JavaScript is disabled in your browser. Please enable JavaScript to view this website.
AB284676

Anti-MAP4K1/HPK1 antibody [EP630Y] - BSA and Azide free

Be the first to review this product! Submit a review

|

(0 Publication)

Rabbit Monoclonal MAP4K1/HPK1 antibody. Carrier free. Suitable for WB, IHC-P and reacts with Human samples.

View Alternative Names

HPK1, MAP4K1, Mitogen-activated protein kinase kinase kinase kinase 1, Hematopoietic progenitor kinase, MAPK/ERK kinase kinase kinase 1, MEK kinase kinase 1, MEKKK 1

2 Images
Immunohistochemistry (Formalin/PFA-fixed paraffin-embedded sections) - Anti-MAP4K1/HPK1 antibody [EP630Y] - BSA and Azide free (AB284676)
  • IHC-P

Lab

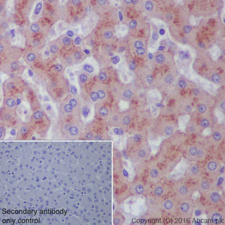
Immunohistochemistry (Formalin/PFA-fixed paraffin-embedded sections) - Anti-MAP4K1/HPK1 antibody [EP630Y] - BSA and Azide free (AB284676)

This data was developed using ab33910, the same antibody clone in a different buffer formulation.ab33910 staining MAP4K1/HPK1 in human liver tissue sections by Immunohistochemistry (IHC-P - paraformaldehyde-fixed, paraffin-embedded sections). Tissue was fixed with paraformaldehyde and antigen retrieval was by heat mediation in a EDTA buffer. Samples were incubated with primary antibody at a dilution of 1/50. A goat anti-rabbit IgG H&L (HRP) ab97051 was used as the secondary antibody at 1/500.

Negative control 1 : PBS in place of primary antibody.

Western blot - Anti-MAP4K1/HPK1 antibody [EP630Y] - BSA and Azide free (AB284676)
  • WB

Lab

Western blot - Anti-MAP4K1/HPK1 antibody [EP630Y] - BSA and Azide free (AB284676)

This data was developed using ab33910, the same antibody clone in a different buffer formulation.

Blocking buffer : 5% NFDM/TBST

Diluting buffer : 5% NFDM/TBST

All lanes:

Western blot - Anti-MAP4K1/HPK1 antibody [EP630Y] (<a href='/en-us/products/primary-antibodies/map4k1-hpk1-antibody-ep630y-ab33910'>ab33910</a>) at 1/5000 dilution

Lane 1:

Daudi (human Burkitt's lymphoma) whole cell lysate at 20 µg

Lane 2:

Raji (human Burkitt's lymphoma) whole cell lysate at 20 µg

Secondary

All lanes:

Anti-Rabbit IgG (HRP), specific to the non-reduced form of IgG at 1/20000 dilution

Predicted band size: 91 kDa

false

Key facts

Host species

Rabbit

Clonality

Monoclonal

Clone number

EP630Y

Isotype

IgG

Carrier free

Yes

Reacts with

Human

Applications

WB, IHC-P

applications

Immunogen

The exact immunogen used to generate this antibody is proprietary information.

Specificity

ab33910 recognises hematopoietic progenitor kinase 1 (HPK1).

Reactivity data

{ "title": "Reactivity Data", "filters": { "stats": ["", "Species", "Dilution Info", "Notes"], "tabs": { "all-applications": {"fullname" : "All Applications", "shortname": "All Applications"}, "ICCIF" : {"fullname" : "Immunocytochemistry/ Immunofluorescence", "shortname":"ICC/IF"}, "WB" : {"fullname" : "Western blot", "shortname":"WB"}, "IHCP" : {"fullname" : "Immunohistochemistry (Formalin/PFA-fixed paraffin-embedded sections)", "shortname":"IHC-P"} }, "product-promise": { "all": "all", "testedAndGuaranteed": "tested", "guaranteed": "expected", "predicted": "predicted", "notRecommended": "not-recommended" } }, "values": { "Human": { "ICCIF-species-checked": "notRecommended", "ICCIF-species-dilution-info": "", "ICCIF-species-notes": "<p></p>", "WB-species-checked": "testedAndGuaranteed", "WB-species-dilution-info": "", "WB-species-notes": "<p></p>", "IHCP-species-checked": "testedAndGuaranteed", "IHCP-species-dilution-info": "", "IHCP-species-notes": "<p></p>" } } }

Product details

ab284676 is the carrier-free version of ab33910

Patented technology
Our RabMAb® technology is a patented hybridoma-based technology for making rabbit monoclonal antibodies. For details on our patents, please refer to RabMAb® patents.

Conjugation ready
Our carrier-free antibodies are typically supplied in a PBS-only formulation, purified and free of BSA, sodium azide and glycerol. This conjugation-ready format is designed for use with fluorochromes, metal isotopes, oligonucleotides, and enzymes, which makes them ideal for antibody labelling, functional and cell-based assays, flow-based assays (e.g. mass cytometry) and Multiplex Imaging applications.

Use our conjugation kits for antibody conjugates that are ready-to-use in as little as 20 minutes with 1 minute hands-on-time and 100% antibody recovery: available for fluorescent dyes, HRP, biotin and gold.

Compatibility
This product is compatible with the Maxpar® Antibody Labeling Kit from Fluidigm, without the need for antibody preparation. Maxpar® is a trademark of Fluidigm Canada Inc.

Properties and storage information

Form
Liquid
Purification technique
Affinity purification Protein A
Storage buffer
pH: 7.2 - 7.4 Constituents: PBS
Shipped at conditions
Blue Ice
Appropriate short-term storage conditions
+4°C
Appropriate long-term storage conditions
+4°C

Product protocols

For this product, it's our understanding that no specific protocols are required. You can visit:

Target data

Serine/threonine-protein kinase, which plays a role in the response to environmental stress (PubMed : 24362026). Appears to act upstream of the JUN N-terminal pathway (PubMed : 8824585). Activator of the Hippo signaling pathway which plays a pivotal role in organ size control and tumor suppression by restricting proliferation and promoting apoptosis. MAP4Ks act in parallel to and are partially redundant with STK3/MST2 and STK4/MST2 in the phosphorylation and activation of LATS1/2, and establish MAP4Ks as components of the expanded Hippo pathway (PubMed : 26437443). May play a role in hematopoietic lineage decisions and growth regulation (PubMed : 24362026, PubMed : 8824585). Together with CLNK, it enhances CD3-triggered activation of T-cells and subsequent IL2 production (By similarity).
See full target information MAP4K1

Product promise

We are committed to supporting your work with high-quality reagents, and we're here for you every step of the way. In the unlikely event that one of our products does not perform as expected, you're protected by our Product Promise.
For full details, please see our Terms & Conditions

Please note: All products are 'FOR RESEARCH USE ONLY. NOT FOR USE IN DIAGNOSTIC OR THERAPEUTIC PROCEDURES'.

For licensing inquiries, please contact partnerships@abcam.com