JavaScript is disabled in your browser. Please enable JavaScript to view this website.
AB235198

Anti-MASH1/Achaete-scute homolog 1 antibody

Be the first to review this product! Submit a review

|

(0 Publication)

Goat Polyclonal MASH1/Achaete-scute homolog 1 antibody. Suitable for IHC-P, WB and reacts with Human, Mouse samples.

View Alternative Names

ASH1, BHLHA46, HASH1, ASCL1, Achaete-scute homolog 1, ASH-1, hASH1, Class A basic helix-loop-helix protein 46, bHLHa46

3 Images
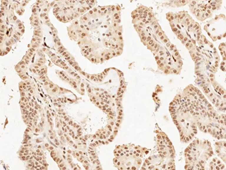
Immunohistochemistry (Formalin/PFA-fixed paraffin-embedded sections) - Anti-MASH1/Achaete-scute homolog 1 antibody (AB235198)
  • IHC-P

Supplier Data

Immunohistochemistry (Formalin/PFA-fixed paraffin-embedded sections) - Anti-MASH1/Achaete-scute homolog 1 antibody (AB235198)

Human thyroid papillary carcinoma tissue stained for MASH1/Achaete-scute homolog 1 with ab235198 at a 1/1000 dilution in immunohistochemical analysis. Counterstained with hematoxylin. Antigen retrieval HIER pH 6. No fixative.

Western blot - Anti-MASH1/Achaete-scute homolog 1 antibody (AB235198)
  • WB

Supplier Data

Western blot - Anti-MASH1/Achaete-scute homolog 1 antibody (AB235198)

All lanes:

Western blot - Anti-MASH1/Achaete-scute homolog 1 antibody (ab235198) at 1/1000 dilution

Lane 1:

Mouse pancreas lysate at 35 µg

Lane 2:

SH-SY5Y (Human neuroblastoma cell line from bone marrow) whole cell lysate at 35 µg

Secondary

All lanes:

Anti-Goat IgG (H&L) (Rabbit) peroxidase conjugated at 1/5000 dilution

Predicted band size: 25 kDa

false

Western blot - Anti-MASH1/Achaete-scute homolog 1 antibody (AB235198)
  • WB

Supplier Data

Western blot - Anti-MASH1/Achaete-scute homolog 1 antibody (AB235198)

All lanes:

Western blot - Anti-MASH1/Achaete-scute homolog 1 antibody (ab235198) at 1/1000 dilution

All lanes:

MASH1/Achaete-scute homolog 1 human recombinant protein C-MYC/DDK-tagged, 50 ng

Secondary

All lanes:

Donkey Fab2-anti-Goat [H&L] mx8 HRP at 1/5000 dilution

Predicted band size: 25 kDa

false

Exposure time: 15s

Key facts

Host species

Goat

Clonality

Polyclonal

Isotype

IgG

Carrier free

No

Reacts with

Mouse, Human

Applications

IHC-P, WB

applications

Immunogen

The exact immunogen used to generate this antibody is proprietary information.

Reactivity data

{ "title": "Reactivity Data", "filters": { "stats": ["", "Species", "Dilution Info", "Notes"], "tabs": { "all-applications": {"fullname" : "All Applications", "shortname": "All Applications"}, "IHCP" : {"fullname" : "Immunohistochemistry (Formalin/PFA-fixed paraffin-embedded sections)", "shortname":"IHC-P"}, "WB" : {"fullname" : "Western blot", "shortname":"WB"} }, "product-promise": { "all": "all", "testedAndGuaranteed": "tested", "guaranteed": "expected", "predicted": "predicted", "notRecommended": "not-recommended" } }, "values": { "Human": { "IHCP-species-checked": "testedAndGuaranteed", "IHCP-species-dilution-info": "1/1000", "IHCP-species-notes": "<p></p> Perform heat-mediated antigen retrieval with citrate buffer pH 6 before commencing with IHC staining protocol.", "WB-species-checked": "testedAndGuaranteed", "WB-species-dilution-info": "1/1000", "WB-species-notes": "<p></p>" }, "Mouse": { "IHCP-species-checked": "guaranteed", "IHCP-species-dilution-info": "", "IHCP-species-notes": "", "WB-species-checked": "testedAndGuaranteed", "WB-species-dilution-info": "1/1000", "WB-species-notes": "<p></p>" }, "Rat": { "IHCP-species-checked": "predicted", "IHCP-species-dilution-info": "", "IHCP-species-notes": "", "WB-species-checked": "predicted", "WB-species-dilution-info": "", "WB-species-notes": "" } } }

Properties and storage information

Form
Liquid
Purification technique
Affinity purification
Storage buffer
Preservative: 0.01% Sodium azide Constituents: PBS
Shipped at conditions
Blue Ice
Appropriate short-term storage duration
1-2 weeks
Appropriate short-term storage conditions
+4°C
Appropriate long-term storage conditions
-20°C
Aliquoting information
Upon delivery aliquot
Storage information
Avoid freeze / thaw cycle

Supplementary information

This supplementary information is collated from multiple sources and compiled automatically.

The MASH1 protein also known as Achaete-Scute homolog 1 (ASCL1) plays an important role in neurogenesis. It acts as a transcription factor and regulates neuronal differentiation. MASH1 has a molecular weight of approximately 34 kDa. It expresses predominantly in the nervous system including the developing neural tube and peripheral ganglia and it can also be found in certain regions of the brain during embryonic development. ASCL1 is part of the basic helix-loop-helix (bHLH) family of transcription factors which are key regulators of neuronal identity and function.
Biological function summary

This protein regulates the expression of genes important for the development of neuronal precursors. MASH1 does not act alone; it forms heterodimers with other bHLH proteins which enhance its ability to bind DNA and influence gene transcription. It helps convert multipotent neural progenitors into committed neuronal precursors which later differentiate into specific neuronal cell types. MASH1's role is particularly important during early stages of neuronal differentiation ensuring proper formation and maturation of the nervous system.

Pathways

MASH1 is central to the Notch signaling pathway and other pathways involved in neural differentiation. Within the Notch pathway MASH1 interacts with proteins like HES1 to balance the differentiation of neural progenitor cells into neurons and glial cells. This protein also connects with other pathway components such as NEUROG2 a downstream target to promote neuronal fate specification. These interactions illustrate MASH1’s integration into complex signaling networks that govern cell fate decisions during neurogenesis.

MASH1 has significant associations with neurodevelopmental disorders and certain cancers. Aberrant ASCL1 activity links to conditions like Hirschsprung's disease where neural crest development is impaired and some types of lung cancer particularly pulmonary neuroendocrine tumors. It is known to interact with the RET protein in the context of Hirschsprung's disease and with proteins like MYC in cancer pathways highlighting its multifaceted involvement in pathology. Understanding these associations helps elucidate the mechanisms of these diseases and supports therapeutic target development.

Product protocols

For this product, it's our understanding that no specific protocols are required. You can visit:

Target data

Transcription factor that plays a key role in neuronal differentiation : acts as a pioneer transcription factor, accessing closed chromatin to allow other factors to bind and activate neural pathways. Directly binds the E box motif (5'-CANNTG-3') on promoters and promotes transcription of neuronal genes. The combination of three transcription factors, ASCL1, POU3F2/BRN2 and MYT1L, is sufficient to reprogram fibroblasts and other somatic cells into induced neuronal (iN) cells in vitro. Plays a role at early stages of development of specific neural lineages in most regions of the CNS, and of several lineages in the PNS. Essential for the generation of olfactory and autonomic neurons. Acts synergistically with FOXN4 to specify the identity of V2b neurons rather than V2a from bipotential p2 progenitors during spinal cord neurogenesis, probably through DLL4-NOTCH signaling activation. Involved in the regulation of neuroendocrine cell development in the glandular stomach (By similarity).
See full target information ASCL1

Product promise

We are committed to supporting your work with high-quality reagents, and we're here for you every step of the way. In the unlikely event that one of our products does not perform as expected, you're protected by our Product Promise.
For full details, please see our Terms & Conditions

Please note: All products are 'FOR RESEARCH USE ONLY. NOT FOR USE IN DIAGNOSTIC OR THERAPEUTIC PROCEDURES'.

For licensing inquiries, please contact partnerships@abcam.com