JavaScript is disabled in your browser. Please enable JavaScript to view this website.
AB259264

Anti-MARCO antibody [EPR22944-66]

Be the first to review this product! Submit a review

|

(3 Publications)

Rabbit Recombinant Monoclonal MARCO antibody. Suitable for WB, ICC/IF, IHC-Fr, IHC-P and reacts with Mouse samples. Cited in 3 publications.

View Alternative Names

Macrophage receptor MARCO, Macrophage receptor with collagenous structure, Marco

6 Images
Immunohistochemistry (Frozen sections) - Anti-MARCO antibody [EPR22944-66] (AB259264)
  • IHC-Fr

Unknown

Immunohistochemistry (Frozen sections) - Anti-MARCO antibody [EPR22944-66] (AB259264)

4% PFA-fixed, 0.2% Triton X-100 permeabilized frozen section of mouse spleen tissue labeling MARCO using ab259264 at 1/500 dilution, followed by ab150077 AlexaFluor®488 Goat anti-Rabbit secondary antibody at 1/1000 dilution (green). The nuclear counter stain is DAPI (blue). Positive staining on mouse splenic marginal zone (PMID : 24670793).

Heat mediated antigen retrieval using sodium citrate buffer (10mM citrate pH 6.0 + 0.05% Tween-20).

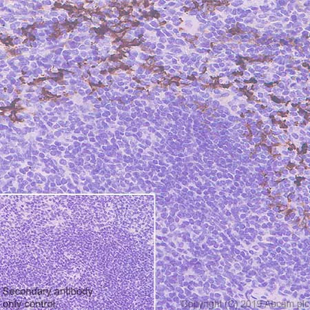
Immunohistochemistry (Formalin/PFA-fixed paraffin-embedded sections) - Anti-MARCO antibody [EPR22944-66] (AB259264)
  • IHC-P

Unknown

Immunohistochemistry (Formalin/PFA-fixed paraffin-embedded sections) - Anti-MARCO antibody [EPR22944-66] (AB259264)

Immunohistochemical analysis of paraffin-embedded Mouse spleen tissue labeling MARCO with ab259264 at 1/1000 dilution (0.501 μg/ml) followed by a ready to use Rabbit specific IHC polymer detection kit HRP/DAB (ab209101). Positive staining on macrophages of mouse spleen (PMID : 12874264, 15494482). The section was incubated with ab259264 for 30 mins at room temperature. The immunostaining was performed on a Leica Biosystems BOND®RX instrument. Counterstained with Hematoxylin.

Secondary antibody only control : Secondary antibody is a ready to use Rabbit specific IHC polymer detection kit HRP/DAB (ab209101).

Heat mediated antigen retrieval with Tris-EDTA buffer (pH 9.0, epitope retrieval solution 2) for 20mins.

Immunocytochemistry/ Immunofluorescence - Anti-MARCO antibody [EPR22944-66] (AB259264)
  • ICC/IF

Unknown

Immunocytochemistry/ Immunofluorescence - Anti-MARCO antibody [EPR22944-66] (AB259264)

Immunofluorescent analysis of 4% Paraformaldehyde-fixed, 0.1% TritonX-100 permeabilized J744A.1 (Mouse reticulum cell sarcoma monocyte macrophage) cells labelling MARCO with ab259264 at 1/50 (10 ug/ml) dilution, followed by ab259264 anti-MARCO ab150077 AlexaFluor®488 Goat anti-Rabbit secondary antibody at 1/1000 (2 ug/ml) dilution (Green). UNABLE TO ENCODE THE VARIABLE PLEASE DO MANUALLY is observed. ab195889 Anti-alpha Tubulin antibody [DM1A] - Microtubule Marker (Alexa Fluor&~153;,594) was used to counterstain tubulin at 1/200 dilution (Red). The Nuclear counterstain was DAPI (Blue).

Secondary antibody only control : Secondary antibody is ab259264 anti-MARCO ab150077 AlexaFluor®488 Goat anti-Rabbit secondary at 1/1000 (2 ug/ml) dilution.

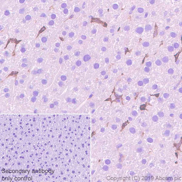
Immunohistochemistry (Formalin/PFA-fixed paraffin-embedded sections) - Anti-MARCO antibody [EPR22944-66] (AB259264)
  • IHC-P

Unknown

Immunohistochemistry (Formalin/PFA-fixed paraffin-embedded sections) - Anti-MARCO antibody [EPR22944-66] (AB259264)

Immunohistochemical analysis of paraffin-embedded Mouse liver tissue labeling MARCO with ab259264 at 1/1000 dilution (0.501 μg/ml) followed by a ready to use Rabbit specific IHC polymer detection kit HRP/DAB (ab209101). Positive staining on Kupffer cells of mouse liver. The section was incubated with ab259264 for 30 mins at room temperature. The immunostaining was performed on a Leica Biosystems BOND®RX instrument. Counterstained with Hematoxylin.

Secondary antibody only control : Secondary antibody is a ready to use Rabbit specific IHC polymer detection kit HRP/DAB (ab209101).

Heat mediated antigen retrieval with Tris-EDTA buffer (pH 9.0, epitope retrieval solution 2) for 20mins.

Western blot - Anti-MARCO antibody [EPR22944-66] (AB259264)
  • WB

Lab

Western blot - Anti-MARCO antibody [EPR22944-66] (AB259264)

Blocking and Dilution Buffer and concentration : 5% NFDM/TBST.

This blot was developed using a higher sensitivity ECL substrate. N-glycosylation is crucial for MARCO/Macrophage receptor with collagenous structure intercellular trafficking and surface targeting (PMID : 26892079).

All lanes:

Western blot - Anti-MARCO antibody [EPR22944-66] (ab259264) at 1/1000 dilution

Lane 1:

Mouse spleen lysate at 20 µg

Lane 2:

Mouse spleen lysate treated with Peptide:N-glycosidase F (PNGase F) at 20 µg

Secondary

All lanes:

Western blot - Goat Anti-Rabbit IgG H&L (HRP) (<a href='/en-us/products/secondary-antibodies/goat-rabbit-igg-h-l-hrp-ab97051'>ab97051</a>) at 1/100000 dilution

Predicted band size: 53 kDa

Observed band size: 53 kDa,75 kDa

false

Exposure time: 3min

Western blot - Anti-MARCO antibody [EPR22944-66] (AB259264)
  • WB

Lab

Western blot - Anti-MARCO antibody [EPR22944-66] (AB259264)

Blocking and Dilution Buffer and concentration : 5% NFDM/TBSTThe expression of MARCO/Macrophage receptor with collagenous structure is induced by Lipopolysaccharides (LPS) treatment (PMID : 9916718).

All lanes:

Western blot - Anti-MARCO antibody [EPR22944-66] (ab259264) at 1/1000 dilution

Lane 1:

Untreated J774A.1 (mouse reticulum cell sarcoma monocyte macrophage), whole cell lysate at 20 µg

Lane 2:

J774A.1 treated with 1ug/ml Lipopolysaccharides (LPS) for 24 hours, whole cell lysate at 20 µg

Secondary

All lanes:

Western blot - Goat Anti-Rabbit IgG H&L (HRP) (<a href='/en-us/products/secondary-antibodies/goat-rabbit-igg-h-l-hrp-ab97051'>ab97051</a>) at 1/100000 dilution

Predicted band size: 53 kDa

Observed band size: 55-75 kDa

false

Exposure time: 6s

  • Carrier free

    Anti-MARCO antibody [EPR22944-66] - BSA and Azide free

Key facts

Host species

Rabbit

Clonality

Monoclonal

Clone number

EPR22944-66

Isotype

IgG

Carrier free

No

Reacts with

Mouse

Applications

IHC-Fr, ICC/IF, WB, IHC-P

applications

Immunogen

The exact immunogen used to generate this antibody is proprietary information.

Reactivity data

{ "title": "Reactivity Data", "filters": { "stats": ["", "Species", "Dilution Info", "Notes"], "tabs": { "all-applications": {"fullname" : "All Applications", "shortname": "All Applications"}, "IP" : {"fullname" : "Immunoprecipitation", "shortname":"IP"}, "FlowCyt" : {"fullname" : "Flow Cytometry", "shortname":"Flow Cyt"}, "WB" : {"fullname" : "Western blot", "shortname":"WB"}, "ICCIF" : {"fullname" : "Immunocytochemistry/ Immunofluorescence", "shortname":"ICC/IF"}, "IHCFr" : {"fullname" : "Immunohistochemistry (Frozen sections)", "shortname":"IHC-Fr"}, "IHCP" : {"fullname" : "Immunohistochemistry (Formalin/PFA-fixed paraffin-embedded sections)", "shortname":"IHC-P"} }, "product-promise": { "all": "all", "testedAndGuaranteed": "tested", "guaranteed": "expected", "predicted": "predicted", "notRecommended": "not-recommended" } }, "values": { "Mouse": { "IP-species-checked": "notRecommended", "IP-species-dilution-info": "", "IP-species-notes": "<p></p>", "FlowCyt-species-checked": "notRecommended", "FlowCyt-species-dilution-info": "", "FlowCyt-species-notes": "<p></p>", "WB-species-checked": "testedAndGuaranteed", "WB-species-dilution-info": "1/1000", "WB-species-notes": "<p></p>", "ICCIF-species-checked": "testedAndGuaranteed", "ICCIF-species-dilution-info": "1/50", "ICCIF-species-notes": "<p></p>", "IHCFr-species-checked": "testedAndGuaranteed", "IHCFr-species-dilution-info": "1/500", "IHCFr-species-notes": "<p></p>", "IHCP-species-checked": "testedAndGuaranteed", "IHCP-species-dilution-info": "1/1000", "IHCP-species-notes": "<p></p>" } } }

Product details

Patented technology
Our RabMAb® technology is a patented hybridoma-based technology for making rabbit monoclonal antibodies. For details on our patents, please refer to RabMAb® patents.

What are the advantages of a recombinant monoclonal antibody?
This product is a recombinant monoclonal antibody, which offers several advantages including:

  • - High batch-to-batch consistency and reproducibility
  • - Improved sensitivity and specificity
  • - Long-term security of supply
  • - Animal-free batch production

For more information, read more on recombinant antibodies.

Properties and storage information

Form
Liquid
Purification technique
Affinity purification Protein A
Storage buffer
pH: 7.2 - 7.4 Preservative: 0.01% Sodium azide Constituents: PBS, 40% Glycerol (glycerin, glycerine), 0.05% BSA
Shipped at conditions
Blue Ice
Appropriate short-term storage duration
1-2 weeks
Appropriate short-term storage conditions
+4°C
Appropriate long-term storage conditions
-20°C
Aliquoting information
Upon delivery aliquot
Storage information
Avoid freeze / thaw cycle

Product protocols

For this product, it's our understanding that no specific protocols are required. You can visit:

Target data

Pattern recognition receptor (PRR) which binds Gram-positive and Gram-negative bacteria (PubMed : 7867067). Also plays a role in binding of unopsonized particles by alveolar macrophages (By similarity). Binds to the secretoglobin SCGB3A2 (By similarity).
See full target information Marco

Publications (3)

Recent publications for all applications. Explore the full list and refine your search

Nature communications 16:8128 PubMed40885741

2025

Targeting phagocytosis for amyloid-β clearance: implications of morphology remodeling and microglia activation probed by bifunctional chimaeras.

Applications

Unspecified application

Species

Unspecified reactive species

Youqiao Wang,Zeyi Wang,Ziyi Liu,Jinyan Li,Shuo Yang,Yuxuan Zhao,Yangmei Huang,Chenyang Liao,Yiqiu Zhang,Jiaojiao Zhao,Weilin Zhou,Binhua Zhou,Xin Yue,Qiang Zhou,Xianzhang Bu

Cancer immunology, immunotherapy : CII 73:78 PubMed38554152

2024

Lipid droplets-related Perilipin-3: potential immune checkpoint and oncogene in oral squamous cell carcinoma.

Applications

Unspecified application

Species

Unspecified reactive species

Yijia He,Lingyun Liu,Yuexin Dong,Xiaoxin Zhang,Yuxian Song,Yue Jing,Yanhong Ni,Yi Wang,Zhiyong Wang,Liang Ding

JCI insight 8: PubMed36472923

2023

Hepatocyte-derived DPP4 regulates portal GLP-1 bioactivity, modulates glucose production, and when absent influences NAFLD progression.

Applications

Unspecified application

Species

Unspecified reactive species

Natasha A Trzaskalski,Branka Vulesevic,My-Anh Nguyen,Natasha Jeraj,Evgenia Fadzeyeva,Nadya M Morrow,Cassandra Aa Locatelli,Nicole Travis,Antonio A Hanson,Julia Rc Nunes,Conor O'Dwyer,Jelske N van der Veen,Ilka Lorenzen-Schmidt,Rick Seymour,Serena M Pulente,Andrew C Clément,Angela M Crawley,René L Jacobs,Mary-Anne Doyle,Curtis L Cooper,Kyoung-Han Kim,Morgan D Fullerton,Erin E Mulvihill
View all publications

Product promise

We are committed to supporting your work with high-quality reagents, and we're here for you every step of the way. In the unlikely event that one of our products does not perform as expected, you're protected by our Product Promise.
For full details, please see our Terms & Conditions

Please note: All products are 'FOR RESEARCH USE ONLY. NOT FOR USE IN DIAGNOSTIC OR THERAPEUTIC PROCEDURES'.

For licensing inquiries, please contact partnerships@abcam.com