JavaScript is disabled in your browser. Please enable JavaScript to view this website.
AB324636

Anti-MAP3K20 (phospho S7) antibody [EPR28256-30]

Be the first to review this product! Submit a review

|

(0 Publication)

Rabbit Recombinant Monoclonal ZAK phospho S7 antibody. Suitable for WB, Dot and reacts with Human, Synthetic peptide - Human samples.

View Alternative Names

MLK7, MLTK, ZAK, HCCS4, Mitogen-activated protein kinase kinase kinase 20, Human cervical cancer suppressor gene 4 protein, Leucine zipper- and sterile alpha motif-containing kinase, MLK-like mitogen-activated protein triple kinase, Mitogen-activated protein kinase kinase kinase MLT, Mixed lineage kinase 7, Mixed lineage kinase-related kinase, Sterile alpha motif- and leucine zipper-containing kinase AZK, HCCS-4, MLK-related kinase, MRK

5 Images
Western blot - Anti-MAP3K20 (phospho S7) antibody [EPR28256-30] (AB324636)
  • WB

Lab

Western blot - Anti-MAP3K20 (phospho S7) antibody [EPR28256-30] (AB324636)

Blocking and diluting buffer and concentration : 5% NFDM/TBST.

Low expression : liver.

In Western blot, Anti-GAPDH antibody [EPR16891] - Loading Control (ab181602) (1 : 200000) (36KDa).

All lanes:

Western blot - Anti-MAP3K20 (phospho S7) antibody [EPR28256-30] (ab324636) at 1/1000 dilution

Lane 1:

Human cerebellum tissue lysate (untreated membrane) at 80 µg

Lane 2:

Human liver tissue lysate (untreated membrane) at 80 µg

Lane 3:

Human cerebellum tissue lysate (alkaline phosphatase treated membrane) at 80 µg

Lane 4:

Human liver tissue lysate 80 μg (alkaline phosphatase treated membrane)

Secondary

All lanes:

Goat Anti-Rabbit IgG (HRP) with minimal cross-reactivity with human IgG at 1/2000 dilution

Observed band size: 76 kDa,36 kDa

false

Exposure time: 26s

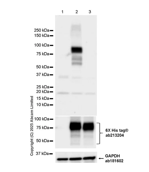
Western blot - Anti-MAP3K20 (phospho S7) antibody [EPR28256-30] (AB324636)
  • WB

Lab

Western blot - Anti-MAP3K20 (phospho S7) antibody [EPR28256-30] (AB324636)

Blocking and diluting buffer and concentration : 5% NFDM/TBST.

The identity of the bands at 37 kDa and 20 kDa are unknown.

In Western blot, Anti-6X His tag® antibody [EPR20547] - ChIP Grade (ab213204) (1 : 5000)(76KDa); Anti-GAPDH antibody [EPR16891] - Loading Control (ab181602) (1 : 200000) (36KDa).

All lanes:

Western blot - Anti-MAP3K20 (phospho S7) antibody [EPR28256-30] (ab324636) at 1/1000 dilution

Lane 1:

293T cells transfected with an empty vector containing a his-tag, whole cell lysate at 20 µg

Lane 2:

293T cells transfected with a human wild-type MAP3K20 expression vector containing a his-tag, whole cell lysate at 20 µg

Lane 3:

293T cells transfected with a human MAP3K20 (S7A mutant) expression vector containing a his-tag, whole cell lysate at 20 µg

Secondary

All lanes:

Goat Anti-Rabbit IgG (HRP) with minimal cross-reactivity with human IgG at 1/100000 dilution

Observed band size: 76 kDa,36 kDa

false

Exposure time: 26s

Western blot - Anti-MAP3K20 (phospho S7) antibody [EPR28256-30] (AB324636)
  • WB

Lab

Western blot - Anti-MAP3K20 (phospho S7) antibody [EPR28256-30] (AB324636)

Blocking and diluting buffer and concentration : 5% NFDM/TBST.

The identity of the bands at 37 kDa and 22 kDa are unknown.

In Western blot, Anti-GAPDH antibody [EPR16891] - Loading Control (ab181602) (1 : 200000) (36KDa).

All lanes:

Western blot - Anti-MAP3K20 (phospho S7) antibody [EPR28256-30] (ab324636) at 1/1000 dilution

Lane 1:

Untreated U-2 OS (human bone osteosarcoma epithelial cell) whole cell lysate (untreated membrane) at 50 µg

Lane 2:

U-2 OS treated with 0.1 μM Nilotinib for 2 h whole cell lysate (untreated membrane) at 50 µg

Lane 3:

Untreated U-2 OS (human bone osteosarcoma epithelial cell) whole cell lysate (alkaline phosphatase treated membrane) at 50 µg

Secondary

All lanes:

Western blot - Goat Anti-Rabbit IgG H&L (HRP) (<a href='/en-us/products/secondary-antibodies/goat-rabbit-igg-h-l-hrp-ab97051'>ab97051</a>) at 1/20000 dilution

Observed band size: 76 kDa,36 kDa

false

Exposure time: 26s

Western blot - Anti-MAP3K20 (phospho S7) antibody [EPR28256-30] (AB324636)
  • WB

Lab

Western blot - Anti-MAP3K20 (phospho S7) antibody [EPR28256-30] (AB324636)

Blocking and diluting buffer and concentration : 5% NFDM/TBST.

The identity of the bands at 37 kDa and 22 kDa are unknown.

In Western blot, Anti-GAPDH antibody [EPR16891] - Loading Control (ab181602) (1 : 200000) (36KDa).

All lanes:

Western blot - Anti-MAP3K20 (phospho S7) antibody [EPR28256-30] (ab324636) at 1/1000 dilution

Lane 1:

Untreated Saos-2 (human osteosarcoma epithelial cell) whole cell lysate at 20 µg

Lane 2:

Saos-2 treated with 0.1 μM Nilotinib for 2 h whole cell lysate at 20 µg

Secondary

All lanes:

Western blot - Goat Anti-Rabbit IgG H&L (HRP) (<a href='/en-us/products/secondary-antibodies/goat-rabbit-igg-h-l-hrp-ab97051'>ab97051</a>) at 1/20000 dilution

Observed band size: 76 kDa,36 kDa

false

Exposure time: 62s

Dot Blot - Anti-MAP3K20 (phospho S7) antibody [EPR28256-30] (AB324636)
  • Dot

Lab

Dot Blot - Anti-MAP3K20 (phospho S7) antibody [EPR28256-30] (AB324636)

Dot blot analysis of ZAK using ab324636 at 1000 (0.521 μg/ml) followed by a Goat Anti-Rabbit IgG, (H+L), Peroxidase conjugated (ab97051) at 1 : 100,000 dilution.

Lane 1 : Human MAP3K20 (phospho S7) peptide a

Lane 2 : Human MAP3K20 non-phospho peptide b

Exposure time : 180 seconds.

Blocking and diluting buffer and concentration : 5% NFDM/TBST.

All lanes:

Dot Blot - Anti-MAP3K20 (phospho S7) antibody [EPR28256-30] (ab324636)

Lane 1:

Human MAP3K20 (phospho S7) peptide a

Lane 2:

Human MAP3K20 non-phospho peptide b

Secondary

All lanes:

Dot Blot - Goat Anti-Rabbit IgG H&L (HRP) (<a href='/en-us/products/secondary-antibodies/goat-rabbit-igg-h-l-hrp-ab97051'>ab97051</a>) at 1/100000 dilution

false

Exposure time: 180s

Key facts

Host species

Rabbit

Clonality

Monoclonal

Clone number

EPR28256-30

Isotype

IgG

Carrier free

No

Reacts with

Human

Applications

WB, Dot

applications

Immunogen

The exact immunogen used to generate this antibody is proprietary information.

Reactivity data

{ "title": "Reactivity Data", "filters": { "stats": ["", "Species", "Dilution Info", "Notes"], "tabs": { "all-applications": {"fullname" : "All Applications", "shortname": "All Applications"}, "WB" : {"fullname" : "Western blot", "shortname":"WB"}, "Dot" : {"fullname" : "Dot Blot", "shortname":"Dot"}, "ICCIF" : {"fullname" : "Immunocytochemistry/ Immunofluorescence", "shortname":"ICC/IF"}, "IHCP" : {"fullname" : "Immunohistochemistry (Formalin/PFA-fixed paraffin-embedded sections)", "shortname":"IHC-P"} }, "product-promise": { "all": "all", "testedAndGuaranteed": "tested", "guaranteed": "expected", "predicted": "predicted", "notRecommended": "not-recommended" } }, "values": { "Human": { "WB-species-checked": "testedAndGuaranteed", "WB-species-dilution-info": "1/1000", "WB-species-notes": "<p></p>", "Dot-species-checked": "guaranteed", "Dot-species-dilution-info": "", "Dot-species-notes": "", "ICCIF-species-checked": "notRecommended", "ICCIF-species-dilution-info": "", "ICCIF-species-notes": "<p></p>", "IHCP-species-checked": "notRecommended", "IHCP-species-dilution-info": "", "IHCP-species-notes": "<p></p>" }, "Synthetic peptide - Human": { "WB-species-checked": "notRecommended", "WB-species-dilution-info": "", "WB-species-notes": "", "Dot-species-checked": "testedAndGuaranteed", "Dot-species-dilution-info": "1/1000", "Dot-species-notes": "<p></p>", "ICCIF-species-checked": "notRecommended", "ICCIF-species-dilution-info": "", "ICCIF-species-notes": "", "IHCP-species-checked": "notRecommended", "IHCP-species-dilution-info": "", "IHCP-species-notes": "" } } }

Product details

Patented technology
Our RabMAb® technology is a patented hybridoma-based technology for making rabbit monoclonal antibodies. For details on our patents, please refer to RabMAb® patents.

What are the advantages of a recombinant monoclonal antibody?
This product is a recombinant monoclonal antibody, which offers several advantages including:

  • - High batch-to-batch consistency and reproducibility
  • - Improved sensitivity and specificity
  • - Long-term security of supply
  • - Animal-free batch production

For more information, read more on recombinant antibodies.

Properties and storage information

Form
Liquid
Purification technique
Affinity purification Protein A
Storage buffer
pH: 7.2 - 7.4 Preservative: 0.01% Sodium azide Constituents: PBS, 40% Glycerol (glycerin, glycerine), 0.05% BSA
Shipped at conditions
Blue Ice
Appropriate short-term storage duration
1-2 weeks
Appropriate short-term storage conditions
+4°C
Appropriate long-term storage conditions
-20°C
Aliquoting information
Upon delivery aliquot
Storage information
Avoid freeze / thaw cycle

Product protocols

For this product, it's our understanding that no specific protocols are required. You can visit:

Target data

Stress-activated component of a protein kinase signal transduction cascade that promotes programmed cell death in response to various stress, such as ribosomal stress, osmotic shock and ionizing radiation (PubMed : 10924358, PubMed : 11836244, PubMed : 12220515, PubMed : 14521931, PubMed : 15350844, PubMed : 15737997, PubMed : 18331592, PubMed : 20559024, PubMed : 26999302, PubMed : 32289254, PubMed : 32610081, PubMed : 35857590). Acts by catalyzing phosphorylation of MAP kinase kinases, leading to activation of the JNK (MAPK8/JNK1, MAPK9/JNK2 and/or MAPK10/JNK3) and MAP kinase p38 (MAPK11, MAPK12, MAPK13 and/or MAPK14) pathways (PubMed : 11042189, PubMed : 11836244, PubMed : 12220515, PubMed : 14521931, PubMed : 15172994, PubMed : 15737997, PubMed : 32289254, PubMed : 32610081, PubMed : 35857590). Activates JNK through phosphorylation of MAP2K4/MKK4 and MAP2K7/MKK7, and MAP kinase p38 gamma (MAPK12) via phosphorylation of MAP2K3/MKK3 and MAP2K6/MKK6 (PubMed : 11836244, PubMed : 12220515). Involved in stress associated with adrenergic stimulation : contributes to cardiac decompensation during periods of acute cardiac stress (PubMed : 15350844, PubMed : 21224381, PubMed : 27859413). May be involved in regulation of S and G2 cell cycle checkpoint by mediating phosphorylation of CHEK2 (PubMed : 15342622).. Isoform ZAKalpha. Key component of the stress-activated protein kinase signaling cascade in response to ribotoxic stress or UV-B irradiation (PubMed : 32289254, PubMed : 32610081, PubMed : 35857590). Acts as the proximal sensor of ribosome collisions during the ribotoxic stress response (RSR) : directly binds to the ribosome by inserting its flexible C-terminus into the ribosomal intersubunit space, thereby acting as a sentinel for colliding ribosomes (PubMed : 32289254, PubMed : 32610081). Upon ribosome collisions, activates either the stress-activated protein kinase signal transduction cascade or the integrated stress response (ISR), leading to programmed cell death or cell survival, respectively (PubMed : 32610081). Dangerous levels of ribosome collisions trigger the autophosphorylation and activation of MAP3K20, which dissociates from colliding ribosomes and phosphorylates MAP kinase kinases, leading to activation of the JNK and MAP kinase p38 pathways that promote programmed cell death (PubMed : 32289254, PubMed : 32610081). Less dangerous levels of ribosome collisions trigger the integrated stress response (ISR) : MAP3K20 activates EIF2AK4/GCN2 independently of its protein-kinase activity, promoting EIF2AK4/GCN2-mediated phosphorylation of EIF2S1/eIF-2-alpha (PubMed : 32610081). Also part of the stress-activated protein kinase signaling cascade triggering the NLRP1 inflammasome in response to UV-B irradiation : ribosome collisions activate MAP3K20, which directly phosphorylates NLRP1, leading to activation of the NLRP1 inflammasome and subsequent pyroptosis (PubMed : 35857590). NLRP1 is also phosphorylated by MAP kinase p38 downstream of MAP3K20 (PubMed : 35857590). Also acts as a histone kinase by phosphorylating histone H3 at 'Ser-28' (H3S28ph) (PubMed : 15684425).. Isoform ZAKbeta. Isoform that lacks the C-terminal region that mediates ribosome-binding : does not act as a sensor of ribosome collisions in response to ribotoxic stress (PubMed : 32289254, PubMed : 32610081, PubMed : 35857590). May act as an antagonist of isoform ZAKalpha : interacts with isoform ZAKalpha, leading to decrease the expression of isoform ZAKalpha (PubMed : 27859413).
See full target information MAP3K20 phospho S7

Product promise

We are committed to supporting your work with high-quality reagents, and we're here for you every step of the way. In the unlikely event that one of our products does not perform as expected, you're protected by our Product Promise.
For full details, please see our Terms & Conditions

Please note: All products are 'FOR RESEARCH USE ONLY. NOT FOR USE IN DIAGNOSTIC OR THERAPEUTIC PROCEDURES'.

For licensing inquiries, please contact partnerships@abcam.com