JavaScript is disabled in your browser. Please enable JavaScript to view this website.
AB221693

Anti-MAP2 antibody [EPR22036-127] - Neuronal Marker

Be the first to review this product! Submit a review

|

(5 Publications)

Rabbit Recombinant Monoclonal MAP2 antibody. Suitable for IP, ICC/IF, IHC-Fr, Flow Cyt (Intra) and reacts with Human, Mouse samples. Cited in 5 publications.

View Alternative Names

Microtubule-associated protein 2, MAP-2, MAP2

6 Images
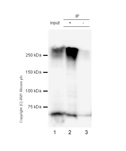
Immunoprecipitation - Anti-MAP2 antibody [EPR22036-127] - Neuronal Marker (AB221693)
  • IP

Supplier Data

Immunoprecipitation - Anti-MAP2 antibody [EPR22036-127] - Neuronal Marker (AB221693)

MAP2 was immunoprecipitated from 0.35 mg SK-N-BE(2) (Human neuroblastoma neuroblast) whole cell lysate 10 ug with ab221693 at 1/30 dilution (2ug in 0.35mg lysates). Western blot was performed on the immunoprecipitate using ab221693 at 1/1000 dilution. VeriBlot for IP Detection Reagent (HRP)(ab131366) was used at 1/5000 dilution. Lane 1 : SK-N-BE(2) (Human neuroblastoma neuroblast) whole cell lysate 10 ug

Lane 2 : ab221693 IP in SK-N-BE(2) whole cell lysate

Lane 3 : Rabbit monoclonal IgG (ab172730) instead of ab221693 in SK-N-BE(2) whole cell lysate

Blocking and dilution buffer and concentration : 5% NFDM/TBST.

Exposure time : 8 seconds

Fresh made lysate is required to minimize protein degradation.

All lanes:

Immunoprecipitation - Anti-MAP2 antibody [EPR22036-127] - Neuronal Marker (ab221693)

Predicted band size: 199 kDa

false

Flow Cytometry (Intracellular) - Anti-MAP2 antibody [EPR22036-127] - Neuronal Marker (AB221693)
  • Flow Cyt (Intra)

Supplier Data

Flow Cytometry (Intracellular) - Anti-MAP2 antibody [EPR22036-127] - Neuronal Marker (AB221693)

Flow cytometric analysis of 4% paraformaldehyde fixed 90% methanol permeabilized Mouse brain cells cells labelling MAP2 with ab221693 at 1/500 dilution (0.1ug)/ Right compared with a Rabbit monoclonal IgG (ab172730) / Left isotype control. A Goat anti rabbit IgG (Alexa Fluor® 488, ab150077) at 1/2000 dilution was used as the secondary antibody.

Immunohistochemistry (Frozen sections) - Anti-MAP2 antibody [EPR22036-127] - Neuronal Marker (AB221693)
  • IHC-Fr

Supplier Data

Immunohistochemistry (Frozen sections) - Anti-MAP2 antibody [EPR22036-127] - Neuronal Marker (AB221693)

Immunohistochemical analysis of frozen 4% paraformaldehyde-fixed 0.2% Triton X-100 permeabilized mouse liver tissue labeling MAP2 using ab221693 at 1/1000 dilution, followed by an AlexaFluor®488 Goat anti-Rabbit secondary antibody at 1/1000 dilution. Negative control : No staining on mouse liver (PMID : 7001466, PMID : 2423532). is observed. The nuclear counterstain is DAPI (Blue).

Heat mediated antigen retrieval using sodium citrate buffer (10mM citrate pH 6.0 + 0.05% Tween-20).

Immunohistochemistry (Frozen sections) - Anti-MAP2 antibody [EPR22036-127] - Neuronal Marker (AB221693)
  • IHC-Fr

Supplier Data

Immunohistochemistry (Frozen sections) - Anti-MAP2 antibody [EPR22036-127] - Neuronal Marker (AB221693)

Immunohistochemical analysis of frozen 4% paraformaldehyde-fixed 0.2% Triton X-100 permeabilized mouse cerebrum tissue labeling MAP2 (Green) using ab221693 at 1/1000 dilution, followed by an AlexaFluor®488 Goat anti-Rabbit secondary antibody at 1/1000 dilution. Cytoplasmic staining on mouse cerebrum (PMID : 22479190) is observed. The nuclear counterstain is DAPI (Blue).

Heat mediated antigen retrieval using sodium citrate buffer (10mM citrate pH 6.0 + 0.05% Tween-20).

Immunohistochemistry (Frozen sections) - Anti-MAP2 antibody [EPR22036-127] - Neuronal Marker (AB221693)
  • IHC-Fr

Supplier Data

Immunohistochemistry (Frozen sections) - Anti-MAP2 antibody [EPR22036-127] - Neuronal Marker (AB221693)

Immunohistochemical analysis of frozen 4% paraformaldehyde-fixed 0.2% Triton X-100 permeabilized mouse kidney tissue labeling MAP2 using ab221693 at 1/1000 dilution, followed by an AlexaFluor®488 Goat anti-Rabbit secondary antibody at 1/1000 dilution. Negative control : No staining on mouse kidney (PMID : 7001466, PMID : 2423532) is observed. The nuclear counterstain is DAPI (Blue).

Heat mediated antigen retrieval using sodium citrate buffer (10mM citrate pH 6.0 + 0.05% Tween-20).

Immunocytochemistry/ Immunofluorescence - Anti-MAP2 antibody [EPR22036-127] - Neuronal Marker (AB221693)
  • ICC/IF

Supplier Data

Immunocytochemistry/ Immunofluorescence - Anti-MAP2 antibody [EPR22036-127] - Neuronal Marker (AB221693)

Immunofluorescent analysis of 4% paraformaldehyde-fixed, 0.1% Triton X-100 permeabilized Neuro-2a (Mouse neuroblastoma neuroblast) cells labeling MAP2 with ab221693 at 1/1000 dilution, followed by AlexaFluor®488 Goat anti-Rabbit (ab150077) secondary antibody at 1/1000 dilution (Green). Confocal image showing cytoplasmic staining in Neuro-2a cells is observed. Anti-alpha Tubulin antibody [DM1A] - Microtubule Marker (Alexa Fluor® 594) (ab195889) was used as a counterstain at 1/200 dilution (Red). The nuclear counterstain was DAPI (Blue).

Negative control : Hepa1-6 cells (PMID : 7001466)

  • Carrier free

    Anti-MAP2 antibody [EPR22036-127] - BSA and Azide free

Key facts

Host species

Rabbit

Clonality

Monoclonal

Clone number

EPR22036-127

Isotype

IgG

Carrier free

No

Reacts with

Mouse, Human

Applications

IHC-Fr, Flow Cyt (Intra), ICC/IF, IP

applications

Immunogen

The exact immunogen used to generate this antibody is proprietary information.

Reactivity data

{ "title": "Reactivity Data", "filters": { "stats": ["", "Species", "Dilution Info", "Notes"], "tabs": { "all-applications": {"fullname" : "All Applications", "shortname": "All Applications"}, "IP" : {"fullname" : "Immunoprecipitation", "shortname":"IP"}, "ICCIF" : {"fullname" : "Immunocytochemistry/ Immunofluorescence", "shortname":"ICC/IF"}, "IHCFr" : {"fullname" : "Immunohistochemistry (Frozen sections)", "shortname":"IHC-Fr"}, "FlowCytIntra" : {"fullname" : "Flow Cytometry (Intracellular)", "shortname":"Flow Cyt (Intra)"} }, "product-promise": { "all": "all", "testedAndGuaranteed": "tested", "guaranteed": "expected", "predicted": "predicted", "notRecommended": "not-recommended" } }, "values": { "Human": { "IP-species-checked": "testedAndGuaranteed", "IP-species-dilution-info": "1/30", "IP-species-notes": "<p></p>", "ICCIF-species-checked": "guaranteed", "ICCIF-species-dilution-info": "", "ICCIF-species-notes": "", "IHCFr-species-checked": "guaranteed", "IHCFr-species-dilution-info": "", "IHCFr-species-notes": "", "FlowCytIntra-species-checked": "predicted", "FlowCytIntra-species-dilution-info": "", "FlowCytIntra-species-notes": "" }, "Mouse": { "IP-species-checked": "guaranteed", "IP-species-dilution-info": "", "IP-species-notes": "", "ICCIF-species-checked": "testedAndGuaranteed", "ICCIF-species-dilution-info": "1/1000", "ICCIF-species-notes": "<p></p>", "IHCFr-species-checked": "testedAndGuaranteed", "IHCFr-species-dilution-info": "1/1000", "IHCFr-species-notes": "<p></p>", "FlowCytIntra-species-checked": "guaranteed", "FlowCytIntra-species-dilution-info": "1/500", "FlowCytIntra-species-notes": "<p></p>" } } }

Product details

Find all reagents to label mature neurons in our "Mature neuron markers guide".

Patented technology
Our RabMAb® technology is a patented hybridoma-based technology for making rabbit monoclonal antibodies. For details on our patents, please refer to RabMAb® patents.

What are the advantages of a recombinant monoclonal antibody?
This product is a recombinant monoclonal antibody, which offers several advantages including:

  • - High batch-to-batch consistency and reproducibility
  • - Improved sensitivity and specificity
  • - Long-term security of supply
  • - Animal-free batch production

For more information, read more on recombinant antibodies.

Properties and storage information

Form
Liquid
Purification technique
Affinity purification Protein A
Storage buffer
pH: 7.2 - 7.4 Preservative: 0.01% Sodium azide Constituents: PBS, 40% Glycerol (glycerin, glycerine), 0.05% BSA
Shipped at conditions
Blue Ice
Appropriate short-term storage duration
1-2 weeks
Appropriate short-term storage conditions
+4°C
Appropriate long-term storage conditions
-20°C
Aliquoting information
Upon delivery aliquot
Storage information
Avoid freeze / thaw cycle

Product protocols

For this product, it's our understanding that no specific protocols are required. You can visit:

Target data

The exact function of MAP2 is unknown but MAPs may stabilize the microtubules against depolymerization. They also seem to have a stiffening effect on microtubules.
See full target information MAP2

Publications (5)

Recent publications for all applications. Explore the full list and refine your search

Frontiers in genetics 16:1634202 PubMed40919430

2025

Ethanol-induced changes in neurotrophic and immune genes are regulated by receptor-type protein tyrosine phosphatase β/ζ (RPTPβ/ζ) and microglial-neuronal interactions.

Applications

Unspecified application

Species

Unspecified reactive species

María Aránzazu Penedo,Héctor Cañeque-Rufo,Esther Gramage,Gonzalo Herradón

Acta biochimica et biophysica Sinica 57:261-273 PubMed39439416

2024

Germacrone ameliorates acute lung injury induced by intestinal ischemia-reperfusion by regulating macrophage M1 polarization and mitochondrial defects.

Applications

Unspecified application

Species

Unspecified reactive species

Yunguang Wang,Xinxin He,Hua Zhang,Wei Hu

Oxidative medicine and cellular longevity 2021:1552127 PubMed34630845

2021

Curcumin Ameliorates White Matter Injury after Ischemic Stroke by Inhibiting Microglia/Macrophage Pyroptosis through NF-B Suppression and NLRP3 Inflammasome Inhibition.

Applications

Unspecified application

Species

Unspecified reactive species

Yuanyuan Ran,Wei Su,Fuhai Gao,Zitong Ding,Shuiqing Yang,Lin Ye,Xuechai Chen,Guiqin Tian,Jianing Xi,Zongjian Liu

International journal of molecular sciences 22: PubMed34575823

2021

14,15-EET Reduced Brain Injury from Cerebral Ischemia and Reperfusion via Suppressing Neuronal Parthanatos.

Applications

Unspecified application

Species

Unspecified reactive species

Haipeng Zhao,Jing Tang,Hongyang Chen,Wei Gu,Huixia Geng,Lai Wang,Yanming Wang

Annals of clinical and translational neurology 8:1408-1421 PubMed34047500

2021

Mechanism of ARPP21 antagonistic intron miR-128 on neurological function repair after stroke.

Applications

Unspecified application

Species

Unspecified reactive species

Zhaohui Chai,Peidong Zheng,Jiesheng Zheng
View all publications

Product promise

We are committed to supporting your work with high-quality reagents, and we're here for you every step of the way. In the unlikely event that one of our products does not perform as expected, you're protected by our Product Promise.
For full details, please see our Terms & Conditions

Please note: All products are 'FOR RESEARCH USE ONLY. NOT FOR USE IN DIAGNOSTIC OR THERAPEUTIC PROCEDURES'.

For licensing inquiries, please contact partnerships@abcam.com