JavaScript is disabled in your browser. Please enable JavaScript to view this website.
AB317263

Anti-MARC1 antibody [EPR28272-93] - BSA and Azide free

  • BOND RX™ Validated
  • Recombinant
  • Advanced Validation
  • RabMAb
  • What is this?

Be the first to review this product! Submit a review

|

(0 Publication)

Rabbit Recombinant Monoclonal MARC1 antibody. Carrier free. Suitable for WB, Flow Cyt (Intra), IP, IHC-P, ICC/IF, mIHC and reacts with Recombinant full length protein - Human, Human, Mouse, Rat samples.

View Alternative Names

MARC1, MOSC1, MTARC1, Mitochondrial amidoxime-reducing component 1, mARC1, Molybdenum cofactor sulfurase C-terminal domain-containing protein 1, MOSC domain-containing protein 1, Moco sulfurase C-terminal domain-containing protein 1

20 Images
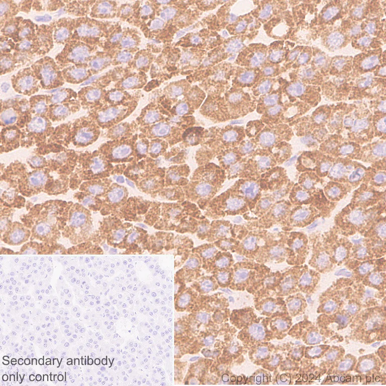
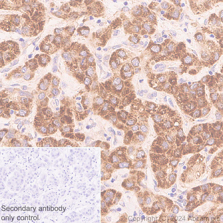
Immunohistochemistry (Formalin/PFA-fixed paraffin-embedded sections) - Anti-MARC1 antibody [EPR28272-93] - BSA and Azide free (AB317263)
  • IHC-P

Supplier Data

Immunohistochemistry (Formalin/PFA-fixed paraffin-embedded sections) - Anti-MARC1 antibody [EPR28272-93] - BSA and Azide free (AB317263)

This data was developed using ab317262, the same antibody clone in a different buffer formulation.

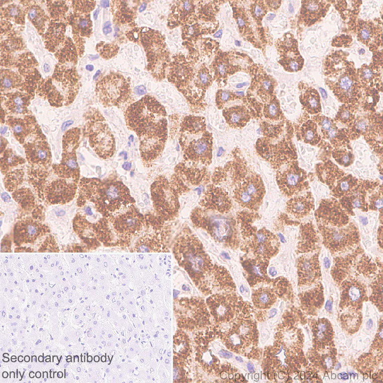
Immunohistochemical analysis of paraffin-embedded Human hepatocellular carcinoma tissue labeling MARC1 with ab317262 at 1/500 (1.006 ug/ml) dilution, followed by a ready to use LeicaDS9800 (Bond™ Polymer Refine Detection).

Positive staining on human hepatocellular carcinoma. The section was incubated with ab317262 for 30 mins at room temperature.
The immunostaining was performed on a Leica Biosystems BOND® RX instrument.

Counterstained with Hematoxylin.

Secondary antibody only control : Secondary antibody is a ready to use LeicaDS9800 (Bond™ Polymer Refine Detection).

Heat mediated antigen retrieval was performed with Tris-EDTA buffer (pH 9.0, Epitope Retrieval Solution2) for 20 mins.

Flow Cytometry (Intracellular) - Anti-MARC1 antibody [EPR28272-93] - BSA and Azide free (AB317263)
  • Flow Cyt (Intra)

Supplier Data

Flow Cytometry (Intracellular) - Anti-MARC1 antibody [EPR28272-93] - BSA and Azide free (AB317263)

This data was developed using ab317262, the same antibody clone in a different buffer formulation.

Flow cytometric analysis of 4% paraformaldehyde fixed 90% methanol permeabilized HepG2 (human hepatocellular carcinoma epithelial cell) cells labelling MARC1 with ab317262 at 1/50 dilution (1 ug)/Red compared with a Rabbit monoclonal IgG (ab172730) (Black) isotype control and an unlabelled control (cells without incubation with primary antibody and secondary antibody) (Blue).

Goat Anti-Rabbit IgG (Alexa Fluor® 488, ab150081) at 1/5000 dilution was used as the secondary antibody.

Immunocytochemistry/ Immunofluorescence - Anti-MARC1 antibody [EPR28272-93] - BSA and Azide free (AB317263)
  • ICC/IF

Supplier Data

Immunocytochemistry/ Immunofluorescence - Anti-MARC1 antibody [EPR28272-93] - BSA and Azide free (AB317263)

This data was developed using ab317262, the same antibody clone in a different buffer formulation.

Immunofluorescent analysis of 4% Paraformaldehyde-fixed, 0.1% TritonX-100 permeabilized HepG2 (human hepatocellular carcinoma epithelial cell) cells labelling MARC1 with ab317262 at 1/50 (10.06 ug/ml) dilution, followed by ab150081 Goat Anti-Rabbit IgG H&L (Alexa Fluor® 488) preadsorbed antibody at 1/1000 (2 ug/ml) dilution (Green).

Confocal image showing mitochondrial staining in HepG2 cell line (shown in green). The counterstain was observed in magenta. Nuclear DNA was labeled with DAPI (shown in blue).
Image was taken with a confocal microscope (Leica-Microsystems, TCS SP8).

ab33985 Anti-COX IV mouse monoclonal antibody - Mitochondrial Marker was used to counterstain at 1/1000 (1ug/ml) dilution (Magenta). The Nuclear counterstain was DAPI (Blue).

Secondary antibody only control : Secondary antibody is ab150081 Goat Anti-Rabbit IgG H&L (Alexa Fluor® 488) preadsorbed at 1/1000 (2 ug/ml) dilution.

Multiplex immunohistochemistry - Anti-MARC1 antibody [EPR28272-93] - BSA and Azide free (AB317263)
  • mIHC

Supplier Data

Multiplex immunohistochemistry - Anti-MARC1 antibody [EPR28272-93] - BSA and Azide free (AB317263)

This data was developed using ab317262, the same antibody clone in a different buffer formulation.

Multiplex immunohistochemistry analysis of formalin/PFA-fixed paraffin-embedded human colon tissue staining MARC1 with ab317262 at a 1 : 1000 (0.503 ug/ml) dilution, ab202554 anti-COX IV used at 1 : 500 (0.23 ug/ml) dilution.

Panel A : merged staining of anti-MARC1 (green; Opal™520), anti-COX IV (magenta; Opal™570) on human colon.
Panel B : anti-MARC1 staining on human colon.
Panel C : anti-COX IV staining on human colon.
Panel D : nuclear DNA was labeled with DAPI (shown in blue).
Co-staining of MARC1 and COX IV (mitochondrial marker) can be observed.
The section was incubated in two rounds of staining : in the order of ab317262, ab202554 for 30 mins at room temperature. Each round was followed by a separate fluorescent tyramide signal amplification system.

The immunostaining was performed on a Leica Biosystems BOND® RX instrument with an Opal™ 4-color kit. Image acquisition was performed with Leica SP8 confocal microscope.

Nuclear counter stain with DAPI.

Heat mediated antigen retrieval with Tris-EDTA buffer (pH 9.0, epitope retrieval solution2) for 20 mins.

Multiplex immunohistochemistry - Anti-MARC1 antibody [EPR28272-93] - BSA and Azide free (AB317263)
  • mIHC

Supplier Data

Multiplex immunohistochemistry - Anti-MARC1 antibody [EPR28272-93] - BSA and Azide free (AB317263)

This data was developed using ab317262, the same antibody clone in a different buffer formulation.

Multiplex immunohistochemistry analysis of formalin/PFA-fixed paraffin-embedded human liver tissue staining MARC1 with ab317262 at a 1 : 1000 (0.503 ug/ml) dilution, ab202554 anti-COX IV used at 1 : 500 (0.23 ug/ml) dilution.

Panel A : merged staining of anti-MARC1 (green; Opal™520), anti-COX IV (magenta; Opal™570) on human liver.
Panel B : anti-MARC1 staining in hepatocyte of human liver.
Panel C : anti-COX IV staining in hepatocyte of human liver.
Panel D : nuclear DNA was labeled with DAPI (shown in blue).
Co-staining of MARC1 and COX IV (mitochondrial marker) can be observed.
The section was incubated in two rounds of staining : in the order of ab317262, ab202554 for 30 mins at room temperature. Each round was followed by a separate fluorescent tyramide signal amplification system.

The immunostaining was performed on a Leica Biosystems BOND® RX instrument with an Opal™ 4-color kit. Image acquisition was performed with Leica SP8 confocal microscope.

Nuclear counter stain with DAPI.

Heat mediated antigen retrieval with Tris-EDTA buffer (pH 9.0, epitope retrieval solution2) for 20 mins.

Multiplex immunohistochemistry - Anti-MARC1 antibody [EPR28272-93] - BSA and Azide free (AB317263)
  • mIHC

Supplier Data

Multiplex immunohistochemistry - Anti-MARC1 antibody [EPR28272-93] - BSA and Azide free (AB317263)

This data was developed using ab317262, the same antibody clone in a different buffer formulation.

Multiplex immunohistochemistry analysis of formalin/PFA-fixed paraffin-embedded human kidney tissue staining MARC1 with ab317262 at a 1 : 1000 (0.503 ug/ml) dilution, ab202554 anti-COX IV used at 1 : 500 (0.23 ug/ml) dilution.

Panel A : merged staining of anti-MARC1 (green; Opal™520), anti-COX IV (magenta; Opal™570) on human kidney.
Panel B : anti-MARC1 staining on several kidney tubules of human kidney.
Panel C : anti-COX IV staining on kidney tubules of human kidney.
Panel D : nuclear DNA was labeled with DAPI (shown in blue).
Co-staining of MARC1 and COX IV (mitochondrial marker) can be observed.
The section was incubated in two rounds of staining : in the order of ab317262, ab202554 for 30 mins at room temperature. Each round was followed by a separate fluorescent tyramide signal amplification system.

The immunostaining was performed on a Leica Biosystems BOND® RX instrument with an Opal™ 4-color kit. Image acquisition was performed with Leica SP8 confocal microscope.

Nuclear counter stain with DAPI.

Heat mediated antigen retrieval with Tris-EDTA buffer (pH 9.0, epitope retrieval solution2) for 20 mins.

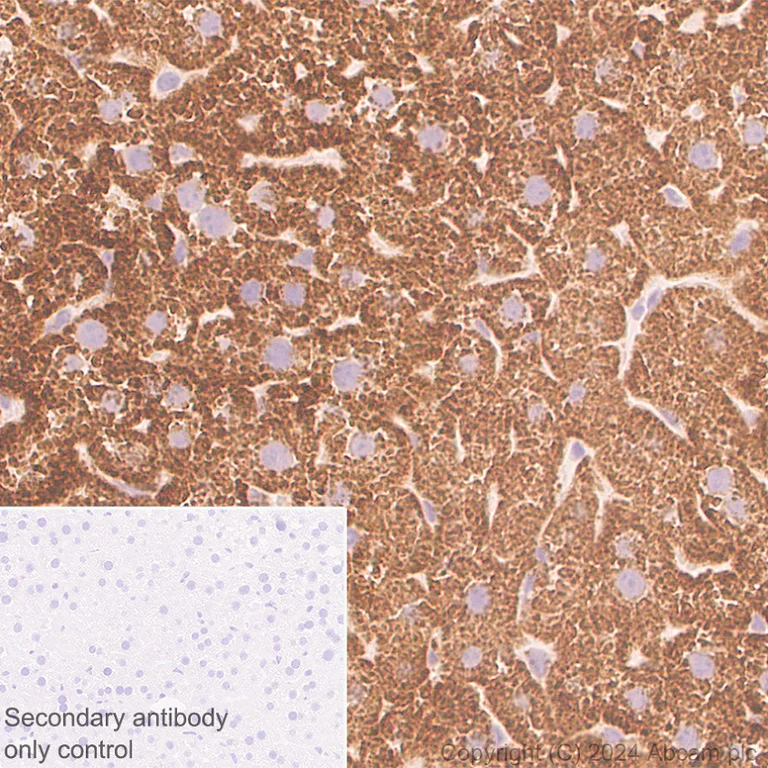
Immunohistochemistry (Formalin/PFA-fixed paraffin-embedded sections) - Anti-MARC1 antibody [EPR28272-93] - BSA and Azide free (AB317263)
  • IHC-P

Supplier Data

Immunohistochemistry (Formalin/PFA-fixed paraffin-embedded sections) - Anti-MARC1 antibody [EPR28272-93] - BSA and Azide free (AB317263)

This data was developed using ab317262, the same antibody clone in a different buffer formulation.

Immunohistochemical analysis of paraffin-embedded Human liver tissue labeling MARC1 with ab317262 at 1/500 (1.006 ug/ml) dilution, followed by a ready to use LeicaDS9800 (Bond™ Polymer Refine Detection).

Positive staining on human liver. The section was incubated with ab317262 for 30 mins at room temperature.
The immunostaining was performed on a Leica Biosystems BOND® RX instrument.

Counterstained with Hematoxylin.

Secondary antibody only control : Secondary antibody is a ready to use LeicaDS9800 (Bond™ Polymer Refine Detection).

Heat mediated antigen retrieval was performed with Tris-EDTA buffer (pH 9.0, Epitope Retrieval Solution2) for 20 mins.

Immunohistochemistry (Formalin/PFA-fixed paraffin-embedded sections) - Anti-MARC1 antibody [EPR28272-93] - BSA and Azide free (AB317263)
  • IHC-P

Supplier Data

Immunohistochemistry (Formalin/PFA-fixed paraffin-embedded sections) - Anti-MARC1 antibody [EPR28272-93] - BSA and Azide free (AB317263)

This data was developed using ab317262, the same antibody clone in a different buffer formulation.

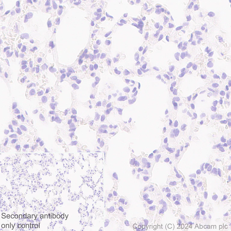
Immunohistochemical analysis of paraffin-embedded Human lung tissue labeling MARC1 with ab317262 at 1/500 (1.006 ug/ml) dilution, followed by a ready to use LeicaDS9800 (Bond™ Polymer Refine Detection).

Low expression tissue : weak staining on human lung. The section was incubated with ab317262 for 30 mins at room temperature.
The immunostaining was performed on a Leica Biosystems BOND® RX instrument.

Counterstained with Hematoxylin.

Secondary antibody only control : Secondary antibody is a ready to use LeicaDS9800 (Bond™ Polymer Refine Detection).

Heat mediated antigen retrieval was performed with Tris-EDTA buffer (pH 9.0, Epitope Retrieval Solution2) for 20 mins.

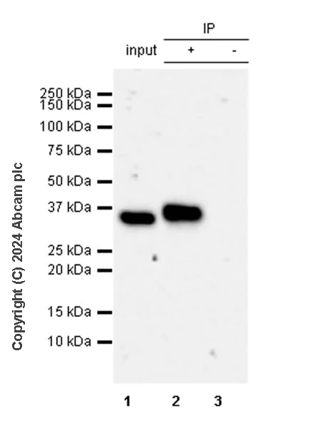
Immunoprecipitation - Anti-MARC1 antibody [EPR28272-93] - BSA and Azide free (AB317263)
  • IP

Supplier Data

Immunoprecipitation - Anti-MARC1 antibody [EPR28272-93] - BSA and Azide free (AB317263)

This data was developed using ab317262, the same antibody clone in a different buffer formulation.

MARC1 was immunoprecipitated from 0.35 mg HepG2 (human hepatocellular carcinoma epithelial cell) whole cell lysate with ab317262 at 1/30 dilution (2ug in 0.35mg lysates). Western blot was performed on the immunoprecipitate using ab317262 at 1/1000 dilution. VeriBlot for IP secondary antibody(HRP)(ab131366) was used at 1/5000 dilution.

Lane 1 : HepG2 (human hepatocellular carcinoma epithelial cell) whole cell lysate
Lane 2 : ab317262 IP in HepG2 (human hepatocellular carcinoma epithelial cell) whole cell lysate
Lane 3 : Rabbit monoclonal IgG (ab172730) instead of ab317262 in HepG2 whole cell lysate.

All lanes:

Immunoprecipitation - Anti-MARC1 antibody [EPR28272-93] (<a href='/en-us/products/primary-antibodies/marc1-antibody-epr28272-93-ab317262'>ab317262</a>) at 1/30 dilution

All lanes:

HepG2 (human hepatocellular carcinoma epithelial cell) whole cell lysate

Secondary

All lanes:

Immunoprecipitation - VeriBlot for IP Detection Reagent (HRP) (<a href='/en-us/products/reagents/veriblot-for-ip-detection-reagent-hrp-ab131366'>ab131366</a>) at 1/5000 dilution

false

Exposure time: 119s

Immunohistochemistry (Formalin/PFA-fixed paraffin-embedded sections) - Anti-MARC1 antibody [EPR28272-93] - BSA and Azide free (AB317263)
  • IHC-P

Supplier Data

Immunohistochemistry (Formalin/PFA-fixed paraffin-embedded sections) - Anti-MARC1 antibody [EPR28272-93] - BSA and Azide free (AB317263)

This data was developed using ab317262, the same antibody clone in a different buffer formulation.

Immunohistochemical analysis of paraffin-embedded Mouse cardiac muscle tissue labeling MARC1 with ab317262 at 1/1000 (0.503 ug/ml) dilution, followed by a ready to use LeicaDS9800 (Bond™ Polymer Refine Detection).

Low expression tissue : no staining on mouse cardiac muscle (PMID : 20861021). The section was incubated with ab317262 for 30 mins at room temperature.
The immunostaining was performed on a Leica Biosystems BOND® RX instrument.

Counterstained with Hematoxylin.

Secondary antibody only control : Secondary antibody is a ready to use LeicaDS9800 (Bond™ Polymer Refine Detection).

Heat mediated antigen retrieval was performed with Tris-EDTA buffer (pH 9.0, Epitope Retrieval Solution2) for 20 mins.

Immunohistochemistry (Formalin/PFA-fixed paraffin-embedded sections) - Anti-MARC1 antibody [EPR28272-93] - BSA and Azide free (AB317263)
  • IHC-P

Supplier Data

Immunohistochemistry (Formalin/PFA-fixed paraffin-embedded sections) - Anti-MARC1 antibody [EPR28272-93] - BSA and Azide free (AB317263)

This data was developed using ab317262, the same antibody clone in a different buffer formulation.

Immunohistochemical analysis of paraffin-embedded Mouse liver tissue labeling MARC1 with ab317262 at 1/1000 (0.503 ug/ml) dilution, followed by a ready to use LeicaDS9800 (Bond™ Polymer Refine Detection).

Positive staining on mouse liver (PMID : 20861021). The section was incubated with ab317262 for 30 mins at room temperature.
The immunostaining was performed on a Leica Biosystems BOND® RX instrument.

Counterstained with Hematoxylin.

Secondary antibody only control : Secondary antibody is a ready to use LeicaDS9800 (Bond™ Polymer Refine Detection).

Heat mediated antigen retrieval was performed with Tris-EDTA buffer (pH 9.0, Epitope Retrieval Solution2) for 20 mins.

Immunohistochemistry (Formalin/PFA-fixed paraffin-embedded sections) - Anti-MARC1 antibody [EPR28272-93] - BSA and Azide free (AB317263)
  • IHC-P

Supplier Data

Immunohistochemistry (Formalin/PFA-fixed paraffin-embedded sections) - Anti-MARC1 antibody [EPR28272-93] - BSA and Azide free (AB317263)

This data was developed using ab317262, the same antibody clone in a different buffer formulation.

Immunohistochemical analysis of paraffin-embedded Rat liver tissue labeling MARC1 with ab317262 at 1/1000 (0.503 ug/ml) dilution, followed by a ready to use LeicaDS9800 (Bond™ Polymer Refine Detection).

Positive staining on rat liver. The section was incubated with ab317262 for 30 mins at room temperature.
The immunostaining was performed on a Leica Biosystems BOND® RX instrument.

Counterstained with Hematoxylin.

Secondary antibody only control : Secondary antibody is a ready to use LeicaDS9800 (Bond™ Polymer Refine Detection).

Heat mediated antigen retrieval was performed with Tris-EDTA buffer (pH 9.0, Epitope Retrieval Solution2) for 20 mins.

Immunohistochemistry (Formalin/PFA-fixed paraffin-embedded sections) - Anti-MARC1 antibody [EPR28272-93] - BSA and Azide free (AB317263)
  • IHC-P

Supplier Data

Immunohistochemistry (Formalin/PFA-fixed paraffin-embedded sections) - Anti-MARC1 antibody [EPR28272-93] - BSA and Azide free (AB317263)

This data was developed using ab317262, the same antibody clone in a different buffer formulation.

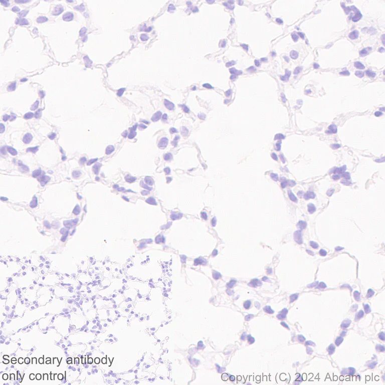
Immunohistochemical analysis of paraffin-embedded Rat lung tissue labeling MARC1 with ab317262 at 1/1000 (0.503 ug/ml) dilution, followed by a ready to use LeicaDS9800 (Bond™ Polymer Refine Detection).

Low expression tissue : no staining on rat lung. The section was incubated with ab317262 for 30 mins at room temperature.
The immunostaining was performed on a Leica Biosystems BOND® RX instrument.

Counterstained with Hematoxylin.

Secondary antibody only control : Secondary antibody is a ready to use LeicaDS9800 (Bond™ Polymer Refine Detection).

Heat mediated antigen retrieval was performed with Tris-EDTA buffer (pH 9.0, Epitope Retrieval Solution2) for 20 mins.

Immunohistochemistry (Formalin/PFA-fixed paraffin-embedded sections) - Anti-MARC1 antibody [EPR28272-93] - BSA and Azide free (AB317263)
  • IHC-P

Supplier Data

Immunohistochemistry (Formalin/PFA-fixed paraffin-embedded sections) - Anti-MARC1 antibody [EPR28272-93] - BSA and Azide free (AB317263)

This data was developed using ab317262, the same antibody clone in a different buffer formulation.

Immunohistochemical analysis of paraffin-embedded Mouse liver cancer tissue labeling MARC1 with ab317262 at 1/1000 (0.503 ug/ml) dilution, followed by a ready to use LeicaDS9800 (Bond™ Polymer Refine Detection).

Positive staining on mouse liver cancer. The section was incubated with ab317262 for 30 mins at room temperature.
The immunostaining was performed on a Leica Biosystems BOND® RX instrument.

Counterstained with Hematoxylin.

Secondary antibody only control : Secondary antibody is a ready to use LeicaDS9800 (Bond™ Polymer Refine Detection).

Heat mediated antigen retrieval was performed with Tris-EDTA buffer (pH 9.0, Epitope Retrieval Solution2) for 20 mins.

Immunohistochemistry (Formalin/PFA-fixed paraffin-embedded sections) - Anti-MARC1 antibody [EPR28272-93] - BSA and Azide free (AB317263)
  • IHC-P

Supplier Data

Immunohistochemistry (Formalin/PFA-fixed paraffin-embedded sections) - Anti-MARC1 antibody [EPR28272-93] - BSA and Azide free (AB317263)

This data was developed using ab317262, the same antibody clone in a different buffer formulation.

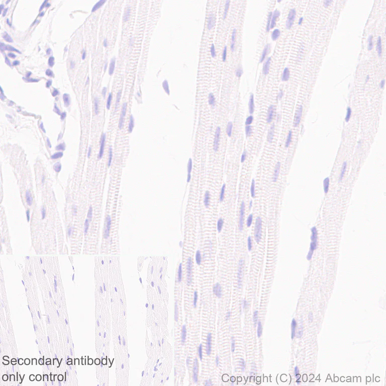
Immunohistochemical analysis of paraffin-embedded Rat cardiac muscle tissue labeling MARC1 with ab317262 at 1/1000 (0.503 ug/ml) dilution, followed by a ready to use LeicaDS9800 (Bond™ Polymer Refine Detection).

Low expression tissue : no staining on rat cardiac muscle. The section was incubated with ab317262 for 30 mins at room temperature.
The immunostaining was performed on a Leica Biosystems BOND® RX instrument.

Counterstained with Hematoxylin.

Secondary antibody only control : Secondary antibody is a ready to use LeicaDS9800 (Bond™ Polymer Refine Detection).

Heat mediated antigen retrieval was performed with Tris-EDTA buffer (pH 9.0, Epitope Retrieval Solution2) for 20 mins.

Immunohistochemistry (Formalin/PFA-fixed paraffin-embedded sections) - Anti-MARC1 antibody [EPR28272-93] - BSA and Azide free (AB317263)
  • IHC-P

Supplier Data

Immunohistochemistry (Formalin/PFA-fixed paraffin-embedded sections) - Anti-MARC1 antibody [EPR28272-93] - BSA and Azide free (AB317263)

This data was developed using ab317262, the same antibody clone in a different buffer formulation.

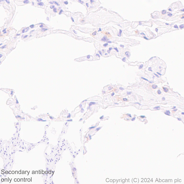
Immunohistochemical analysis of paraffin-embedded Mouse lung tissue labeling MARC1 with ab317262 at 1/1000 (0.503 ug/ml) dilution, followed by a ready to use LeicaDS9800 (Bond™ Polymer Refine Detection).

Low expression tissue : no staining on mouse lung (PMID : 20861021). The section was incubated with ab317262 for 30 mins at room temperature. The immunostaining was performed on a Leica Biosystems BOND® RX instrument.

Counterstained with Hematoxylin.

Secondary antibody only control : Secondary antibody is a ready to use LeicaDS9800 (Bond™ Polymer Refine Detection).

Heat mediated antigen retrieval was performed with Tris-EDTA buffer (pH 9.0, Epitope Retrieval Solution2) for 20 mins.

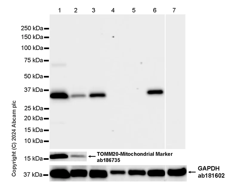
Western blot - Anti-MARC1 antibody [EPR28272-93] - BSA and Azide free (AB317263)
  • WB

Supplier Data

Western blot - Anti-MARC1 antibody [EPR28272-93] - BSA and Azide free (AB317263)

This data was developed using ab317262, the same antibody clone in a different buffer formulation.

Low expression : lung, intestine (PMID : 20861021).

The expression profile/ molecular weight observed is consistent with what has been described in the literature (PMID : 20861021).

In Western blot, Anti-GAPDH antibody [EPR16891] - Loading Control (ab181602) staining at 1/200000 dilution.

In Western blot, Anti-TOMM20 antibody [EPR15581-54] - Mitochondrial Marker (ab186735) staining at 1/2000 dilution.

All lanes:

Western blot - Anti-MARC1 antibody [EPR28272-93] (<a href='/en-us/products/primary-antibodies/marc1-antibody-epr28272-93-ab317262'>ab317262</a>) at 1/1000 dilution

Lane 1:

Human liver mitochondria fraction at 20 µg

Lane 2:

Human liver non-mitochondrial fraction at 20 µg

Lane 3:

Human liver tissue lysate at 20 µg

Lane 4:

Human lung tissue lysate at 20 µg

Lane 5:

Human small intestine tissue lysate at 20 µg

Secondary

All lanes:

Western blot - Goat Anti-Rabbit IgG H&L (HRP) (<a href='/en-us/products/secondary-antibodies/goat-rabbit-igg-h-l-hrp-ab97051'>ab97051</a>) at 1/100000 dilution

Observed band size: 36 kDa,16 kDa

false

Exposure time: 3s

Western blot - Anti-MARC1 antibody [EPR28272-93] - BSA and Azide free (AB317263)
  • WB

Supplier Data

Western blot - Anti-MARC1 antibody [EPR28272-93] - BSA and Azide free (AB317263)

This data was developed using ab317262, the same antibody clone in a different buffer formulation.

Exposure time : Lane 1 : 26 seconds; Lane 2 : 180 seconds

All lanes:

Western blot - Anti-MARC1 antibody [EPR28272-93] (<a href='/en-us/products/primary-antibodies/marc1-antibody-epr28272-93-ab317262'>ab317262</a>) at 1/1000 dilution

Lane 1:

HepG2 (human hepatocellar carcinoma epithelial cell) whole cell lysate at 20 µg

Lane 2:

HEK-293 (human embryonic kidney epithelial cell) whole cell lysate at 20 µg

Secondary

All lanes:

Western blot - Goat Anti-Rabbit IgG H&L (HRP) (<a href='/en-us/products/secondary-antibodies/goat-rabbit-igg-h-l-hrp-ab97051'>ab97051</a>) at 1/100000 dilution

Observed band size: 36 kDa

false

Western blot - Anti-MARC1 antibody [EPR28272-93] - BSA and Azide free (AB317263)
  • WB

Supplier Data

Western blot - Anti-MARC1 antibody [EPR28272-93] - BSA and Azide free (AB317263)

This data was developed using ab317262, the same antibody clone in a different buffer formulation.

Low expression : lung, heart (PMID : 20861021).

The expression profile/ molecular weight observed is consistent with what has been described in the literature (PMID : 20861021).

In Western blot, Anti-GAPDH antibody [EPR16891] - Loading Control (ab181602) staining at 1/200000 dilution.

In Western blot, Anti-TOMM20 antibody [EPR15581-54] - Mitochondrial Marker (ab186735) staining at 1/2000 dilution.

All lanes:

Western blot - Anti-MARC1 antibody [EPR28272-93] (<a href='/en-us/products/primary-antibodies/marc1-antibody-epr28272-93-ab317262'>ab317262</a>) at 1/1000 dilution

Lane 1:

Mouse liver mitochondria fraction at 20 µg

Lane 2:

Mouse liver non-mitochondrial fraction at 20 µg

Lane 3:

Mouse liver tissue lysate at 20 µg

Lane 4:

Mouse lung tissue lysate at 20 µg

Lane 5:

Mouse heart tissue lysate at 20 µg

Lane 6:

Rat liver tissue lysate at 20 µg

Lane 7:

Rat heart tissue lysate at 20 µg

Secondary

All lanes:

Western blot - Goat Anti-Rabbit IgG H&L (HRP) (<a href='/en-us/products/secondary-antibodies/goat-rabbit-igg-h-l-hrp-ab97051'>ab97051</a>) at 1/100000 dilution

Observed band size: 36 kDa,16 kDa

false

Exposure time: 15s

Western blot - Anti-MARC1 antibody [EPR28272-93] - BSA and Azide free (AB317263)
  • WB

Supplier Data

Western blot - Anti-MARC1 antibody [EPR28272-93] - BSA and Azide free (AB317263)

This data was developed using ab317262, the same antibody clone in a different buffer formulation.

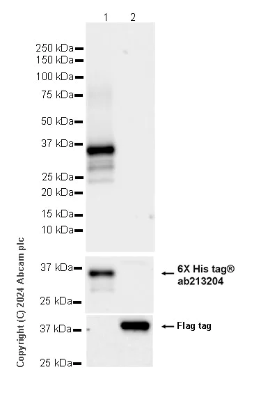
This antibody does not cross-react with human MARC2.

In Western blot, Anti-6X His tag® antibody [EPR20547] - ChIP Grade (ab213204) staining at 1/5000 dilution.

In Western blot, Anti-Flag antibody (1 : 5000) staining at 1/5000 dilution.

All lanes:

Western blot - Anti-MARC1 antibody [EPR28272-93] (<a href='/en-us/products/primary-antibodies/marc1-antibody-epr28272-93-ab317262'>ab317262</a>) at 1/1000 dilution

Lane 1:

His-tagged human MARC1 fl length recombinant protein at 10 ng

Lane 2:

Flag-tagged human MARC2 fl length recombinant protein at 10 ng

Secondary

All lanes:

Western blot - Goat Anti-Rabbit IgG H&L (HRP) (<a href='/en-us/products/secondary-antibodies/goat-rabbit-igg-h-l-hrp-ab97051'>ab97051</a>) at 1/100000 dilution

Observed band size: 36 kDa

false

Exposure time: 15s

Key facts

Host species

Rabbit

Clonality

Monoclonal

Clone number

EPR28272-93

Isotype

IgG

Carrier free

Yes

Reacts with

Human, Mouse, Rat

Applications

WB, Flow Cyt (Intra), IHC-P, mIHC, ICC/IF, IP

applications

Immunogen

The exact immunogen used to generate this antibody is proprietary information.

Reactivity data

{ "title": "Reactivity Data", "filters": { "stats": ["", "Species", "Dilution Info", "Notes"], "tabs": { "all-applications": {"fullname" : "All Applications", "shortname": "All Applications"}, "WB" : {"fullname" : "Western blot", "shortname":"WB"}, "FlowCytIntra" : {"fullname" : "Flow Cytometry (Intracellular)", "shortname":"Flow Cyt (Intra)"}, "IP" : {"fullname" : "Immunoprecipitation", "shortname":"IP"}, "IHCP" : {"fullname" : "Immunohistochemistry (Formalin/PFA-fixed paraffin-embedded sections)", "shortname":"IHC-P"}, "ICCIF" : {"fullname" : "Immunocytochemistry/ Immunofluorescence", "shortname":"ICC/IF"}, "mIHC" : {"fullname" : "Multiplex immunohistochemistry", "shortname":"mIHC"} }, "product-promise": { "all": "all", "testedAndGuaranteed": "tested", "guaranteed": "expected", "predicted": "predicted", "notRecommended": "not-recommended" } }, "values": { "Human": { "WB-species-checked": "testedAndGuaranteed", "WB-species-dilution-info": "", "WB-species-notes": "<p></p>", "FlowCytIntra-species-checked": "testedAndGuaranteed", "FlowCytIntra-species-dilution-info": "", "FlowCytIntra-species-notes": "<p></p>", "IP-species-checked": "testedAndGuaranteed", "IP-species-dilution-info": "", "IP-species-notes": "<p></p>", "IHCP-species-checked": "testedAndGuaranteed", "IHCP-species-dilution-info": "", "IHCP-species-notes": "<p></p>", "ICCIF-species-checked": "testedAndGuaranteed", "ICCIF-species-dilution-info": "", "ICCIF-species-notes": "<p></p>", "mIHC-species-checked": "testedAndGuaranteed", "mIHC-species-dilution-info": "", "mIHC-species-notes": "<p></p>" }, "Mouse": { "WB-species-checked": "testedAndGuaranteed", "WB-species-dilution-info": "", "WB-species-notes": "<p></p>", "FlowCytIntra-species-checked": "guaranteed", "FlowCytIntra-species-dilution-info": "", "FlowCytIntra-species-notes": "", "IP-species-checked": "guaranteed", "IP-species-dilution-info": "", "IP-species-notes": "", "IHCP-species-checked": "testedAndGuaranteed", "IHCP-species-dilution-info": "", "IHCP-species-notes": "<p></p>", "ICCIF-species-checked": "guaranteed", "ICCIF-species-dilution-info": "", "ICCIF-species-notes": "", "mIHC-species-checked": "guaranteed", "mIHC-species-dilution-info": "", "mIHC-species-notes": "" }, "Rat": { "WB-species-checked": "testedAndGuaranteed", "WB-species-dilution-info": "", "WB-species-notes": "<p></p>", "FlowCytIntra-species-checked": "guaranteed", "FlowCytIntra-species-dilution-info": "", "FlowCytIntra-species-notes": "", "IP-species-checked": "guaranteed", "IP-species-dilution-info": "", "IP-species-notes": "", "IHCP-species-checked": "testedAndGuaranteed", "IHCP-species-dilution-info": "", "IHCP-species-notes": "<p></p>", "ICCIF-species-checked": "guaranteed", "ICCIF-species-dilution-info": "", "ICCIF-species-notes": "", "mIHC-species-checked": "guaranteed", "mIHC-species-dilution-info": "", "mIHC-species-notes": "" }, "Recombinant full length protein - Human": { "WB-species-checked": "testedAndGuaranteed", "WB-species-dilution-info": "", "WB-species-notes": "<p></p>", "FlowCytIntra-species-checked": "notRecommended", "FlowCytIntra-species-dilution-info": "", "FlowCytIntra-species-notes": "", "IP-species-checked": "notRecommended", "IP-species-dilution-info": "", "IP-species-notes": "", "IHCP-species-checked": "notRecommended", "IHCP-species-dilution-info": "", "IHCP-species-notes": "", "ICCIF-species-checked": "notRecommended", "ICCIF-species-dilution-info": "", "ICCIF-species-notes": "", "mIHC-species-checked": "notRecommended", "mIHC-species-dilution-info": "", "mIHC-species-notes": "" } } }

Product details

ab317263 is the carrirer-free version of ab317262.

Patented technology
Our RabMAb® technology is a patented hybridoma-based technology for making rabbit monoclonal antibodies. For details on our patents, please refer to RabMAb® patents.

What are the advantages of a recombinant monoclonal antibody?
This product is a recombinant monoclonal antibody, which offers several advantages including:

  • - High batch-to-batch consistency and reproducibility
  • - Improved sensitivity and specificity
  • - Long-term security of supply
  • - Animal-free batch production

For more information, read more on recombinant antibodies.

Conjugation ready
Our carrier-free antibodies are typically supplied in a PBS-only formulation, purified and free of BSA, sodium azide and glycerol. This conjugation-ready format is designed for use with fluorochromes, metal isotopes, oligonucleotides, and enzymes, which makes them ideal for antibody labelling, functional and cell-based assays, flow-based assays (e.g. mass cytometry) and Multiplex Imaging applications.

Use our conjugation kits for antibody conjugates that are ready-to-use in as little as 20 minutes with 1 minute hands-on-time and 100% antibody recovery: available for fluorescent dyes, HRP, biotin and gold.

Compatibility
This product is compatible with the Maxpar® Antibody Labeling Kit from Fluidigm, without the need for antibody preparation. Maxpar® is a trademark of Fluidigm Canada Inc.

Properties and storage information

Form
Liquid
Purification technique
Affinity purification Protein A
Storage buffer
pH: 7.2 - 7.4 Constituents: PBS
Shipped at conditions
Blue Ice
Appropriate short-term storage conditions
+4°C
Appropriate long-term storage conditions
+4°C

Product protocols

For this product, it's our understanding that no specific protocols are required. You can visit:

Target data

Catalyzes the reduction of N-oxygenated molecules, acting as a counterpart of cytochrome P450 and flavin-containing monooxygenases in metabolic cycles (PubMed : 19053771, PubMed : 21029045, PubMed : 30397129). As a component of prodrug-converting system, reduces a multitude of N-hydroxylated prodrugs particularly amidoximes, leading to increased drug bioavailability (PubMed : 19053771). May be involved in mitochondrial N(omega)-hydroxy-L-arginine (NOHA) reduction, regulating endogenous nitric oxide levels and biosynthesis (PubMed : 21029045). Postulated to cleave the N-OH bond of N-hydroxylated substrates in concert with electron transfer from NADH to cytochrome b5 reductase then to cytochrome b5, the ultimate electron donor that primes the active site for substrate reduction (PubMed : 19053771, PubMed : 21029045).
See full target information MTARC1

Product promise

We are committed to supporting your work with high-quality reagents, and we're here for you every step of the way. In the unlikely event that one of our products does not perform as expected, you're protected by our Product Promise.
For full details, please see our Terms & Conditions

Please note: All products are 'FOR RESEARCH USE ONLY. NOT FOR USE IN DIAGNOSTIC OR THERAPEUTIC PROCEDURES'.

For licensing inquiries, please contact partnerships@abcam.com