Formalin/PFA-fixed paraffin-embedded sections) - Anti-MAP2 antibody [EPR19691] - Neuronal Marker - Chicken IgY (Chimeric) (AB318993)

Immunohistochemical analysis of paraffin-embedded Mouse skeletal muscle tissue labeling MAP2 with ab318993 at 1/50000 (0.019 ug/ml) dilution, followed by a ready to use LeicaDS9800 (Bond™ Polymer Refine Detection).

Negative control : no staining on mouse skeletal muscle
The section was incubated with ab318993 for 10 mins at room temperature and followed by anti-Chicken IgY antibody (ab97136) for 8 mins during the LeicaDS9800 kit staining procedure.
The immunostaining was performed on a Leica Biosystems BOND® RX instrument

Counterstained with Hematoxylin.

Secondary antibody only control : Secondary antibody is a ready to use LeicaDS9800 (Bond™ Polymer Refine Detection).

Heat mediated antigen retrieval was performed with Citrate buffer (pH 6.0, Epitope Retrieval Solution 1) for 10 mins

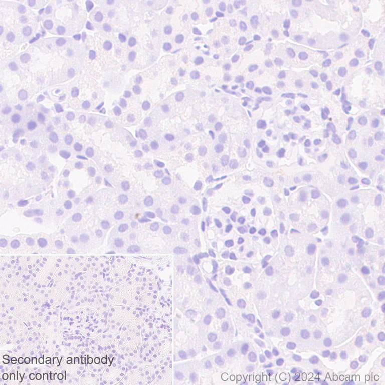
Immunohistochemistry (Formalin/PFA-fixed paraffin-embedded sections) - Anti-MAP2 antibody [EPR19691] - Neuronal Marker - Chicken IgY (Chimeric) (AB318993)
  • IHC-P

Supplier Data

Immunohistochemistry (Formalin/PFA-fixed paraffin-embedded sections) - Anti-MAP2 antibody [EPR19691] - Neuronal Marker - Chicken IgY (Chimeric) (AB318993)

Immunohistochemical analysis of paraffin-embedded Mouse kidney tissue labeling MAP2 with ab318993 at 1/50000 (0.019 ug/ml) dilution, followed by a ready to use LeicaDS9800 (Bond™ Polymer Refine Detection).

Negative control : no staining on mouse kidney.
The section was incubated with ab318993 for 10 mins at room temperature and followed by anti-Chicken IgY antibody (ab97136) for 8 mins during the LeicaDS9800 kit staining procedure.
The immunostaining was performed on a Leica Biosystems BOND® RX instrument

Counterstained with Hematoxylin.

Secondary antibody only control : Secondary antibody is a ready to use LeicaDS9800 (Bond™ Polymer Refine Detection).

Heat mediated antigen retrieval was performed with Citrate buffer (pH 6.0, Epitope Retrieval Solution 1) for 10 mins

Immunohistochemistry (Formalin/PFA-fixed paraffin-embedded sections) - Anti-MAP2 antibody [EPR19691] - Neuronal Marker - Chicken IgY (Chimeric) (AB318993)
  • IHC-P

Lab

Immunohistochemistry (Formalin/PFA-fixed paraffin-embedded sections) - Anti-MAP2 antibody [EPR19691] - Neuronal Marker - Chicken IgY (Chimeric) (AB318993)

Composite multiplex immunofluorescence staining of SYP, MAP2 and Tau (MBD region) staining in a section of formalin-fixed paraffin-embedded human Alzheimer’s brain*.

Performed on a Leica BOND. The section was pre-treated using heat mediated antigen retrieval with EDTA (Ph9.0) using retrieval settings of 100°C for 40 minutes. The section was then incubated at room temperature for 1 hour with ab309493 at 1µg/ml dilution (shown in green), ab318993 at 1µg/ml (shown in magenta), and ab308439 at 1µg/ml (shown in yellow). Then incubated for 1 hour with ab150119 Goat Anti-Mouse IgG H&L (Alexa Fluor® 647) preadsorbed 1/1000, ab150086 Goat Anti-Rabbit IgG H&L (Alexa Fluor® 555) preadsorbed 1/1000, and ab150173 Goat Anti-Chicken IgY H&L (Alexa Fluor® 488) preadsorbed 1/1000. Nuclear DNA was labelled with DAPI (shown in blue). The section was then mounted using Dako Fluorescence Mounting Medium ®.

Image was taken with a confocal microscope (Leica-Microsystems, TCS SP8).

For other IHC staining systems (automated and non-automated), customers should optimize variable parameters such as antigen retrieval conditions, antibody concentrations and incubation times.

*Tissue obtained from the Human Research Tissue Bank, supported by the NIHR Cambridge Biomedical Research Centre.

Key facts

Host species

Chicken

Clonality

Monoclonal

Clone number

EPR19691

Isotype

IgY

Carrier free

No

Reacts with

Human, Mouse, Rat

Applications

IHC-Fr, Flow Cyt (Intra), IHC-P, ICC/IF

applications

Immunogen

The exact immunogen used to generate this antibody is proprietary information.

Reactivity data

{ "title": "Reactivity Data", "filters": { "stats": ["", "Species", "Dilution Info", "Notes"], "tabs": { "all-applications": {"fullname" : "All Applications", "shortname": "All Applications"}, "FlowCytIntra" : {"fullname" : "Flow Cytometry (Intracellular)", "shortname":"Flow Cyt (Intra)"}, "IHCFr" : {"fullname" : "Immunohistochemistry (Frozen sections)", "shortname":"IHC-Fr"}, "ICCIF" : {"fullname" : "Immunocytochemistry/ Immunofluorescence", "shortname":"ICC/IF"}, "IHCP" : {"fullname" : "Immunohistochemistry (Formalin/PFA-fixed paraffin-embedded sections)", "shortname":"IHC-P"}, "WB" : {"fullname" : "Western blot", "shortname":"WB"} }, "product-promise": { "all": "all", "testedAndGuaranteed": "tested", "guaranteed": "expected", "predicted": "predicted", "notRecommended": "not-recommended" } }, "values": { "Human": { "FlowCytIntra-species-checked": "testedAndGuaranteed", "FlowCytIntra-species-dilution-info": "1/1000", "FlowCytIntra-species-notes": "<p></p>", "IHCFr-species-checked": "guaranteed", "IHCFr-species-dilution-info": "", "IHCFr-species-notes": "", "ICCIF-species-checked": "testedAndGuaranteed", "ICCIF-species-dilution-info": "1/100", "ICCIF-species-notes": "<p></p>", "IHCP-species-checked": "testedAndGuaranteed", "IHCP-species-dilution-info": "1/50000", "IHCP-species-notes": "<p></p> Perform heat-mediated antigen retrieval with citrate buffer pH 6 before commencing with IHC staining protocol.", "WB-species-checked": "notRecommended", "WB-species-dilution-info": "", "WB-species-notes": "<p></p>" }, "Mouse": { "FlowCytIntra-species-checked": "testedAndGuaranteed", "FlowCytIntra-species-dilution-info": "1/1000", "FlowCytIntra-species-notes": "<p></p>", "IHCFr-species-checked": "testedAndGuaranteed", "IHCFr-species-dilution-info": "1/2000", "IHCFr-species-notes": "<p></p>", "ICCIF-species-checked": "testedAndGuaranteed", "ICCIF-species-dilution-info": "1/100", "ICCIF-species-notes": "<p></p>", "IHCP-species-checked": "testedAndGuaranteed", "IHCP-species-dilution-info": "1/50000", "IHCP-species-notes": "<p></p> Perform heat-mediated antigen retrieval with citrate buffer pH 6 before commencing with IHC staining protocol.", "WB-species-checked": "notRecommended", "WB-species-dilution-info": "", "WB-species-notes": "<p></p>" }, "Rat": { "FlowCytIntra-species-checked": "testedAndGuaranteed", "FlowCytIntra-species-dilution-info": "1/1000", "FlowCytIntra-species-notes": "<p></p>", "IHCFr-species-checked": "testedAndGuaranteed", "IHCFr-species-dilution-info": "1/2000", "IHCFr-species-notes": "<p></p>", "ICCIF-species-checked": "testedAndGuaranteed", "ICCIF-species-dilution-info": "1/100", "ICCIF-species-notes": "<p></p>", "IHCP-species-checked": "testedAndGuaranteed", "IHCP-species-dilution-info": "1/50000", "IHCP-species-notes": "<p></p> Perform heat-mediated antigen retrieval with citrate buffer pH 6 before commencing with IHC staining protocol.", "WB-species-checked": "notRecommended", "WB-species-dilution-info": "", "WB-species-notes": "<p></p>" } } }

You may be interested in:

AB253229

Mouse MAP2 ELISA Kit

0

0 Reviews

View product

We recommend this product because it’s often used in the same experiment or related research.

We advise that you always check the datasheet to ensure it fits your experiments, or contact ourtechnical teamfor help.

Product details

Find all reagents to label mature neurons in our "Mature neuron markers guide".

This chicken monoclonal chimeric antibody has been engineered from a RabMAb parent antibody (ab183830). By design, some rabbit sequence is retained as part of the variable domain. When multiplexing with other rabbit-derived antibodies, using cross absorbed FC-reactive secondary antibodies are recommended.

What are the advantages of a recombinant monoclonal antibody?
This product is a recombinant monoclonal antibody, which offers several advantages including:

  • - High batch-to-batch consistency and reproducibility
  • - Improved sensitivity and specificity
  • - Long-term security of supply
  • - Animal-free batch production

For more information, read more on recombinant antibodies.

Properties and storage information

Form
Liquid
Purification technique
Affinity purification Thiophilic Resin
Storage buffer
pH: 7.2 - 7.4 Preservative: 0.01% Sodium azide Constituents: PBS, 40% Glycerol (glycerin, glycerine), 0.05% BSA
Shipped at conditions
Blue Ice
Appropriate short-term storage duration
1-2 weeks
Appropriate short-term storage conditions
+4°C
Appropriate long-term storage conditions
-20°C
Aliquoting information
Upon delivery aliquot
Storage information
Avoid freeze / thaw cycle

Product protocols

For this product, it's our understanding that no specific protocols are required. You can visit:

Target data

The exact function of MAP2 is unknown but MAPs may stabilize the microtubules against depolymerization. They also seem to have a stiffening effect on microtubules.
See full target information Map2

Product promise

We are committed to supporting your work with high-quality reagents, and we're here for you every step of the way. In the unlikely event that one of our products does not perform as expected, you're protected by our Product Promise.
For full details, please see our Terms & Conditions

Associated Products

Select an associated product type
Alternative Version
Primary Antibodies

AB319979

Anti-MAP2 antibody [EPR19691] - Neuronal Marker - Chicken IgY (Chimeric)

primary-antibodies

map2-antibody-epr19691-neuronal-marker-chicken-igy-chimeric-ab319979

0

(0 reviews)

Please note: All products are 'FOR RESEARCH USE ONLY. NOT FOR USE IN DIAGNOSTIC OR THERAPEUTIC PROCEDURES'.

For licensing inquiries, please contact partnerships@abcam.com