JavaScript is disabled in your browser. Please enable JavaScript to view this website.
AB272858

Anti-MASPIN antibody

Be the first to review this product! Submit a review

|

(1 Publication)

Rabbit Polyclonal MASPIN antibody. Suitable for WB, IHC-P and reacts with Mouse, Human samples. Cited in 1 publication. Immunogen corresponding to Recombinant Fragment Protein within Human SERPINB5.

View Alternative Names

PI5, SERPINB5, Serpin B5, Maspin, Peptidase inhibitor 5, PI-5

5 Images
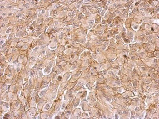
Immunohistochemistry (Formalin/PFA-fixed paraffin-embedded sections) - Anti-MASPIN antibody (AB272858)
  • IHC-P

Unknown

Immunohistochemistry (Formalin/PFA-fixed paraffin-embedded sections) - Anti-MASPIN antibody (AB272858)

Paraffin embedded H1299 xenograft tissue stained for MASPIN using ab272858 at 1/500 dilution in immunohistochemical analysis. Antigen retrieval using EDTA based, pH 8.0 buffer, 15 minutes.

Western blot - Anti-MASPIN antibody (AB272858)
  • WB

Supplier Data

Western blot - Anti-MASPIN antibody (AB272858)

10% SDS-PAGE

All lanes:

Western blot - Anti-MASPIN antibody (ab272858) at 1/1000 dilution

All lanes:

HeLa (human epithelial cell line from cervix adenocarcinoma) whole cell lysate at 30 µg

Predicted band size: 42 kDa

false

Western blot - Anti-MASPIN antibody (AB272858)
  • WB

Lab

Western blot - Anti-MASPIN antibody (AB272858)

Lanes 1 - 4 : Merged signal (red and green). Green - ab272858 observed at 42 kDa. Red - loading control, ab7291 (Mouse anti-Alpha Tubulin [DM1A]) observed at 55 kDa.

ab272858 was shown to react with MASPIN in wild-type cells in Western blot with loss of signal observed in SERPINB5 knockout cell line ab264750 (SERPINB5 knockout cell lysate ab258659). Wild-type and SERPINB5 knockout cell lysates were subjected to SDS-PAGE. Membranes were blocked in 3 % milk in TBS-0.1 % Tween® 20 (TBS-T) before incubation with ab272858 and ab7291 (Mouse anti-Alpha Tubulin [DM1A]) overnight at 4°C at a 1/500 dilution and a 1/20000 dilution respectively. Blots were incubated with Goat anti-Rabbit IgG H&L (IRDye® 800CW) preabsorbed (ab216773) and Goat anti-Mouse IgG H&L (IRDye® 680RD) preabsorbed (ab216776) secondary antibodies at 1/20000 dilution for 1 h at room temperature before imaging.

All lanes:

Western blot - Anti-MASPIN antibody (ab272858) at 1/500 dilution

Lane 1:

Wild-type HeLa cell lysate at 20 µg

Lane 2:

SERPINB5 knockout HeLa cell lysate at 20 µg

Lane 2:

Western blot - Human SERPINB5 (MASPIN) knockout HeLa cell line (<a href='/en-us/products/cell-lines/human-serpinb5-maspin-knockout-hela-cell-line-ab264750'>ab264750</a>)

Lane 3:

HaCaT cell lysate at 20 µg

Lane 4:

Caco-2 cell lysate at 20 µg

Secondary

All lanes:

Western blot - Goat anti-Rabbit IgG H&L (IRDye® 800CW) preadsorbed (<a href='/en-us/products/secondary-antibodies/goat-rabbit-igg-h-l-irdye-800cw-preadsorbed-ab216773'>ab216773</a>) at 1/20000 dilution

Predicted band size: 42 kDa

Observed band size: 42 kDa

false

Western blot - Anti-MASPIN antibody (AB272858)
  • WB

Supplier Data

Western blot - Anti-MASPIN antibody (AB272858)

10% SDS-PAGE.

All lanes:

Western blot - Anti-MASPIN antibody (ab272858) at 1/500 dilution

Lane 1:

WT HeLa cell extracts at 30 µg

Lane 2:

MASPIN KO HeLa cell extracts at 30 µg

Secondary

All lanes:

HRP-conjugated anti-rabbit IgG

Predicted band size: 42 kDa

false

Western blot - Anti-MASPIN antibody (AB272858)
  • WB

Supplier Data

Western blot - Anti-MASPIN antibody (AB272858)

10% SDS-PAGE

All lanes:

Western blot - Anti-MASPIN antibody (ab272858) at 1/1000 dilution

All lanes:

NIH/3T3 (mouse embryo fibroblast cell line) whole cell lysate at 30 µg

Predicted band size: 42 kDa

false

Key facts

Host species

Rabbit

Clonality

Polyclonal

Isotype

IgG

Carrier free

No

Reacts with

Mouse, Human

Applications

WB, IHC-P

applications

Immunogen

Recombinant Fragment Protein within Human SERPINB5. The exact immunogen used to generate this antibody is proprietary information.

P36952

Reactivity data

{ "title": "Reactivity Data", "filters": { "stats": ["", "Species", "Dilution Info", "Notes"], "tabs": { "all-applications": {"fullname" : "All Applications", "shortname": "All Applications"}, "WB" : {"fullname" : "Western blot", "shortname":"WB"}, "IHCP" : {"fullname" : "Immunohistochemistry (Formalin/PFA-fixed paraffin-embedded sections)", "shortname":"IHC-P"} }, "product-promise": { "all": "all", "testedAndGuaranteed": "tested", "guaranteed": "expected", "predicted": "predicted", "notRecommended": "not-recommended" } }, "values": { "Human": { "WB-species-checked": "testedAndGuaranteed", "WB-species-dilution-info": "1/500 - 1/3000", "WB-species-notes": "<p></p>", "IHCP-species-checked": "testedAndGuaranteed", "IHCP-species-dilution-info": "1/100 - 1/1000", "IHCP-species-notes": "<p></p>" }, "Mouse": { "WB-species-checked": "testedAndGuaranteed", "WB-species-dilution-info": "1/500 - 1/3000", "WB-species-notes": "<p></p>", "IHCP-species-checked": "guaranteed", "IHCP-species-dilution-info": "", "IHCP-species-notes": "" } } }

Properties and storage information

Form
Liquid
Purification technique
Affinity purification Immunogen
Storage buffer
pH: 7 Preservative: 0.01% Thimerosal (merthiolate) Constituents: 10% Glycerol (glycerin, glycerine), 1.21% Tris, 0.75% Glycine
Shipped at conditions
Blue Ice
Appropriate short-term storage duration
1-2 weeks
Appropriate short-term storage conditions
+4°C
Appropriate long-term storage conditions
-20°C
Aliquoting information
Upon delivery aliquot
Storage information
Avoid freeze / thaw cycle

Supplementary information

This supplementary information is collated from multiple sources and compiled automatically.

MASPIN also known as SERPINB5 is a non-inhibitory serine protease inhibitor with a mass of approximately 42 kDa. It functions mechanically to regulate cell adhesion migration apoptosis and angiogenesis. MASPIN localizes mainly in the cytoplasm and nucleus and expresses predominantly in epithelial cells including those in the mammary gland prostate and keratinocytes in the skin. It acts as a tumor suppressor and researchers often use immunohistochemistry (IHC) to study its expression patterns in various tissues.
Biological function summary

MASPIN influences apoptosis and cell motility playing a critical role in tumor suppression. It does not form part of a complex but interacts directly with extracellular matrix components. MASPIN can inhibit angiogenesis by reducing the proliferation and migration of endothelial cells. Scientists have noted its role in maintaining normal cell architecture and inhibiting tumor cell invasion.

Pathways

Researchers place MASPIN in important signaling networks impacting cancer progression and metastasis. It participates in the PI3K/AKT pathway thereby influencing cell growth and survival. MASPIN also intersects with TGF-β signaling and related proteins like SMAD which mediate growth arrest and apoptosis. By altering these pathways MASPIN helps modulate responses to cellular stress and inhibit lethal growth in cancer cells.

MASPIN often associates with breast and prostate cancers. Its expression inversely correlates with tumor progression suggesting a protective role. MASPIN's interaction with proteins like p53 highlights its contribution to tumor suppression. Abnormal MASPIN presence links to aggressive disease phenotypes making it a potential biomarker for prognostic evaluation in oncology.

Product protocols

For this product, it's our understanding that no specific protocols are required. You can visit:

Target data

Tumor suppressor. It blocks the growth, invasion, and metastatic properties of mammary tumors. As it does not undergo the S (stressed) to R (relaxed) conformational transition characteristic of active serpins, it exhibits no serine protease inhibitory activity.
See full target information SERPINB5

Publications (1)

Recent publications for all applications. Explore the full list and refine your search

Frontiers in immunology 13:817572 PubMed35273600

2022

Succinate/IL-1β Signaling Axis Promotes the Inflammatory Progression of Endothelial and Exacerbates Atherosclerosis.

Applications

Unspecified application

Species

Unspecified reactive species

Jingwen Xu,Yabing Zheng,Yaqing Zhao,Yujiao Zhang,Huilin Li,An Zhang,Xuehan Wang,Weizong Wang,Yinglong Hou,Jiangrong Wang
View all publications

Product promise

We are committed to supporting your work with high-quality reagents, and we're here for you every step of the way. In the unlikely event that one of our products does not perform as expected, you're protected by our Product Promise.
For full details, please see our Terms & Conditions

Please note: All products are 'FOR RESEARCH USE ONLY. NOT FOR USE IN DIAGNOSTIC OR THERAPEUTIC PROCEDURES'.

For licensing inquiries, please contact partnerships@abcam.com