JavaScript is disabled in your browser. Please enable JavaScript to view this website.
AB259266

Anti-MARCO antibody [EPR22944-66] - BSA and Azide free

Be the first to review this product! Submit a review

|

(0 Publication)

Rabbit Recombinant Monoclonal MARCO antibody. Carrier free. Suitable for WB, ICC/IF, IHC-Fr, IHC-P and reacts with Mouse samples.

View Alternative Names

Macrophage receptor MARCO, Macrophage receptor with collagenous structure, Marco

4 Images
Immunohistochemistry (Frozen sections) - Anti-MARCO antibody [EPR22944-66] - BSA and Azide free (AB259266)
  • IHC-Fr

Unknown

Immunohistochemistry (Frozen sections) - Anti-MARCO antibody [EPR22944-66] - BSA and Azide free (AB259266)

4% PFA-fixed, 0.2% Triton X-100 permeabilized frozen section of mouse spleen tissue labeling MARCO using ab259264 at 1/500 dilution, followed by ab150077 AlexaFluor®488 Goat anti-Rabbit secondary antibody at 1/1000 dilution (green). The nuclear counter stain is DAPI (blue). Positive staining on mouse splenic marginal zone (PMID : 24670793).

Heat mediated antigen retrieval using sodium citrate buffer (10mM citrate pH 6.0 + 0.05% Tween-20).

This data was developed using the same antibody clone in a different buffer formulation containing PBS, BSA, glycerol, and sodium azide (ab259264).

Immunohistochemistry (Formalin/PFA-fixed paraffin-embedded sections) - Anti-MARCO antibody [EPR22944-66] - BSA and Azide free (AB259266)
  • IHC-P

Unknown

Immunohistochemistry (Formalin/PFA-fixed paraffin-embedded sections) - Anti-MARCO antibody [EPR22944-66] - BSA and Azide free (AB259266)

Immunohistochemical analysis of paraffin-embedded Mouse spleen tissue labeling MARCO with ab259264 at 1/1000 dilution (0.501 ug/ml) followed by a ready to use Rabbit specific IHC polymer detection kit HRP/DAB (ab209101). Positive staining on macrophages of mouse spleen (PMID : 12874264, 15494482). The section was incubated with ab259264 for 30 mins at room temperature. The immunostaining was performed on a Leica Biosystems BOND®RX instrument. Counterstained with Hematoxylin.

Secondary antibody only control : Secondary antibody is a ready to use Rabbit specific IHC polymer detection kit HRP/DAB (ab209101).

Heat mediated antigen retrieval with Tris-EDTA buffer (pH 9.0, epitope retrieval solution 2) for 20mins.

This data was developed using the same antibody clone in a different buffer formulation containing PBS, BSA, glycerol, and sodium azide (ab259264).

Immunocytochemistry/ Immunofluorescence - Anti-MARCO antibody [EPR22944-66] - BSA and Azide free (AB259266)
  • ICC/IF

Unknown

Immunocytochemistry/ Immunofluorescence - Anti-MARCO antibody [EPR22944-66] - BSA and Azide free (AB259266)

Immunofluorescent analysis of 4% Paraformaldehyde-fixed, 0.1% TritonX-100 permeabilized J744A.1 (Mouse reticulum cell sarcoma monocyte macrophage) cells labelling MARCO with ab259264 at 1/50 (10 ug/ml) dilution, followed by ab259264 anti-MARCO ab150077 AlexaFluor®488 Goat anti-Rabbit secondary antibody at 1/1000 (2 ug/ml) dilution (Green). UNABLE TO ENCODE THE VARIABLE PLEASE DO MANUALLY is observed. ab195889 Anti-alpha Tubulin antibody [DM1A] - Microtubule Marker (Alexa Fluor® 594) was used to counterstain tubulin at 1/200 dilution (Red). The Nuclear counterstain was DAPI (Blue).

Secondary antibody only control : Secondary antibody is ab259264 anti-MARCO ab150077 AlexaFluor®488 Goat anti-Rabbit secondary at 1/1000 (2 ug/ml) dilution.

This data was developed using the same antibody clone in a different buffer formulation containing PBS, BSA, glycerol, and sodium azide (ab259264).

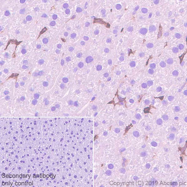
Immunohistochemistry (Formalin/PFA-fixed paraffin-embedded sections) - Anti-MARCO antibody [EPR22944-66] - BSA and Azide free (AB259266)
  • IHC-P

Unknown

Immunohistochemistry (Formalin/PFA-fixed paraffin-embedded sections) - Anti-MARCO antibody [EPR22944-66] - BSA and Azide free (AB259266)

Immunohistochemical analysis of paraffin-embedded Mouse liver tissue labeling MARCO with ab259264 at 1/1000 dilution (0.501 ug/ml) followed by a ready to use Rabbit specific IHC polymer detection kit HRP/DAB (ab209101). Positive staining on Kupffer cells of mouse liver. The section was incubated with ab259264 for 30 mins at room temperature. The immunostaining was performed on a Leica Biosystems BOND® RX instrument. Counterstained with Hematoxylin.

Secondary antibody only control : Secondary antibody is a ready to use Rabbit specific IHC polymer detection kit HRP/DAB (ab209101).

Heat mediated antigen retrieval with Tris-EDTA buffer (pH 9.0, epitope retrieval solution 2) for 20mins.

This data was developed using the same antibody clone in a different buffer formulation containing PBS, BSA, glycerol, and sodium azide (ab259264).

Key facts

Host species

Rabbit

Clonality

Monoclonal

Clone number

EPR22944-66

Isotype

IgG

Carrier free

Yes

Reacts with

Mouse

Applications

IHC-P, WB, ICC/IF, IHC-Fr

applications

Immunogen

The exact immunogen used to generate this antibody is proprietary information.

Reactivity data

{ "title": "Reactivity Data", "filters": { "stats": ["", "Species", "Dilution Info", "Notes"], "tabs": { "all-applications": {"fullname" : "All Applications", "shortname": "All Applications"}, "IP" : {"fullname" : "Immunoprecipitation", "shortname":"IP"}, "FlowCyt" : {"fullname" : "Flow Cytometry", "shortname":"Flow Cyt"}, "WB" : {"fullname" : "Western blot", "shortname":"WB"}, "ICCIF" : {"fullname" : "Immunocytochemistry/ Immunofluorescence", "shortname":"ICC/IF"}, "IHCFr" : {"fullname" : "Immunohistochemistry (Frozen sections)", "shortname":"IHC-Fr"}, "IHCP" : {"fullname" : "Immunohistochemistry (Formalin/PFA-fixed paraffin-embedded sections)", "shortname":"IHC-P"} }, "product-promise": { "all": "all", "testedAndGuaranteed": "tested", "guaranteed": "expected", "predicted": "predicted", "notRecommended": "not-recommended" } }, "values": { "Mouse": { "IP-species-checked": "notRecommended", "IP-species-dilution-info": "", "IP-species-notes": "<p></p>", "FlowCyt-species-checked": "notRecommended", "FlowCyt-species-dilution-info": "", "FlowCyt-species-notes": "<p></p>", "WB-species-checked": "guaranteed", "WB-species-dilution-info": "", "WB-species-notes": "<p></p>", "ICCIF-species-checked": "testedAndGuaranteed", "ICCIF-species-dilution-info": "", "ICCIF-species-notes": "<p></p>", "IHCFr-species-checked": "testedAndGuaranteed", "IHCFr-species-dilution-info": "", "IHCFr-species-notes": "<p></p>", "IHCP-species-checked": "testedAndGuaranteed", "IHCP-species-dilution-info": "", "IHCP-species-notes": "<p>Heat mediated antigen retrieval with Tris-EDTA buffer (pH 9.0, epitope retrieval solution 2) for 20 mins.</p>" } } }

Product details

ab259266 is the carrier-free version of ab259264.

Patented technology
Our RabMAb® technology is a patented hybridoma-based technology for making rabbit monoclonal antibodies. For details on our patents, please refer to RabMAb® patents.

What are the advantages of a recombinant monoclonal antibody?
This product is a recombinant monoclonal antibody, which offers several advantages including:

  • - High batch-to-batch consistency and reproducibility
  • - Improved sensitivity and specificity
  • - Long-term security of supply
  • - Animal-free batch production

For more information, read more on recombinant antibodies.

Conjugation ready
Our carrier-free antibodies are typically supplied in a PBS-only formulation, purified and free of BSA, sodium azide and glycerol. This conjugation-ready format is designed for use with fluorochromes, metal isotopes, oligonucleotides, and enzymes, which makes them ideal for antibody labelling, functional and cell-based assays, flow-based assays (e.g. mass cytometry) and Multiplex Imaging applications.

Use our conjugation kits for antibody conjugates that are ready-to-use in as little as 20 minutes with 1 minute hands-on-time and 100% antibody recovery: available for fluorescent dyes, HRP, biotin and gold.

Compatibility
This product is compatible with the Maxpar® Antibody Labeling Kit from Fluidigm, without the need for antibody preparation. Maxpar® is a trademark of Fluidigm Canada Inc.

Properties and storage information

Form
Liquid
Purification technique
Affinity purification Protein A
Storage buffer
pH: 7.2 - 7.4 Constituents: PBS
Shipped at conditions
Blue Ice
Appropriate short-term storage conditions
+4°C
Appropriate long-term storage conditions
+4°C
Storage information
Do Not Freeze

Product protocols

For this product, it's our understanding that no specific protocols are required. You can visit:

Target data

Pattern recognition receptor (PRR) which binds Gram-positive and Gram-negative bacteria (PubMed : 7867067). Also plays a role in binding of unopsonized particles by alveolar macrophages (By similarity). Binds to the secretoglobin SCGB3A2 (By similarity).
See full target information Marco

Product promise

We are committed to supporting your work with high-quality reagents, and we're here for you every step of the way. In the unlikely event that one of our products does not perform as expected, you're protected by our Product Promise.
For full details, please see our Terms & Conditions

Please note: All products are 'FOR RESEARCH USE ONLY. NOT FOR USE IN DIAGNOSTIC OR THERAPEUTIC PROCEDURES'.

For licensing inquiries, please contact partnerships@abcam.com