JavaScript is disabled in your browser. Please enable JavaScript to view this website.
AB186417

Anti-Mast Cell Chymase antibody [EPR13136] - C-terminal

5

(3 Reviews)

|

(9 Publications)

Rabbit Recombinant Monoclonal Mast Cell Chymase antibody. C-terminal. Suitable for WB, IHC-P and reacts with Human samples. Cited in 9 publications.

View Alternative Names

CYH, CYM, CMA1, Chymase, Alpha-chymase, Mast cell protease I

4 Images
Multiplex immunohistochemistry - Anti-Mast Cell Chymase antibody [EPR13136] - C-terminal (AB186417)
  • mIHC

Supplier Data

Multiplex immunohistochemistry - Anti-Mast Cell Chymase antibody [EPR13136] - C-terminal (AB186417)

Multiplex immunohistochemistry analysis of formalin/PFA-fixed paraffin-embedded Human tonsil tissue labeling Allergin 1 with ab310327 at 1/100 Panel A : merged staining of anti-Mast Cell Chymase (green; Opal™520) and anti-Allergin-1 (red; Opal™570) on human tonsil. Panel B : anti-Allergin-1 stained on various immune cells. Panel C : anti-Mast Cell Chymase stained on mast cells. The section was incubated in two rounds of staining : in the order of ab186417 and ab310327 for 30 mins at room temperature. Each round was followed by a separate fluorescent tyramide signal amplification system. The immunostaining was performed on a Leica Biosystems BOND® RX instrument with an Opal™ 4-color kit. Image acquisition was performed with Leica SP8 confocal microscope. Counterstained with DAPI. Heat mediated antigen retrieval was performed with Tris-EDTA buffer (pH 9.0, Epitope Retrieval Solution2) for 20 mins

Multiplex immunohistochemistry - Anti-Mast Cell Chymase antibody [EPR13136] - C-terminal (AB186417)
  • mIHC

Supplier Data

Multiplex immunohistochemistry - Anti-Mast Cell Chymase antibody [EPR13136] - C-terminal (AB186417)

Multiplex immunohistochemistry analysis of formalin/PFA-fixed paraffin-embedded Human appendix tissue labeling Allergin 1 with ab310327 at 1/100 Panel A : merged staining of anti-Mast Cell Chymase (green; Opal™520) and anti-Allergin-1 (red; Opal™570) on human appendix. Panel B : anti-Allergin-1 stained on various immune cells. Panel C : anti-Mast Cell Chymase stained on mast cells. The section was incubated in two rounds of staining : in the order of ab186417 and ab310327 for 30 mins at room temperature. Each round was followed by a separate fluorescent tyramide signal amplification system. The immunostaining was performed on a Leica Biosystems BOND® RX instrument with an Opal™ 4-color kit. Image acquisition was performed with Leica SP8 confocal microscope. Counterstained with DAPI. Heat mediated antigen retrieval was performed with Tris-EDTA buffer (pH 9.0, Epitope Retrieval Solution2) for 20 mins

Western blot - Anti-Mast Cell Chymase antibody [EPR13136] - C-terminal (AB186417)
  • WB

Supplier Data

Western blot - Anti-Mast Cell Chymase antibody [EPR13136] - C-terminal (AB186417)

All lanes:

Western blot - Anti-Mast Cell Chymase antibody [EPR13136] - C-terminal (ab186417) at 1/10000 dilution

All lanes:

Human small intestine tissue lysate at 20 µg

Secondary

All lanes:

Goat Anti-Rabbit IgG, (H+L), Peroxidase conjugated at 1/1000 dilution

Predicted band size: 27 kDa

Observed band size: 27 kDa

false

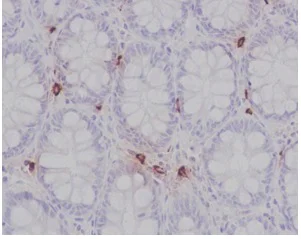
Immunohistochemistry (Formalin/PFA-fixed paraffin-embedded sections) - Anti-Mast Cell Chymase antibody [EPR13136] - C-terminal (AB186417)
  • IHC-P

Supplier Data

Immunohistochemistry (Formalin/PFA-fixed paraffin-embedded sections) - Anti-Mast Cell Chymase antibody [EPR13136] - C-terminal (AB186417)

Immunohistochemical analysis of paraffin embedded Human colon tissue labeling Mast Cell Chymase with ab186417 at 1/500 dilution. Secondary staining with HRP Polymer for Rabbit IgG and counterstained with Hematoxylin.

Perform heat mediated antigen retrieval with EDTA buffer pH 9 before commencing with IHC staining protocol.

  • Carrier free

    Anti-Mast Cell Chymase antibody [EPR13136] - BSA and Azide free

Key facts

Host species

Rabbit

Clonality

Monoclonal

Clone number

EPR13136

Isotype

IgG

Carrier free

No

Reacts with

Human

Applications

WB, IHC-P

applications

Immunogen

The exact immunogen used to generate this antibody is proprietary information.

Specificity

Not suitable for mouse or rat samples. Gave high background in IHC-P during initial testing.

Reactivity data

{ "title": "Reactivity Data", "filters": { "stats": ["", "Species", "Dilution Info", "Notes"], "tabs": { "all-applications": {"fullname" : "All Applications", "shortname": "All Applications"}, "WB" : {"fullname" : "Western blot", "shortname":"WB"}, "IHCP" : {"fullname" : "Immunohistochemistry (Formalin/PFA-fixed paraffin-embedded sections)", "shortname":"IHC-P"} }, "product-promise": { "all": "all", "testedAndGuaranteed": "tested", "guaranteed": "expected", "predicted": "predicted", "notRecommended": "not-recommended" } }, "values": { "Human": { "WB-species-checked": "testedAndGuaranteed", "WB-species-dilution-info": "1/10000 - 1/50000", "WB-species-notes": "<p></p>", "IHCP-species-checked": "testedAndGuaranteed", "IHCP-species-dilution-info": "1/500", "IHCP-species-notes": "<p></p> Perform heat-mediated antigen retrieval with Tris/EDTA buffer pH 9.0 before commencing with IHC staining protocol." }, "Mouse": { "WB-species-checked": "notRecommended", "WB-species-dilution-info": "1/10000 - 1/50000", "WB-species-notes": "<p></p>", "IHCP-species-checked": "notRecommended", "IHCP-species-dilution-info": "1/500", "IHCP-species-notes": "<p></p> Perform heat-mediated antigen retrieval with Tris/EDTA buffer pH 9.0 before commencing with IHC staining protocol." }, "Rat": { "WB-species-checked": "notRecommended", "WB-species-dilution-info": "1/10000 - 1/50000", "WB-species-notes": "<p></p>", "IHCP-species-checked": "notRecommended", "IHCP-species-dilution-info": "1/500", "IHCP-species-notes": "<p></p> Perform heat-mediated antigen retrieval with Tris/EDTA buffer pH 9.0 before commencing with IHC staining protocol." } } }

Product details

Patented technology
Our RabMAb® technology is a patented hybridoma-based technology for making rabbit monoclonal antibodies. For details on our patents, please refer to RabMAb® patents.

What are the advantages of a recombinant monoclonal antibody?
This product is a recombinant monoclonal antibody, which offers several advantages including:

  • - High batch-to-batch consistency and reproducibility
  • - Improved sensitivity and specificity
  • - Long-term security of supply
  • - Animal-free batch production

For more information, read more on recombinant antibodies.

Properties and storage information

Form
Liquid
Purification technique
Affinity purification Protein A
Storage buffer
pH: 7.2 - 7.4 Preservative: 0.01% Sodium azide Constituents: 59% PBS, 40% Glycerol (glycerin, glycerine), 0.05% BSA
Shipped at conditions
Blue Ice
Appropriate short-term storage duration
1-2 weeks
Appropriate short-term storage conditions
+4°C
Appropriate long-term storage conditions
-20°C
Aliquoting information
Upon delivery aliquot
Storage information
Avoid freeze / thaw cycle

Product protocols

For this product, it's our understanding that no specific protocols are required. You can visit:

Target data

Major secreted protease of mast cells with suspected roles in vasoactive peptide generation, extracellular matrix degradation, and regulation of gland secretion.
See full target information CMA1

Publications (9)

Recent publications for all applications. Explore the full list and refine your search

Frontiers in cardiovascular medicine 10:1132786 PubMed37265571

2023

Impact of early pericardial fluid chymase activation after cardiac surgery.

Applications

Unspecified application

Species

Unspecified reactive species

Brittany Butts,Lee A Goeddel,Jingyi Zheng,Betty Pat,Pamela Powell,James Mobley,Sarfaraz Ahmad,Chad Steele,David McGiffin,James E Davies,James F George,Spencer J Melby,Carlos M Ferrario,Louis J Dell'Italia

Frontiers in immunology 13:979995 PubMed36304455

2022

Immune-related SERPINA3 as a biomarker involved in diabetic nephropathy renal tubular injury.

Applications

Unspecified application

Species

Unspecified reactive species

Zuyan Fan,Yan Gao,Nan Jiang,Fengxia Zhang,Shuangxin Liu,Quhuan Li

Scientific reports 11:10687 PubMed34021178

2021

Differential mast cell numbers and characteristics in human tuberculosis pulmonary lesions.

Applications

Unspecified application

Species

Unspecified reactive species

Karen Magdalena Garcia-Rodriguez,Estela Isabel Bini,Armando Gamboa-Domínguez,Clara Inés Espitia-Pinzón,Sara Huerta-Yepez,Silvia Bulfone-Paus,Rogelio Hernández-Pando

Pharmaceutics 13: PubMed33917842

2021

Pre-Emptive Priming of Human Skin Improves Cutaneous Scarring and Is Superior to Immediate and Delayed Topical Anti-Scarring Treatment Post-Wounding: A Double-Blind Randomised Placebo-Controlled Clinical Trial.

Applications

Unspecified application

Species

Unspecified reactive species

Sara Ud-Din,Traci A Wilgus,Douglas D McGeorge,Ardeshir Bayat

The Journal of investigative dermatology 139:1680-1690.e16 PubMed30822414

2019

A Double-Blind, Randomized Trial Shows the Role of Zonal Priming and Direct Topical Application of Epigallocatechin-3-Gallate in the Modulation of Cutaneous Scarring in Human Skin.

Applications

Unspecified application

Species

Unspecified reactive species

Sara Ud-Din,Philip Foden,Mohsin Mazhari,Samer Al-Habba,Mohamed Baguneid,Silvia Bulfone-Paus,Douglas McGeorge,Ardeshir Bayat

Life sciences 219:209-218 PubMed30658099

2019

Role of cardiac mast cells in exercise training-mediated cardiac remodeling in angiotensin II-infused ovariectomized rats.

Applications

Unspecified application

Species

Unspecified reactive species

Rerknapat Jitmana,Sulaksana Raksapharm,Anusak Kijtawornrat,Vitoon Saengsirisuwan,Tepmanas Bupha-Intr

The Journal of allergy and clinical immunology 142:485-496.e16 PubMed29518421

2018

Mast cell activation test in the diagnosis of allergic disease and anaphylaxis.

Applications

Unspecified application

Species

Unspecified reactive species

Rajia Bahri,Adnan Custovic,Peter Korosec,Marina Tsoumani,Martin Barron,Jiakai Wu,Rebekah Sayers,Alf Weimann,Monica Ruiz-Garcia,Nandinee Patel,Abigail Robb,Mohamed H Shamji,Sara Fontanella,Mira Silar,E N Clare Mills,Angela Simpson,Paul J Turner,Silvia Bulfone-Paus

Scientific reports 7:15583 PubMed29138419

2017

IVIG activates FcγRIIB-SHIP1-PIP3 Pathway to stabilize mast cells and suppress inflammation after ICH in mice.

Applications

Unspecified application

Species

Unspecified reactive species

Gokce Yilmaz Akyol,Anatol Manaenko,Onat Akyol,Ihsan Solaroglu,Wing Mann Ho,Yan Ding,Jerry Flores,John H Zhang,Jiping Tang

Kidney & blood pressure research 41:108-18 PubMed26881856

2016

Angiotensin-Converting Enzyme Inhibitor (ACEI)-Mediated Amelioration in Renal Fibrosis Involves Suppression of Mast Cell Degranulation.

Applications

Unspecified application

Species

Unspecified reactive species

Nan Sun,Lei Zhai,Hui Li,Li-Hua Shi,Zhi Yao,Bo Zhang
View all publications

Product promise

We are committed to supporting your work with high-quality reagents, and we're here for you every step of the way. In the unlikely event that one of our products does not perform as expected, you're protected by our Product Promise.
For full details, please see our Terms & Conditions

Associated Products

Select an associated product type
Alternative Product
Primary Antibodies

AB2377

Anti-Mast Cell Chymase antibody [CC1]

primary-antibodies

mast-cell-chymase-antibody-cc1-ab2377

2

(3 reviews)

Alternative Product
Primary Antibodies

AB233103

Anti-Mast Cell Chymase antibody

primary-antibodies

mast-cell-chymase-antibody-ab233103

0

(0 reviews)

Alternative Product
Primary Antibodies

AB111239

Anti-Mast Cell Chymase antibody

primary-antibodies

mast-cell-chymase-antibody-ab111239

5

(1 reviews)

Please note: All products are 'FOR RESEARCH USE ONLY. NOT FOR USE IN DIAGNOSTIC OR THERAPEUTIC PROCEDURES'.

For licensing inquiries, please contact partnerships@abcam.com