JavaScript is disabled in your browser. Please enable JavaScript to view this website.
AB96551

Anti-MAP4K5 antibody

4

(1 Review)

|

(2 Publications)

Rabbit Polyclonal MAP4K5 antibody. Suitable for WB, IHC-P, ICC/IF, IP and reacts with Human samples. Cited in 2 publications. Immunogen corresponding to Synthetic Peptide within Human MAP4K5 aa 400-500.

View Alternative Names

Mitogen-activated protein kinase kinase kinase kinase 5, Kinase homologous to SPS1/STE20, MAPK/ERK kinase kinase kinase 5, KHS, MEK kinase kinase 5, MEKKK 5, MAP4K5

4 Images
Immunocytochemistry/ Immunofluorescence - Anti-MAP4K5 antibody (AB96551)
  • ICC/IF

Unknown

Immunocytochemistry/ Immunofluorescence - Anti-MAP4K5 antibody (AB96551)

ab96551, at 1/200 dilution, staining MAP4K5 in paraformaldehyde-fixed A431 cells by Immunofluorescence. The lower image is merged with DNA probe.

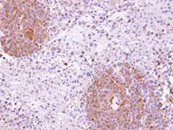
Immunohistochemistry (Formalin/PFA-fixed paraffin-embedded sections) - Anti-MAP4K5 antibody (AB96551)
  • IHC-P

Unknown

Immunohistochemistry (Formalin/PFA-fixed paraffin-embedded sections) - Anti-MAP4K5 antibody (AB96551)

ab96551, at 1/100 dilution, staining MAP4K5 in paraffin-embedded SAS xenograft by Immunohistochemistry.

Western blot - Anti-MAP4K5 antibody (AB96551)
  • WB

Unknown

Western blot - Anti-MAP4K5 antibody (AB96551)

12% SDS PAGE

All lanes:

Western blot - Anti-MAP4K5 antibody (ab96551) at 1/5000 dilution

All lanes:

MOLT4 whole cell lysate at 30 µg

Predicted band size: 95 kDa

false

Immunoprecipitation - Anti-MAP4K5 antibody (AB96551)
  • IP

Supplier Data

Immunoprecipitation - Anti-MAP4K5 antibody (AB96551)

Immunoprecipitation of KHS protein from 293T whole cell extracts using 5 µg of ab96551.
Western blot analysis was performed using ab96551.

All lanes:

Immunoprecipitation - Anti-MAP4K5 antibody (ab96551) at 5 µg

Lane 1:

293T whole cell extracts

Lane 2:

293T whole cell extracts with control IgG

Lane 3:

Immunoprecipitated 293T whole cell extracts using ab96551

Secondary

All lanes:

Anti Rabbit IgG

Predicted band size: 95 kDa

false

Key facts

Host species

Rabbit

Clonality

Polyclonal

Isotype

IgG

Carrier free

No

Reacts with

Human

Applications

IP, WB, ICC/IF, IHC-P

applications

Immunogen

Synthetic Peptide within Human MAP4K5 aa 400-500. The exact immunogen used to generate this antibody is proprietary information.

Q9Y4K4

Reactivity data

{ "title": "Reactivity Data", "filters": { "stats": ["", "Species", "Dilution Info", "Notes"], "tabs": { "all-applications": {"fullname" : "All Applications", "shortname": "All Applications"}, "WB" : {"fullname" : "Western blot", "shortname":"WB"}, "IHCP" : {"fullname" : "Immunohistochemistry (Formalin/PFA-fixed paraffin-embedded sections)", "shortname":"IHC-P"}, "ICCIF" : {"fullname" : "Immunocytochemistry/ Immunofluorescence", "shortname":"ICC/IF"}, "IP" : {"fullname" : "Immunoprecipitation", "shortname":"IP"} }, "product-promise": { "all": "all", "testedAndGuaranteed": "tested", "guaranteed": "expected", "predicted": "predicted", "notRecommended": "not-recommended" } }, "values": { "Human": { "WB-species-checked": "testedAndGuaranteed", "WB-species-dilution-info": "1/1000 - 1/10000", "WB-species-notes": "<p></p>", "IHCP-species-checked": "testedAndGuaranteed", "IHCP-species-dilution-info": "1/100 - 1/1000", "IHCP-species-notes": "<p></p>", "ICCIF-species-checked": "testedAndGuaranteed", "ICCIF-species-dilution-info": "1/100 - 1/1000", "ICCIF-species-notes": "<p></p>", "IP-species-checked": "testedAndGuaranteed", "IP-species-dilution-info": "1/100 - 1/500", "IP-species-notes": "<p></p>" } } }

Properties and storage information

Form
Liquid
Purification technique
Affinity purification Immunogen
Storage buffer
pH: 7 Preservative: 0.01% Thimerosal (merthiolate) Constituents: 10% Glycerol (glycerin, glycerine), 1.21% Tris, 0.75% Glycine
Shipped at conditions
Blue Ice
Appropriate short-term storage conditions
+4°C
Appropriate long-term storage conditions
-20°C
Aliquoting information
Upon delivery aliquot
Storage information
Avoid freeze / thaw cycle

Product protocols

For this product, it's our understanding that no specific protocols are required. You can visit:

Target data

May play a role in the response to environmental stress. Appears to act upstream of the JUN N-terminal pathway.
See full target information MAP4K5

Publications (2)

Recent publications for all applications. Explore the full list and refine your search

The Journal of experimental medicine 220: PubMed36820830

2023

Genome-wide CRISPR/Cas9 screens reveal shared and cell-specific mechanisms of resistance to SHP2 inhibition.

Applications

Unspecified application

Species

Unspecified reactive species

Wei Wei,Mitchell J Geer,Xinyi Guo,Igor Dolgalev,Neville E Sanjana,Benjamin G Neel

Redox biology 34:101539 PubMed32353747

2020

Low abundance of NDUFV2 and NDUFS4 subunits of the hydrophilic complex I domain and VDAC1 predicts mammalian longevity.

Applications

Unspecified application

Species

Unspecified reactive species

Natalia Mota-Martorell,Mariona Jove,Irene Pradas,Isabel Sanchez,José Gómez,Alba Naudi,Gustavo Barja,Reinald Pamplona
View all publications

Product promise

We are committed to supporting your work with high-quality reagents, and we're here for you every step of the way. In the unlikely event that one of our products does not perform as expected, you're protected by our Product Promise.
For full details, please see our Terms & Conditions

Please note: All products are 'FOR RESEARCH USE ONLY. NOT FOR USE IN DIAGNOSTIC OR THERAPEUTIC PROCEDURES'.

For licensing inquiries, please contact partnerships@abcam.com