JavaScript is disabled in your browser. Please enable JavaScript to view this website.
AB111252

Anti-MAP3K6 antibody

Be the first to review this product! Submit a review

|

(1 Publication)

Rabbit Polyclonal MAP3K6 antibody. Suitable for IHC-P and reacts with Human samples. Cited in 1 publication. Immunogen corresponding to Synthetic Peptide within Human MAP3K6.

View Alternative Names

ASK2, MAPKKK6, MEKK6, MAP3K6, Mitogen-activated protein kinase kinase kinase 6, Apoptosis signal-regulating kinase 2

1 Images
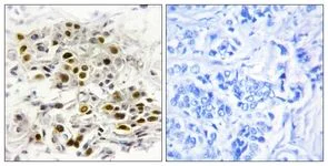
Immunohistochemistry (Formalin/PFA-fixed paraffin-embedded sections) - Anti-MAP3K6 antibody (AB111252)
  • IHC-P

Unknown

Immunohistochemistry (Formalin/PFA-fixed paraffin-embedded sections) - Anti-MAP3K6 antibody (AB111252)

Immunohistochemistry analysis of paraffin-embedded Human breast carcinoma tissue, using 1/50 ab111252. The picture on the right is treated with the synthesized peptide

Key facts

Host species

Rabbit

Clonality

Polyclonal

Isotype

IgG

Carrier free

No

Reacts with

Human

Applications

IHC-P

applications

Immunogen

Synthetic Peptide within Human MAP3K6. The exact immunogen used to generate this antibody is proprietary information.

O95382

Reactivity data

{ "title": "Reactivity Data", "filters": { "stats": ["", "Species", "Dilution Info", "Notes"], "tabs": { "all-applications": {"fullname" : "All Applications", "shortname": "All Applications"}, "IHCP" : {"fullname" : "Immunohistochemistry (Formalin/PFA-fixed paraffin-embedded sections)", "shortname":"IHC-P"} }, "product-promise": { "all": "all", "testedAndGuaranteed": "tested", "guaranteed": "expected", "predicted": "predicted", "notRecommended": "not-recommended" } }, "values": { "Human": { "IHCP-species-checked": "testedAndGuaranteed", "IHCP-species-dilution-info": "1/50 - 1/100", "IHCP-species-notes": "<p></p> Perform heat-mediated antigen retrieval with citrate buffer pH 6 before commencing with IHC staining protocol." } } }

Properties and storage information

Form
Liquid
Purification technique
Affinity purification Immunogen
Storage buffer
pH: 7.4 Preservative: 0.02% Sodium azide Constituents: PBS, 50% Glycerol (glycerin, glycerine), 0.88% Sodium chloride
Shipped at conditions
Blue Ice
Appropriate short-term storage conditions
+4°C
Appropriate long-term storage conditions
-20°C
Storage information
Stable for 12 months at -20°C

Product protocols

For this product, it's our understanding that no specific protocols are required. You can visit:

Target data

Component of a protein kinase signal transduction cascade. Activates the JNK, but not ERK or p38 kinase pathways.
See full target information MAP3K6

Publications (1)

Recent publications for all applications. Explore the full list and refine your search

Frontiers in bioengineering and biotechnology 10:894956 PubMed36406232

2022

A proteomics analysis of neointima formation on decellularized vascular grafts reveals regenerative alterations in protein signature running head: Proteomics analysis of neointima formation.

Applications

Unspecified application

Species

Unspecified reactive species

Chunyang Chen,Ting Lu,Zhongshi Wu,Xinlong Xie,Yalin Liu,Can Huang,Yuhong Liu
View all publications

Product promise

We are committed to supporting your work with high-quality reagents, and we're here for you every step of the way. In the unlikely event that one of our products does not perform as expected, you're protected by our Product Promise.
For full details, please see our Terms & Conditions

Please note: All products are 'FOR RESEARCH USE ONLY. NOT FOR USE IN DIAGNOSTIC OR THERAPEUTIC PROCEDURES'.

For licensing inquiries, please contact partnerships@abcam.com