JavaScript is disabled in your browser. Please enable JavaScript to view this website.
AB251539

Anti-MASH1/Achaete-scute homolog 1 antibody [EPR19592] - BSA and Azide free

Be the first to review this product! Submit a review

|

(0 Publication)

Rabbit Recombinant Monoclonal MASH1/Achaete-scute homolog 1 antibody. Carrier free. Suitable for IHC-P, WB and reacts with Human, Rat, Mouse samples.

View Alternative Names

ASH1, BHLHA46, HASH1, ASCL1, Achaete-scute homolog 1, ASH-1, hASH1, Class A basic helix-loop-helix protein 46, bHLHa46

10 Images
Immunohistochemistry (Formalin/PFA-fixed paraffin-embedded sections) - Anti-MASH1/Achaete-scute homolog 1 antibody [EPR19592] - BSA and Azide free (AB251539)
  • IHC-P

Supplier Data

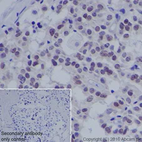
Immunohistochemistry (Formalin/PFA-fixed paraffin-embedded sections) - Anti-MASH1/Achaete-scute homolog 1 antibody [EPR19592] - BSA and Azide free (AB251539)

This data was developed using ab213151, the same antibody clone in a different buffer formulation.

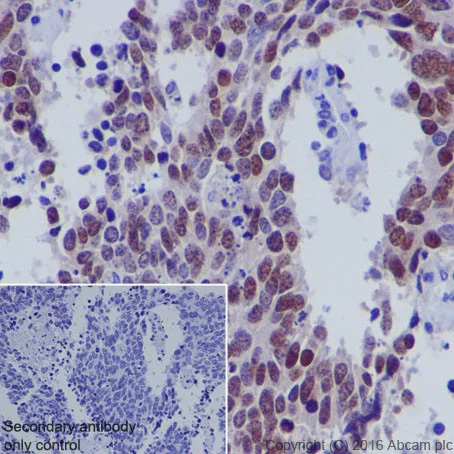
Immunohistochemical analysis of paraffin-embedded human lung small cell carcinoma tissue labeling MASH1/Achaete-scute homolog 1 with ab213151 at 1/1000 dilution, followed by Goat Anti-Rabbit IgG H&L (HRP) at 1/500 dilution. Nuclear staining on human lung small cell carcinoma is observed. Counter stained with Hematoxylin.

Secondary antibody only control : Used PBS instead of primary antibody, secondary antibody is Goat Anti-Rabbit IgG H&L (HRP) at 1/500 dilution.

Perform heat mediated antigen retrieval with Tris/EDTA buffer pH 9.0 before commencing with IHC staining protocol.

Immunohistochemistry (Formalin/PFA-fixed paraffin-embedded sections) - Anti-MASH1/Achaete-scute homolog 1 antibody [EPR19592] - BSA and Azide free (AB251539)
  • IHC-P

Lab

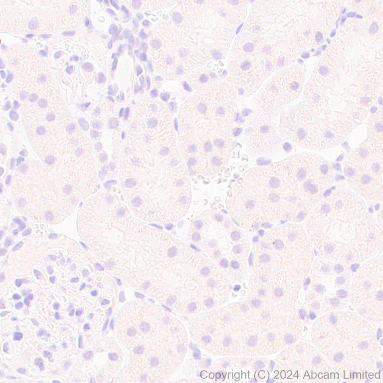
Immunohistochemistry (Formalin/PFA-fixed paraffin-embedded sections) - Anti-MASH1/Achaete-scute homolog 1 antibody [EPR19592] - BSA and Azide free (AB251539)

This data was developed using the same antibody clone in a different buffer formulation containing PBS, BSA, glycerol, and sodium azide (ab213151).

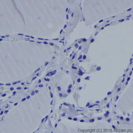
Immunohistochemical analysis of paraffin-embedded Rat kidney tissue labeling MASH1/Achaete-scute homolog 1 with ab213151 at 1/100 (9.55 µg/ml) dilution, followed by a ready to use Rabbit specific IHC polymer detection kit HRP/DAB (ab209101).

Negative control : no staining on rat kidney.
The section was incubated with ab213151 for 30 mins at room temperature.
The immunostaining was performed on a Leica Biosystems BOND® RX instrument.
Counterstained with hematoxylin.

Secondary antibody only control : Secondary antibody is a ready to use Rabbit specific IHC polymer detection kit HRP/DAB (ab209101).

Heat mediated antigen retrieval was performed with Tris-EDTA buffer (pH 9.0, Epitope Retrieval Solution2) for 20 mins

Immunohistochemistry (Formalin/PFA-fixed paraffin-embedded sections) - Anti-MASH1/Achaete-scute homolog 1 antibody [EPR19592] - BSA and Azide free (AB251539)
  • IHC-P

Lab

Immunohistochemistry (Formalin/PFA-fixed paraffin-embedded sections) - Anti-MASH1/Achaete-scute homolog 1 antibody [EPR19592] - BSA and Azide free (AB251539)

This data was developed using the same antibody clone in a different buffer formulation containing PBS, BSA, glycerol, and sodium azide (ab213151).

Immunohistochemical analysis of paraffin-embedded Rat cerebrum tissue labeling MASH1/Achaete-scute homolog 1 with ab213151 at 1/100 (9.55 µg/ml) dilution, followed by a ready to use Rabbit specific IHC polymer detection kit HRP/DAB (ab209101).

Positive staining on rat cerebrum.
The section was incubated with ab213151 for 30 mins at room temperature.
The immunostaining was performed on a Leica Biosystems BOND® RX instrument.
Counterstained with hematoxylin.

Secondary antibody only control : Secondary antibody is a ready to use Rabbit specific IHC polymer detection kit HRP/DAB (ab209101).

Heat mediated antigen retrieval was performed with Tris-EDTA buffer (pH 9.0, Epitope Retrieval Solution2) for 20 mins

Western blot - Anti-MASH1/Achaete-scute homolog 1 antibody [EPR19592] - BSA and Azide free (AB251539)
  • WB

Lab

Western blot - Anti-MASH1/Achaete-scute homolog 1 antibody [EPR19592] - BSA and Azide free (AB251539)

This data was developed using the same antibody clone in a different buffer formulation containing PBS, BSA, glycerol, and sodium azide (ab213151).

Blocking and diluting buffer and concentration : 5% NFDM/TBST.

In lane 2, the lysate was stored at -80° prior to Western Blotting. The bands beneath the target band (30 kDa) are likey to be degradation products. In lane 1, To minimize protein degradation, cells were lysed immediately after harvest and then applied to a gel and transfer membrane for Western blotting as soon as possible.

All lanes:

Western blot - Anti-MASH1/Achaete-scute homolog 1 antibody [EPR19592] (<a href='/en-us/products/primary-antibodies/mash1-achaete-scute-homolog-1-antibody-epr19592-ab213151'>ab213151</a>) at 1/1000 dilution

All lanes:

NCI-H69 (human lung small cell carcinoma cell line) whole cell lysate at 20 µg

Secondary

All lanes:

Western blot - Goat Anti-Rabbit IgG H&L (HRP) (<a href='/en-us/products/secondary-antibodies/goat-rabbit-igg-h-l-hrp-ab97051'>ab97051</a>) at 1/20000 dilution

Observed band size: 30 kDa

false

Exposure time: 59s

Western blot - Anti-MASH1/Achaete-scute homolog 1 antibody [EPR19592] - BSA and Azide free (AB251539)
  • WB

Lab

Western blot - Anti-MASH1/Achaete-scute homolog 1 antibody [EPR19592] - BSA and Azide free (AB251539)

This data was developed using the same antibody clone in a different buffer formulation containing PBS, BSA, glycerol, and sodium azide (ab213151).

Blocking and diluting buffer and concentration : 5% NFDM/TBST.

Negative control : kidney, heart and spleen.
The bands beneath the target band (30 kDa) are likey to be degradation products.

ab181602 was used as a GAPDH loading control at a 1/200000 dilution.

All lanes:

Western blot - Anti-MASH1/Achaete-scute homolog 1 antibody [EPR19592] (<a href='/en-us/products/primary-antibodies/mash1-achaete-scute-homolog-1-antibody-epr19592-ab213151'>ab213151</a>) at 1/1000 dilution

Lane 1:

Mouse brain tissue lysate at 20 µg

Lane 2:

Mouse heart tissue lysate at 20 µg

Lane 3:

Mouse kidney tissue lysate at 20 µg

Lane 4:

Mouse spleen tissue lysate at 20 µg

Lane 5:

Rat brain tissue lysate at 20 µg

Lane 6:

Rat heart tissue lysate at 20 µg

Lane 7:

Rat kidney tissue lysate at 20 µg

Lane 8:

Rat spleen tissue lysate at 20 µg

Secondary

All lanes:

Western blot - Goat Anti-Rabbit IgG H&L (HRP) (<a href='/en-us/products/secondary-antibodies/goat-rabbit-igg-h-l-hrp-ab97051'>ab97051</a>) at 1/20000 dilution

Observed band size: 30 kDa

false

Exposure time: 59s

Immunohistochemistry (Formalin/PFA-fixed paraffin-embedded sections) - Anti-MASH1/Achaete-scute homolog 1 antibody [EPR19592] - BSA and Azide free (AB251539)
  • IHC-P

Supplier Data

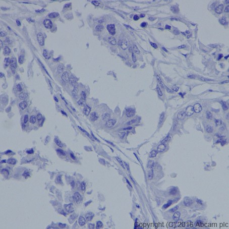
Immunohistochemistry (Formalin/PFA-fixed paraffin-embedded sections) - Anti-MASH1/Achaete-scute homolog 1 antibody [EPR19592] - BSA and Azide free (AB251539)

This data was developed using ab213151, the same antibody clone in a different buffer formulation.

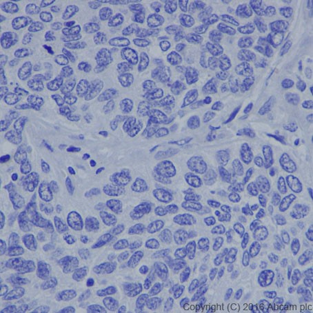
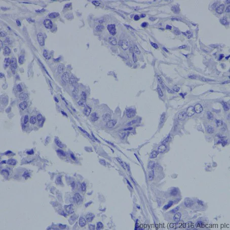
Immunohistochemical analysis of paraffin-embedded human lung adenocarcinoma tissue labeling MASH1/Achaete-scute homolog 1 with ab213151 at 1/1000 dilution, followed by Goat Anti-Rabbit IgG H&L (HRP) at 1/500 dilution. Negative staining on human lung adenocarcinoma.

Counter stained with Hematoxylin.

Perform heat mediated antigen retrieval with Tris/EDTA buffer pH 9.0 before commencing with IHC staining protocol.

Immunohistochemistry (Formalin/PFA-fixed paraffin-embedded sections) - Anti-MASH1/Achaete-scute homolog 1 antibody [EPR19592] - BSA and Azide free (AB251539)
  • IHC-P

Supplier Data

Immunohistochemistry (Formalin/PFA-fixed paraffin-embedded sections) - Anti-MASH1/Achaete-scute homolog 1 antibody [EPR19592] - BSA and Azide free (AB251539)

This data was developed using ab213151, the same antibody clone in a different buffer formulation.

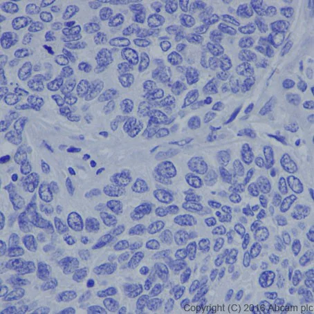
Immunohistochemical analysis of paraffin-embedded human lung squamous cell carcinoma tissue labeling MASH1/Achaete-scute homolog 1 with ab213151 at 1/1000 dilution, followed by Goat Anti-Rabbit IgG H&L (HRP) at 1/500 dilution.

Negative staining on human lung squamous cell carcinoma.

Counter stained with Hematoxylin.

Perform heat mediated antigen retrieval with Tris/EDTA buffer pH 9.0 before commencing with IHC staining protocol.

Immunohistochemistry (Formalin/PFA-fixed paraffin-embedded sections) - Anti-MASH1/Achaete-scute homolog 1 antibody [EPR19592] - BSA and Azide free (AB251539)
  • IHC-P

Supplier Data

Immunohistochemistry (Formalin/PFA-fixed paraffin-embedded sections) - Anti-MASH1/Achaete-scute homolog 1 antibody [EPR19592] - BSA and Azide free (AB251539)

This data was developed using ab213151, the same antibody clone in a different buffer formulation.

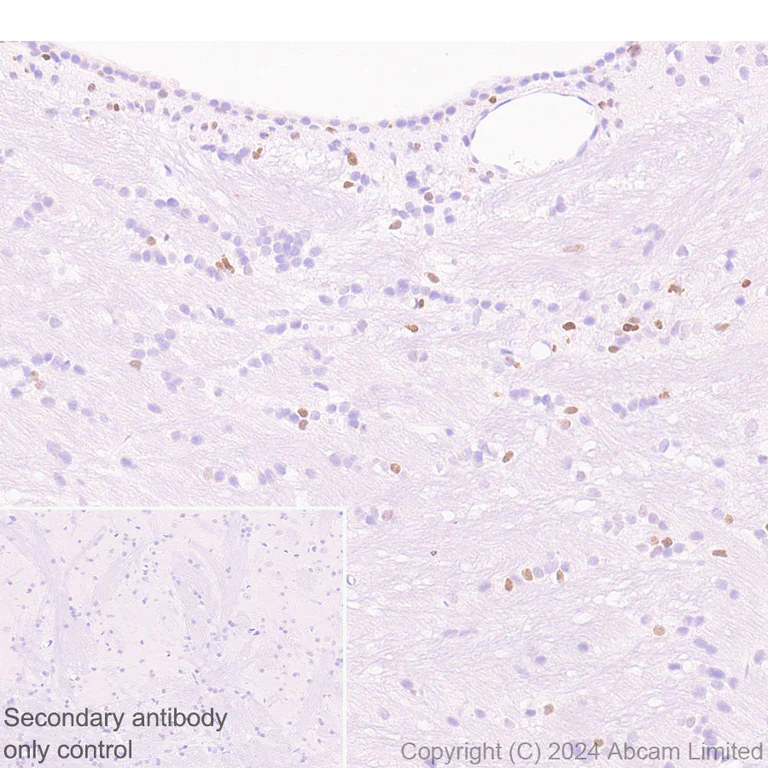
Immunohistochemical analysis of paraffin-embedded human medullary thyroid carcinoma tissue labeling MASH1/Achaete-scute homolog 1 with ab213151 at 1/1000 dilution, followed by Goat Anti-Rabbit IgG H&L (HRP) at 1/500 dilution. Nuclear staining on human medullary thyroid carcinoma is observed. Counter stained with Hematoxylin.

Secondary antibody only control : Used PBS instead of primary antibody, secondary antibody is Goat Anti-Rabbit IgG H&L (HRP) at 1/500 dilution.

Perform heat mediated antigen retrieval with Tris/EDTA buffer pH 9.0 before commencing with IHC staining protocol.

Immunohistochemistry (Formalin/PFA-fixed paraffin-embedded sections) - Anti-MASH1/Achaete-scute homolog 1 antibody [EPR19592] - BSA and Azide free (AB251539)
  • IHC-P

Supplier Data

Immunohistochemistry (Formalin/PFA-fixed paraffin-embedded sections) - Anti-MASH1/Achaete-scute homolog 1 antibody [EPR19592] - BSA and Azide free (AB251539)

This data was developed using ab213151, the same antibody clone in a different buffer formulation.

Immunohistochemical analysis of paraffin-embedded human thyroid tissue labeling MASH1/Achaete-scute homolog 1 with ab213151 at 1/1000 dilution, followed by Goat Anti-Rabbit IgG H&L (HRP) at 1/500 dilution. Negative staining on human thyroid. Counter stained with Hematoxylin.

Perform heat mediated antigen retrieval with Tris/EDTA buffer pH 9.0 before commencing with IHC staining protocol.

Immunohistochemistry (Formalin/PFA-fixed paraffin-embedded sections) - Anti-MASH1/Achaete-scute homolog 1 antibody [EPR19592] - BSA and Azide free (AB251539)
  • IHC-P

Supplier Data

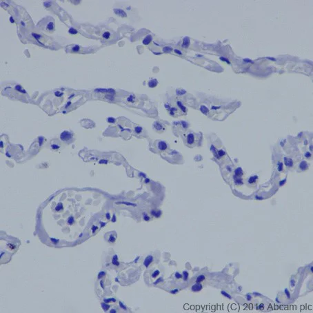
Immunohistochemistry (Formalin/PFA-fixed paraffin-embedded sections) - Anti-MASH1/Achaete-scute homolog 1 antibody [EPR19592] - BSA and Azide free (AB251539)

This data was developed using ab213151, the same antibody clone in a different buffer formulation.

Immunohistochemical analysis of paraffin-embedded human lung tissue labeling MASH1/Achaete-scute homolog 1 with ab213151 at 1/1000 dilution, followed by Goat Anti-Rabbit IgG H&L (HRP) at 1/500 dilution. Negative staining on human lung. Counter stained with Hematoxylin.

Perform heat mediated antigen retrieval with Tris/EDTA buffer pH 9.0 before commencing with IHC staining protocol.

  • Unconjugated

    Anti-MASH1/Achaete-scute homolog 1 antibody [EPR19592]

  • 519 Alexa Fluor® 488

    Alexa Fluor® 488 Anti-MASH1/Achaete-scute homolog 1 antibody [EPR19592]

  • 660 APC

    APC Anti-MASH1/Achaete-scute homolog 1 antibody [EPR19592]

  • 565 Alexa Fluor® 555

    Alexa Fluor® 555 Anti-MASH1/Achaete-scute homolog 1 antibody [EPR19592]

  • 578 PE

    PE Anti-MASH1/Achaete-scute homolog 1 antibody [EPR19592]

  • 665 Alexa Fluor® 647

    Alexa Fluor® 647 Anti-MASH1/Achaete-scute homolog 1 antibody [EPR19592]

  • 617 Alexa Fluor® 594

    Alexa Fluor® 594 Anti-MASH1/Achaete-scute homolog 1 antibody [EPR19592]

  • 775 Alexa Fluor® 750

    Alexa Fluor® 750 Anti-MASH1/Achaete-scute homolog 1 antibody [EPR19592]

Key facts

Host species

Rabbit

Clonality

Monoclonal

Clone number

EPR19592

Isotype

IgG

Carrier free

Yes

Reacts with

Mouse, Human, Rat

Applications

IHC-P, WB

applications

Immunogen

The exact immunogen used to generate this antibody is proprietary information.

Specificity

Unsuitable for mouse IHC.

Reactivity data

{ "title": "Reactivity Data", "filters": { "stats": ["", "Species", "Dilution Info", "Notes"], "tabs": { "all-applications": {"fullname" : "All Applications", "shortname": "All Applications"}, "IHCP" : {"fullname" : "Immunohistochemistry (Formalin/PFA-fixed paraffin-embedded sections)", "shortname":"IHC-P"}, "WB" : {"fullname" : "Western blot", "shortname":"WB"} }, "product-promise": { "all": "all", "testedAndGuaranteed": "tested", "guaranteed": "expected", "predicted": "predicted", "notRecommended": "not-recommended" } }, "values": { "Human": { "IHCP-species-checked": "testedAndGuaranteed", "IHCP-species-dilution-info": "", "IHCP-species-notes": "<p></p> Perform heat-mediated antigen retrieval with Tris/EDTA buffer pH 9.0 before commencing with IHC staining protocol.", "WB-species-checked": "testedAndGuaranteed", "WB-species-dilution-info": "", "WB-species-notes": "<p></p>" }, "Mouse": { "IHCP-species-checked": "notRecommended", "IHCP-species-dilution-info": "", "IHCP-species-notes": "<p></p>", "WB-species-checked": "testedAndGuaranteed", "WB-species-dilution-info": "", "WB-species-notes": "<p></p>" }, "Rat": { "IHCP-species-checked": "testedAndGuaranteed", "IHCP-species-dilution-info": "", "IHCP-species-notes": "<p></p> Perform heat-mediated antigen retrieval with Tris/EDTA buffer pH 9.0 before commencing with IHC staining protocol.", "WB-species-checked": "testedAndGuaranteed", "WB-species-dilution-info": "", "WB-species-notes": "<p></p>" } } }

Product details

ab251539 is the carrier-free version of ab213151.

Patented technology
Our RabMAb® technology is a patented hybridoma-based technology for making rabbit monoclonal antibodies. For details on our patents, please refer to RabMAb® patents.

What are the advantages of a recombinant monoclonal antibody?
This product is a recombinant monoclonal antibody, which offers several advantages including:

  • - High batch-to-batch consistency and reproducibility
  • - Improved sensitivity and specificity
  • - Long-term security of supply
  • - Animal-free batch production

For more information, read more on recombinant antibodies.

Conjugation ready
Our carrier-free antibodies are typically supplied in a PBS-only formulation, purified and free of BSA, sodium azide and glycerol. This conjugation-ready format is designed for use with fluorochromes, metal isotopes, oligonucleotides, and enzymes, which makes them ideal for antibody labelling, functional and cell-based assays, flow-based assays (e.g. mass cytometry) and Multiplex Imaging applications.

Use our conjugation kits for antibody conjugates that are ready-to-use in as little as 20 minutes with 1 minute hands-on-time and 100% antibody recovery: available for fluorescent dyes, HRP, biotin and gold.

Compatibility
This product is compatible with the Maxpar® Antibody Labeling Kit from Fluidigm, without the need for antibody preparation. Maxpar® is a trademark of Fluidigm Canada Inc.

Properties and storage information

Form
Liquid
Purification technique
Affinity purification Protein A
Storage buffer
pH: 7.2 - 7.4 Constituents: PBS
Shipped at conditions
Blue Ice
Appropriate short-term storage conditions
+4°C
Appropriate long-term storage conditions
+4°C
Storage information
Do Not Freeze

Supplementary information

This supplementary information is collated from multiple sources and compiled automatically.

The MASH1 protein also known as Achaete-Scute homolog 1 (ASCL1) plays an important role in neurogenesis. It acts as a transcription factor and regulates neuronal differentiation. MASH1 has a molecular weight of approximately 34 kDa. It expresses predominantly in the nervous system including the developing neural tube and peripheral ganglia and it can also be found in certain regions of the brain during embryonic development. ASCL1 is part of the basic helix-loop-helix (bHLH) family of transcription factors which are key regulators of neuronal identity and function.
Biological function summary

This protein regulates the expression of genes important for the development of neuronal precursors. MASH1 does not act alone; it forms heterodimers with other bHLH proteins which enhance its ability to bind DNA and influence gene transcription. It helps convert multipotent neural progenitors into committed neuronal precursors which later differentiate into specific neuronal cell types. MASH1's role is particularly important during early stages of neuronal differentiation ensuring proper formation and maturation of the nervous system.

Pathways

MASH1 is central to the Notch signaling pathway and other pathways involved in neural differentiation. Within the Notch pathway MASH1 interacts with proteins like HES1 to balance the differentiation of neural progenitor cells into neurons and glial cells. This protein also connects with other pathway components such as NEUROG2 a downstream target to promote neuronal fate specification. These interactions illustrate MASH1’s integration into complex signaling networks that govern cell fate decisions during neurogenesis.

MASH1 has significant associations with neurodevelopmental disorders and certain cancers. Aberrant ASCL1 activity links to conditions like Hirschsprung's disease where neural crest development is impaired and some types of lung cancer particularly pulmonary neuroendocrine tumors. It is known to interact with the RET protein in the context of Hirschsprung's disease and with proteins like MYC in cancer pathways highlighting its multifaceted involvement in pathology. Understanding these associations helps elucidate the mechanisms of these diseases and supports therapeutic target development.

Product protocols

For this product, it's our understanding that no specific protocols are required. You can visit:

Target data

Transcription factor that plays a key role in neuronal differentiation : acts as a pioneer transcription factor, accessing closed chromatin to allow other factors to bind and activate neural pathways. Directly binds the E box motif (5'-CANNTG-3') on promoters and promotes transcription of neuronal genes. The combination of three transcription factors, ASCL1, POU3F2/BRN2 and MYT1L, is sufficient to reprogram fibroblasts and other somatic cells into induced neuronal (iN) cells in vitro. Plays a role at early stages of development of specific neural lineages in most regions of the CNS, and of several lineages in the PNS. Essential for the generation of olfactory and autonomic neurons. Acts synergistically with FOXN4 to specify the identity of V2b neurons rather than V2a from bipotential p2 progenitors during spinal cord neurogenesis, probably through DLL4-NOTCH signaling activation. Involved in the regulation of neuroendocrine cell development in the glandular stomach (By similarity).
See full target information ASCL1

Product promise

We are committed to supporting your work with high-quality reagents, and we're here for you every step of the way. In the unlikely event that one of our products does not perform as expected, you're protected by our Product Promise.
For full details, please see our Terms & Conditions

Associated Products

Select an associated product type
Alternative Product
Primary Antibodies

AB235198

Anti-MASH1/Achaete-scute homolog 1 antibody

primary-antibodies

mash1-achaete-scute-homolog-1-antibody-ab235198

0

(0 reviews)

Alternative Product
Primary Antibodies

AB74065

Anti-MASH1/Achaete-scute homolog 1 antibody

primary-antibodies

mash1-achaete-scute-homolog-1-antibody-ab74065

3

(6 reviews)

Please note: All products are 'FOR RESEARCH USE ONLY. NOT FOR USE IN DIAGNOSTIC OR THERAPEUTIC PROCEDURES'.

For licensing inquiries, please contact partnerships@abcam.com