JavaScript is disabled in your browser. Please enable JavaScript to view this website.
AB192846

Anti-MAT1A + MAT2A antibody [EPR19048]

Be the first to review this product! Submit a review

|

(1 Publication)

Rabbit Recombinant Monoclonal MAT2A antibody. Suitable for IP, WB and reacts with Human, Mouse, Rat, Recombinant full length protein - Human samples. Cited in 1 publication.

View Alternative Names

AMS2, MATA2, MAT2A, S-adenosylmethionine synthase isoform type-2, AdoMet synthase 2, Methionine adenosyltransferase 2, Methionine adenosyltransferase II, MAT 2, MAT-II

6 Images
Immunoprecipitation - Anti-MAT1A + MAT2A antibody [EPR19048] (AB192846)
  • IP

Supplier Data

Immunoprecipitation - Anti-MAT1A + MAT2A antibody [EPR19048] (AB192846)

MAT2A was immunoprecipitated from 0.35 mg of Ramos (human Burkitt's lymphoma cell line) whole cell lysate with ab192846 at 1/30 dilution. Western blot was performed from the immunoprecipitate using ab192846 at 1/1000 dilution. VeriBlot for IP Detection Reagent (HRP) (ab131366), was used for detection at 1/10000 dilution.

Lane 1 : Ramos whole cell lysate 10 μg (Input).

Lane 2 : ab192846 IP in Ramos whole cell lysate.

Lane 3 : Rabbit monoclonal IgG (ab172730) instead of ab192846 in Ramos whole cell lysate.

Exposure time : 1 second.

Blocking and dilution buffer and concentration : 5% NFDM/TBST.

All lanes:

Immunoprecipitation - Anti-MAT1A + MAT2A antibody [EPR19048] (ab192846)

Observed band size: 44 kDa

false

Western blot - Anti-MAT1A + MAT2A antibody [EPR19048] (AB192846)
  • WB

Supplier Data

Western blot - Anti-MAT1A + MAT2A antibody [EPR19048] (AB192846)

Blocking/Dilution buffer : 5% NFDM/TBST.

Lane 1:

Western blot - Anti-MAT1A + MAT2A antibody [EPR19048] (ab192846) at 1/1000 dilution

Lanes 2 - 3:

Western blot - Anti-MAT1A + MAT2A antibody [EPR19048] (ab192846) at 1/5000 dilution

Lane 1:

Human fetal liver tissue lysate at 10 µg

Lane 2:

Mouse liver tissue lysate at 10 µg

Lane 3:

Rat liver tissue lysate at 10 µg

Secondary

Lane 1:

Goat Anti-Rabbit IgG Peroxidase Conjugate, specific to the non-reduced form of IgG at 1/10000 dilution

Lanes 2 - 3:

Western blot - Goat Anti-Rabbit IgG H&L (HRP) (<a href='/en-us/products/secondary-antibodies/goat-rabbit-igg-h-l-hrp-ab97051'>ab97051</a>) at 1/100000 dilution

Predicted band size: 44 kDa

Observed band size: 44 kDa

true

Exposure time: 1s

Western blot - Anti-MAT1A + MAT2A antibody [EPR19048] (AB192846)
  • WB

Supplier Data

Western blot - Anti-MAT1A + MAT2A antibody [EPR19048] (AB192846)

Blocking/Dilution buffer : 5% NFDM/TBST.

Lanes 1 - 3:

Western blot - Anti-MAT1A + MAT2A antibody [EPR19048] (ab192846) at 1/10000 dilution

Lanes 4 - 6:

Western blot - Anti-MAT1A + MAT2A antibody [EPR19048] (ab192846) at 1/1000 dilution

Lane 1:

Ramos (human Burkitt's lymphoma cell line) whole cell lysate at 10 µg

Lane 2:

U937 (human histiocytic lymphoma cell line) whole cell lysate at 10 µg

Lane 3:

HEK-293T (human epithelial cell line from embryonic kidney transformed with large T antigen) whole cell lysate at 10 µg

Lane 4:

Human fetal heart tissue lysate at 10 µg

Lane 5:

Human fetal kidney tissue lysate at 10 µg

Lane 6:

Human fetal spleen tissue lysate at 10 µg

Secondary

Lanes 1 - 3:

Western blot - Goat Anti-Rabbit IgG H&L (HRP) (<a href='/en-us/products/secondary-antibodies/goat-rabbit-igg-h-l-hrp-ab97051'>ab97051</a>) at 1/100000 dilution

Lanes 4 - 6:

Goat Anti-Rabbit IgG Peroxidase Conjugate, specific to the non-reduced form of IgG at 1/10000 dilution

Predicted band size: 44 kDa

Observed band size: 44 kDa

true

Exposure time: 3s

Western blot - Anti-MAT1A + MAT2A antibody [EPR19048] (AB192846)
  • WB

Supplier Data

Western blot - Anti-MAT1A + MAT2A antibody [EPR19048] (AB192846)

Blocking/Dilution buffer : 5% NFDM/TBST.

The expression profile observed is consistent with what has been described in the literature (PMID : 18695670 and PMID : 22879628).

All lanes:

Western blot - Anti-MAT1A + MAT2A antibody [EPR19048] (ab192846) at 1/20000 dilution

Lane 1:

Untreated HepG2 (human liver hepatocellular carcinoma cell line) whole cell lysate at 10 µg

Lane 2:

HepG2 (human liver hepatocellular carcinoma cell line) treated with 500 ng/ml Lipopolysaccharides for 4 hours, whole cell lysate at 10 µg

Secondary

All lanes:

Western blot - Goat Anti-Rabbit IgG H&L (HRP) (<a href='/en-us/products/secondary-antibodies/goat-rabbit-igg-h-l-hrp-ab97051'>ab97051</a>) at 1/100000 dilution

Predicted band size: 44 kDa

Observed band size: 44 kDa

true

Exposure time: 5s

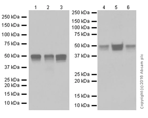
Western blot - Anti-MAT1A + MAT2A antibody [EPR19048] (AB192846)
  • WB

Supplier Data

Western blot - Anti-MAT1A + MAT2A antibody [EPR19048] (AB192846)

Exposure times : Lane 1 : 1 second; Lane 2 : 2 seconds.

Blocking/Dilution buffer : 5% NFDM/TBST.

Human MAT1A recombinant protein contains aa1-395 with a His-Tag®. This recombinant protein was made in-house.

All lanes:

Western blot - Anti-MAT1A + MAT2A antibody [EPR19048] (ab192846) at 1/20000 dilution

Lane 1:

Human MAT1A recombinant protein at 0.01 µg

Lane 2:

Human MAT2A recombinant protein at 0.01 µg

Secondary

All lanes:

Western blot - Goat Anti-Rabbit IgG H&L (HRP) (<a href='/en-us/products/secondary-antibodies/goat-rabbit-igg-h-l-hrp-ab97051'>ab97051</a>) at 1/100000 dilution

Predicted band size: 44 kDa

Observed band size: 44 kDa,75 kDa

true

Western blot - Anti-MAT1A + MAT2A antibody [EPR19048] (AB192846)
  • WB

Supplier Data

Western blot - Anti-MAT1A + MAT2A antibody [EPR19048] (AB192846)

Exposure times : Lane 1-2 : 5 seconds; Lane 3-6 : 3 seconds.

Blocking/Dilution buffer : 5% NFDM/TBST.

All lanes:

Western blot - Anti-MAT1A + MAT2A antibody [EPR19048] (ab192846) at 1/1000 dilution

Lane 1:

Mouse kidney tissue lysate at 10 µg

Lane 2:

Mouse spleen tissue lysate at 10 µg

Lane 3:

Rat brain tissue lysate at 10 µg

Lane 4:

Rat kidney tissue lysate at 10 µg

Lane 5:

C6 (rat glial tumor cell line) whole cell lysate at 10 µg

Lane 6:

NIH/3T3 (Mouse embryonic fibroblast cell line) whole cell lysate at 10 µg

Secondary

All lanes:

Western blot - Goat Anti-Rabbit IgG H&L (HRP) (<a href='/en-us/products/secondary-antibodies/goat-rabbit-igg-h-l-hrp-ab97051'>ab97051</a>) at 1/100000 dilution

Predicted band size: 44 kDa

Observed band size: 44 kDa

true

  • Carrier free

    Anti-MAT1A + MAT2A antibody [EPR19048] - BSA and Azide free

Key facts

Host species

Rabbit

Clonality

Monoclonal

Clone number

EPR19048

Isotype

IgG

Carrier free

No

Reacts with

Mouse, Rat, Human

Applications

WB, IP

applications

Immunogen

The exact immunogen used to generate this antibody is proprietary information.

Reactivity data

{ "title": "Reactivity Data", "filters": { "stats": ["", "Species", "Dilution Info", "Notes"], "tabs": { "all-applications": {"fullname" : "All Applications", "shortname": "All Applications"}, "IP" : {"fullname" : "Immunoprecipitation", "shortname":"IP"}, "WB" : {"fullname" : "Western blot", "shortname":"WB"} }, "product-promise": { "all": "all", "testedAndGuaranteed": "tested", "guaranteed": "expected", "predicted": "predicted", "notRecommended": "not-recommended" } }, "values": { "Human": { "IP-species-checked": "testedAndGuaranteed", "IP-species-dilution-info": "1/30", "IP-species-notes": "<p></p>", "WB-species-checked": "testedAndGuaranteed", "WB-species-dilution-info": "1/1000", "WB-species-notes": "<p></p>" }, "Mouse": { "IP-species-checked": "guaranteed", "IP-species-dilution-info": "", "IP-species-notes": "", "WB-species-checked": "testedAndGuaranteed", "WB-species-dilution-info": "1/1000", "WB-species-notes": "<p></p>" }, "Rat": { "IP-species-checked": "guaranteed", "IP-species-dilution-info": "", "IP-species-notes": "", "WB-species-checked": "testedAndGuaranteed", "WB-species-dilution-info": "1/1000", "WB-species-notes": "<p></p>" }, "Recombinant full length protein - Human": { "IP-species-checked": "notRecommended", "IP-species-dilution-info": "", "IP-species-notes": "", "WB-species-checked": "testedAndGuaranteed", "WB-species-dilution-info": "1/1000", "WB-species-notes": "<p></p>" } } }

Product details

Patented technology
Our RabMAb® technology is a patented hybridoma-based technology for making rabbit monoclonal antibodies. For details on our patents, please refer to RabMAb® patents.

What are the advantages of a recombinant monoclonal antibody?
This product is a recombinant monoclonal antibody, which offers several advantages including:

  • - High batch-to-batch consistency and reproducibility
  • - Improved sensitivity and specificity
  • - Long-term security of supply
  • - Animal-free batch production

For more information, read more on recombinant antibodies.

Properties and storage information

Form
Liquid
Purification technique
Affinity purification Protein A
Storage buffer
pH: 7.2 - 7.4 Preservative: 0.01% Sodium azide Constituents: PBS, 40% Glycerol (glycerin, glycerine), 0.05% BSA
Shipped at conditions
Blue Ice
Appropriate short-term storage duration
1-2 weeks
Appropriate short-term storage conditions
+4°C
Appropriate long-term storage conditions
-20°C
Aliquoting information
Upon delivery aliquot
Storage information
Avoid freeze / thaw cycle

Supplementary information

This supplementary information is collated from multiple sources and compiled automatically.

MAT1A and MAT2A are enzymes also known as methionine adenosyltransferase 1A and 2A which play a critical role in the synthesis of S-adenosylmethionine (SAMe). MAT1A has a molecular mass of about 42 kDa while MAT2A varies slightly due to post-translational modifications. These enzymes are mainly expressed in the liver and extrahepatic tissues respectively. MAT1A predominantly functions in the liver where it serves an essential part in maintaining normal liver metabolism.
Biological function summary

Methionine adenosyltransferase 1A and 2A function to catalyze the transfer of an adenosyl group from ATP to methionine forming SAMe. This reaction is part of a critical metabolic process acting as a source of methyl groups for methylation reactions. MAT1A commonly works as part of a homotetrameric complex while MAT2A can form both dimers and tetramers. This flexibility in complex formation helps regulate the production of SAMe based on cellular demands linking it to vital biomolecules synthesis.

Pathways

Methionine salvage pathways and polyamine biosynthesis include the significant involvement of MAT1A and MAT2A. These enzymes provide the necessary SAMe for the transmethylation and transsulfuration pathways connecting to other proteins such as GNMT and SAH hydrolase. The enzymes' activity influences the levels of important intermediates impacting these pathways and resulting metabolic outputs.

Abnormal expression or dysfunction of methionine adenosyltransferase 1A and 2A associates with liver cirrhosis and hepatocellular carcinoma. Alterations in the enzymes’ activity can disrupt normal SAMe levels affecting methylation reactions and subsequent gene expression patterns. Key proteins like cyclin-dependent kinase (CDK) also interact with these enzymes further linking them to cancer progression and outcomes.

Product protocols

For this product, it's our understanding that no specific protocols are required. You can visit:

Target data

Catalyzes the formation of S-adenosylmethionine from methionine and ATP. The reaction comprises two steps that are both catalyzed by the same enzyme : formation of S-adenosylmethionine (AdoMet) and triphosphate, and subsequent hydrolysis of the triphosphate.
See full target information MAT2A

Additional targets

MAT1A

Publications (1)

Recent publications for all applications. Explore the full list and refine your search

International journal of molecular sciences 25: PubMed39337395

2024

Metabolomics-Based Study of the Protective Effect of 4-Hydroxybenzyl Alcohol on Ischemic Astrocytes.

Applications

Unspecified application

Species

Unspecified reactive species

Tian Xiao,Xingzhi Yu,Jie Tao,Liping Yang,Xiaohua Duan
View all publications

Product promise

We are committed to supporting your work with high-quality reagents, and we're here for you every step of the way. In the unlikely event that one of our products does not perform as expected, you're protected by our Product Promise.
For full details, please see our Terms & Conditions

Please note: All products are 'FOR RESEARCH USE ONLY. NOT FOR USE IN DIAGNOSTIC OR THERAPEUTIC PROCEDURES'.

For licensing inquiries, please contact partnerships@abcam.com