JavaScript is disabled in your browser. Please enable JavaScript to view this website.
AB256512

Anti-MAP2 antibody [EPR22641-16] - BSA and Azide free

Be the first to review this product! Submit a review

|

(1 Publication)

Rabbit Recombinant Monoclonal MAP2 antibody. Carrier free. Suitable for ICC/IF, mIHC, IHC-Fr, IHC-P and reacts with Mouse, Human, Rat samples. Cited in 1 publication.

View Alternative Names

Microtubule-associated protein 2, MAP-2, MAP2

11 Images
Immunohistochemistry (Formalin/PFA-fixed paraffin-embedded sections) - Anti-MAP2 antibody [EPR22641-16] - BSA and Azide free (AB256512)
  • IHC-P

Unknown

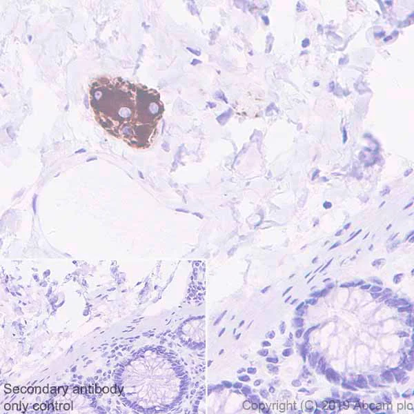
Immunohistochemistry (Formalin/PFA-fixed paraffin-embedded sections) - Anti-MAP2 antibody [EPR22641-16] - BSA and Azide free (AB256512)

Immunohistochemical analysis of paraffin-embedded human colon tissue labeling MAP2 with ab254264 at 1/4000 dilution, followed by a Goat Anti-Rabbit IgG H&L (HRP) ready to use. Positive staining in neuron of human colon (PMID : 28766965,15642108) is observed. Counter stained with hematoxylin.

Secondary antibody only control : Used PBS instead of primary antibody, secondary antibody is a Goat Anti-Rabbit IgG H&L (HRP) ready to use.

Heat mediated antigen retrieval using ab93684 (Tris/EDTA buffer, pH 9.0).

This data was developed using the same antibody clone in a different buffer formulation containing PBS, BSA, glycerol, and sodium azide (ab254264).

Immunohistochemistry (Formalin/PFA-fixed paraffin-embedded sections) - Anti-MAP2 antibody [EPR22641-16] - BSA and Azide free (AB256512)
  • IHC-P

Unknown

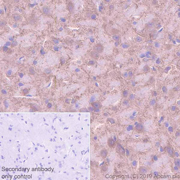
Immunohistochemistry (Formalin/PFA-fixed paraffin-embedded sections) - Anti-MAP2 antibody [EPR22641-16] - BSA and Azide free (AB256512)

Immunohistochemical analysis of paraffin-embedded human cerebrum tissue labeling MAP2 with ab254264 at 1/4000 dilution, followed by a Goat Anti-Rabbit IgG H&L (HRP) ready to use. Positive staining in human cerebrum (PMID : 28766965,15642108) is observed. Counter stained with hematoxylin.

Secondary antibody only control : Used PBS instead of primary antibody, secondary antibody is a Goat Anti-Rabbit IgG H&L (HRP) ready to use.

Heat mediated antigen retrieval using ab93684 (Tris/EDTA buffer, pH 9.0).

This data was developed using the same antibody clone in a different buffer formulation containing PBS, BSA, glycerol, and sodium azide (ab254264).

Multiplex immunohistochemistry - Anti-MAP2 antibody [EPR22641-16] - BSA and Azide free (AB256512)
  • mIHC

Lab

Multiplex immunohistochemistry - Anti-MAP2 antibody [EPR22641-16] - BSA and Azide free (AB256512)

This data was developed using ab254264, the same antibody clone in a different buffer formulation.

Multiplex immunohistochemistry analysis of formalin/PFA-fixed paraffin-embedded mouse hippocampus tissue staining SLC7A5/LAT1 with ab324354 at a 1/2000 dilution, ab236870 anti-NeuN/RBFOX3 used at 1/10000 dilution and ab254264 anti-MAP2 used at a 1/4000 dilution.

Panel A : anti-SLC7A5/LAT1 (green; Opal™520), anti-NeuN/RBFOX3 (magenta; Opal™690) and anti-MAP2 (gray; Opal™570) on mouse cerebrum.

Panel B : anti-SLC7A5/LAT1 staining blood vessels in mouse cerebrum.

Panel C : anti-NeuN/RBFOX3 staining nucleus of neurons in mouse cerebrum.

Panel D : anti-MAP2 staining cell body and dendrites of neurons in mouse cerebrum.

Nuclear DNA was labeled with DAPI (shown in blue).

The section was incubated in three rounds of staining : in the order of ab324354, ab236870 and ab254264 for 30 mins at room temperature. Each round was followed by a separate fluorescent tyramide signal amplification system.

The immunostaining was performed on a Leica Biosystems BOND® RX instrument with an Opal™ 4-color kit. Image acquisition was performed with Leica SP8 confocal microscope.

Heat mediated antigen retrieval was performed with Tris-EDTA buffer (pH 9.0, Epitope Retrieval Solution2) for 20 mins.

Immunohistochemistry (Frozen sections) - Anti-MAP2 antibody [EPR22641-16] - BSA and Azide free (AB256512)
  • IHC-Fr

Unknown

Immunohistochemistry (Frozen sections) - Anti-MAP2 antibody [EPR22641-16] - BSA and Azide free (AB256512)

Immunohistochemical analysis of frozen section of 4% PFA-fixed, 0.2% Triton X-100 permeabilized rat cerebral cortex tissue labeling MAP2 with ab254264 at 1/500 dilution, followed by Goat Anti-Rabbit IgG H&L (Alexa Fluor® 488) (ab150077) at 1/1000 dilution (green). Positive staining on rat cerebral cortex (PMID : 22275884) is observed. The nuclear counter stain is DAPI (blue).

Secondary antibody only control : Used PBS instead of primary antibody, secondary antibody is a Goat Anti-Rabbit IgG H&L (Alexa Fluor® 488) (ab150077) at 1/1000 dilution.

Heat mediated antigen retrieval using sodium citrate buffer (10mM citrate pH 6.0 + 0.05% Tween-20).

This data was developed using the same antibody clone in a different buffer formulation containing PBS, BSA, glycerol, and sodium azide (ab254264).

Immunohistochemistry (Formalin/PFA-fixed paraffin-embedded sections) - Anti-MAP2 antibody [EPR22641-16] - BSA and Azide free (AB256512)
  • IHC-P

Unknown

Immunohistochemistry (Formalin/PFA-fixed paraffin-embedded sections) - Anti-MAP2 antibody [EPR22641-16] - BSA and Azide free (AB256512)

Immunohistochemical analysis of paraffin-embedded rat cerebrum tissue labeling MAP2 with ab254264 at 1/4000 dilution, followed by a Goat Anti-Rabbit IgG H&L (HRP) ready to use. Positive staining in rat cerebrum (PMID : 28766965,15642108) is observed. Counter stained with hematoxylin.

Secondary antibody only control : Used PBS instead of primary antibody, secondary antibody is a Goat Anti-Rabbit IgG H&L (HRP) ready to use.

Heat mediated antigen retrieval using ab93684 (Tris/EDTA buffer, pH 9.0).

This data was developed using the same antibody clone in a different buffer formulation containing PBS, BSA, glycerol, and sodium azide (ab254264).

Immunohistochemistry (Frozen sections) - Anti-MAP2 antibody [EPR22641-16] - BSA and Azide free (AB256512)
  • IHC-Fr

Unknown

Immunohistochemistry (Frozen sections) - Anti-MAP2 antibody [EPR22641-16] - BSA and Azide free (AB256512)

Immunohistochemical analysis of frozen section of 4% PFA-fixed, 0.2% Triton X-100 permeabilized mouse cerebral cortex tissue labeling MAP2 with ab254264 at 1/500 dilution, followed by Goat Anti-Rabbit IgG H&L (Alexa Fluor® 488) (ab150077) at 1/1000 dilution (green). Positive staining on mouse cerebral cortex (PMID : 22275884) is observed. The nuclear counter stain is DAPI (blue).

Secondary antibody only control : Used PBS instead of primary antibody, secondary antibody is a Goat Anti-Rabbit IgG H&L (Alexa Fluor® 488) (ab150077) at 1/1000 dilution.

Heat mediated antigen retrieval using sodium citrate buffer (10mM citrate pH 6.0 + 0.05% Tween-20).

This data was developed using the same antibody clone in a different buffer formulation containing PBS, BSA, glycerol, and sodium azide (ab254264).

Immunohistochemistry (Formalin/PFA-fixed paraffin-embedded sections) - Anti-MAP2 antibody [EPR22641-16] - BSA and Azide free (AB256512)
  • IHC-P

Unknown

Immunohistochemistry (Formalin/PFA-fixed paraffin-embedded sections) - Anti-MAP2 antibody [EPR22641-16] - BSA and Azide free (AB256512)

Immunohistochemical analysis of paraffin-embedded mouse cerebrum tissue labeling MAP2 with ab254264 at 1/4000 dilution, followed by a Goat Anti-Rabbit IgG H&L (HRP) ready to use. Positive staining in mouse cerebrum (PMID : 28766965,15642108) is observed. Counter stained with hematoxylin.

Secondary antibody only control : Used PBS instead of primary antibody, secondary antibody is a Goat Anti-Rabbit IgG H&L (HRP) ready to use.

Heat mediated antigen retrieval using ab93684 (Tris/EDTA buffer, pH 9.0).

This data was developed using the same antibody clone in a different buffer formulation containing PBS, BSA, glycerol, and sodium azide (ab254264).

Immunohistochemistry (Frozen sections) - Anti-MAP2 antibody [EPR22641-16] - BSA and Azide free (AB256512)
  • IHC-Fr

Unknown

Immunohistochemistry (Frozen sections) - Anti-MAP2 antibody [EPR22641-16] - BSA and Azide free (AB256512)

Immunohistochemical analysis of frozen section of 4% PFA-fixed, 0.2% Triton X-100 permeabilized mouse cerebellum tissue labeling MAP2 with ab254264 at 1/500 dilution, followed by Goat Anti-Rabbit IgG H&L (Alexa Fluor® 488) (ab150077) at 1/1000 dilution (green). Positive staining on mouse cerebellum (PMID : 22275884) is observed. The nuclear counter stain is DAPI (blue).

Secondary antibody only control : Used PBS instead of primary antibody, secondary antibody is a Goat Anti-Rabbit IgG H&L (Alexa Fluor® 488) (ab150077) at 1/1000 dilution.

Heat mediated antigen retrieval using sodium citrate buffer (10mM citrate pH 6.0 + 0.05% Tween-20).

This data was developed using the same antibody clone in a different buffer formulation containing PBS, BSA, glycerol, and sodium azide (ab254264).

Immunocytochemistry/ Immunofluorescence - Anti-MAP2 antibody [EPR22641-16] - BSA and Azide free (AB256512)
  • ICC/IF

Supplier Data

Immunocytochemistry/ Immunofluorescence - Anti-MAP2 antibody [EPR22641-16] - BSA and Azide free (AB256512)

This data was developed using ab254264, the same antibody clone in a different buffer formulation.Immunofluorescent analysis of 4% Paraformaldehyde-fixed, 0.1% TritonX-100 permeabilized mouse primary neural/glia cell cells labelling MAP2 with ab254264 at 1/2000 (0.299 ug/ml) dilution, followed by ab150077 Goat Anti-Rabbit IgG H&L (Alexa Fluor® 488) antibody at 1/1000 2ug/ml dilution (Green). Confocal image showing cytoplasmic staining in mouse primary neuron.Confocal scanning Z step was set as 0.3 µm followed by image processing with maximum Z projection. ab11267 Anti-MAP2 mouse monoclonal antibody was used to counterstain tubulin at 1/500 4ug/ml dilution (Red). The Nuclear counterstain was DAPI (Blue).

Secondary antibody only control : Secondary antibody is ab150077 Goat Anti-Rabbit IgG H&L (Alexa Fluor® 488) at 1/1000 2ug/ml dilution.

Immunohistochemistry (Frozen sections) - Anti-MAP2 antibody [EPR22641-16] - BSA and Azide free (AB256512)
  • IHC-Fr

Unknown

Immunohistochemistry (Frozen sections) - Anti-MAP2 antibody [EPR22641-16] - BSA and Azide free (AB256512)

Immunohistochemical analysis of frozen section of 4% PFA-fixed, 0.2% Triton X-100 permeabilized rat cerebellum tissue labeling MAP2 with ab254264 at 1/500 dilution, followed by Goat Anti-Rabbit IgG H&L (Alexa Fluor® 488) (ab150077) at 1/1000 dilution (green). Positive staining on rat cerebellum (PMID : 22275884) is observed. The nuclear counter stain is DAPI (blue).

Secondary antibody only control : Used PBS instead of primary antibody, secondary antibody is a Goat Anti-Rabbit IgG H&L (Alexa Fluor® 488) (ab150077) at 1/1000 dilution.

Heat mediated antigen retrieval using sodium citrate buffer (10mM citrate pH 6.0 + 0.05% Tween-20).

This data was developed using the same antibody clone in a different buffer formulation containing PBS, BSA, glycerol, and sodium azide (ab254264).

Multiplex immunohistochemistry - Anti-MAP2 antibody [EPR22641-16] - BSA and Azide free (AB256512)
  • mIHC

Lab

Multiplex immunohistochemistry - Anti-MAP2 antibody [EPR22641-16] - BSA and Azide free (AB256512)

This data was developed using ab254264, the same antibody clone in a different buffer formulation.

Multiplex immunohistochemistry analysis of formalin/PFA-fixed paraffin-embedded mouse hippocampus tissue staining SLC7A5/LAT1 with ab324354 at a 1/2000 dilution, ab236870 anti-NeuN/RBFOX3 used at 1/10000 dilution and ab254264 anti-MAP2 used at a 1/4000 dilution.

Panel A : anti-SLC7A5/LAT1 (green; Opal™520), anti-NeuN/RBFOX3 (magenta; Opal™690) and anti-MAP2 (gray; Opal™570) on mouse hippocampus.

Panel B : anti-SLC7A5/LAT1 staining blood vessels in mouse hippocampus.

Panel C : anti-NeuN/RBFOX3 staining nucleus of neurons in mouse hippocampus.

Panel D : anti-MAP2 staining cell body and dendrites of neurons in mouse hippocampus.

Nuclear DNA was labeled with DAPI (shown in blue).

The section was incubated in three rounds of staining : in the order of ab324354, ab236870 and ab254264 for 30 mins at room temperature. Each round was followed by a separate fluorescent tyramide signal amplification system.

The immunostaining was performed on a Leica Biosystems BOND® RX instrument with an Opal™ 4-color kit. Image acquisition was performed with Leica SP8 confocal microscope.

Heat mediated antigen retrieval was performed with Tris-EDTA buffer (pH 9.0, Epitope Retrieval Solution2) for 20 mins.

  • Unconjugated

    Anti-MAP2 antibody [EPR22641-16] - Neuronal Marker

Key facts

Host species

Rabbit

Clonality

Monoclonal

Clone number

EPR22641-16

Isotype

IgG

Carrier free

Yes

Reacts with

Mouse, Rat, Human

Applications

mIHC, IHC-P, IHC-Fr, ICC/IF

applications

Immunogen

The exact immunogen used to generate this antibody is proprietary information.

Reactivity data

{ "title": "Reactivity Data", "filters": { "stats": ["", "Species", "Dilution Info", "Notes"], "tabs": { "all-applications": {"fullname" : "All Applications", "shortname": "All Applications"}, "IP" : {"fullname" : "Immunoprecipitation", "shortname":"IP"}, "FlowCyt" : {"fullname" : "Flow Cytometry", "shortname":"Flow Cyt"}, "WB" : {"fullname" : "Western blot", "shortname":"WB"}, "ICCIF" : {"fullname" : "Immunocytochemistry/ Immunofluorescence", "shortname":"ICC/IF"}, "mIHC" : {"fullname" : "Multiplex immunohistochemistry", "shortname":"mIHC"}, "IHCFr" : {"fullname" : "Immunohistochemistry (Frozen sections)", "shortname":"IHC-Fr"}, "IHCP" : {"fullname" : "Immunohistochemistry (Formalin/PFA-fixed paraffin-embedded sections)", "shortname":"IHC-P"} }, "product-promise": { "all": "all", "testedAndGuaranteed": "tested", "guaranteed": "expected", "predicted": "predicted", "notRecommended": "not-recommended" } }, "values": { "Human": { "IP-species-checked": "notRecommended", "IP-species-dilution-info": "", "IP-species-notes": "<p></p>", "FlowCyt-species-checked": "notRecommended", "FlowCyt-species-dilution-info": "", "FlowCyt-species-notes": "<p></p>", "WB-species-checked": "notRecommended", "WB-species-dilution-info": "", "WB-species-notes": "<p></p>", "ICCIF-species-checked": "guaranteed", "ICCIF-species-dilution-info": "", "ICCIF-species-notes": "<p></p>", "mIHC-species-checked": "guaranteed", "mIHC-species-dilution-info": "", "mIHC-species-notes": "", "IHCFr-species-checked": "guaranteed", "IHCFr-species-dilution-info": "", "IHCFr-species-notes": "", "IHCP-species-checked": "testedAndGuaranteed", "IHCP-species-dilution-info": "", "IHCP-species-notes": "<p></p>" }, "Mouse": { "IP-species-checked": "notRecommended", "IP-species-dilution-info": "", "IP-species-notes": "<p></p>", "FlowCyt-species-checked": "notRecommended", "FlowCyt-species-dilution-info": "", "FlowCyt-species-notes": "<p></p>", "WB-species-checked": "notRecommended", "WB-species-dilution-info": "", "WB-species-notes": "<p></p>", "ICCIF-species-checked": "guaranteed", "ICCIF-species-dilution-info": "", "ICCIF-species-notes": "<p></p>", "mIHC-species-checked": "testedAndGuaranteed", "mIHC-species-dilution-info": "", "mIHC-species-notes": "<p></p> Perform heat-mediated antigen retrieval with Tris/EDTA buffer pH 9.0 before commencing with IHC staining protocol.", "IHCFr-species-checked": "guaranteed", "IHCFr-species-dilution-info": "", "IHCFr-species-notes": "", "IHCP-species-checked": "testedAndGuaranteed", "IHCP-species-dilution-info": "", "IHCP-species-notes": "<p></p>" }, "Rat": { "IP-species-checked": "notRecommended", "IP-species-dilution-info": "", "IP-species-notes": "<p></p>", "FlowCyt-species-checked": "notRecommended", "FlowCyt-species-dilution-info": "", "FlowCyt-species-notes": "<p></p>", "WB-species-checked": "notRecommended", "WB-species-dilution-info": "", "WB-species-notes": "<p></p>", "ICCIF-species-checked": "guaranteed", "ICCIF-species-dilution-info": "", "ICCIF-species-notes": "<p></p>", "mIHC-species-checked": "guaranteed", "mIHC-species-dilution-info": "", "mIHC-species-notes": "", "IHCFr-species-checked": "testedAndGuaranteed", "IHCFr-species-dilution-info": "", "IHCFr-species-notes": "<p>Heat mediated antigen retrieval using sodium citrate buffer (10mM citrate pH 6.0 + 0.05% Tween-20).</p>", "IHCP-species-checked": "testedAndGuaranteed", "IHCP-species-dilution-info": "", "IHCP-species-notes": "<p></p>" } } }

Product details

ab256512 is the carrier-free version of ab254264.

Patented technology
Our RabMAb® technology is a patented hybridoma-based technology for making rabbit monoclonal antibodies. For details on our patents, please refer to RabMAb® patents.

What are the advantages of a recombinant monoclonal antibody?
This product is a recombinant monoclonal antibody, which offers several advantages including:

  • - High batch-to-batch consistency and reproducibility
  • - Improved sensitivity and specificity
  • - Long-term security of supply
  • - Animal-free batch production

For more information, read more on recombinant antibodies.

Conjugation ready
Our carrier-free antibodies are typically supplied in a PBS-only formulation, purified and free of BSA, sodium azide and glycerol. This conjugation-ready format is designed for use with fluorochromes, metal isotopes, oligonucleotides, and enzymes, which makes them ideal for antibody labelling, functional and cell-based assays, flow-based assays (e.g. mass cytometry) and Multiplex Imaging applications.

Use our conjugation kits for antibody conjugates that are ready-to-use in as little as 20 minutes with 1 minute hands-on-time and 100% antibody recovery: available for fluorescent dyes, HRP, biotin and gold.

Compatibility
This product is compatible with the Maxpar® Antibody Labeling Kit from Fluidigm, without the need for antibody preparation. Maxpar® is a trademark of Fluidigm Canada Inc.

Properties and storage information

Form
Liquid
Purification technique
Affinity purification Protein A
Storage buffer
pH: 7.2 - 7.4 Constituents: PBS
Shipped at conditions
Blue Ice
Appropriate short-term storage conditions
+4°C
Appropriate long-term storage conditions
+4°C
Storage information
Do Not Freeze

Product protocols

For this product, it's our understanding that no specific protocols are required. You can visit:

Target data

The exact function of MAP2 is unknown but MAPs may stabilize the microtubules against depolymerization. They also seem to have a stiffening effect on microtubules.
See full target information MAP2

Publications (1)

Recent publications for all applications. Explore the full list and refine your search

Cell reports. Medicine 6:102024 PubMed40107247

2025

Immune-featured stromal niches associate with response to neoadjuvant immunotherapy in oral squamous cell carcinoma.

Applications

Unspecified application

Species

Unspecified reactive species

Yu-Tong Liu,Hai-Ming Liu,Jian-Gang Ren,Wei Zhang,Xin-Xin Wang,Zi-Li Yu,Qiu-Yun Fu,Xue-Peng Xiong,Jun Jia,Bing Liu,Gang Chen
View all publications

Product promise

We are committed to supporting your work with high-quality reagents, and we're here for you every step of the way. In the unlikely event that one of our products does not perform as expected, you're protected by our Product Promise.
For full details, please see our Terms & Conditions

Please note: All products are 'FOR RESEARCH USE ONLY. NOT FOR USE IN DIAGNOSTIC OR THERAPEUTIC PROCEDURES'.

For licensing inquiries, please contact partnerships@abcam.com