JavaScript is disabled in your browser. Please enable JavaScript to view this website.
AB184546

Anti-MARCKS like protein antibody [EPR15353] - C-terminal

Be the first to review this product! Submit a review

|

(7 Publications)

Rabbit Recombinant Monoclonal MARCKS like protein antibody. C-terminal. Suitable for WB, ICC/IF, Flow Cyt (Intra), IHC-P and reacts with Human samples. Cited in 7 publications.

View Alternative Names

MLP, MRP, MARCKSL1, MARCKS-related protein, MARCKS-like protein 1, Macrophage myristoylated alanine-rich C kinase substrate, Mac-MARCKS, MacMARCKS

5 Images
Flow Cytometry (Intracellular) - Anti-MARCKS like protein antibody [EPR15353] - C-terminal (AB184546)
  • Flow Cyt (Intra)

Supplier Data

Flow Cytometry (Intracellular) - Anti-MARCKS like protein antibody [EPR15353] - C-terminal (AB184546)

Intracellular flow cytometric analysis of SH-SY5Y cells (2% paraformaldehyde-fixed) labeling MARCKS like proteinwith ab184546 at 1/140 dilution (red)or a rabbit IgG (negative) (green), followed by Goat anti rabbit IgG (FITC) secondary at 1/150 dilution.

Immunocytochemistry/ Immunofluorescence - Anti-MARCKS like protein antibody [EPR15353] - C-terminal (AB184546)
  • ICC/IF

Supplier Data

Immunocytochemistry/ Immunofluorescence - Anti-MARCKS like protein antibody [EPR15353] - C-terminal (AB184546)

Immunofluorescent analysis of 293T cells (4% paraformaldehyde-fixed) labeling MARCKS like protein with ab184546 at 1/250 dilution (red) followed by Goat anti rabbit IgG (AlexaFluor® 555) secondary at 1/200 dilution and counter-stained with DAPI (blue).

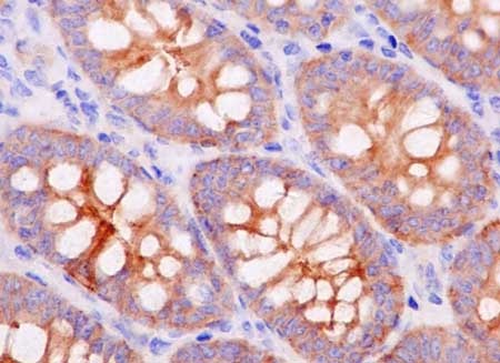
Immunohistochemistry (Formalin/PFA-fixed paraffin-embedded sections) - Anti-MARCKS like protein antibody [EPR15353] - C-terminal (AB184546)
  • IHC-P

Supplier Data

Immunohistochemistry (Formalin/PFA-fixed paraffin-embedded sections) - Anti-MARCKS like protein antibody [EPR15353] - C-terminal (AB184546)

Immunohistochemical analysis of Paraffin-embedded Human colon tissue labeling MARCKS like protein with ab184546 at 1/100 dilution followed by pre-diluted HRP-conjugated secondary antibody and counter-stained with Hematoxylin.

Perform heat mediated antigen retrieval with EDTA buffer pH 9 before commencing with IHC staining protocol.

Western blot - Anti-MARCKS like protein antibody [EPR15353] - C-terminal (AB184546)
  • WB

Supplier Data

Western blot - Anti-MARCKS like protein antibody [EPR15353] - C-terminal (AB184546)

The protein has a calculated molecular weight of 20 kDa and an apparent molecular weight of 42-48 kDa due to anomalous migration on SDS gels or phosphorylation

All lanes:

Western blot - Anti-MARCKS like protein antibody [EPR15353] - C-terminal (ab184546) at 1/10000 dilution

Lane 1:

293T cell lysate at 20 µg

Lane 2:

SH-SY5Y cell lysate at 20 µg

Secondary

All lanes:

Goat Anti-Rabbit IgG, (H+L), Peroxidase conjugated at 1/1000 dilution

Predicted band size: 20 kDa

false

Western blot - Anti-MARCKS like protein antibody [EPR15353] - C-terminal (AB184546)
  • WB

Supplier Data

Western blot - Anti-MARCKS like protein antibody [EPR15353] - C-terminal (AB184546)

The protein has a calculated molecular weight of 20 kDa and an apparent molecular weight of 42-48 kDa due to anomalous migration on SDS gels or phosphorylation.

All lanes:

Western blot - Anti-MARCKS like protein antibody [EPR15353] - C-terminal (ab184546) at 1/50000 dilution

All lanes:

Human fetal brain tissue lysate at 20 µg

Secondary

All lanes:

Goat Anti-Rabbit IgG, (H+L), Peroxidase conjugated at 1/1000 dilution

Predicted band size: 20 kDa

false

  • Carrier free

    Anti-MARCKS like protein antibody [EPR15353] - BSA and Azide free

Key facts

Host species

Rabbit

Clonality

Monoclonal

Clone number

EPR15353

Isotype

IgG

Carrier free

No

Reacts with

Human

Applications

Flow Cyt (Intra), IHC-P, WB, ICC/IF

applications

Immunogen

The exact immunogen used to generate this antibody is proprietary information.

Reactivity data

{ "title": "Reactivity Data", "filters": { "stats": ["", "Species", "Dilution Info", "Notes"], "tabs": { "all-applications": {"fullname" : "All Applications", "shortname": "All Applications"}, "WB" : {"fullname" : "Western blot", "shortname":"WB"}, "ICCIF" : {"fullname" : "Immunocytochemistry/ Immunofluorescence", "shortname":"ICC/IF"}, "FlowCytIntra" : {"fullname" : "Flow Cytometry (Intracellular)", "shortname":"Flow Cyt (Intra)"}, "IHCP" : {"fullname" : "Immunohistochemistry (Formalin/PFA-fixed paraffin-embedded sections)", "shortname":"IHC-P"} }, "product-promise": { "all": "all", "testedAndGuaranteed": "tested", "guaranteed": "expected", "predicted": "predicted", "notRecommended": "not-recommended" } }, "values": { "Human": { "WB-species-checked": "testedAndGuaranteed", "WB-species-dilution-info": "1/10000 - 1/50000", "WB-species-notes": "<p></p>", "ICCIF-species-checked": "testedAndGuaranteed", "ICCIF-species-dilution-info": "1/250", "ICCIF-species-notes": "<p></p>", "FlowCytIntra-species-checked": "testedAndGuaranteed", "FlowCytIntra-species-dilution-info": "1/140", "FlowCytIntra-species-notes": "<p><a href='/en-us/products/primary-antibodies/rabbit-igg-monoclonal-epr25a-isotype-control-ab172730'>ab172730</a> - Rabbit monoclonal IgG, is suitable for use as an isotype control with this antibody.</p>", "IHCP-species-checked": "testedAndGuaranteed", "IHCP-species-dilution-info": "1/100", "IHCP-species-notes": "<p></p> Perform heat-mediated antigen retrieval with Tris/EDTA buffer pH 9.0 before commencing with IHC staining protocol." }, "Mouse": { "WB-species-checked": "predicted", "WB-species-dilution-info": "", "WB-species-notes": "", "ICCIF-species-checked": "predicted", "ICCIF-species-dilution-info": "", "ICCIF-species-notes": "", "FlowCytIntra-species-checked": "predicted", "FlowCytIntra-species-dilution-info": "", "FlowCytIntra-species-notes": "", "IHCP-species-checked": "predicted", "IHCP-species-dilution-info": "", "IHCP-species-notes": "" }, "Rat": { "WB-species-checked": "predicted", "WB-species-dilution-info": "", "WB-species-notes": "", "ICCIF-species-checked": "predicted", "ICCIF-species-dilution-info": "", "ICCIF-species-notes": "", "FlowCytIntra-species-checked": "predicted", "FlowCytIntra-species-dilution-info": "", "FlowCytIntra-species-notes": "", "IHCP-species-checked": "predicted", "IHCP-species-dilution-info": "", "IHCP-species-notes": "" } } }

Product details

Patented technology
Our RabMAb® technology is a patented hybridoma-based technology for making rabbit monoclonal antibodies. For details on our patents, please refer to RabMAb® patents.

What are the advantages of a recombinant monoclonal antibody?
This product is a recombinant monoclonal antibody, which offers several advantages including:

  • - High batch-to-batch consistency and reproducibility
  • - Improved sensitivity and specificity
  • - Long-term security of supply
  • - Animal-free batch production

For more information, read more on recombinant antibodies.

Properties and storage information

Form
Liquid
Purification technique
Affinity purification Protein A
Storage buffer
pH: 7.2 Preservative: 0.01% Sodium azide Constituents: PBS, 40% Glycerol (glycerin, glycerine), 0.05% BSA
Shipped at conditions
Blue Ice
Appropriate short-term storage duration
1-2 weeks
Appropriate short-term storage conditions
+4°C
Appropriate long-term storage conditions
-20°C
Aliquoting information
Upon delivery aliquot
Storage information
Avoid freeze / thaw cycle

Product protocols

For this product, it's our understanding that no specific protocols are required. You can visit:

Target data

Controls cell movement by regulating actin cytoskeleton homeostasis and filopodium and lamellipodium formation (PubMed : 22751924). When unphosphorylated, induces cell migration (By similarity). When phosphorylated by MAPK8, induces actin bundles formation and stabilization, thereby reducing actin plasticity, hence restricting cell movement, including neuronal migration (By similarity). May be involved in coupling the protein kinase C and calmodulin signal transduction systems (By similarity).
See full target information MARCKSL1

Publications (7)

Recent publications for all applications. Explore the full list and refine your search

PloS one 18:e0290846 PubMed37656709

2023

Sertoli cell-enriched proteins in mouse and human testicular interstitial fluid.

Applications

Unspecified application

Species

Unspecified reactive species

Liza O'Donnell,Laura F Dagley,Michael Curley,Annalucia Darbey,Peter J O'Shaughnessy,Thorsten Diemer,Adrian Pilatz,Daniela Fietz,Peter G Stanton,Lee B Smith,Diane Rebourcet

iScience 26:107406 PubMed37559902

2023

Primary adhered neutrophils increase JNK1-MARCKSL1-mediated filopodia to promote secondary neutrophil transmigration.

Applications

Unspecified application

Species

Unspecified reactive species

Max Laurens Bastiaan Grönloh,Janine Johanna Geertruida Arts,Eike Karin Mahlandt,Martijn A Nolte,Joachim Goedhart,Jaap Diederik van Buul

Stem cells international 2023:2826815 PubMed37964983

2023

A Novel Molecular Classification Method for Glioblastoma Based on Tumor Cell Differentiation Trajectories.

Applications

Unspecified application

Species

Unspecified reactive species

Guanghao Zhang,Xiaolong Xu,Luojiang Zhu,Sisi Li,Rundong Chen,Nan Lv,Zifu Li,Jing Wang,Qiang Li,Wang Zhou,Pengfei Yang,Jianmin Liu

Kidney international 101:137-143 PubMed34619231

2021

Highly multiplexed immunofluorescence of the human kidney using co-detection by indexing.

Applications

mIHC

Species

Human

Elizabeth K Neumann,Nathan Heath Patterson,Emilio S Rivera,Jamie L Allen,Maya Brewer,Mark P deCaestecker,Richard M Caprioli,Agnes B Fogo,Jeffrey M Spraggins

STAR protocols 2:100747 PubMed34430920

2021

Protocol for multimodal analysis of human kidney tissue by imaging mass spectrometry and CODEX multiplexed immunofluorescence.

Applications

Unspecified application

Species

Unspecified reactive species

Elizabeth K Neumann,Nathan Heath Patterson,Jamie L Allen,Lukasz G Migas,Haichun Yang,Maya Brewer,David M Anderson,Jennifer Harvey,Danielle B Gutierrez,Raymond C Harris,Mark P deCaestecker,Agnes B Fogo,Raf Van de Plas,Richard M Caprioli,Jeffrey M Spraggins

American journal of physiology. Cell physiology 319:C589-C604 PubMed32639874

2020

Myristoylated alanine-rich C kinase substrate-like protein-1 regulates epithelial sodium channel activity in renal distal convoluted tubule cells.

Applications

Unspecified application

Species

Unspecified reactive species

Chang Song,Qiang Yue,Auriel Moseley,Otor Al-Khalili,Brandi M Wynne,Heping Ma,Lihua Wang,Douglas C Eaton

Molecular & cellular proteomics : MCP 18:1732-1744 PubMed31221720

2019

Cross-linking Proteomics Indicates Effects of Simvastatin on the TLR2 Interactome and Reveals ACTR1A as a Novel Regulator of the TLR2 Signal Cascade.

Applications

Unspecified application

Species

Unspecified reactive species

Abu Hena Mostafa Kamal,Jim J Aloor,Michael B Fessler,Saiful M Chowdhury
View all publications

Product promise

We are committed to supporting your work with high-quality reagents, and we're here for you every step of the way. In the unlikely event that one of our products does not perform as expected, you're protected by our Product Promise.
For full details, please see our Terms & Conditions

Please note: All products are 'FOR RESEARCH USE ONLY. NOT FOR USE IN DIAGNOSTIC OR THERAPEUTIC PROCEDURES'.

For licensing inquiries, please contact partnerships@abcam.com