JavaScript is disabled in your browser. Please enable JavaScript to view this website.
AB151757

Anti-Mast Cell Tryptase antibody [EPR9522]

4

(5 Reviews)

|

(19 Publications)

Rabbit Recombinant Monoclonal TRYB1 antibody. Suitable for IHC-P, IP, WB and reacts with Human samples. Cited in 19 publications.

View Alternative Names

TPS1, TPS2, TPSB1, TPSAB1, Tryptase alpha/beta-1, Tryptase-1, Tryptase I, Tryptase alpha-1

3 Images
Immunohistochemistry (Formalin/PFA-fixed paraffin-embedded sections) - Anti-Mast Cell Tryptase antibody [EPR9522] (AB151757)
  • IHC-P

Unknown

Immunohistochemistry (Formalin/PFA-fixed paraffin-embedded sections) - Anti-Mast Cell Tryptase antibody [EPR9522] (AB151757)

Immunohistochemical analysis of paraffin embedded Human tissue labeling Mast Cell Tryptase with ab151757 at a 1/100 dilution.

Perform heat mediated antigen retrieval with citrate buffer pH 6 before commencing with IHC staining protocol.

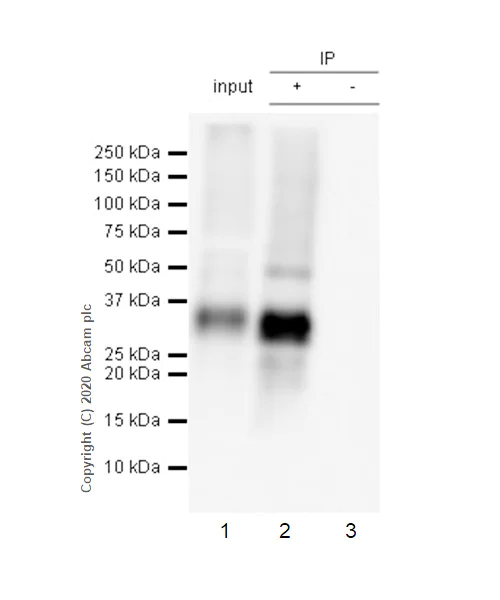
Immunoprecipitation - Anti-Mast Cell Tryptase antibody [EPR9522] (AB151757)
  • IP

Lab

Immunoprecipitation - Anti-Mast Cell Tryptase antibody [EPR9522] (AB151757)

Purified ab151757 at 1/50 dilution (2μg) immunoprecipitating Mast Cell Tryptase in Human skin lysate.
Lane 1 (input) : Human skin lysate 10μg
Lane 2 (+) : ab151757 + Human skin lysate.
Lane 3 (-) : Rabbit monoclonal IgG (ab172730) instead of ab151757 in Human skin lysate.
VeriBlot for IP Detection Reagent (HRP) (ab131366) (1/1000 dilution) was used for Western blotting.
Blocking Buffer and concentration : 5% NFDM/TBST.
Diluting buffer and concentration : 5% NFDM/TBST.
Observed band size : 30 kDa

All lanes:

Immunoprecipitation - Anti-Mast Cell Tryptase antibody [EPR9522] (ab151757)

Predicted band size: 31 kDa

false

Western blot - Anti-Mast Cell Tryptase antibody [EPR9522] (AB151757)
  • WB

Unknown

Western blot - Anti-Mast Cell Tryptase antibody [EPR9522] (AB151757)

All lanes:

Western blot - Anti-Mast Cell Tryptase antibody [EPR9522] (ab151757) at 1/1000 dilution

Lane 1:

Human skin lysate at 10 µg

Lane 2:

Human colon cancer lysate at 10 µg

Lane 3:

Human tonsil lysate at 10 µg

Secondary

All lanes:

HRP labelled goat anti-rabbit at 1/2000 dilution

Predicted band size: 22 kDa,31 kDa

false

  • Carrier free

    Anti-Mast Cell Tryptase antibody [EPR9522] - BSA and Azide free

  • 665 Alexa Fluor® 647

    Alexa Fluor® 647 Anti-Mast Cell Tryptase antibody [EPR9522]

  • Biotin

    Biotin Anti-Mast Cell Tryptase antibody [EPR9522]

  • 519 Alexa Fluor® 488

    Alexa Fluor® 488 Anti-Mast Cell Tryptase antibody [EPR9522]

  • HRP

    HRP Anti-Mast Cell Tryptase antibody [EPR9522]

Key facts

Host species

Rabbit

Clonality

Monoclonal

Clone number

EPR9522

Isotype

IgG

Carrier free

No

Reacts with

Human

Applications

IP, IHC-P, WB

applications

Immunogen

The exact immunogen used to generate this antibody is proprietary information.

Reactivity data

{ "title": "Reactivity Data", "filters": { "stats": ["", "Species", "Dilution Info", "Notes"], "tabs": { "all-applications": {"fullname" : "All Applications", "shortname": "All Applications"}, "IHCP" : {"fullname" : "Immunohistochemistry (Formalin/PFA-fixed paraffin-embedded sections)", "shortname":"IHC-P"}, "IP" : {"fullname" : "Immunoprecipitation", "shortname":"IP"}, "WB" : {"fullname" : "Western blot", "shortname":"WB"} }, "product-promise": { "all": "all", "testedAndGuaranteed": "tested", "guaranteed": "expected", "predicted": "predicted", "notRecommended": "not-recommended" } }, "values": { "Human": { "IHCP-species-checked": "testedAndGuaranteed", "IHCP-species-dilution-info": "1/100 - 1/250", "IHCP-species-notes": "<p></p>", "IP-species-checked": "testedAndGuaranteed", "IP-species-dilution-info": "1/50", "IP-species-notes": "<p></p>", "WB-species-checked": "testedAndGuaranteed", "WB-species-dilution-info": "1/1000 - 1/10000", "WB-species-notes": "<p></p>" }, "Mouse": { "IHCP-species-checked": "predicted", "IHCP-species-dilution-info": "", "IHCP-species-notes": "", "IP-species-checked": "predicted", "IP-species-dilution-info": "", "IP-species-notes": "", "WB-species-checked": "predicted", "WB-species-dilution-info": "", "WB-species-notes": "" }, "Rat": { "IHCP-species-checked": "predicted", "IHCP-species-dilution-info": "", "IHCP-species-notes": "", "IP-species-checked": "predicted", "IP-species-dilution-info": "", "IP-species-notes": "", "WB-species-checked": "predicted", "WB-species-dilution-info": "", "WB-species-notes": "" } } }

Product details

Patented technology
Our RabMAb® technology is a patented hybridoma-based technology for making rabbit monoclonal antibodies. For details on our patents, please refer to RabMAb® patents.

What are the advantages of a recombinant monoclonal antibody?
This product is a recombinant monoclonal antibody, which offers several advantages including:

  • - High batch-to-batch consistency and reproducibility
  • - Improved sensitivity and specificity
  • - Long-term security of supply
  • - Animal-free batch production

For more information, read more on recombinant antibodies.

Properties and storage information

Form
Liquid
Purification technique
Affinity purification Protein A
Storage buffer
pH: 7.2 - 7.4 Preservative: 0.01% Sodium azide Constituents: PBS, 40% Glycerol (glycerin, glycerine), 0.05% BSA
Shipped at conditions
Blue Ice
Appropriate short-term storage duration
1-2 weeks
Appropriate short-term storage conditions
+4°C
Appropriate long-term storage conditions
-20°C
Aliquoting information
Upon delivery aliquot
Storage information
Stable for 12 months at -20°C

Product protocols

For this product, it's our understanding that no specific protocols are required. You can visit:

Target data

Tryptase is the major neutral protease present in mast cells and is secreted upon the coupled activation-degranulation response of this cell type. May play a role in innate immunity. Isoform 2 cleaves large substrates, such as fibronectin, more efficiently than isoform 1, but seems less efficient toward small substrates (PubMed : 18854315).
See full target information TPSAB1

Additional targets

TPSB2

Publications (19)

Recent publications for all applications. Explore the full list and refine your search

International journal of molecular sciences 24: PubMed37569378

2023

Amyloid Beta Peptides Lead to Mast Cell Activation in a Novel 3D Hydrogel Model.

Applications

ICC/IF

Species

Unspecified reactive species

Jingshu Liu,Sihan Liu,Li Zeng,Irene Tsilioni

Cancer research communications 3:896-907 PubMed37377902

2023

EGFR Inhibition by Cetuximab Modulates Hypoxia and IFN Response Genes in Head and Neck Squamous Cell Carcinoma.

Applications

Unspecified application

Species

Unspecified reactive species

Ritu Chaudhary,Robbert J C Slebos,Leenil C Noel,Feifei Song,Maria I Poole,Dirk S Hoening,Juan C Hernandez-Prera,Jose R Conejo-Garcia,Jose A Guevara-Patino,Xuefeng Wang,Mengyu Xie,Aik Choon Tan,Christine H Chung

Cellular & molecular immunology 20:158-174 PubMed36596873

2023

TRIM27 maintains gut homeostasis by promoting intestinal stem cell self-renewal.

Applications

Unspecified application

Species

Unspecified reactive species

Jing Wang,Dongdong Zhao,Zehui Lei,Pupu Ge,Zhe Lu,Qiyao Chai,Yong Zhang,Lihua Qiang,Yang Yu,Xinwen Zhang,Bingxi Li,Shu Zhu,Lingqiang Zhang,Cui Hua Liu

International journal of molecular sciences 23: PubMed36012196

2022

Protease Profile of Tumor-Associated Mast Cells in Melanoma.

Applications

Unspecified application

Species

Unspecified reactive species

Dmitri Atiakshin,Andrey Kostin,Igor Buchwalow,Vera Samoilova,Markus Tiemann

Gut microbes 14:2105095 PubMed35905313

2022

Gut bacteria interact directly with colonic mast cells in a humanized mouse model of IBS.

Applications

Unspecified application

Species

Unspecified reactive species

Chiko Shimbori,Giada De Palma,Lauren Baerg,Jun Lu,Elena F Verdu,David E Reed,Stephen Vanner,Stephen M Collins,Premysl Bercik

Kidney international 101:137-143 PubMed34619231

2021

Highly multiplexed immunofluorescence of the human kidney using co-detection by indexing.

Applications

mIHC

Species

Human

Elizabeth K Neumann,Nathan Heath Patterson,Emilio S Rivera,Jamie L Allen,Maya Brewer,Mark P deCaestecker,Richard M Caprioli,Agnes B Fogo,Jeffrey M Spraggins

Cells 10: PubMed34685490

2021

Expression of CD38 in Mast Cells: Cytological and Histotopographic Features.

Applications

Unspecified application

Species

Unspecified reactive species

Dmitri Atiakshin,Vera Samoilova,Igor Buchwalow,Markus Tiemann

STAR protocols 2:100747 PubMed34430920

2021

Protocol for multimodal analysis of human kidney tissue by imaging mass spectrometry and CODEX multiplexed immunofluorescence.

Applications

mIHC

Species

Human

Elizabeth K Neumann,Nathan Heath Patterson,Jamie L Allen,Lukasz G Migas,Haichun Yang,Maya Brewer,David M Anderson,Jennifer Harvey,Danielle B Gutierrez,Raymond C Harris,Mark P deCaestecker,Agnes B Fogo,Raf Van de Plas,Richard M Caprioli,Jeffrey M Spraggins

Cellular and molecular neurobiology 42:2379-2392 PubMed34089427

2021

GPR18 Agonist Resolvin D2 Reduces Early Brain Injury in a Rat Model of Subarachnoid Hemorrhage by Multiple Protective Mechanisms.

Applications

Unspecified application

Species

Unspecified reactive species

Tongyu Zhang,Gang Zuo,Hongqi Zhang

Journal of cachexia, sarcopenia and muscle 12:1079-1097 PubMed34008339

2021

Activated mast cells in skeletal muscle can be a potential mediator for cancer-associated cachexia.

Applications

Unspecified application

Species

Unspecified reactive species

D Brooke Widner,Chun Liu,Qingxia Zhao,Sarah Sharp,Matthew R Eber,Sun H Park,D Clark Files,Yusuke Shiozawa
View all publications

Product promise

We are committed to supporting your work with high-quality reagents, and we're here for you every step of the way. In the unlikely event that one of our products does not perform as expected, you're protected by our Product Promise.
For full details, please see our Terms & Conditions

Please note: All products are 'FOR RESEARCH USE ONLY. NOT FOR USE IN DIAGNOSTIC OR THERAPEUTIC PROCEDURES'.

For licensing inquiries, please contact partnerships@abcam.com