JavaScript is disabled in your browser. Please enable JavaScript to view this website.
AB245578

Anti-MAP4 antibody

Be the first to review this product! Submit a review

|

(3 Publications)

Rabbit Polyclonal MAP4 antibody. Suitable for IHC-P, IP, WB and reacts with Human samples. Cited in 3 publications. Immunogen corresponding to Synthetic Peptide within Human MAP4 aa 1100 to C-terminus.

View Alternative Names

Microtubule-associated protein 4, MAP-4, MAP4

3 Images
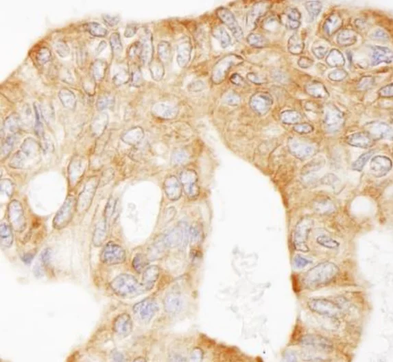
Immunohistochemistry (Formalin/PFA-fixed paraffin-embedded sections) - Anti-MAP4 antibody (AB245578)
  • IHC-P

Supplier Data

Immunohistochemistry (Formalin/PFA-fixed paraffin-embedded sections) - Anti-MAP4 antibody (AB245578)

Formalin-fixed, paraffin-embedded human ovarian carcinoma tissue stained for MAP4 with ab245578 at a 1/200 dilution in immunohistochemical analysis. DAB staining.

Immunoprecipitation - Anti-MAP4 antibody (AB245578)
  • IP

Supplier Data

Immunoprecipitation - Anti-MAP4 antibody (AB245578)

MAP4 was immunoprecipitated from HeLa (Human epithelial cell line from cervix adenocarcinoma) whole cell lysate (1 mg per IP reaction; 20% of IP loaded).

ab245578 used for IP at 3 μg/mg lysate. For WB 0.01 μg/ml.

Lane 1 : ab245578 IP in HeLa whole cell lysate.
Lane 2 : Control IgG in HeLa whole cell lysate.

Chemiluminescence detection : 30 seconds.

All lanes:

Immunoprecipitation - Anti-MAP4 antibody (ab245578)

Predicted band size: 121 kDa

false

Western blot - Anti-MAP4 antibody (AB245578)
  • WB

Supplier Data

Western blot - Anti-MAP4 antibody (AB245578)

All lanes:

Western blot - Anti-MAP4 antibody (ab245578) at 0.04 µg/mL

Lane 1:

HeLa (Human epithelial cell line from cervix adenocarcinoma) whole cell lysate at 50 µg

Lane 2:

HeLa whole cell lysate at 15 µg

Lane 3:

HeLa whole cell lysate at 5 µg

Predicted band size: 121 kDa

false

Exposure time: 30s

Key facts

Host species

Rabbit

Clonality

Polyclonal

Isotype

IgG

Carrier free

No

Reacts with

Human

Applications

IHC-P, IP, WB

applications

Immunogen

Synthetic Peptide within Human MAP4 aa 1100 to C-terminus. The exact immunogen used to generate this antibody is proprietary information.

P27816

Reactivity data

{ "title": "Reactivity Data", "filters": { "stats": ["", "Species", "Dilution Info", "Notes"], "tabs": { "all-applications": {"fullname" : "All Applications", "shortname": "All Applications"}, "IHCP" : {"fullname" : "Immunohistochemistry (Formalin/PFA-fixed paraffin-embedded sections)", "shortname":"IHC-P"}, "IP" : {"fullname" : "Immunoprecipitation", "shortname":"IP"}, "WB" : {"fullname" : "Western blot", "shortname":"WB"} }, "product-promise": { "all": "all", "testedAndGuaranteed": "tested", "guaranteed": "expected", "predicted": "predicted", "notRecommended": "not-recommended" } }, "values": { "Human": { "IHCP-species-checked": "testedAndGuaranteed", "IHCP-species-dilution-info": "1/100 - 1/500", "IHCP-species-notes": "<p></p> Perform heat-mediated antigen retrieval with citrate buffer pH 6 before commencing with IHC staining protocol.", "IP-species-checked": "testedAndGuaranteed", "IP-species-dilution-info": "2-5 µg/mg of lysate", "IP-species-notes": "<p></p>", "WB-species-checked": "testedAndGuaranteed", "WB-species-dilution-info": "1/2000 - 1/10000", "WB-species-notes": "<p></p>" }, "Mouse": { "IHCP-species-checked": "predicted", "IHCP-species-dilution-info": "", "IHCP-species-notes": "", "IP-species-checked": "predicted", "IP-species-dilution-info": "", "IP-species-notes": "", "WB-species-checked": "predicted", "WB-species-dilution-info": "", "WB-species-notes": "" }, "Rat": { "IHCP-species-checked": "predicted", "IHCP-species-dilution-info": "", "IHCP-species-notes": "", "IP-species-checked": "predicted", "IP-species-dilution-info": "", "IP-species-notes": "", "WB-species-checked": "predicted", "WB-species-dilution-info": "", "WB-species-notes": "" } } }

Properties and storage information

Form
Liquid
Purification technique
Affinity purification Immunogen
Purification notes
ab245578 was affinity purified using an epitope specific to MAP4 immobilized on solid support.
Storage buffer
pH: 6.8 - 7.4 Preservative: 0.09% Sodium azide Constituents: Tris buffered saline, 0.1% BSA
Shipped at conditions
Blue Ice
Appropriate short-term storage duration
1-2 weeks
Appropriate short-term storage conditions
+4°C
Appropriate long-term storage conditions
+4°C
Aliquoting information
Upon delivery aliquot
Storage information
Avoid freeze / thaw cycle

Product protocols

For this product, it's our understanding that no specific protocols are required. You can visit:

Target data

Non-neuronal microtubule-associated protein. Promotes microtubule assembly.
See full target information MAP4

Publications (3)

Recent publications for all applications. Explore the full list and refine your search

Nature communications 14:6322 PubMed37813836

2023

Polarized microtubule remodeling transforms the morphology of reactive microglia and drives cytokine release.

Applications

Unspecified application

Species

Unspecified reactive species

Max Adrian,Martin Weber,Ming-Chi Tsai,Caspar Glock,Olga I Kahn,Lilian Phu,Tommy K Cheung,William J Meilandt,Christopher M Rose,Casper C Hoogenraad

International journal of molecular sciences 24: PubMed36835542

2023

miR-103-3p Regulates the Differentiation and Autophagy of Myoblasts by Targeting MAP4.

Applications

Unspecified application

Species

Unspecified reactive species

Xianxian Zhang,Shihui Huang,Xi Niu,Sheng Li,Jiafu Wang,Xueqin Ran

Nature 594:560-565 PubMed34040253

2021

MARK4 controls ischaemic heart failure through microtubule detyrosination.

Applications

Unspecified application

Species

Unspecified reactive species

Xian Yu,Xiao Chen,Mamta Amrute-Nayak,Edward Allgeyer,Aite Zhao,Hannah Chenoweth,Marc Clement,James Harrison,Christian Doreth,George Sirinakis,Thomas Krieg,Huiyu Zhou,Hongda Huang,Kiyotaka Tokuraku,Daniel St Johnston,Ziad Mallat,Xuan Li
View all publications

Product promise

We are committed to supporting your work with high-quality reagents, and we're here for you every step of the way. In the unlikely event that one of our products does not perform as expected, you're protected by our Product Promise.
For full details, please see our Terms & Conditions

Please note: All products are 'FOR RESEARCH USE ONLY. NOT FOR USE IN DIAGNOSTIC OR THERAPEUTIC PROCEDURES'.

For licensing inquiries, please contact partnerships@abcam.com