JavaScript is disabled in your browser. Please enable JavaScript to view this website.
AB74131

Anti-MARK 1+2+3+4 antibody

Be the first to review this product! Submit a review

|

(4 Publications)

Rabbit Polyclonal MARK1 antibody. Suitable for WB, IHC-P, ICC/IF and reacts with African green monkey, Human samples. Cited in 4 publications. Immunogen corresponding to Synthetic Peptide within Human MARK1.

View Alternative Names

KIAA1477, MARK, MARK1, Serine/threonine-protein kinase MARK1, MAP/microtubule affinity-regulating kinase 1, PAR1 homolog c, Par-1c, Par1c

3 Images
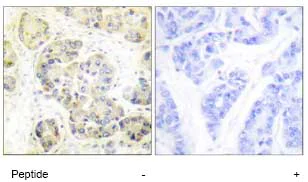
Immunohistochemistry (Formalin/PFA-fixed paraffin-embedded sections) - Anti-MARK 1+2+3+4 antibody (AB74131)
  • IHC-P

Unknown

Immunohistochemistry (Formalin/PFA-fixed paraffin-embedded sections) - Anti-MARK 1+2+3+4 antibody (AB74131)

Immunohistochemical analysis of paraffin-embedded human breast carcinoma tissue using ab74131, at 1/50 dilution, in the presence (right panel) or absence (left panel) of immunising peptide.

Immunocytochemistry/ Immunofluorescence - Anti-MARK 1+2+3+4 antibody (AB74131)
  • ICC/IF

Unknown

Immunocytochemistry/ Immunofluorescence - Anti-MARK 1+2+3+4 antibody (AB74131)

Immunofluorescence analysis of HeLa cells, using ab74131 at 1/100 dilution, in the presence (right panel) or absence (left panel) of immunising peptide.

Western blot - Anti-MARK 1+2+3+4 antibody (AB74131)
  • WB

Supplier Data

Western blot - Anti-MARK 1+2+3+4 antibody (AB74131)

All lanes:

Western blot - Anti-MARK 1+2+3+4 antibody (ab74131) at 1/500 dilution

Lane 1:

Extracts from COS-7 cells at 5 µg

Lane 2:

Extracts from COS-7 cells at 5 µg with immunising peptide

Predicted band size: 89 kDa

Observed band size: 89 kDa

false

Key facts

Host species

Rabbit

Clonality

Polyclonal

Isotype

IgG

Carrier free

No

Reacts with

Human, African green monkey

Applications

WB, IHC-P, ICC/IF

applications

Immunogen

Synthetic Peptide within Human MARK1. The exact immunogen used to generate this antibody is proprietary information.

Q9P0L2

Reactivity data

{ "title": "Reactivity Data", "filters": { "stats": ["", "Species", "Dilution Info", "Notes"], "tabs": { "all-applications": {"fullname" : "All Applications", "shortname": "All Applications"}, "WB" : {"fullname" : "Western blot", "shortname":"WB"}, "IHCP" : {"fullname" : "Immunohistochemistry (Formalin/PFA-fixed paraffin-embedded sections)", "shortname":"IHC-P"}, "ICCIF" : {"fullname" : "Immunocytochemistry/ Immunofluorescence", "shortname":"ICC/IF"} }, "product-promise": { "all": "all", "testedAndGuaranteed": "tested", "guaranteed": "expected", "predicted": "predicted", "notRecommended": "not-recommended" } }, "values": { "Human": { "WB-species-checked": "guaranteed", "WB-species-dilution-info": "", "WB-species-notes": "", "IHCP-species-checked": "testedAndGuaranteed", "IHCP-species-dilution-info": "1/50 - 1/100", "IHCP-species-notes": "<p></p>", "ICCIF-species-checked": "testedAndGuaranteed", "ICCIF-species-dilution-info": "1/100 - 1/500", "ICCIF-species-notes": "<p></p>" }, "Rat": { "WB-species-checked": "predicted", "WB-species-dilution-info": "", "WB-species-notes": "", "IHCP-species-checked": "predicted", "IHCP-species-dilution-info": "", "IHCP-species-notes": "", "ICCIF-species-checked": "predicted", "ICCIF-species-dilution-info": "", "ICCIF-species-notes": "" }, "African green monkey": { "WB-species-checked": "testedAndGuaranteed", "WB-species-dilution-info": "1/500 - 1/1000", "WB-species-notes": "<p></p>", "IHCP-species-checked": "guaranteed", "IHCP-species-dilution-info": "", "IHCP-species-notes": "", "ICCIF-species-checked": "guaranteed", "ICCIF-species-dilution-info": "", "ICCIF-species-notes": "" } } }

Properties and storage information

Form
Liquid
Purification technique
Affinity purification Immunogen
Storage buffer
pH: 7.4 Preservative: 0.02% Sodium azide Constituents: PBS, 50% Glycerol (glycerin, glycerine), 0.87% Sodium chloride
Shipped at conditions
Blue Ice
Appropriate short-term storage conditions
+4°C
Appropriate long-term storage conditions
-20°C
Storage information
Stable for 12 months at -20°C

Product protocols

For this product, it's our understanding that no specific protocols are required. You can visit:

Target data

Serine/threonine-protein kinase (PubMed : 23666762). Involved in cell polarity and microtubule dynamics regulation. Phosphorylates DCX, MAP2 and MAP4. Phosphorylates the microtubule-associated protein MAPT/TAU (PubMed : 23666762). Involved in cell polarity by phosphorylating the microtubule-associated proteins MAP2, MAP4 and MAPT/TAU at KXGS motifs, causing detachment from microtubules, and their disassembly. Involved in the regulation of neuronal migration through its dual activities in regulating cellular polarity and microtubule dynamics, possibly by phosphorylating and regulating DCX. Also acts as a positive regulator of the Wnt signaling pathway, probably by mediating phosphorylation of dishevelled proteins (DVL1, DVL2 and/or DVL3).
See full target information MARK1

Additional targets

MARK2,MARK3,MARK4

Publications (4)

Recent publications for all applications. Explore the full list and refine your search

Endocrinology 163: PubMed35971301

2022

MARK2 and MARK4 Regulate Sertoli Cell BTB Dynamics Through Microtubule and Actin Cytoskeletons.

Applications

Unspecified application

Species

Unspecified reactive species

Elizabeth I Tang,C Yan Cheng

Cell reports 27:2948-2961.e7 PubMed31167140

2019

Activation of Mevalonate Pathway via LKB1 Is Essential for Stability of T Cells.

Applications

Unspecified application

Species

Unspecified reactive species

Maheshwor Timilshina,Zhiwei You,Sonja M Lacher,Suman Acharya,Liyuan Jiang,Youra Kang,Jung-Ae Kim,Hyeun Wook Chang,Keuk-Jun Kim,Byoungduck Park,Jae-Hyoung Song,Hyun-Jeong Ko,Yun-Yong Park,Min-Jung Ma,Mahesh Raj Nepal,Tae Cheon Jeong,Yeonseok Chung,Ari Waisman,Jae-Hoon Chang

Spermatogenesis 2:117-126 PubMed22670221

2012

Microtubule affinity-regulating kinase 4 (MARK4) is a component of the ectoplasmic specialization in the rat testis.

Applications

Unspecified application

Species

Unspecified reactive species

Elizabeth I Tang,Xiang Xiao,Dolores D Mruk,Xiao-Jing Qian,Ka-Wai Mok,Pranitha Jenardhanan,Will M Lee,Premendu P Mathur,C Yan Cheng

PloS one 7:e31583 PubMed22348111

2012

LKB1 destabilizes microtubules in myoblasts and contributes to myoblast differentiation.

Applications

WB

Species

Mouse

Isma Mian,Willythssa Stéphie Pierre-Louis,Neha Dole,Renée M Gilberti,Kimberly Dodge-Kafka,Jennifer S Tirnauer
View all publications

Product promise

We are committed to supporting your work with high-quality reagents, and we're here for you every step of the way. In the unlikely event that one of our products does not perform as expected, you're protected by our Product Promise.
For full details, please see our Terms & Conditions

Please note: All products are 'FOR RESEARCH USE ONLY. NOT FOR USE IN DIAGNOSTIC OR THERAPEUTIC PROCEDURES'.

For licensing inquiries, please contact partnerships@abcam.com