JavaScript is disabled in your browser. Please enable JavaScript to view this website.
AB53277

Anti-MAPK6/ERK3 antibody [EP1720Y]

1

(1 Review)

|

(40 Publications)

Rabbit Recombinant Monoclonal MAPK6/ERK3 antibody. Suitable for IHC-P, WB and reacts with Human, Mouse, Rat samples. Cited in 40 publications.

View Alternative Names

ERK3, PRKM6, MAPK6, Mitogen-activated protein kinase 6, MAP kinase 6, MAPK 6, Extracellular signal-regulated kinase 3, MAP kinase isoform p97, ERK-3, p97-MAPK

6 Images
Immunohistochemistry (Formalin/PFA-fixed paraffin-embedded sections) - Anti-MAPK6/ERK3 antibody [EP1720Y] (AB53277)
  • IHC-P

Unknown

Immunohistochemistry (Formalin/PFA-fixed paraffin-embedded sections) - Anti-MAPK6/ERK3 antibody [EP1720Y] (AB53277)

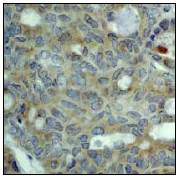
Unpurified ab53277 (1 : 50) staining human MAPK6/ERK3 in human breast carcinoma tissue by immunohistochemistry using paraffin embedded tissue.

Perform heat mediated antigen retrieval before commencing with IHC staining protocol.

Immunohistochemistry (Formalin/PFA-fixed paraffin-embedded sections) - Anti-MAPK6/ERK3 antibody [EP1720Y] (AB53277)
  • IHC-P

Unknown

Immunohistochemistry (Formalin/PFA-fixed paraffin-embedded sections) - Anti-MAPK6/ERK3 antibody [EP1720Y] (AB53277)

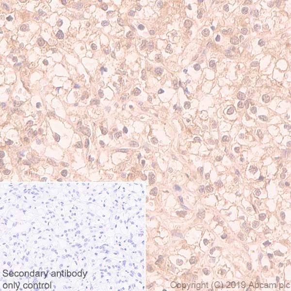
Immunohistochemistry (Formalin/PFA-fixed paraffin-embedded sections) analysis of human kidney carcinoma tissue sections labeling MAPK6/ERK3 with Purified ab53277 at 1 : 100 dilution (13.52 μg/ml). Perform heat mediated antigen retrieval using ab93684 (Tris/EDTA buffer, pH 9.0). Purified)ImmunoHistoProbe one step HRP Polymer (ready to use) was used for detection. Negative control : PBS instead of the primary antibody. Hematoxylin was used as a counterstain.

Western blot - Anti-MAPK6/ERK3 antibody [EP1720Y] (AB53277)
  • WB

Lab

Western blot - Anti-MAPK6/ERK3 antibody [EP1720Y] (AB53277)

Lanes 1-3 : Merged signal (red and green). Green - ab53277 observed at 90 kDa. Red - loading control ab8245 observed at 36 kDa.

ab53277 Anti-MAPK6/ERK3 antibody [EP1720Y] was shown to specifically react with MAPK6/ERK3 in wild-type HeLa cells. Loss of signal was observed when knockout cell line ab264910 (knockout cell lysate ab257526) was used. Wild-type and MAPK6/ERK3 knockout samples were subjected to SDS-PAGE. ab53277 and Anti-GAPDH antibody [6C5] - Loading Control (ab8245) were incubated at room temperature for 2.5 hours at 1 in 1000 dilution and 1 in 20000 dilution respectively. Blots were developed with Goat anti-Rabbit IgG H&L (IRDye® 800CW) preadsorbed (ab216773) and Goat anti-Mouse IgG H&L (IRDye® 680RD) preadsorbed (ab216776) secondary antibodies at 1 in 20000 dilution for 1 hour at room temperature before imaging.

All lanes:

Western blot - Anti-MAPK6/ERK3 antibody [EP1720Y] (ab53277) at 1/1000 dilution

Lane 1:

Wild-type HeLa cell lysate at 20 µg

Lane 2:

MAPK6 knockout HeLa cell lysate at 20 µg

Lane 2:

Western blot - Human MAPK6 (ERK3) knockout HeLa cell line (<a href='/en-us/products/cell-lines/human-mapk6-erk3-knockout-hela-cell-line-ab264910'>ab264910</a>)

Lane 3:

2.4G2 (Rat B cell lymphoma B lymphocyte) cell lysate at 20 µg

Secondary

All lanes:

Western blot - Goat anti-Rabbit IgG H&L (IRDye® 800CW) preadsorbed (<a href='/en-us/products/secondary-antibodies/goat-rabbit-igg-h-l-irdye-800cw-preadsorbed-ab216773'>ab216773</a>) at 1/10000 dilution

Predicted band size: 83 kDa

Observed band size: 90 kDa

false

Western blot - Anti-MAPK6/ERK3 antibody [EP1720Y] (AB53277)
  • WB

Lab

Western blot - Anti-MAPK6/ERK3 antibody [EP1720Y] (AB53277)

Lanes 1 - 4 : Merged signal (red and green). Green - ab53277 observed at 90 kDa. Red - loading control, ab8245 (Mouse anti-GAPDH antibody [6C5]) observed at 37kDa.

ab53277 was shown to react with MAPK6 in HAP1 wild-type cells in Western blot. Loss of signal was observed when MAPK6 knockout sample was used. HAP1 wild-type and MAPK6 knockout whole cell lysates were subjected to SDS-PAGE. Membranes were blocked in 3% Milk in TBS-T (0.1% Tween®) before incubation with ab53277 and ab8245 (Mouse anti-GAPDH antibody [6C5]) overnight at 4°C at a 1 in 1000 dilution and a 1 in 20000 dilution respectively. Blots were developed with Goat anti-Rabbit IgG H&L (IRDye® 800CW) preabsorbed (ab216773) and Goat anti-Mouse IgG H&L (IRDye® 800CW) preabsorbed (ab216772) secondary antibodies at 1 in 20000 dilution for 1 hour at room temperature before imaging.

All lanes:

Western blot - Anti-MAPK6/ERK3 antibody [EP1720Y] (ab53277) at 1/1000 dilution

Lane 1:

Wild-type HAP1 whole cell lysate at 20 µg

Lane 2:

MAPK6 knockout HAP1 whole cell lysate at 20 µg

Lane 3:

A431 whole cell lysate at 20 µg

Lane 4:

MCF7 whole cell lysate at 20 µg

Predicted band size: 83 kDa

Observed band size: 90 kDa

false

Western blot - Anti-MAPK6/ERK3 antibody [EP1720Y] (AB53277)
  • WB

Lab

Western blot - Anti-MAPK6/ERK3 antibody [EP1720Y] (AB53277)

The molecular weight observed is consistent with what has been described in PMID : 30642948 and 30166347

All lanes:

Western blot - Anti-MAPK6/ERK3 antibody [EP1720Y] (ab53277) at 1/1000 dilution

Lane 1:

HeLa (Human cervix adenocarcinoma epithelial cell) whole cell lysates at 15 µg

Lane 2:

Rat brain lysates at 15 µg

Lane 3:

C2C12 (Mouse myoblasts myoblast) whole cell lysates at 15 µg

Secondary

All lanes:

Western blot - Goat Anti-Rabbit IgG H&L (HRP) (<a href='/en-us/products/secondary-antibodies/goat-rabbit-igg-h-l-hrp-ab97051'>ab97051</a>) at 1/20000 dilution

Predicted band size: 83 kDa

Observed band size: 105 kDa

false

Western blot - Anti-MAPK6/ERK3 antibody [EP1720Y] (AB53277)
  • WB

CiteAb

Western blot - Anti-MAPK6/ERK3 antibody [EP1720Y] (AB53277)

MAPK6/ERK3 western blot using anti-MAPK6/ERK3 antibody [EP1720Y] ab53277. Publication image and figure legend from He, J., Huang, Z., et al., 2020, Mol Cancer, PubMed 31992303.

ab53277 was used in this publication in western blot. This may not be the same as the application(s) guaranteed by Abcam. For a full list of applications guaranteed by Abcam for ab53277 please see the product overview.

Inhibition of phosphorylation of p38/MAPK reverses cell survival induced by circ-MAPK4. (a) U373 cells transfected with siRNA negative control, circ-MAPK4 siRNA-1 and siRNA-2 were treated with or without p-p38/MAPK inhibitor (SB203580). Inhibition efficiency of p-p38/MAPK inhibitor was accessed by testing phosphorylation and total protein levels of p38/MAPK and ERK using western blot assays. (b, c) CCK-8 and colony formation assays were performed to reveal cell survival of these U373 cells. (d) Apoptosis assays were performed to reveal apoptosis levels of these U373 cells. (e) The western blot assays were used to evaluate effect of p-p38/MAPK inhibitor on protein expression levels of cleaved form of caspase-9, caspase-7, caspase-3, PARP1 in these U373 cells. The data were summarized as bar graph. Data are the means ± SEM of three experiments. *p < 0.05; **p < 0.01; ***p < 0.001

false

  • Carrier free

    Anti-MAPK6/ERK3 antibody [EP1720Y] - BSA and Azide free

  • 660 APC

    APC Anti-MAPK6/ERK3 antibody [EP1720Y]

  • 617 Alexa Fluor® 594

    Alexa Fluor® 594 Anti-MAPK6/ERK3 antibody [EP1720Y]

  • 565 Alexa Fluor® 555

    Alexa Fluor® 555 Anti-MAPK6/ERK3 antibody [EP1720Y]

  • 665 Alexa Fluor® 647

    Alexa Fluor® 647 Anti-MAPK6/ERK3 antibody [EP1720Y]

  • 578 PE

    PE Anti-MAPK6/ERK3 antibody [EP1720Y]

  • 519 Alexa Fluor® 488

    Alexa Fluor® 488 Anti-MAPK6/ERK3 antibody [EP1720Y]

  • 775 Alexa Fluor® 750

    Alexa Fluor® 750 Anti-MAPK6/ERK3 antibody [EP1720Y]

Key facts

Host species

Rabbit

Clonality

Monoclonal

Clone number

EP1720Y

Isotype

IgG

Carrier free

No

Reacts with

Mouse, Rat, Human

Applications

IHC-P, WB

applications

Immunogen

The exact immunogen used to generate this antibody is proprietary information.

Reactivity data

{ "title": "Reactivity Data", "filters": { "stats": ["", "Species", "Dilution Info", "Notes"], "tabs": { "all-applications": {"fullname" : "All Applications", "shortname": "All Applications"}, "IHCP" : {"fullname" : "Immunohistochemistry (Formalin/PFA-fixed paraffin-embedded sections)", "shortname":"IHC-P"}, "FlowCyt" : {"fullname" : "Flow Cytometry", "shortname":"Flow Cyt"}, "WB" : {"fullname" : "Western blot", "shortname":"WB"}, "ICCIF" : {"fullname" : "Immunocytochemistry/ Immunofluorescence", "shortname":"ICC/IF"} }, "product-promise": { "all": "all", "testedAndGuaranteed": "tested", "guaranteed": "expected", "predicted": "predicted", "notRecommended": "not-recommended" } }, "values": { "Human": { "IHCP-species-checked": "testedAndGuaranteed", "IHCP-species-dilution-info": "1/100", "IHCP-species-notes": "<p>For unpurified use at 1/50</p>", "FlowCyt-species-checked": "notRecommended", "FlowCyt-species-dilution-info": "1/100 - 1/1000", "FlowCyt-species-notes": "<p><a href='/en-us/products/primary-antibodies/rabbit-igg-monoclonal-epr25a-isotype-control-ab172730'>ab172730</a> - Rabbit monoclonal IgG, is suitable for use as an isotype control with this antibody.</p>", "WB-species-checked": "testedAndGuaranteed", "WB-species-dilution-info": "1/1000 - 1/10000", "WB-species-notes": "<p></p>", "ICCIF-species-checked": "notRecommended", "ICCIF-species-dilution-info": "", "ICCIF-species-notes": "<p></p>" }, "Mouse": { "IHCP-species-checked": "notRecommended", "IHCP-species-dilution-info": "", "IHCP-species-notes": "<p></p>", "FlowCyt-species-checked": "notRecommended", "FlowCyt-species-dilution-info": "1/100 - 1/1000", "FlowCyt-species-notes": "<p><a href='/en-us/products/primary-antibodies/rabbit-igg-monoclonal-epr25a-isotype-control-ab172730'>ab172730</a> - Rabbit monoclonal IgG, is suitable for use as an isotype control with this antibody.</p>", "WB-species-checked": "testedAndGuaranteed", "WB-species-dilution-info": "1/1000 - 1/10000", "WB-species-notes": "<p></p>", "ICCIF-species-checked": "notRecommended", "ICCIF-species-dilution-info": "", "ICCIF-species-notes": "<p></p>" }, "Rat": { "IHCP-species-checked": "notRecommended", "IHCP-species-dilution-info": "", "IHCP-species-notes": "<p></p>", "FlowCyt-species-checked": "notRecommended", "FlowCyt-species-dilution-info": "1/100 - 1/1000", "FlowCyt-species-notes": "<p><a href='/en-us/products/primary-antibodies/rabbit-igg-monoclonal-epr25a-isotype-control-ab172730'>ab172730</a> - Rabbit monoclonal IgG, is suitable for use as an isotype control with this antibody.</p>", "WB-species-checked": "testedAndGuaranteed", "WB-species-dilution-info": "1/1000 - 1/10000", "WB-species-notes": "<p></p>", "ICCIF-species-checked": "notRecommended", "ICCIF-species-dilution-info": "", "ICCIF-species-notes": "<p></p>" } } }

Product details

Patented technology
Our RabMAb® technology is a patented hybridoma-based technology for making rabbit monoclonal antibodies. For details on our patents, please refer to RabMAb® patents.

What are the advantages of a recombinant monoclonal antibody?
This product is a recombinant monoclonal antibody, which offers several advantages including:

  • - High batch-to-batch consistency and reproducibility
  • - Improved sensitivity and specificity
  • - Long-term security of supply
  • - Animal-free batch production

For more information, read more on recombinant antibodies.

Properties and storage information

Form
Liquid
Purification technique
Affinity purification Protein A
Storage buffer
pH: 7.2 - 7.4 Preservative: 0.01% Sodium azide Constituents: PBS, 40% Glycerol (glycerin, glycerine), 0.05% BSA
Shipped at conditions
Blue Ice
Appropriate short-term storage duration
1-2 weeks
Appropriate short-term storage conditions
+4°C
Appropriate long-term storage conditions
-20°C
Aliquoting information
Upon delivery aliquot
Storage information
Avoid freeze / thaw cycle

Product protocols

For this product, it's our understanding that no specific protocols are required. You can visit:

Target data

Atypical MAPK protein. Phosphorylates microtubule-associated protein 2 (MAP2) and MAPKAPK5. The precise role of the complex formed with MAPKAPK5 is still unclear, but the complex follows a complex set of phosphorylation events : upon interaction with atypical MAPKAPK5, ERK3/MAPK6 is phosphorylated at Ser-189 and then mediates phosphorylation and activation of MAPKAPK5, which in turn phosphorylates ERK3/MAPK6. May promote entry in the cell cycle (By similarity).
See full target information MAPK6

Publications (40)

Recent publications for all applications. Explore the full list and refine your search

Bioactive materials 50:396-413 PubMed40331212

2025

Pathology-inspired collagen-binding thermosensitive micelle drops enable prolonged and efficient treatment of fungal keratitis.

Applications

Unspecified application

Species

Unspecified reactive species

Maoyu Cai,Haiping Zhong,Xindi Wang,Liangpin Li,Xueyan Zhou,Yan Wang,Xia Hua,Shutao Guo,Xiaoyong Yuan

Physiological reports 12:e16108 PubMed38872461

2024

ERK3 is involved in regulating cardiac fibroblast function.

Applications

Unspecified application

Species

Unspecified reactive species

Pramod Sahadevan,Dharmendra Dingar,Sherin A Nawaito,Reshma S Nair,Joëlle Trépanier,Fatiha Sahmi,Yanfen Shi,Marc-Antoine Gillis,Martin G Sirois,Sylvain Meloche,Jean-Claude Tardif,Bruce G Allen

Archives of biochemistry and biophysics 751:109825 PubMed37992885

2023

Triazolo[4,5-d]pyrimidin-5-amines based ERK3 inhibitors fail to demonstrate selective effects on adipocyte function.

Applications

Unspecified application

Species

Unspecified reactive species

Andrei Belykh,Izabela Hawro,Katarzyna Kolczyńska-Matysiak,Angel Loza-Valdes,Adam Mieczkowski,Grzegorz Sumara

International journal of biological sciences 19:2443-2457 PubMed37215982

2023

Increased methylation of ZNF671 suppresses tumor progression by promoting MAPK6 transcription in laryngeal carcinoma.

Applications

Unspecified application

Species

Unspecified reactive species

Wei Zhang,Ting Liu,Xinyi Li,Tianshu Li,Xiangchi Ma,Dongxu Zhao,Xudong Zhao

Cell biology international 47:1392-1405 PubMed37070787

2023

c-Jun-mediated JMJD6 restoration enhances resistance of liver cancer to radiotherapy through the IL-4-activated ERK pathway.

Applications

Unspecified application

Species

Unspecified reactive species

Yong Liu,Aixia Sui,Jirui Sun,Yifan Wu,Fuquan Liu,Yang Yang

eLife 12: PubMed37057894

2023

ERK3/MAPK6 dictates CDC42/RAC1 activity and ARP2/3-dependent actin polymerization.

Applications

Unspecified application

Species

Unspecified reactive species

Katarzyna Bogucka-Janczi,Gregory Harms,Marie-May Coissieux,Mohamed Bentires-Alj,Bernd Thiede,Krishnaraj Rajalingam

Journal of cellular physiology 239:e30938 PubMed36576983

2022

Phosphoproteomic analysis identifies supervillin as an ERK3 substrate regulating cytokinesis and cell ploidy.

Applications

Unspecified application

Species

Unspecified reactive species

Joaquim Javary,Eugénie Goupil,Mathilde Soulez,Evgeny Kanshin,Antoine Bouchard,Ole-Morten Seternes,Pierre Thibault,Jean-Claude Labbé,Sylvain Meloche

Cancers 15: PubMed36612022

2022

On the Therapeutic Potential of ERK4 in Triple-Negative Breast Cancer.

Applications

Unspecified application

Species

Unspecified reactive species

Fadia Boudghene-Stambouli,Mathilde Soulez,Natalia Ronkina,Anneke Dörrie,Alexey Kotlyarov,Ole-Morten Seternes,Matthias Gaestel,Sylvain Meloche

Neuroreport 33:742-749 PubMed36250437

2022

miR-128-3p inhibits the inflammation by targeting MAPK6 in penicillin-induced astrocytes.

Applications

Unspecified application

Species

Unspecified reactive species

Yuejiu Pang,Dingzhen Luo,Shuhua Wang

Cell death & disease 13:500 PubMed35614037

2022

Paclitaxel binds and activates C5aR1: A new potential therapeutic target for the prevention of chemotherapy-induced peripheral neuropathy and hypersensitivity reactions.

Applications

Unspecified application

Species

Unspecified reactive species

Laura Brandolini,Michele d'Angelo,Rubina Novelli,Vanessa Castelli,Cristina Giorgio,Anna Sirico,Pasquale Cocchiaro,Francesco D'Egidio,Elisabetta Benedetti,Claudia Cristiano,Antonella Bugatti,Anna Ruocco,Pier Giorgio Amendola,Carmine Talarico,Candida Manelfi,Daniela Iaconis,Andrea Beccari,Andreza U Quadros,Thiago M Cunha,Arnaldo Caruso,Roberto Russo,Annamaria Cimini,Andrea Aramini,Marcello Allegretti
View all publications

Product promise

We are committed to supporting your work with high-quality reagents, and we're here for you every step of the way. In the unlikely event that one of our products does not perform as expected, you're protected by our Product Promise.
For full details, please see our Terms & Conditions

Please note: All products are 'FOR RESEARCH USE ONLY. NOT FOR USE IN DIAGNOSTIC OR THERAPEUTIC PROCEDURES'.

For licensing inquiries, please contact partnerships@abcam.com