JavaScript is disabled in your browser. Please enable JavaScript to view this website.
AB277528

Anti-MASP2 antibody [EPR23588-44] - BSA and Azide free

  • BOND RX™ Validated
  • RabMAb
  • Advanced Validation
  • Recombinant
  • What is this?

Be the first to review this product! Submit a review

|

(0 Publication)

Rabbit Recombinant Monoclonal MASP2 antibody. Carrier free. Suitable for mIHC, WB, IHC-P and reacts with Human, Mouse, Rat samples.

View Alternative Names

Mannan-binding lectin serine protease 2, MBL-associated serine protease 2, Mannose-binding protein-associated serine protease 2, MASP-2, MASP2

7 Images
Multiplex immunohistochemistry - Anti-MASP2 antibody [EPR23588-44] - BSA and Azide free (AB277528)
  • mIHC

Supplier Data

Multiplex immunohistochemistry - Anti-MASP2 antibody [EPR23588-44] - BSA and Azide free (AB277528)

Fluorescence multiplex immunohistochemical analysis of human liver (formalin-fixed paraffin-embedded section). Panel A shows merged staining of anti-MASP2 stained on cytoplasm of hepatocytes (ab277520; gray; Opal™690) at 1 : 100 ( 5.22 μg/ml) [Panel B] , anti-CD163 stained on Kupffer cells (ab213612; green; Opal™520) at 1 : 8000 ( 0.13 μg/ml) [Panel C], and anti-eNOS tained on endothelial cells (ab252439; red; Opal™570) at 1 : 200 ( 3.005 μg/ml) [Panel D] on human liver. DAPI was used as a nuclear counter stain. Followed by Opal Polymer HRP Ms + Rb secondary. The immunostaining was performed on a Leica Biosystems BOND® RX instrument with an Opal™ 4-color kit. Image acquisition was performed with Leica SP8 confocal microscope. The section was incubated in three rounds of staining : in the order of ab277520, ab213612, and ab252439 for 30 mins at room temperature. Each round was followed by a separate fluorescent tyramide signal amplification system. Heat mediated antigen retrieval with Tris-EDTA buffer (pH 9.0, epitope retrieval solution2) for 20 mins was used. This data was developed using ab277520, the same antibody clone in a different buffer formulation.

Immunohistochemistry (Formalin/PFA-fixed paraffin-embedded sections) - Anti-MASP2 antibody [EPR23588-44] - BSA and Azide free (AB277528)
  • IHC-P

Supplier Data

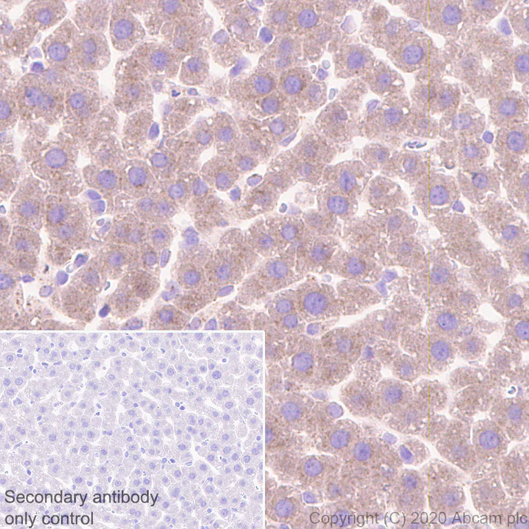
Immunohistochemistry (Formalin/PFA-fixed paraffin-embedded sections) - Anti-MASP2 antibody [EPR23588-44] - BSA and Azide free (AB277528)

This data was developed using ab277520, the same antibody clone in a different buffer formulation.

Immunohistochemical analysis of paraffin-embedded human liver tissue labeling MASP2 with ab277520 at 1/500 dilution, followed by Rabbit specific IHC polymer detection kit HRP/DAB (ab209101). Positive staining on human liver (PMID : 16395704). Counter stained with Hematoxylin. The section was incubated with ab277520 for 30 mins at room temperature. The immunostaining was performed on a Leica Biosystems BOND® RX instrument

Secondary antibody only control : Used PBS instead of primary antibody, secondary antibody is Rabbit specific IHC polymer detection kit HRP/DAB (ab209101).

Heat mediated antigen retrieval with Tris-EDTA buffer (pH 9.0, epitope retrieval solution2) for 20 mins.

Western blot - Anti-MASP2 antibody [EPR23588-44] - BSA and Azide free (AB277528)
  • WB

Supplier Data

Western blot - Anti-MASP2 antibody [EPR23588-44] - BSA and Azide free (AB277528)

This data was developed using ab277520, the same antibody clone in a different buffer formulation.

Blocking and dilution buffer : 5% NFDM/TBST.

The molecular weight is consistent with what has been described in the literature (PMID : 16116205, 23785123, 21871896, 15078867).

Negative control : A549 (PMID : 17131120).
Low expression : HepG2 (PMID : 17131120).

Exposure times : Lanes 1-3, 15 seconds;

Lane 4 : 180 seconds.

All lanes:

Western blot - Anti-MASP2 antibody [EPR23588-44] (<a href='/en-us/products/primary-antibodies/masp2-antibody-epr23588-44-ab277520'>ab277520</a>) at 1/1000 dilution

Lane 1:

Human plasma at 20 µg

Lane 2:

HepG2 (human hepatocellular carcinoma epithelial cell), whole cell lysate at 20 µg

Lane 3:

A549 (Human lung carcinoma epithelial cell ), whole cell lysate at 20 µg

Lane 4:

Human kidney tissue lysate at 20 µg

Secondary

All lanes:

Goat Anti-Rabbit IgG (HRP) with minimal cross-reactivity with human IgG at 1/2000 dilution

Predicted band size: 76 kDa

Observed band size: 19 kDa,50 kDa,75 kDa

false

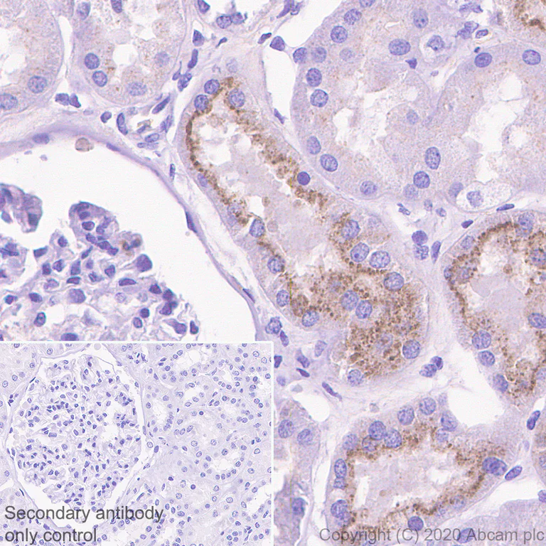
Immunohistochemistry (Formalin/PFA-fixed paraffin-embedded sections) - Anti-MASP2 antibody [EPR23588-44] - BSA and Azide free (AB277528)
  • IHC-P

Supplier Data

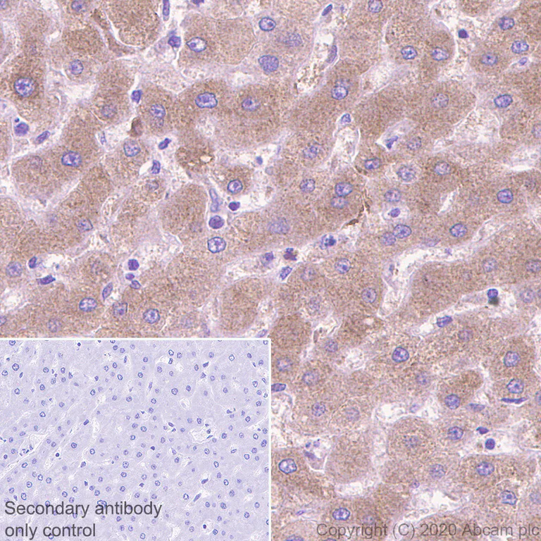
Immunohistochemistry (Formalin/PFA-fixed paraffin-embedded sections) - Anti-MASP2 antibody [EPR23588-44] - BSA and Azide free (AB277528)

This data was developed using ab277520, the same antibody clone in a different buffer formulation.

Immunohistochemical analysis of paraffin-embedded human kidney tissue labeling MASP2 with ab277520 at 1/500 dilution, followed by Rabbit specific IHC polymer detection kit HRP/DAB (ab209101). Positive staining on human kidney (PMID : 30286468). Counter stained with Hematoxylin. The section was incubated with ab277520 for 30 mins at room temperature. The immunostaining was performed on a Leica Biosystems BOND® RX instrument

Secondary antibody only control : Used PBS instead of primary antibody, secondary antibody is Rabbit specific IHC polymer detection kit HRP/DAB (ab209101).

Heat mediated antigen retrieval with Tris-EDTA buffer (pH 9.0, epitope retrieval solution2) for 20 mins.

Immunohistochemistry (Formalin/PFA-fixed paraffin-embedded sections) - Anti-MASP2 antibody [EPR23588-44] - BSA and Azide free (AB277528)
  • IHC-P

Supplier Data

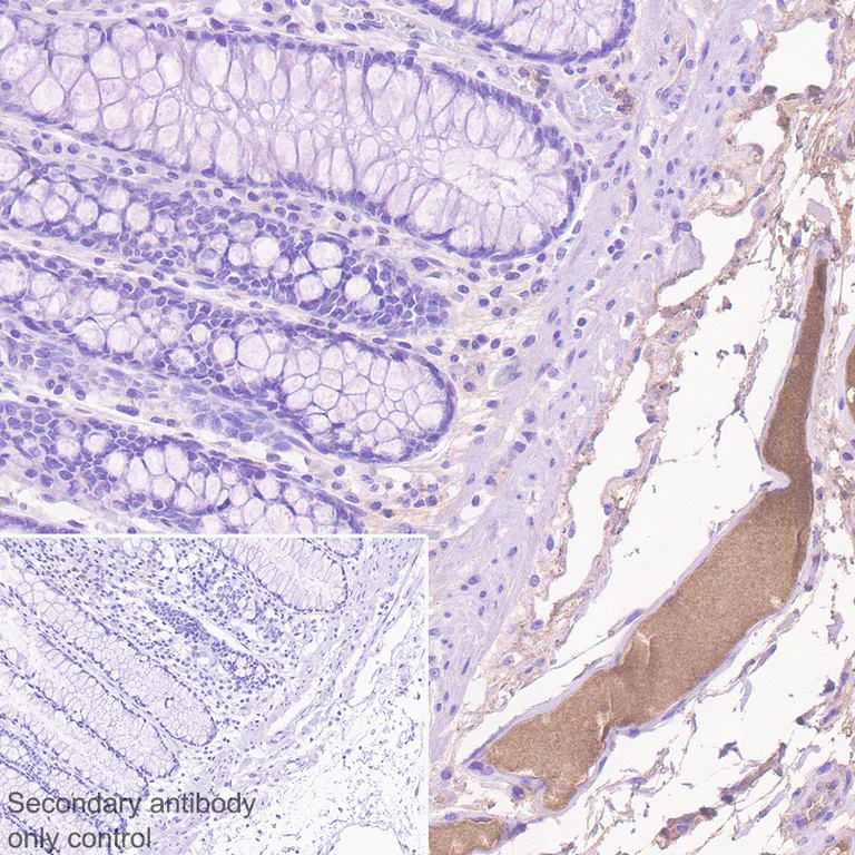
Immunohistochemistry (Formalin/PFA-fixed paraffin-embedded sections) - Anti-MASP2 antibody [EPR23588-44] - BSA and Azide free (AB277528)

This data was developed using ab277520, the same antibody clone in a different buffer formulation.

Immunohistochemical analysis of paraffin-embedded human colon tissue labeling MASP2 with ab277520 at 1/500 dilution, followed by Rabbit specific IHC polymer detection kit HRP/DAB (ab209101). Positive staining on plasma of human colon (PMID : 32771488). Counter stained with Hematoxylin. The section was incubated with ab277520 for 30 mins at room temperature. The immunostaining was performed on a Leica Biosystems BOND® RX instrument

Secondary antibody only control : Used PBS instead of primary antibody, secondary antibody is Rabbit specific IHC polymer detection kit HRP/DAB (ab209101).

Heat mediated antigen retrieval with Tris-EDTA buffer (pH 9.0, epitope retrieval solution2) for 20 mins.

Immunohistochemistry (Formalin/PFA-fixed paraffin-embedded sections) - Anti-MASP2 antibody [EPR23588-44] - BSA and Azide free (AB277528)
  • IHC-P

Supplier Data

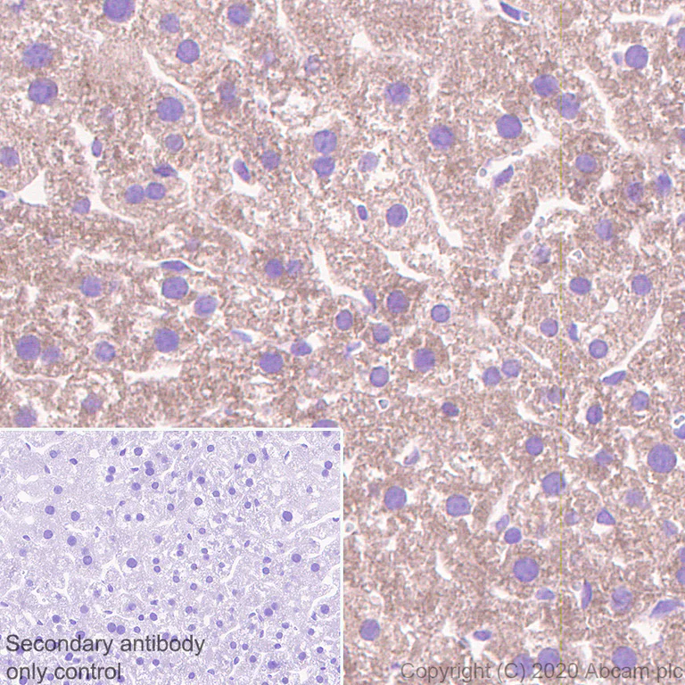
Immunohistochemistry (Formalin/PFA-fixed paraffin-embedded sections) - Anti-MASP2 antibody [EPR23588-44] - BSA and Azide free (AB277528)

This data was developed using ab277520, the same antibody clone in a different buffer formulation.

Immunohistochemical analysis of paraffin-embedded mouse liver tissue labeling MASP2 with ab277520 at 1/100 dilution, followed by Rabbit specific IHC polymer detection kit HRP/DAB (ab209101). Positive staining on mouse liver. Counter stained with Hematoxylin. The section was incubated with ab277520 for 30 mins at room temperature. The immunostaining was performed on a Leica Biosystems BOND® RX instrument

Secondary antibody only control : Used PBS instead of primary antibody, secondary antibody is Rabbit specific IHC polymer detection kit HRP/DAB (ab209101).

Heat mediated antigen retrieval with Tris-EDTA buffer (pH 9.0, epitope retrieval solution2) for 20 mins.

Immunohistochemistry (Formalin/PFA-fixed paraffin-embedded sections) - Anti-MASP2 antibody [EPR23588-44] - BSA and Azide free (AB277528)
  • IHC-P

Supplier Data

Immunohistochemistry (Formalin/PFA-fixed paraffin-embedded sections) - Anti-MASP2 antibody [EPR23588-44] - BSA and Azide free (AB277528)

This data was developed using ab277520, the same antibody clone in a different buffer formulation.

Immunohistochemical analysis of paraffin-embedded rat liver tissue labeling MASP2 with ab277520 at 1/100 dilution, followed by Rabbit specific IHC polymer detection kit HRP/DAB (ab209101). Positive staining on rat liver. Counter stained with Hematoxylin. The section was incubated with ab277520 for 30 mins at room temperature. The immunostaining was performed on a Leica Biosystems BOND® RX instrument

Secondary antibody only control : Used PBS instead of primary antibody, secondary antibody is Rabbit specific IHC polymer detection kit HRP/DAB (ab209101).

Heat mediated antigen retrieval with Tris-EDTA buffer (pH 9.0, epitope retrieval solution2) for 20 mins.

Key facts

Host species

Rabbit

Clonality

Monoclonal

Clone number

EPR23588-44

Isotype

IgG

Carrier free

Yes

Reacts with

Mouse, Rat, Human

Applications

IHC-P, WB, mIHC

applications

Immunogen

The exact immunogen used to generate this antibody is proprietary information.

Specificity

The mouse and rat recommendation is based on the IHC results. We do not guarantee WB for mouse and rat.

Reactivity data

{ "title": "Reactivity Data", "filters": { "stats": ["", "Species", "Dilution Info", "Notes"], "tabs": { "all-applications": {"fullname" : "All Applications", "shortname": "All Applications"}, "mIHC" : {"fullname" : "Multiplex immunohistochemistry", "shortname":"mIHC"}, "WB" : {"fullname" : "Western blot", "shortname":"WB"}, "IHCP" : {"fullname" : "Immunohistochemistry (Formalin/PFA-fixed paraffin-embedded sections)", "shortname":"IHC-P"}, "ICCIF" : {"fullname" : "Immunocytochemistry/ Immunofluorescence", "shortname":"ICC/IF"}, "FlowCyt" : {"fullname" : "Flow Cytometry", "shortname":"Flow Cyt"}, "IP" : {"fullname" : "Immunoprecipitation", "shortname":"IP"} }, "product-promise": { "all": "all", "testedAndGuaranteed": "tested", "guaranteed": "expected", "predicted": "predicted", "notRecommended": "not-recommended" } }, "values": { "Human": { "mIHC-species-checked": "testedAndGuaranteed", "mIHC-species-dilution-info": "", "mIHC-species-notes": "<p></p>", "WB-species-checked": "testedAndGuaranteed", "WB-species-dilution-info": "1/1000", "WB-species-notes": "<p></p>", "IHCP-species-checked": "testedAndGuaranteed", "IHCP-species-dilution-info": "1/100 - 1/500", "IHCP-species-notes": "<p>Heat mediated antigen retrieval with Tris-EDTA buffer (pH 9.0, epitope retrieval solution) for 20 mins.</p>", "ICCIF-species-checked": "notRecommended", "ICCIF-species-dilution-info": "", "ICCIF-species-notes": "<p></p>", "FlowCyt-species-checked": "notRecommended", "FlowCyt-species-dilution-info": "", "FlowCyt-species-notes": "<p></p>", "IP-species-checked": "notRecommended", "IP-species-dilution-info": "", "IP-species-notes": "<p></p>" }, "Mouse": { "mIHC-species-checked": "guaranteed", "mIHC-species-dilution-info": "", "mIHC-species-notes": "", "WB-species-checked": "notRecommended", "WB-species-dilution-info": "1/1000", "WB-species-notes": "<p></p>", "IHCP-species-checked": "testedAndGuaranteed", "IHCP-species-dilution-info": "1/100 - 1/500", "IHCP-species-notes": "<p>Heat mediated antigen retrieval with Tris-EDTA buffer (pH 9.0, epitope retrieval solution) for 20 mins.</p>", "ICCIF-species-checked": "notRecommended", "ICCIF-species-dilution-info": "", "ICCIF-species-notes": "", "FlowCyt-species-checked": "notRecommended", "FlowCyt-species-dilution-info": "", "FlowCyt-species-notes": "", "IP-species-checked": "notRecommended", "IP-species-dilution-info": "", "IP-species-notes": "" }, "Rat": { "mIHC-species-checked": "guaranteed", "mIHC-species-dilution-info": "", "mIHC-species-notes": "", "WB-species-checked": "notRecommended", "WB-species-dilution-info": "1/1000", "WB-species-notes": "<p></p>", "IHCP-species-checked": "testedAndGuaranteed", "IHCP-species-dilution-info": "1/100 - 1/500", "IHCP-species-notes": "<p>Heat mediated antigen retrieval with Tris-EDTA buffer (pH 9.0, epitope retrieval solution) for 20 mins.</p>", "ICCIF-species-checked": "notRecommended", "ICCIF-species-dilution-info": "", "ICCIF-species-notes": "", "FlowCyt-species-checked": "notRecommended", "FlowCyt-species-dilution-info": "", "FlowCyt-species-notes": "", "IP-species-checked": "notRecommended", "IP-species-dilution-info": "", "IP-species-notes": "" } } }

You may be interested in:

AB278121

Human MASP2 ELISA Kit

0

0 Reviews

View product

We recommend this product because it’s often used in the same experiment or related research.

We advise that you always check the datasheet to ensure it fits your experiments, or contact ourtechnical teamfor help.

Product details

ab277528 is the carrier-free version of ab277520.

Patented technology
Our RabMAb® technology is a patented hybridoma-based technology for making rabbit monoclonal antibodies. For details on our patents, please refer to RabMAb® patents.

What are the advantages of a recombinant monoclonal antibody?
This product is a recombinant monoclonal antibody, which offers several advantages including:

  • - High batch-to-batch consistency and reproducibility
  • - Improved sensitivity and specificity
  • - Long-term security of supply
  • - Animal-free batch production

For more information, read more on recombinant antibodies.

Conjugation ready
Our carrier-free antibodies are typically supplied in a PBS-only formulation, purified and free of BSA, sodium azide and glycerol. This conjugation-ready format is designed for use with fluorochromes, metal isotopes, oligonucleotides, and enzymes, which makes them ideal for antibody labelling, functional and cell-based assays, flow-based assays (e.g. mass cytometry) and Multiplex Imaging applications.

Use our conjugation kits for antibody conjugates that are ready-to-use in as little as 20 minutes with 1 minute hands-on-time and 100% antibody recovery: available for fluorescent dyes, HRP, biotin and gold.

Compatibility
This product is compatible with the Maxpar® Antibody Labeling Kit from Fluidigm, without the need for antibody preparation. Maxpar® is a trademark of Fluidigm Canada Inc.

Properties and storage information

Form
Liquid
Purification technique
Affinity purification Protein A
Storage buffer
Constituents: 100% PBS
Shipped at conditions
Blue Ice
Appropriate short-term storage conditions
+4°C
Appropriate long-term storage conditions
+4°C

Supplementary information

This supplementary information is collated from multiple sources and compiled automatically.

MASP-2 also known as Mannan-binding lectin serine protease 2 is an important component of the innate immune system. This protein has a molecular mass of approximately 76 kDa and is expressed in the liver before being released into the bloodstream. MASP-2 primarily acts during the lectin pathway of the complement system where it plays an essential role in immune defense. The protein activates the complement cascade upon binding with carbohydrate molecules on pathogen surfaces contributing to opsonization and direct lysis of pathogens.
Biological function summary

MASP-2 associates with MBL (Mannose-binding lectin) and forms a complex critical for the lectin pathway's function. In this complex MASP-2 initiates the cleavage of complement proteins C4 and C2 forming the C3 convertase. This action enhances the immune response by promoting the clearance of pathogens. MASP-1 is another protease that works closely with MASP-2 in this pathway although the two have distinct roles—MASP-2 is primarily responsible for the activation of the downstream components of the cascade.

Pathways

MASP-2 plays an integral role in the complement system and particularly in the lectin pathway which is one of the three pathways of complement activation. It connects with both the classical and alternative pathways through the formation of C3 convertase a critical step in the complement cascade. The interactions with other proteins like MASP-1 and MBL are significant; MASP-1 has an additional role in the activation sequence by further augmenting MASP-2's activity and facilitating efficient pathogen clearance.

MASP-2 is connected to conditions like autoimmune diseases and recurrent infections due to its involvement in the complement system. For instance MASP-2 deficiency can lead to increased susceptibility to infections reflecting its role in pathogen clearance. The protein has been studied in relation to systemic lupus erythematosus where dysregulation of the complement pathway can exacerbate disease symptoms. Proteins such as MBL and MASP-1 which interact closely with MASP-2 also have roles in these disease states and further illustrate the importance of proper complement system functioning in disease prevention and control.

Product protocols

For this product, it's our understanding that no specific protocols are required. You can visit:

Target data

Serum protease that plays an important role in the activation of the complement system via mannose-binding lectin. After activation by auto-catalytic cleavage it cleaves C2 and C4, leading to their activation and to the formation of C3 convertase.
See full target information MASP2

Product promise

We are committed to supporting your work with high-quality reagents, and we're here for you every step of the way. In the unlikely event that one of our products does not perform as expected, you're protected by our Product Promise.
For full details, please see our Terms & Conditions

Please note: All products are 'FOR RESEARCH USE ONLY. NOT FOR USE IN DIAGNOSTIC OR THERAPEUTIC PROCEDURES'.

For licensing inquiries, please contact partnerships@abcam.com