JavaScript is disabled in your browser. Please enable JavaScript to view this website.
AB250750

Anti-MARCKS like protein antibody [EPR15353] - BSA and Azide free

Be the first to review this product! Submit a review

|

(1 Publication)

Rabbit Recombinant Monoclonal MARCKS like protein antibody. Carrier free. Suitable for ICC/IF, WB, Flow Cyt (Intra), IHC-P and reacts with Human samples. Cited in 1 publication.

View Alternative Names

MLP, MRP, MARCKSL1, MARCKS-related protein, MARCKS-like protein 1, Macrophage myristoylated alanine-rich C kinase substrate, Mac-MARCKS, MacMARCKS

5 Images
Flow Cytometry (Intracellular) - Anti-MARCKS like protein antibody [EPR15353] - BSA and Azide free (AB250750)
  • Flow Cyt (Intra)

Supplier Data

Flow Cytometry (Intracellular) - Anti-MARCKS like protein antibody [EPR15353] - BSA and Azide free (AB250750)

This data was developed using ab184546, the same antibody clone in a different buffer formulation.

Intracellular flow cytometric analysis of SH-SY5Y cells (2% paraformaldehyde-fixed) labeling MARCKS like protein with ab184546 at 1/140 dilution (red) or a rabbit IgG (negative) (green), followed by Goat anti rabbit IgG (FITC) secondary at 1/150 dilution.

Immunocytochemistry/ Immunofluorescence - Anti-MARCKS like protein antibody [EPR15353] - BSA and Azide free (AB250750)
  • ICC/IF

Supplier Data

Immunocytochemistry/ Immunofluorescence - Anti-MARCKS like protein antibody [EPR15353] - BSA and Azide free (AB250750)

This data was developed using ab184546, the same antibody clone in a different buffer formulation.

Immunofluorescent analysis of 293T cells (4% paraformaldehyde-fixed) labeling MARCKS like protein with ab184546 at 1/250 dilution (red) followed by Goat anti rabbit IgG (AlexaFluor® 555) secondary at 1/200 dilution and counter-stained with DAPI (blue).

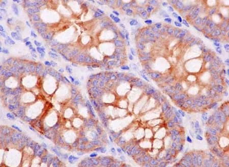
Immunohistochemistry (Formalin/PFA-fixed paraffin-embedded sections) - Anti-MARCKS like protein antibody [EPR15353] - BSA and Azide free (AB250750)
  • IHC-P

Supplier Data

Immunohistochemistry (Formalin/PFA-fixed paraffin-embedded sections) - Anti-MARCKS like protein antibody [EPR15353] - BSA and Azide free (AB250750)

This data was developed using ab184546, the same antibody clone in a different buffer formulation.

Immunohistochemical analysis of Paraffin-embedded Human colon tissue labeling MARCKS like protein with ab184546 at 1/100 dilution followed by pre-diluted HRP-conjugated secondary antibody and counter-stained with Hematoxylin.

Perform heat mediated antigen retrieval with EDTA buffer pH 9 before commencing with IHC staining protocol.

Western blot - Anti-MARCKS like protein antibody [EPR15353] - BSA and Azide free (AB250750)
  • WB

Supplier Data

Western blot - Anti-MARCKS like protein antibody [EPR15353] - BSA and Azide free (AB250750)

This data was developed using ab184546, the same antibody clone in a different buffer formulation.

The protein has a calculated molecular weight of 20 kDa and an apparent molecular weight of 42-48 kDa due to anomalous migration on SDS gels or phosphorylation.

All lanes:

Western blot - Anti-MARCKS like protein antibody [EPR15353] - C-terminal (<a href='/en-us/products/primary-antibodies/marcks-like-protein-antibody-epr15353-c-terminal-ab184546'>ab184546</a>) at 1/10000 dilution

Lane 1:

293T cell lysate at 20 µg

Lane 2:

SH-SY5Y cell lysate at 20 µg

Secondary

All lanes:

Goat Anti-Rabbit IgG, (H+L), Peroxidase conjugated at 1/1000 dilution

Predicted band size: 20 kDa

false

Western blot - Anti-MARCKS like protein antibody [EPR15353] - BSA and Azide free (AB250750)
  • WB

Supplier Data

Western blot - Anti-MARCKS like protein antibody [EPR15353] - BSA and Azide free (AB250750)

This data was developed using ab184546, the same antibody clone in a different buffer formulation.

The protein has a calculated molecular weight of 20 kDa and an apparent molecular weight of 42-48 kDa due to anomalous migration on SDS gels or phosphorylation.

All lanes:

Western blot - Anti-MARCKS like protein antibody [EPR15353] - C-terminal (<a href='/en-us/products/primary-antibodies/marcks-like-protein-antibody-epr15353-c-terminal-ab184546'>ab184546</a>) at 1/50000 dilution

All lanes:

Human fetal brain tissue lysate at 20 µg

Secondary

All lanes:

Goat Anti-Rabbit IgG, (H+L), Peroxidase conjugated at 1/1000 dilution

Predicted band size: 20 kDa

false

  • Unconjugated

    Anti-MARCKS like protein antibody [EPR15353] - C-terminal

Key facts

Host species

Rabbit

Clonality

Monoclonal

Clone number

EPR15353

Isotype

IgG

Carrier free

Yes

Reacts with

Human

Applications

Flow Cyt (Intra), IHC-P, ICC/IF, WB

applications

Immunogen

The exact immunogen used to generate this antibody is proprietary information.

Reactivity data

{ "title": "Reactivity Data", "filters": { "stats": ["", "Species", "Dilution Info", "Notes"], "tabs": { "all-applications": {"fullname" : "All Applications", "shortname": "All Applications"}, "ICCIF" : {"fullname" : "Immunocytochemistry/ Immunofluorescence", "shortname":"ICC/IF"}, "WB" : {"fullname" : "Western blot", "shortname":"WB"}, "FlowCytIntra" : {"fullname" : "Flow Cytometry (Intracellular)", "shortname":"Flow Cyt (Intra)"}, "IHCP" : {"fullname" : "Immunohistochemistry (Formalin/PFA-fixed paraffin-embedded sections)", "shortname":"IHC-P"} }, "product-promise": { "all": "all", "testedAndGuaranteed": "tested", "guaranteed": "expected", "predicted": "predicted", "notRecommended": "not-recommended" } }, "values": { "Human": { "ICCIF-species-checked": "testedAndGuaranteed", "ICCIF-species-dilution-info": "", "ICCIF-species-notes": "<p></p>", "WB-species-checked": "testedAndGuaranteed", "WB-species-dilution-info": "", "WB-species-notes": "<p></p>", "FlowCytIntra-species-checked": "testedAndGuaranteed", "FlowCytIntra-species-dilution-info": "", "FlowCytIntra-species-notes": "<p></p>", "IHCP-species-checked": "testedAndGuaranteed", "IHCP-species-dilution-info": "", "IHCP-species-notes": "<p></p>" }, "Mouse": { "ICCIF-species-checked": "predicted", "ICCIF-species-dilution-info": "", "ICCIF-species-notes": "", "WB-species-checked": "predicted", "WB-species-dilution-info": "", "WB-species-notes": "", "FlowCytIntra-species-checked": "predicted", "FlowCytIntra-species-dilution-info": "", "FlowCytIntra-species-notes": "", "IHCP-species-checked": "predicted", "IHCP-species-dilution-info": "", "IHCP-species-notes": "" }, "Rat": { "ICCIF-species-checked": "predicted", "ICCIF-species-dilution-info": "", "ICCIF-species-notes": "", "WB-species-checked": "predicted", "WB-species-dilution-info": "", "WB-species-notes": "", "FlowCytIntra-species-checked": "predicted", "FlowCytIntra-species-dilution-info": "", "FlowCytIntra-species-notes": "", "IHCP-species-checked": "predicted", "IHCP-species-dilution-info": "", "IHCP-species-notes": "" } } }

Product details

ab250750 is the carrier-free version of ab184546.

Patented technology
Our RabMAb® technology is a patented hybridoma-based technology for making rabbit monoclonal antibodies. For details on our patents, please refer to RabMAb® patents.

What are the advantages of a recombinant monoclonal antibody?
This product is a recombinant monoclonal antibody, which offers several advantages including:

  • - High batch-to-batch consistency and reproducibility
  • - Improved sensitivity and specificity
  • - Long-term security of supply
  • - Animal-free batch production

For more information, read more on recombinant antibodies.

Conjugation ready
Our carrier-free antibodies are typically supplied in a PBS-only formulation, purified and free of BSA, sodium azide and glycerol. This conjugation-ready format is designed for use with fluorochromes, metal isotopes, oligonucleotides, and enzymes, which makes them ideal for antibody labelling, functional and cell-based assays, flow-based assays (e.g. mass cytometry) and Multiplex Imaging applications.

Use our conjugation kits for antibody conjugates that are ready-to-use in as little as 20 minutes with 1 minute hands-on-time and 100% antibody recovery: available for fluorescent dyes, HRP, biotin and gold.

Compatibility
This product is compatible with the Maxpar® Antibody Labeling Kit from Fluidigm, without the need for antibody preparation. Maxpar® is a trademark of Fluidigm Canada Inc.

Properties and storage information

Form
Liquid
Purification technique
Affinity purification Protein A
Storage buffer
pH: 7.2 - 7.4 Constituents: PBS
Shipped at conditions
Blue Ice
Appropriate short-term storage conditions
+4°C
Appropriate long-term storage conditions
+4°C
Storage information
Do Not Freeze

Product protocols

For this product, it's our understanding that no specific protocols are required. You can visit:

Target data

Controls cell movement by regulating actin cytoskeleton homeostasis and filopodium and lamellipodium formation (PubMed : 22751924). When unphosphorylated, induces cell migration (By similarity). When phosphorylated by MAPK8, induces actin bundles formation and stabilization, thereby reducing actin plasticity, hence restricting cell movement, including neuronal migration (By similarity). May be involved in coupling the protein kinase C and calmodulin signal transduction systems (By similarity).
See full target information MARCKSL1

Publications (1)

Recent publications for all applications. Explore the full list and refine your search

Nature cell biology 24:1541-1557 PubMed36192632

2022

Alternative RNA splicing modulates ribosomal composition and determines the spatial phenotype of glioblastoma cells.

Applications

Unspecified application

Species

Unspecified reactive species

Tatyana D Larionova,Soniya Bastola,Tatiana E Aksinina,Ksenia S Anufrieva,Jia Wang,Victoria O Shender,Dmitriy E Andreev,Tatiana F Kovalenko,Georgij P Arapidi,Polina V Shnaider,Anastasia N Kazakova,Yaroslav A Latyshev,Victor V Tatarskiy,Alexander A Shtil,Pascale Moreau,Francis Giraud,Chaoxi Li,Yichan Wang,Maria P Rubtsova,Olga A Dontsova,Michael Condro,Benjamin M Ellingson,Mikhail I Shakhparonov,Harley I Kornblum,Ichiro Nakano,Marat S Pavlyukov
View all publications

Product promise

We are committed to supporting your work with high-quality reagents, and we're here for you every step of the way. In the unlikely event that one of our products does not perform as expected, you're protected by our Product Promise.
For full details, please see our Terms & Conditions

Please note: All products are 'FOR RESEARCH USE ONLY. NOT FOR USE IN DIAGNOSTIC OR THERAPEUTIC PROCEDURES'.

For licensing inquiries, please contact partnerships@abcam.com