JavaScript is disabled in your browser. Please enable JavaScript to view this website.
AB40784

Anti-MAP3K4 antibody [EP551Y]

Be the first to review this product! Submit a review

|

(2 Publications)

Rabbit Recombinant Monoclonal MAP3K4 antibody. Suitable for IHC-P, WB and reacts with Human samples. Cited in 2 publications.

View Alternative Names

KIAA0213, MAPKKK4, MEKK4, MTK1, MAP3K4, Mitogen-activated protein kinase kinase kinase 4, MAP three kinase 1, MAPK/ERK kinase kinase 4, MEK kinase 4, MEKK 4

2 Images
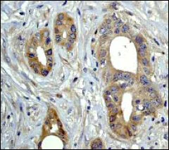
Immunohistochemistry (Formalin/PFA-fixed paraffin-embedded sections) - Anti-MAP3K4 antibody [EP551Y] (AB40784)
  • IHC-P

Unknown

Immunohistochemistry (Formalin/PFA-fixed paraffin-embedded sections) - Anti-MAP3K4 antibody [EP551Y] (AB40784)

Immunohistochemical analysis of paraffin-embedded human ovary adenocarcinoma using ab40784.

Perform heat mediated antigen retrieval with citrate buffer pH 6 before commencing with IHC staining protocol.

Western blot - Anti-MAP3K4 antibody [EP551Y] (AB40784)
  • WB

Unknown

Western blot - Anti-MAP3K4 antibody [EP551Y] (AB40784)

All lanes:

Western blot - Anti-MAP3K4 antibody [EP551Y] (ab40784) at 1/1000 dilution

All lanes:

293 cell lysate. at 10 µg

Predicted band size: 182 kDa

Observed band size: 200 kDa

false

Key facts

Host species

Rabbit

Clonality

Monoclonal

Clone number

EP551Y

Isotype

IgG

Carrier free

No

Reacts with

Human

Applications

IHC-P, WB

applications

Immunogen

The exact immunogen used to generate this antibody is proprietary information.

Specificity

This antibody is predicted to detect splice isoform 2 based on sequence analysis.

Reactivity data

{ "title": "Reactivity Data", "filters": { "stats": ["", "Species", "Dilution Info", "Notes"], "tabs": { "all-applications": {"fullname" : "All Applications", "shortname": "All Applications"}, "IHCP" : {"fullname" : "Immunohistochemistry (Formalin/PFA-fixed paraffin-embedded sections)", "shortname":"IHC-P"}, "IP" : {"fullname" : "Immunoprecipitation", "shortname":"IP"}, "WB" : {"fullname" : "Western blot", "shortname":"WB"} }, "product-promise": { "all": "all", "testedAndGuaranteed": "tested", "guaranteed": "expected", "predicted": "predicted", "notRecommended": "not-recommended" } }, "values": { "Human": { "IHCP-species-checked": "testedAndGuaranteed", "IHCP-species-dilution-info": "", "IHCP-species-notes": "<p></p> Perform heat-mediated antigen retrieval with citrate buffer pH 6 before commencing with IHC staining protocol.", "IP-species-checked": "notRecommended", "IP-species-dilution-info": "", "IP-species-notes": "<p></p>", "WB-species-checked": "testedAndGuaranteed", "WB-species-dilution-info": "1/1000 - 1/5000", "WB-species-notes": "<p></p>" } } }

Product details

Species reactivity
Mouse, Rat: We have preliminary internal testing data to indicate this antibody may not react with these species.
Please contact us for more information.

Patented technology
Our RabMAb® technology is a patented hybridoma-based technology for making rabbit monoclonal antibodies. For details on our patents, please refer to RabMAb® patents.

What are the advantages of a recombinant monoclonal antibody?
This product is a recombinant monoclonal antibody, which offers several advantages including:

  • - High batch-to-batch consistency and reproducibility
  • - Improved sensitivity and specificity
  • - Long-term security of supply
  • - Animal-free batch production

For more information, read more on recombinant antibodies.

Properties and storage information

Form
Liquid
Purification technique
Affinity purification Protein A
Storage buffer
pH: 7.2 - 7.4 Preservative: 0.01% Sodium azide Constituents: PBS, 40% Glycerol (glycerin, glycerine), 0.05% BSA
Shipped at conditions
Blue Ice
Appropriate short-term storage conditions
+4°C
Appropriate long-term storage conditions
-20°C
Aliquoting information
Upon delivery aliquot
Storage information
Avoid freeze / thaw cycle

Product protocols

For this product, it's our understanding that no specific protocols are required. You can visit:

Target data

Component of a protein kinase signal transduction cascade. Activates the CSBP2, P38 and JNK MAPK pathways, but not the ERK pathway. Specifically phosphorylates and activates MAP2K4 and MAP2K6.
See full target information MAP3K4

Publications (2)

Recent publications for all applications. Explore the full list and refine your search

Molecular cancer 21:93 PubMed35366894

2022

A novel peptide encoded by N6-methyladenosine modified circMAP3K4 prevents apoptosis in hepatocellular carcinoma.

Applications

Unspecified application

Species

Unspecified reactive species

Jin-Ling Duan,Wei Chen,Juan-Juan Xie,Mao-Lei Zhang,Run-Cong Nie,Hu Liang,Jie Mei,Kai Han,Zhi-Cheng Xiang,Feng-Wei Wang,Kai Teng,Ri-Xin Chen,Min-Hua Deng,Yi-Xin Yin,Nu Zhang,Dan Xie,Mu-Yan Cai

Iranian journal of basic medical sciences 23:990-998 PubMed32952944

2020

Magnesium supplementation enhances insulin sensitivity and decreases insulin resistance in diabetic rats.

Applications

Unspecified application

Species

Unspecified reactive species

Hongzhou Liu,Nan Li,Mengmeng Jin,Xinyu Miao,Xinjie Zhang,Wenwen Zhong
View all publications

Product promise

We are committed to supporting your work with high-quality reagents, and we're here for you every step of the way. In the unlikely event that one of our products does not perform as expected, you're protected by our Product Promise.
For full details, please see our Terms & Conditions

Please note: All products are 'FOR RESEARCH USE ONLY. NOT FOR USE IN DIAGNOSTIC OR THERAPEUTIC PROCEDURES'.

For licensing inquiries, please contact partnerships@abcam.com