JavaScript is disabled in your browser. Please enable JavaScript to view this website.
AB315025

Anti-MARCKS antibody [EPR28261-90]

  • BOND RX™ Validated
  • 20ul selling size
  • RabMAb
  • Recombinant
  • What is this?

Be the first to review this product! Submit a review

|

(0 Publication)

Rabbit Recombinant Monoclonal MARCKS antibody. Suitable for WB, IHC-P, ICC/IF, Flow Cyt (Intra) and reacts with Mouse, Rat samples.

View Alternative Names

Macs, Marcks, Myristoylated alanine-rich C-kinase substrate, MARCKS

9 Images
Flow Cytometry (Intracellular) - Anti-MARCKS antibody [EPR28261-90] (AB315025)
  • Flow Cyt (Intra)

Supplier Data

Flow Cytometry (Intracellular) - Anti-MARCKS antibody [EPR28261-90] (AB315025)

Flow cytometric analysis of 4% paraformaldehyde fixed 90% methanol permeabilized NIH/3T3 (mouse embryonic fibroblast) cells labelling MARCKS with ab315025 at 1/500 dilution (0.1 ug)/Red compared with a Rabbit monoclonal IgG (ab172730) (Black) isotype control and an unlabelled control (cells without incubation with primary antibody and secondary antibody) (Blue). A Goat Anti-Rabbit IgG (Alexa Fluor® 488, ab150081) at 1/5000 dilution was used as the secondary antibody.

Immunohistochemistry (Formalin/PFA-fixed paraffin-embedded sections) - Anti-MARCKS antibody [EPR28261-90] (AB315025)
  • IHC-P

Supplier Data

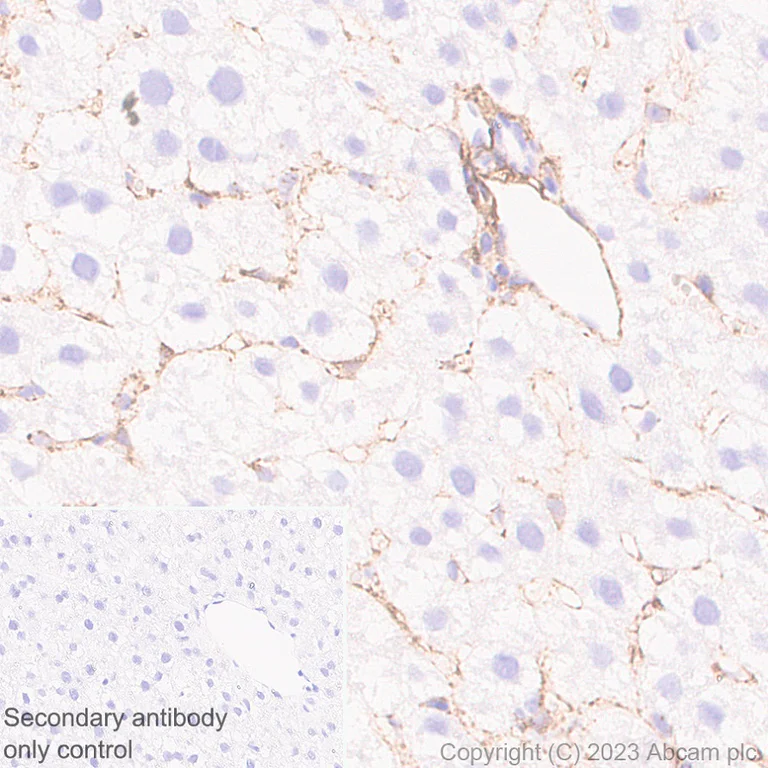
Immunohistochemistry (Formalin/PFA-fixed paraffin-embedded sections) - Anti-MARCKS antibody [EPR28261-90] (AB315025)

Immunohistochemical analysis of paraffin-embedded Mouse liver tissue labeling MARCKS with ab315025 at 1/500 (1.038 ug/ml) followed by a ready to use LeicaDS9800 (Bond™ Polymer Refine Detection). Low expression : weak staining on mouse hepatic sinusoidal endothelial cell. The section was incubated with ab315025 for 30 mins at room temperature. The immunostaining was performed on a Leica Biosystems BOND® RX instrument. Counterstained with Hematoxylin.

Secondary antibody only control : Secondary antibody is a ready to use LeicaDS9800 (Bond™ Polymer Refine Detection).

Heat mediated antigen retrieval was performed with Tris-EDTA buffer (pH 9.0, Epitope Retrieval Solution2) for 20 mins.

Immunohistochemistry (Formalin/PFA-fixed paraffin-embedded sections) - Anti-MARCKS antibody [EPR28261-90] (AB315025)
  • IHC-P

Supplier Data

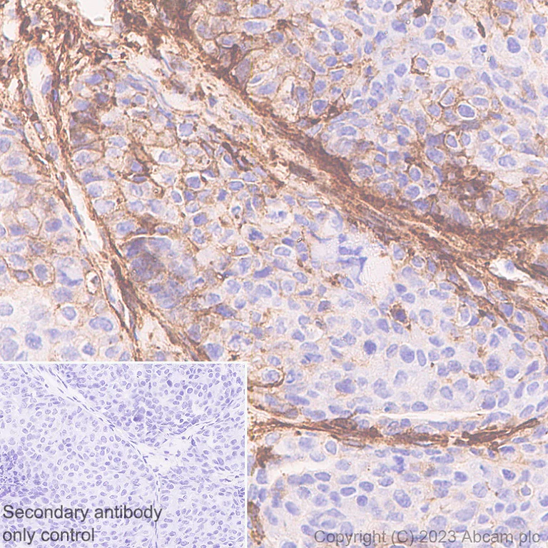
Immunohistochemistry (Formalin/PFA-fixed paraffin-embedded sections) - Anti-MARCKS antibody [EPR28261-90] (AB315025)

Immunohistochemical analysis of paraffin-embedded Mouse breast cancer tissue labeling MARCKS with ab315025 at 1/500 (1.038 ug/ml) followed by a ready to use LeicaDS9800 (Bond™ Polymer Refine Detection). Positive staining on mouse breast cancer. The section was incubated with ab315025 for 30 mins at room temperature. The immunostaining was performed on a Leica Biosystems BOND® RX instrument. Counterstained with Hematoxylin.

Secondary antibody only control : Secondary antibody is a ready to use LeicaDS9800 (Bond™ Polymer Refine Detection).

Heat mediated antigen retrieval was performed with Tris-EDTA buffer (pH 9.0, Epitope Retrieval Solution2) for 20 mins.

Immunohistochemistry (Formalin/PFA-fixed paraffin-embedded sections) - Anti-MARCKS antibody [EPR28261-90] (AB315025)
  • IHC-P

Supplier Data

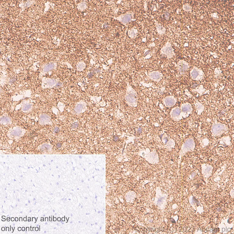
Immunohistochemistry (Formalin/PFA-fixed paraffin-embedded sections) - Anti-MARCKS antibody [EPR28261-90] (AB315025)

Immunohistochemical analysis of paraffin-embedded Mouse cerebrum tissue labeling MARCKS with ab315025 at 1/500 (1.038 ug/ml) followed by a ready to use LeicaDS9800 (Bond™ Polymer Refine Detection). Positive staining on mouse cerebrum (PMID : 19666823). The section was incubated with ab315025 for 30 mins at room temperature. The immunostaining was performed on a Leica Biosystems BOND® RX instrument. Counterstained with Hematoxylin.

Secondary antibody only control : Secondary antibody is a ready to use LeicaDS9800 (Bond™ Polymer Refine Detection).

Heat mediated antigen retrieval was performed with Tris-EDTA buffer (pH 9.0, Epitope Retrieval Solution2) for 20 mins.

Immunohistochemistry (Formalin/PFA-fixed paraffin-embedded sections) - Anti-MARCKS antibody [EPR28261-90] (AB315025)
  • IHC-P

Supplier Data

Immunohistochemistry (Formalin/PFA-fixed paraffin-embedded sections) - Anti-MARCKS antibody [EPR28261-90] (AB315025)

Immunohistochemical analysis of paraffin-embedded Rat liver tissue labeling MARCKS with ab315025 at 1/500 (1.038 ug/ml) followed by a ready to use LeicaDS9800 (Bond™ Polymer Refine Detection). Low expression : weak staining on rat hepatic sinusoidal endothelial cell. The section was incubated with ab315025 for 30 mins at room temperature. The immunostaining was performed on a Leica Biosystems BOND® RX instrument. Counterstained with Hematoxylin.

Secondary antibody only control : Secondary antibody is a ready to use LeicaDS9800 (Bond™ Polymer Refine Detection).

Heat mediated antigen retrieval was performed with Tris-EDTA buffer (pH 9.0, Epitope Retrieval Solution2) for 20 mins.

Immunocytochemistry/ Immunofluorescence - Anti-MARCKS antibody [EPR28261-90] (AB315025)
  • ICC/IF

Supplier Data

Immunocytochemistry/ Immunofluorescence - Anti-MARCKS antibody [EPR28261-90] (AB315025)

Immunofluorescent analysis of 4% Paraformaldehyde-fixed, 0.1% TritonX-100 permeabilized NIH/3T3 (mouse embryonic fibroblast) cells labelling MARCKS with ab315025 at 1/50 (10.38 ug/ml) dilution, followed by ab150081 Goat Anti-Rabbit IgG H&L (Alexa Fluor® 488) preadsorbed antibody at 1/1000 (2 ug/mL) dilution (Green). Confocal image showing cytoplasmic and membranous staining in NIH/3T3 cell line. Image was taken with a confocal microscope(Leica-Microsystems, TCS SP8). ab195889 Anti-alpha Tubulin mouse monoclonal antibody - Microtubule Marker (Alexa Fluor® 594) was used to counterstain tubulin at 1/200 (2.5ug/ml) dilution (Red). The Nuclear counterstain was DAPI (Blue).

Secondary antibody only control : Secondary antibody is ab150081 Goat Anti-Rabbit IgG H&L (Alexa Fluor® 488) preadsorbed at 1/1000 (2 ug/mL) dilution.

Immunohistochemistry (Formalin/PFA-fixed paraffin-embedded sections) - Anti-MARCKS antibody [EPR28261-90] (AB315025)
  • IHC-P

Supplier Data

Immunohistochemistry (Formalin/PFA-fixed paraffin-embedded sections) - Anti-MARCKS antibody [EPR28261-90] (AB315025)

Immunohistochemical analysis of paraffin-embedded Rat cerebrum tissue labeling MARCKS with ab315025 at 1/500 (1.038 ug/ml) followed by a ready to use LeicaDS9800 (Bond™ Polymer Refine Detection). Positive staining on rat cerebrum. The section was incubated with ab315025 for 30 mins at room temperature. The immunostaining was performed on a Leica Biosystems BOND® RX instrument. Counterstained with Hematoxylin.

Secondary antibody only control : Secondary antibody is a ready to use LeicaDS9800 (Bond™ Polymer Refine Detection).

Heat mediated antigen retrieval was performed with Tris-EDTA buffer (pH 9.0, Epitope Retrieval Solution2) for 20 mins.

Western blot - Anti-MARCKS antibody [EPR28261-90] (AB315025)
  • WB

Supplier Data

Western blot - Anti-MARCKS antibody [EPR28261-90] (AB315025)

Blocking and diluting buffer and concentration : 5% NFDM/TBST.

Low expression : liver (PMID : 22555845), heart.

Positive tissue : brain (PMID : 19666823).

In Western blot, Anti-GAPDH antibody [EPR16891] - Loading Control (ab181602) staining at 1/200000 dilution.

All lanes:

Western blot - Anti-MARCKS antibody [EPR28261-90] (ab315025) at 1/1000 dilution

Lane 1:

Mouse brain tissue lysate at 20 µg

Lane 2:

Mouse liver tissue lysate at 20 µg

Lane 3:

Mouse heart tissue lysate at 20 µg

Lane 4:

Rat brain tissue lysate at 20 µg

Lane 5:

Rat liver tissue lysate at 20 µg

Secondary

All lanes:

Western blot - Goat Anti-Rabbit IgG H&L (HRP) (<a href='/en-us/products/secondary-antibodies/goat-rabbit-igg-h-l-hrp-ab97051'>ab97051</a>) at 1/100000 dilution

Observed band size: 75 kDa,36 kDa

false

Exposure time: 180s

Western blot - Anti-MARCKS antibody [EPR28261-90] (AB315025)
  • WB

Supplier Data

Western blot - Anti-MARCKS antibody [EPR28261-90] (AB315025)

Blocking and diluting buffer and concentration : 5% NFDM/TBST.

In Western blot, Anti-GAPDH antibody [EPR16891] - Loading Control (ab181602) staining at 1/200000 dilution.

All lanes:

Western blot - Anti-MARCKS antibody [EPR28261-90] (ab315025) at 1/1000 dilution

All lanes:

NIH/3T3 (mouse embryonic fibroblast) whole cell lysate at 20 µg

Secondary

All lanes:

Western blot - Goat Anti-Rabbit IgG H&L (HRP) (<a href='/en-us/products/secondary-antibodies/goat-rabbit-igg-h-l-hrp-ab97051'>ab97051</a>) at 1/100000 dilution

Observed band size: 75 kDa,36 kDa

true

Exposure time: 180s

  • Carrier free

    Anti-MARCKS antibody [EPR28261-90] - BSA and Azide free

Key facts

Host species

Rabbit

Clonality

Monoclonal

Clone number

EPR28261-90

Isotype

IgG

Carrier free

No

Reacts with

Mouse, Rat

Applications

WB, Flow Cyt (Intra), IHC-P, ICC/IF

applications

Immunogen

The exact immunogen used to generate this antibody is proprietary information.

Reactivity data

{ "title": "Reactivity Data", "filters": { "stats": ["", "Species", "Dilution Info", "Notes"], "tabs": { "all-applications": {"fullname" : "All Applications", "shortname": "All Applications"}, "WB" : {"fullname" : "Western blot", "shortname":"WB"}, "IHCP" : {"fullname" : "Immunohistochemistry (Formalin/PFA-fixed paraffin-embedded sections)", "shortname":"IHC-P"}, "ICCIF" : {"fullname" : "Immunocytochemistry/ Immunofluorescence", "shortname":"ICC/IF"}, "FlowCytIntra" : {"fullname" : "Flow Cytometry (Intracellular)", "shortname":"Flow Cyt (Intra)"}, "IP" : {"fullname" : "Immunoprecipitation", "shortname":"IP"} }, "product-promise": { "all": "all", "testedAndGuaranteed": "tested", "guaranteed": "expected", "predicted": "predicted", "notRecommended": "not-recommended" } }, "values": { "Human": { "WB-species-checked": "notRecommended", "WB-species-dilution-info": "", "WB-species-notes": "<p></p>", "IHCP-species-checked": "notRecommended", "IHCP-species-dilution-info": "", "IHCP-species-notes": "<p></p> Perform heat-mediated antigen retrieval with Tris/EDTA buffer pH 9.0 before commencing with IHC staining protocol.", "ICCIF-species-checked": "notRecommended", "ICCIF-species-dilution-info": "", "ICCIF-species-notes": "", "FlowCytIntra-species-checked": "notRecommended", "FlowCytIntra-species-dilution-info": "", "FlowCytIntra-species-notes": "", "IP-species-checked": "notRecommended", "IP-species-dilution-info": "", "IP-species-notes": "" }, "Mouse": { "WB-species-checked": "testedAndGuaranteed", "WB-species-dilution-info": "1/1000", "WB-species-notes": "<p></p>", "IHCP-species-checked": "testedAndGuaranteed", "IHCP-species-dilution-info": "1/500", "IHCP-species-notes": "<p></p> Perform heat-mediated antigen retrieval with Tris/EDTA buffer pH 9.0 before commencing with IHC staining protocol.", "ICCIF-species-checked": "testedAndGuaranteed", "ICCIF-species-dilution-info": "1/50", "ICCIF-species-notes": "<p></p>", "FlowCytIntra-species-checked": "testedAndGuaranteed", "FlowCytIntra-species-dilution-info": "1/500", "FlowCytIntra-species-notes": "<p></p>", "IP-species-checked": "notRecommended", "IP-species-dilution-info": "", "IP-species-notes": "<p></p>" }, "Rat": { "WB-species-checked": "testedAndGuaranteed", "WB-species-dilution-info": "1/1000", "WB-species-notes": "<p></p>", "IHCP-species-checked": "testedAndGuaranteed", "IHCP-species-dilution-info": "1/500", "IHCP-species-notes": "<p></p> Perform heat-mediated antigen retrieval with Tris/EDTA buffer pH 9.0 before commencing with IHC staining protocol.", "ICCIF-species-checked": "guaranteed", "ICCIF-species-dilution-info": "", "ICCIF-species-notes": "", "FlowCytIntra-species-checked": "guaranteed", "FlowCytIntra-species-dilution-info": "", "FlowCytIntra-species-notes": "", "IP-species-checked": "notRecommended", "IP-species-dilution-info": "", "IP-species-notes": "" } } }

Product details

Patented technology
Our RabMAb® technology is a patented hybridoma-based technology for making rabbit monoclonal antibodies. For details on our patents, please refer to RabMAb® patents.

What are the advantages of a recombinant monoclonal antibody?
This product is a recombinant monoclonal antibody, which offers several advantages including:

  • - High batch-to-batch consistency and reproducibility
  • - Improved sensitivity and specificity
  • - Long-term security of supply
  • - Animal-free batch production

For more information, read more on recombinant antibodies.

Properties and storage information

Form
Liquid
Purification technique
Affinity purification Protein A
Storage buffer
pH: 7.2 - 7.4 Preservative: 0.01% Sodium azide Constituents: PBS, 40% Glycerol (glycerin, glycerine), 0.05% BSA
Shipped at conditions
Blue Ice
Appropriate short-term storage duration
1-2 weeks
Appropriate short-term storage conditions
+4°C
Appropriate long-term storage conditions
-20°C
Aliquoting information
Upon delivery aliquot
Storage information
Avoid freeze / thaw cycle

Product protocols

For this product, it's our understanding that no specific protocols are required. You can visit:

Target data

Membrane-associated protein that plays a role in the structural modulation of the actin cytoskeleton, chemotaxis, motility, cell adhesion, phagocytosis, and exocytosis through lipid sequestering and/or protein docking to membranes. Thus, exerts an influence on a plethora of physiological processes, such as embryonic development, tissue regeneration, neuronal plasticity, and inflammation (PubMed : 30185885, PubMed : 30655546, PubMed : 8700893). Sequesters phosphatidylinositol 4,5-bisphosphate (PIP2) at lipid rafts in the plasma membrane of quiescent cells, an action reversed by protein kinase C, ultimately inhibiting exocytosis (By similarity). During inflammation, promotes the migration of inflammatory cells and the secretion of cytokines such as tumor necrosis factor (TNF), particularly in macrophages (PubMed : 20205598). Plays an essential role in bacteria-induced intracellular reactive oxygen species (ROS) formation in the monocytic cell type. Participates in the regulation of neurite initiation and outgrowth by interacting with components of cellular machinery including CDC42 that regulates cell shape and process extension through modulation of the cytoskeleton (PubMed : 30185885). Plays also a role in axon development by mediating docking and fusion of RAB10-positive vesicles with the plasma membrane (By similarity).
See full target information Marcks

Product promise

We are committed to supporting your work with high-quality reagents, and we're here for you every step of the way. In the unlikely event that one of our products does not perform as expected, you're protected by our Product Promise.
For full details, please see our Terms & Conditions

Please note: All products are 'FOR RESEARCH USE ONLY. NOT FOR USE IN DIAGNOSTIC OR THERAPEUTIC PROCEDURES'.

For licensing inquiries, please contact partnerships@abcam.com