JavaScript is disabled in your browser. Please enable JavaScript to view this website.
AB255814

Anti-MASP1 antibody [EPR22680-36]

Be the first to review this product! Submit a review

|

(0 Publication)

Rabbit Recombinant Monoclonal MASP1 antibody. Suitable for Flow Cyt, WB, ICC/IF and reacts with Mouse, Rat samples.

View Alternative Names

Crarf, Masp3, Masp1, Mannan-binding lectin serine protease 1, Complement factor MASP-3, Complement-activating component of Ra-reactive factor, Mannose-binding lectin-associated serine protease 1, Mannose-binding protein-associated serine protease, Ra-reactive factor serine protease p100, Serine protease 5, MASP-1, RaRF

4 Images
Immunocytochemistry/ Immunofluorescence - Anti-MASP1 antibody [EPR22680-36] (AB255814)
  • ICC/IF

Unknown

Immunocytochemistry/ Immunofluorescence - Anti-MASP1 antibody [EPR22680-36] (AB255814)

Immunofluorescent analysis of 4% Paraformaldehyde-fixed, 0.1% TritonX-100 permeabilized RAW 264.7 (mouse Abelson murine leukemia virus-induced tumor macrophage) cells labelling MASP1 with ab255814 anti-MASP1 at 1/50 dilution, followed by ab150077 AlexaFluor®488 Goat anti-Rabbit secondary antibody at 1/1000 dilution (Green). Confocal image showing cytoplasmic staining in RAW 264.7 cells is observed. ab195889 Anti-alpha Tubulin antibody [DM1A] - Microtubule Marker (Alexa Fluor® 594) was used to counterstain tubulin at 1/200 dilution (Red). The Nuclear counterstain was DAPI (Blue).

Secondary antibody only control : Used PBS instead of primary antibody, secondary antibody is ab150077 AlexaFluor®488 Goat anti-Rabbit secondary at 1/1000 dilution.

This data was developed using the same antibody clone in a different buffer formulation containing PBS, BSA, glycerol, and sodium azide (ab255814).

Flow Cytometry - Anti-MASP1 antibody [EPR22680-36] (AB255814)
  • Flow Cyt

Unknown

Flow Cytometry - Anti-MASP1 antibody [EPR22680-36] (AB255814)

Flow cytometric analysis of RAW 264.7 (mouse Abelson murine leukemia virus-induced tumor macrophage) cells labeling MASP1 with ab255814 at a 1/50 dilution (Red) compared with a Rabbit monoclonal IgG (ab172730) isotype control (Black) and an unlabeled control (cells without incubation with primary antibody and secondary antibody) (Blue). Goat anti rabbit IgG (Alexa Fluor® 488, ab150077) at a 1/2000 dilution was used as the secondary antibody. Gated on viable cells.

Western blot - Anti-MASP1 antibody [EPR22680-36] (AB255814)
  • WB

Unknown

Western blot - Anti-MASP1 antibody [EPR22680-36] (AB255814)

The molecular weight observed is consistent with what has been described in the literature (PMID : 24472859, 27232184).

Negative control : Pancreas (based on Expression Atlas, GTEx and HPA databases).

Blocking/Diluting buffer : 5% NFDM/TBST.

All lanes:

Western blot - Anti-MASP1 antibody [EPR22680-36] (ab255814) at 1/1000 dilution

Lane 1:

Mouse liver lysate at 20 µg

Lane 2:

Mouse pancreas lysate at 20 µg

Secondary

All lanes:

Western blot - Goat Anti-Rabbit IgG H&L (HRP) (<a href='/en-us/products/secondary-antibodies/goat-rabbit-igg-h-l-hrp-ab97051'>ab97051</a>) at 1/100000 dilution

Predicted band size: 79 kDa

Observed band size: 90 kDa

false

Exposure time: 15s

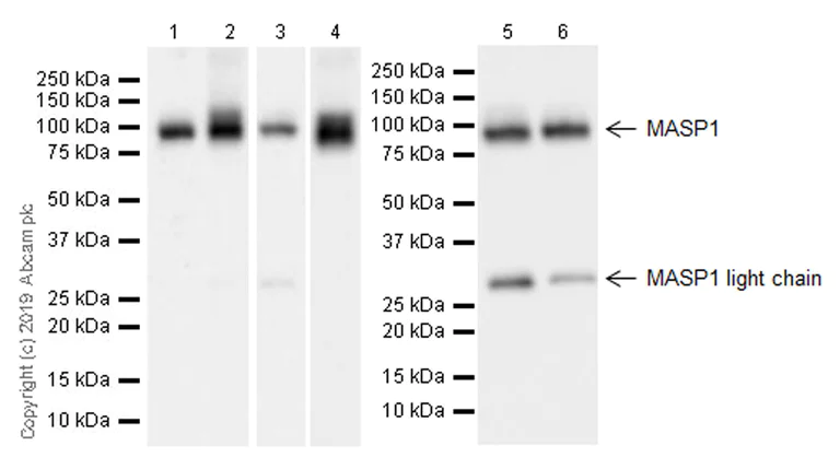
Western blot - Anti-MASP1 antibody [EPR22680-36] (AB255814)
  • WB

Unknown

Western blot - Anti-MASP1 antibody [EPR22680-36] (AB255814)

The molecular weight observed is consistent with what has been described in the literature (PMID : 24472859, 27232184).

Exposure times : Lanes 1-3 : 59 secs; Lane 4 : 26 secs; Lanes 5-6 : 15 secs.

Blocking/Diluting buffer : 5% NFDM/TBST.

All lanes:

Western blot - Anti-MASP1 antibody [EPR22680-36] (ab255814) at 1/1000 dilution

Lane 1:

Rat liver lysate at 20 µg

Lane 2:

Rat serum lysate at 20 µg

Lane 3:

Rat lung lysate at 20 µg

Lane 4:

Rat plasma lysate at 20 µg

Lane 5:

Mouse plasma lysate at 20 µg

Lane 6:

Mouse serum lysate at 20 µg

Secondary

All lanes:

Western blot - Goat Anti-Rabbit IgG H&L (HRP) (<a href='/en-us/products/secondary-antibodies/goat-rabbit-igg-h-l-hrp-ab97051'>ab97051</a>) at 1/100000 dilution

Predicted band size: 79 kDa

Observed band size: 28 kDa,90 kDa

false

Key facts

Host species

Rabbit

Clonality

Monoclonal

Clone number

EPR22680-36

Isotype

IgG

Carrier free

No

Reacts with

Mouse, Rat

Applications

Flow Cyt, ICC/IF, WB

applications

Immunogen

The exact immunogen used to generate this antibody is proprietary information.

Reactivity data

{ "title": "Reactivity Data", "filters": { "stats": ["", "Species", "Dilution Info", "Notes"], "tabs": { "all-applications": {"fullname" : "All Applications", "shortname": "All Applications"}, "IP" : {"fullname" : "Immunoprecipitation", "shortname":"IP"}, "FlowCyt" : {"fullname" : "Flow Cytometry", "shortname":"Flow Cyt"}, "WB" : {"fullname" : "Western blot", "shortname":"WB"}, "IHCP" : {"fullname" : "Immunohistochemistry (Formalin/PFA-fixed paraffin-embedded sections)", "shortname":"IHC-P"}, "ICCIF" : {"fullname" : "Immunocytochemistry/ Immunofluorescence", "shortname":"ICC/IF"} }, "product-promise": { "all": "all", "testedAndGuaranteed": "tested", "guaranteed": "expected", "predicted": "predicted", "notRecommended": "not-recommended" } }, "values": { "Mouse": { "IP-species-checked": "notRecommended", "IP-species-dilution-info": "", "IP-species-notes": "<p></p>", "FlowCyt-species-checked": "testedAndGuaranteed", "FlowCyt-species-dilution-info": "1/50", "FlowCyt-species-notes": "<p></p>", "WB-species-checked": "testedAndGuaranteed", "WB-species-dilution-info": "1/1000", "WB-species-notes": "<p></p>", "IHCP-species-checked": "notRecommended", "IHCP-species-dilution-info": "", "IHCP-species-notes": "<p></p>", "ICCIF-species-checked": "testedAndGuaranteed", "ICCIF-species-dilution-info": "1/50", "ICCIF-species-notes": "<p></p>" }, "Rat": { "IP-species-checked": "notRecommended", "IP-species-dilution-info": "", "IP-species-notes": "", "FlowCyt-species-checked": "guaranteed", "FlowCyt-species-dilution-info": "", "FlowCyt-species-notes": "", "WB-species-checked": "testedAndGuaranteed", "WB-species-dilution-info": "1/1000", "WB-species-notes": "<p></p>", "IHCP-species-checked": "notRecommended", "IHCP-species-dilution-info": "", "IHCP-species-notes": "<p></p>", "ICCIF-species-checked": "guaranteed", "ICCIF-species-dilution-info": "", "ICCIF-species-notes": "" } } }

Product details

Patented technology
Our RabMAb® technology is a patented hybridoma-based technology for making rabbit monoclonal antibodies. For details on our patents, please refer to RabMAb® patents.

What are the advantages of a recombinant monoclonal antibody?
This product is a recombinant monoclonal antibody, which offers several advantages including:

  • - High batch-to-batch consistency and reproducibility
  • - Improved sensitivity and specificity
  • - Long-term security of supply
  • - Animal-free batch production

For more information, read more on recombinant antibodies.

Properties and storage information

Form
Liquid
Purification technique
Affinity purification Protein A
Storage buffer
pH: 7.2 - 7.4 Preservative: 0.01% Sodium azide Constituents: PBS, 40% Glycerol (glycerin, glycerine), 0.05% BSA
Shipped at conditions
Blue Ice
Appropriate short-term storage duration
1-2 weeks
Appropriate short-term storage conditions
+4°C
Appropriate long-term storage conditions
-20°C
Aliquoting information
Upon delivery aliquot
Storage information
Avoid freeze / thaw cycle

Supplementary information

This supplementary information is collated from multiple sources and compiled automatically.

The MASP1 protein also known as mannan-binding lectin serine protease 1 or MASP-1 is a serine protease with a mass of approximately 76 kDa. It is mainly expressed in the liver and is secreted into the blood. MASP1 is an important component of the lectin pathway of the complement system. This protein is an enzyme that circulates in the blood in an inactive form and becomes active when it binds to pathogen surfaces linked to mannose-binding lectins or ficolins.
Biological function summary

MASP1 plays a vital role in the innate immune system by activating the complement cascade. MASP1 works as part of a complex made up of pattern recognition molecules and other proteases. On binding to pathogens the complex undergoes conformational changes that activate MASP1. This activation leads to the cleavage of downstream substrates including MASP-2 and complement component C4 triggering a series of enzymatic reactions that enhance the pathogen clearance by opsonization and lysis.

Pathways

MASP1 is heavily involved in the lectin pathway one of the three activation pathways of the complement system. It shares functional ties with MASP-2 which continues the cascade after MASP1 activates the pathway. While the lectin pathway runs parallel to the classical pathway it is distinguished by the nature of its initiating molecules that recognize carbohydrate patterns on pathogen surfaces without needing antibodies. MASP1’s role is critical in facilitating the initial steps of this process which eventually leads to the activation of the terminal complement pathway components.

MASP1 shows connections to immune-related conditions such as systemic lupus erythematosus (SLE) and infectious diseases. Its dysregulation or deficiency can impact the complement system leading to immune complex diseases like SLE due to the failure in clearing immune complexes effectively. Furthermore MASP1’s association with MASP-2 also makes it relevant in studies focused on lectin pathway deficiencies that result in increased susceptibility to infections highlighting its significance in maintaining host immunity.

Product protocols

For this product, it's our understanding that no specific protocols are required. You can visit:

Target data

Functions in the lectin pathway of complement, which performs a key role in innate immunity by recognizing pathogens through patterns of sugar moieties and neutralizing them. The lectin pathway is triggered upon binding of mannan-binding lectin (MBL) and ficolins to sugar moieties which leads to activation of the associated proteases MASP1 and MASP2. Functions as an endopeptidase and may activate MASP2 or C2 or directly activate C3 the key component of complement reaction. Isoform 2 may have an inhibitory effect on the activation of the lectin pathway of complement or may cleave IGFBP5. Also plays a role in development.
See full target information Masp1

Product promise

We are committed to supporting your work with high-quality reagents, and we're here for you every step of the way. In the unlikely event that one of our products does not perform as expected, you're protected by our Product Promise.
For full details, please see our Terms & Conditions

Please note: All products are 'FOR RESEARCH USE ONLY. NOT FOR USE IN DIAGNOSTIC OR THERAPEUTIC PROCEDURES'.

For licensing inquiries, please contact partnerships@abcam.com