JavaScript is disabled in your browser. Please enable JavaScript to view this website.
AB308076

Anti-MAPRE1/EB1 antibody [5/EB1]

Be the first to review this product! Submit a review

|

(1 Publication)

Mouse Recombinant Monoclonal MAPRE1/EB1 antibody. Suitable for WB and reacts with Human, Mouse, Rat samples. Cited in 1 publication.

View Alternative Names

Microtubule-associated protein RP/EB family member 1, APC-binding protein EB1, End-binding protein 1, EB1, MAPRE1

2 Images
Western blot - Anti-MAPRE1/EB1 antibody [5/EB1] (AB308076)
  • WB

Supplier Data

Western blot - Anti-MAPRE1/EB1 antibody [5/EB1] (AB308076)

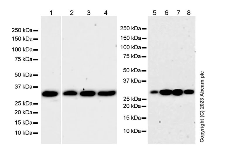
Blocking and diluting buffer and concentration : 5% NFDM/TBST. Exposure time : Lanes 1-4 : 70 seconds; Lanes 5-8 : 180 seconds.

All lanes:

Western blot - Anti-MAPRE1/EB1 antibody [5/EB1] (ab308076) at 1/1000 dilution

Lane 1:

Ramos (human Burkitt's lymphoma B lymphocyte) whole cell lysate at 20 µg

Lane 2:

T47D (human ductal breast epithelial tumor epithelial cell) whole cell lysate at 20 µg

Lane 3:

MDA-MB-231 (human breast adenocarcinoma epithelial cell) whole cell lysate at 20 µg

Lane 4:

293T (human embryonic kidney epithelial cell) whole cell lysate at 20 µg

Lane 5:

C6 (rat glial tumor glial cell) whole cell lysate at 20 µg

Lane 6:

RAW264.7 (mouse Abelson murine leukemia virus-induced tumor macrophage) whole cell lysate at 20 µg

Lane 7:

PC-12 (rat adrenal gland pheochromocytoma) whole cell lysate at 20 µg

Lane 8:

NIH/3T3 (mouse embryonic fibroblast) whole cell lysate at 20 µg

Secondary

All lanes:

Peroxidase-Conjugated Goat anti-Mouse IgG (H+L) at 1/10000 dilution

Observed band size: 29 kDa

false

Western blot - Anti-MAPRE1/EB1 antibody [5/EB1] (AB308076)
  • WB

Supplier Data

Western blot - Anti-MAPRE1/EB1 antibody [5/EB1] (AB308076)

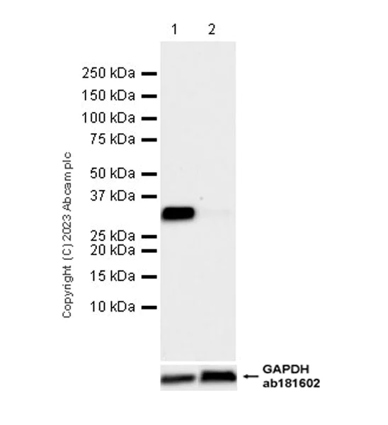
Blocking and diluting buffer and concentration : 5% NFDM/TBST. In Western blot, anti-GAPDH antibody (ab181602) loading control staining at 1/200000 dilution. Exposure time : 62 seconds.

All lanes:

Western blot - Anti-MAPRE1/EB1 antibody [5/EB1] (ab308076) at 1/1000 dilution

Lane 1:

HeLa (human cervix adenocarcinoma epithelial cell) transfected with scrambled siRNA control whole cell lysate at 20 µg

Lane 2:

HeLa transfected with siRNA specifically targeting MAPRE1/EB1 whole cell lysate at 20 µg

Secondary

All lanes:

Peroxidase-Conjugated Goat anti-Mouse IgG (H+L) at 1/10000 dilution

Observed band size: 29 kDa

false

Exposure time: 62s

  • Carrier free

    Anti-MAPRE1/EB1 antibody [5/EB1] - BSA and Azide free

Key facts

Host species

Mouse

Clonality

Monoclonal

Clone number

5/EB1

Isotype

IgG1

Carrier free

No

Reacts with

Human, Mouse, Rat

Applications

WB

applications

Immunogen

The exact immunogen used to generate this antibody is proprietary information.

Reactivity data

{ "title": "Reactivity Data", "filters": { "stats": ["", "Species", "Dilution Info", "Notes"], "tabs": { "all-applications": {"fullname" : "All Applications", "shortname": "All Applications"}, "WB" : {"fullname" : "Western blot", "shortname":"WB"}, "IHCP" : {"fullname" : "Immunohistochemistry (Formalin/PFA-fixed paraffin-embedded sections)", "shortname":"IHC-P"}, "ICCIF" : {"fullname" : "Immunocytochemistry/ Immunofluorescence", "shortname":"ICC/IF"} }, "product-promise": { "all": "all", "testedAndGuaranteed": "tested", "guaranteed": "expected", "predicted": "predicted", "notRecommended": "not-recommended" } }, "values": { "Human": { "WB-species-checked": "testedAndGuaranteed", "WB-species-dilution-info": "1/1000", "WB-species-notes": "<p></p>", "IHCP-species-checked": "notRecommended", "IHCP-species-dilution-info": "", "IHCP-species-notes": "<p></p>", "ICCIF-species-checked": "notRecommended", "ICCIF-species-dilution-info": "", "ICCIF-species-notes": "<p></p>" }, "Mouse": { "WB-species-checked": "testedAndGuaranteed", "WB-species-dilution-info": "1/1000", "WB-species-notes": "<p></p>", "IHCP-species-checked": "notRecommended", "IHCP-species-dilution-info": "", "IHCP-species-notes": "<p></p>", "ICCIF-species-checked": "notRecommended", "ICCIF-species-dilution-info": "", "ICCIF-species-notes": "<p></p>" }, "Rat": { "WB-species-checked": "testedAndGuaranteed", "WB-species-dilution-info": "1/1000", "WB-species-notes": "<p></p>", "IHCP-species-checked": "notRecommended", "IHCP-species-dilution-info": "", "IHCP-species-notes": "<p></p>", "ICCIF-species-checked": "notRecommended", "ICCIF-species-dilution-info": "", "ICCIF-species-notes": "<p></p>" } } }

Product details

What are the advantages of a recombinant monoclonal antibody?
This product is a recombinant monoclonal antibody, which offers several advantages including:

  • - High batch-to-batch consistency and reproducibility
  • - Improved sensitivity and specificity
  • - Long-term security of supply
  • - Animal-free batch production

For more information, read more on recombinant antibodies.

Want a custom formulation?
This antibody clone is manufactured by Abcam. If you require a custom buffer formulation or conjugation for your experiments, please contact orders@abcam.com

Properties and storage information

Form
Liquid
Purification technique
Affinity purification Protein A
Storage buffer
pH: 7.2 - 7.4 Preservative: 0.01% Sodium azide Constituents: PBS, 40% Glycerol (glycerin, glycerine), 0.05% BSA
Shipped at conditions
Blue Ice
Appropriate short-term storage duration
1-2 weeks
Appropriate short-term storage conditions
+4°C
Appropriate long-term storage conditions
-20°C
Aliquoting information
Upon delivery aliquot
Storage information
Avoid freeze / thaw cycle

Product protocols

For this product, it's our understanding that no specific protocols are required. You can visit:

Target data

Plus-end tracking protein (+TIP) that binds to the plus-end of microtubules and regulates the dynamics of the microtubule cytoskeleton (PubMed : 12388762, PubMed : 16109370, PubMed : 19632184, PubMed : 21646404, PubMed : 23001180, PubMed : 28726242, PubMed : 28814570, PubMed : 34608293). Recruits other +TIP proteins to microtubules by binding to a conserved Ser-X-Leu-Pro (SXLP) motif in their polypeptide chains (PubMed : 19632184, PubMed : 36592928). Promotes cytoplasmic microtubule nucleation and elongation (PubMed : 12388762, PubMed : 16109370, PubMed : 19632184, PubMed : 21646404, PubMed : 28726242, PubMed : 28814570). Involved in mitotic spindle positioning by stabilizing microtubules and promoting dynamic connection between astral microtubules and the cortex during mitotic chromosome segregation (PubMed : 12388762, PubMed : 34608293). Assists chromosome alignment in metaphase by recruiting the SKA complex to the spindle and stabilizing its interactions with microtubule bundles (K-fibers) (PubMed : 27225956, PubMed : 36592928). Also acts as a regulator of minus-end microtubule organization : interacts with the complex formed by AKAP9 and PDE4DIP, leading to recruit CAMSAP2 to the Golgi apparatus, thereby tethering non-centrosomal minus-end microtubules to the Golgi, an important step for polarized cell movement (PubMed : 28814570). Promotes elongation of CAMSAP2-decorated microtubule stretches on the minus-end of microtubules (PubMed : 28814570). Acts as a regulator of autophagosome transport via interaction with CAMSAP2 (PubMed : 28726242). Functions downstream of Rho GTPases and DIAPH1 in stable microtubule formation (By similarity). May play a role in cell migration (By similarity).
See full target information MAPRE1

Publications (1)

Recent publications for all applications. Explore the full list and refine your search

PeerJ 13:e19276 PubMed40247841

2025

Downregulation of EB1 impedes Cx43 localization and cardiac conduction after hypothermic ischemia-reperfusion in rats.

Applications

Unspecified application

Species

Unspecified reactive species

Chunlei Wen,Rongfeng Yang,Jing Yi,Ying Cao,Yuting Song,Li An,Zijun Wang,Hong Gao
View all publications

Product promise

We are committed to supporting your work with high-quality reagents, and we're here for you every step of the way. In the unlikely event that one of our products does not perform as expected, you're protected by our Product Promise.
For full details, please see our Terms & Conditions

Please note: All products are 'FOR RESEARCH USE ONLY. NOT FOR USE IN DIAGNOSTIC OR THERAPEUTIC PROCEDURES'.

For licensing inquiries, please contact partnerships@abcam.com