JavaScript is disabled in your browser. Please enable JavaScript to view this website.
AB247348

Anti-MAPK6/ERK3 antibody [EP1720Y] - BSA and Azide free

Be the first to review this product! Submit a review

|

(1 Publication)

Rabbit Recombinant Monoclonal MAPK6/ERK3 antibody. Carrier free. Suitable for IHC-P, WB and reacts with Human, Mouse, Rat samples. Cited in 1 publication.

View Alternative Names

ERK3, PRKM6, MAPK6, Mitogen-activated protein kinase 6, MAP kinase 6, MAPK 6, Extracellular signal-regulated kinase 3, MAP kinase isoform p97, ERK-3, p97-MAPK

3 Images
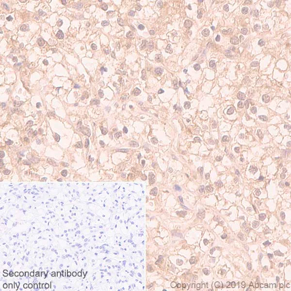
Immunohistochemistry (Formalin/PFA-fixed paraffin-embedded sections) - Anti-MAPK6/ERK3 antibody [EP1720Y] - BSA and Azide free (AB247348)
  • IHC-P

Unknown

Immunohistochemistry (Formalin/PFA-fixed paraffin-embedded sections) - Anti-MAPK6/ERK3 antibody [EP1720Y] - BSA and Azide free (AB247348)

Immunohistochemistry (Formalin/PFA-fixed paraffin-embedded sections) analysis of human kidney carcinoma tissue sections labeling MAPK6/ERK3 with Purified ab53277 at 1 : 100 dilution (13.52 μg/ml). Perform heat mediated antigen retrieval using ab93684 (Tris/EDTA buffer, pH 9.0). Purified)ImmunoHistoProbe one step HRP Polymer (ready to use) was used for detection. Negative control : PBS instead of the primary antibody. Hematoxylin was used as a counterstain.
This data was developed using the same antibody clone in a different buffer formulation containing PBS, BSA, glycerol, and sodium azide (ab53277)

Western blot - Anti-MAPK6/ERK3 antibody [EP1720Y] - BSA and Azide free (AB247348)
  • WB

Lab

Western blot - Anti-MAPK6/ERK3 antibody [EP1720Y] - BSA and Azide free (AB247348)

This data was developed using the same antibody clone in a different buffer formulation (ab53277).

Lanes 1-3 : Merged signal (red and green). Green - ab53277 observed at 90 kDa. Red - loading control ab8245 observed at 36 kDa.

ab53277 Anti-MAPK6/ERK3 antibody [EP1720Y] was shown to specifically react with 3 in wild-type HeLa cells. Loss of signal was observed when knockout cell line ab264910 (knockout cell lysate ab257526) was used. Wild-type and 3 knockout samples were subjected to SDS-PAGE. ab53277 and Anti-GAPDH antibody [6C5] - Loading Control (ab8245) were incubated at room temperature for 2.5 hours at 1 in 1000 dilution and 1 in 20000 dilution respectively. Blots were developed with Goat anti-Rabbit IgG H&L (IRDye® 800CW) preadsorbed (ab216773) and Goat anti-Mouse IgG H&L (IRDye® 680RD) preadsorbed (ab216776) secondary antibodies at 1 in 20000 dilution for 1 hour at room temperature before imaging.

All lanes:

Western blot - Anti-MAPK6/ERK3 antibody [EP1720Y] (<a href='/en-us/products/primary-antibodies/mapk6-erk3-antibody-ep1720y-ab53277'>ab53277</a>) at 1/1000 dilution

Lane 1:

Wild-type HeLa cell lysate at 20 µg

Lane 2:

MAPK6 knockout HeLa cell lysate at 20 µg

Lane 2:

Western blot - Human MAPK6 (ERK3) knockout HeLa cell line (<a href='/en-us/products/cell-lines/human-mapk6-erk3-knockout-hela-cell-line-ab264910'>ab264910</a>)

Lane 3:

2.4G2 (Rat B cell lymphoma B lymphocyte) cell lysate at 20 µg

Secondary

All lanes:

Western blot - Goat anti-Rabbit IgG H&L (IRDye® 800CW) preadsorbed (<a href='/en-us/products/secondary-antibodies/goat-rabbit-igg-h-l-irdye-800cw-preadsorbed-ab216773'>ab216773</a>) at 1/10000 dilution

Predicted band size: 83 kDa

Observed band size: 90 kDa

false

Western blot - Anti-MAPK6/ERK3 antibody [EP1720Y] - BSA and Azide free (AB247348)
  • WB

Lab

Western blot - Anti-MAPK6/ERK3 antibody [EP1720Y] - BSA and Azide free (AB247348)

This data was developed using the same antibody clone in a different buffer formulation (ab53277).

Lanes 1 - 4 : Merged signal (red and green). Green - ab53277 observed at 90 kDa. Red - loading control, ab8245 (Mouse anti-GAPDH antibody [6C5]) observed at 37kDa.

ab53277 was shown to react with MAPK6 in HAP1 wild-type cells in Western blot. Loss of signal was observed when MAPK6 knockout sample was used. HAP1 wild-type and MAPK6 knockout whole cell lysates were subjected to SDS-PAGE. Membranes were blocked in 3% Milk in TBS-T (0.1% Tween®) before incubation with ab53277 and ab8245 (Mouse anti-GAPDH antibody [6C5]) overnight at 4°C at a 1 in 1000 dilution and a 1 in 20000 dilution respectively. Blots were developed with Goat anti-Rabbit IgG H&L (IRDye® 800CW) preabsorbed (ab216773) and Goat anti-Mouse IgG H&L (IRDye® 800CW) preabsorbed (ab216772) secondary antibodies at 1 in 20000 dilution for 1 hour at room temperature before imaging.

All lanes:

Western blot - Anti-MAPK6/ERK3 antibody [EP1720Y] (<a href='/en-us/products/primary-antibodies/mapk6-erk3-antibody-ep1720y-ab53277'>ab53277</a>) at 1/1000 dilution

Lane 1:

Wild-type HAP1 whole cell lysate at 20 µg

Lane 2:

MAPK6 knockout HAP1 whole cell lysate at 20 µg

Lane 3:

A431 whole cell lysate at 20 µg

Lane 4:

MCF7 whole cell lysate at 20 µg

Predicted band size: 83 kDa

Observed band size: 90 kDa

false

  • Unconjugated

    Anti-MAPK6/ERK3 antibody [EP1720Y]

  • 660 APC

    APC Anti-MAPK6/ERK3 antibody [EP1720Y]

  • 519 Alexa Fluor® 488

    Alexa Fluor® 488 Anti-MAPK6/ERK3 antibody [EP1720Y]

  • 578 PE

    PE Anti-MAPK6/ERK3 antibody [EP1720Y]

  • 665 Alexa Fluor® 647

    Alexa Fluor® 647 Anti-MAPK6/ERK3 antibody [EP1720Y]

  • 617 Alexa Fluor® 594

    Alexa Fluor® 594 Anti-MAPK6/ERK3 antibody [EP1720Y]

  • 565 Alexa Fluor® 555

    Alexa Fluor® 555 Anti-MAPK6/ERK3 antibody [EP1720Y]

  • 775 Alexa Fluor® 750

    Alexa Fluor® 750 Anti-MAPK6/ERK3 antibody [EP1720Y]

Key facts

Host species

Rabbit

Clonality

Monoclonal

Clone number

EP1720Y

Isotype

IgG

Carrier free

Yes

Reacts with

Mouse, Rat, Human

Applications

WB, IHC-P

applications

Immunogen

The exact immunogen used to generate this antibody is proprietary information.

Specificity

The mouse and rat recommendation is based on the WB results. We do not guarantee IHC-P for mouse and rat.

Reactivity data

{ "title": "Reactivity Data", "filters": { "stats": ["", "Species", "Dilution Info", "Notes"], "tabs": { "all-applications": {"fullname" : "All Applications", "shortname": "All Applications"}, "IHCP" : {"fullname" : "Immunohistochemistry (Formalin/PFA-fixed paraffin-embedded sections)", "shortname":"IHC-P"}, "FlowCyt" : {"fullname" : "Flow Cytometry", "shortname":"Flow Cyt"}, "WB" : {"fullname" : "Western blot", "shortname":"WB"}, "ICCIF" : {"fullname" : "Immunocytochemistry/ Immunofluorescence", "shortname":"ICC/IF"} }, "product-promise": { "all": "all", "testedAndGuaranteed": "tested", "guaranteed": "expected", "predicted": "predicted", "notRecommended": "not-recommended" } }, "values": { "Human": { "IHCP-species-checked": "testedAndGuaranteed", "IHCP-species-dilution-info": "", "IHCP-species-notes": "<p></p>", "FlowCyt-species-checked": "notRecommended", "FlowCyt-species-dilution-info": "", "FlowCyt-species-notes": "<p></p>", "WB-species-checked": "testedAndGuaranteed", "WB-species-dilution-info": "", "WB-species-notes": "<p></p>", "ICCIF-species-checked": "notRecommended", "ICCIF-species-dilution-info": "", "ICCIF-species-notes": "<p></p>" }, "Mouse": { "IHCP-species-checked": "guaranteed", "IHCP-species-dilution-info": "", "IHCP-species-notes": "", "FlowCyt-species-checked": "notRecommended", "FlowCyt-species-dilution-info": "", "FlowCyt-species-notes": "<p></p>", "WB-species-checked": "testedAndGuaranteed", "WB-species-dilution-info": "", "WB-species-notes": "<p></p>", "ICCIF-species-checked": "notRecommended", "ICCIF-species-dilution-info": "", "ICCIF-species-notes": "<p></p>" }, "Rat": { "IHCP-species-checked": "guaranteed", "IHCP-species-dilution-info": "", "IHCP-species-notes": "", "FlowCyt-species-checked": "notRecommended", "FlowCyt-species-dilution-info": "", "FlowCyt-species-notes": "<p></p>", "WB-species-checked": "testedAndGuaranteed", "WB-species-dilution-info": "", "WB-species-notes": "<p></p>", "ICCIF-species-checked": "notRecommended", "ICCIF-species-dilution-info": "", "ICCIF-species-notes": "<p></p>" } } }

Product details

ab247348 is the carrier-free version of ab53277.

The mouse and rat recommendation is based on the WB results. We do not guarantee IHC-P for mouse and rat.

Patented technology
Our RabMAb® technology is a patented hybridoma-based technology for making rabbit monoclonal antibodies. For details on our patents, please refer to RabMAb® patents.

What are the advantages of a recombinant monoclonal antibody?
This product is a recombinant monoclonal antibody, which offers several advantages including:

  • - High batch-to-batch consistency and reproducibility
  • - Improved sensitivity and specificity
  • - Long-term security of supply
  • - Animal-free batch production

For more information, read more on recombinant antibodies.

Conjugation ready
Our carrier-free antibodies are typically supplied in a PBS-only formulation, purified and free of BSA, sodium azide and glycerol. This conjugation-ready format is designed for use with fluorochromes, metal isotopes, oligonucleotides, and enzymes, which makes them ideal for antibody labelling, functional and cell-based assays, flow-based assays (e.g. mass cytometry) and Multiplex Imaging applications.

Use our conjugation kits for antibody conjugates that are ready-to-use in as little as 20 minutes with 1 minute hands-on-time and 100% antibody recovery: available for fluorescent dyes, HRP, biotin and gold.

Compatibility
This product is compatible with the Maxpar® Antibody Labeling Kit from Fluidigm, without the need for antibody preparation. Maxpar® is a trademark of Fluidigm Canada Inc.

Properties and storage information

Form
Liquid
Purification technique
Affinity purification Protein A
Storage buffer
pH: 7.2 - 7.4 Constituents: PBS
Shipped at conditions
Blue Ice
Appropriate short-term storage conditions
+4°C
Appropriate long-term storage conditions
+4°C
Storage information
Do Not Freeze

Product protocols

For this product, it's our understanding that no specific protocols are required. You can visit:

Target data

Atypical MAPK protein. Phosphorylates microtubule-associated protein 2 (MAP2) and MAPKAPK5. The precise role of the complex formed with MAPKAPK5 is still unclear, but the complex follows a complex set of phosphorylation events : upon interaction with atypical MAPKAPK5, ERK3/MAPK6 is phosphorylated at Ser-189 and then mediates phosphorylation and activation of MAPKAPK5, which in turn phosphorylates ERK3/MAPK6. May promote entry in the cell cycle (By similarity).
See full target information MAPK6

Publications (1)

Recent publications for all applications. Explore the full list and refine your search

Journal of orthopaedic surgery and research 18:477 PubMed37393232

2023

CircTBX5 knockdown modulates the miR-558/MyD88 axis to alleviate IL-1β-induced inflammation, apoptosis and extracellular matrix degradation in chondrocytes via inactivating the NF-κB signaling.

Applications

Unspecified application

Species

Unspecified reactive species

Wei Wei,Hongjie Mu,Qiaoyi Cui,Peng Yu,Tong Liu,Tao Wang,Lin Sheng
View all publications

Product promise

We are committed to supporting your work with high-quality reagents, and we're here for you every step of the way. In the unlikely event that one of our products does not perform as expected, you're protected by our Product Promise.
For full details, please see our Terms & Conditions

Please note: All products are 'FOR RESEARCH USE ONLY. NOT FOR USE IN DIAGNOSTIC OR THERAPEUTIC PROCEDURES'.

For licensing inquiries, please contact partnerships@abcam.com